El sarro dental es uno de los problemas más comunes en la salud bucal. Se forma cuando la placa bacteriana no se elimina correctamente y se endurece sobre los dientes. Si bien la mejor solución siempre será acudir al dentista, muchas personas buscan cómo quitar el sarro de los dientes con remedios caseros. Saber cómo quitar el sarro de los dientes con remedios caseros es útil como medida preventiva. Sin embargo, una vez formado, el sarro debe ser eliminado por un profesional.

El sarro, también conocido como cálculo dental, es la placa bacteriana mineralizada que se adhiere firmemente a la superficie de los dientes. Se forma cuando no se realiza un cepillado eficaz, se omite el uso del hilo dental y se mantienen dietas altas en azúcares.
¿Qué es el Sarro Dental?
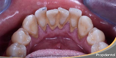
El sarro dental, también conocido como cálculo, es un depósito duro de color amarillento o marrón que se forma en los dientes. Está formado por partículas de comida, bacterias y otros microbios que se quedan atascados en nuestra boca y acaban calcificándose (endureciéndose). El sarro es una superficie pegajosa y áspera que permite que las bacterias se adhieran con facilidad.
El sarro se presenta en dos formas: el sarro supragingival, que se forma por encima de la línea de las encías, y el sarro subgingival, que reside por debajo de la línea de las encías.
La razón principal de la acumulación de sarro dental es una mala higiene bucal. Cuando las partículas de comida se quedan en los dientes después de comer, pueden quedar atrapadas entre ellos y, segundos después, se convierten en un material endurecido y calcificado. El sarro dental está formado por minerales como el fósforo, el calcio y el magnesio que provienen de tu saliva y de otras fuentes.
Algunas personas también tienen tendencia a generar sarro dental más fácilmente que otras. Además de la higiene, tiene que ver con el pH de la saliva. Cuando las personas tienen altos niveles de acidez, son propensas a las caries. Y si la saliva tiene un pH más bajo, es más probable que desarrolle sarro. Otros alimentos que hacen que se forme más placa y se oscurezcan son el vino, el café y el té negro.
007 CÓMO SE PUEDE PREVENIR LA FORMACIÓN DE SARRO EN LOS DIENTES
¿Por Qué es Importante Eliminar el Sarro de los Dientes?
Es fundamental eliminar el sarro de los dientes para evitar:
- Halitosis: El sarro acumulado en los dientes puede provocar mal aliento. Esto se debe a que el sarro alberga bacterias que producen compuestos sulfurados volátiles, responsables del mal olor.
- Pigmentación de los dientes: El sarro, al acumularse en los dientes, puede provocar manchas y decoloración, lo que afecta negativamente la apariencia estética de la sonrisa. Debido a que es poroso, por ejemplo, puede absorber manchas amarillas fácilmente. Así, cuando se toman bebidas altamente pigmentadas, como el té o el café, se puede oscurecer.
- Inflamación de encías: El sarro puede acumularse debajo de las encías, lo que puede provocar inflamación y enrojecimiento de las mismas. A medida que el sarro se acumula, la inflamación puede agravarse y provocar gingivitis.
- Enfermedades periodontales: Si el sarro no se elimina a tiempo, puede producir enfermedades periodontales como la periodontitis, que puede llevar a la pérdida de los dientes. Esto se debe a que el sarro acumulado debajo de las encías puede destruir el hueso y el tejido conectivo que sostienen los dientes.
- Encías inflamadas.
- Caries dentales.
- Dolor de muelas.
- Flemón.
- Manchas blancas en los dientes.
¿Cómo Saber si Uno Tiene Sarro Dental?
Lo primero es lo primero: mírate en el espejo. Si ves manchas descoloridas en tus dientes delanteros que no parecen desaparecer con el cepillado, puede ser un signo de sarro dental. El sarro dental tiene el aspecto de manchas amarillentas o vetas de color marrón oscuro a lo largo de la línea de las encías o en cualquier zona donde se acumulen partículas de comida.
Otra forma de saber si tienes sarro dental es palpar alrededor de los dientes con la lengua. El sarro dental se sentirá áspero y abrasivo, a diferencia de una superficie lisa cuando no tienes sarro.
La tercera forma de detectar el sarro dental es acudir a tu dentista para que te haga un examen profesional. El sarro dental puede ser difícil de ver, pero los dentistas tienen herramientas especiales que les permiten detectarlo fácilmente.
Puede pasar que se caiga un trozo de sarro de los dientes: se tiende a confundir con un trozo de diente, pero si se tratase de este último notaría un fuerte dolor.
El sarro dental nunca debe ignorarse, así que si crees que puedes tenerlo, no dudes en visitar a tu dentista.
Remedios Caseros para Deshacer el Sarro de los Dientes
Así como deshacer el sarro de los dientes con remedio caseros:
- Bicarbonato de sodio: Mezcla una cucharadita de bicarbonato de sodio con agua y aplícala sobre tus dientes con un cepillo de dientes. Frota suavemente durante un par de minutos y enjuaga bien con agua. Para crear una pasta eficaz, se puede mezclar una cucharadita de bicarbonato de sodio con un poco de agua. Esta mezcla debe aplicarse sobre el cepillo de dientes y usarse para limpiar los dientes durante aproximadamente dos minutos. Es importante tener en cuenta que el uso excesivo de bicarbonato de sodio puede desgastar el esmalte dental.
- Zumo de limón: El zumo de medio limón con una taza de agua tibia y enjuaga tu boca con esta solución. El ácido cítrico del limón ayuda a disolver el sarro, pero debes tener cuidado de no exponer tus dientes al ácido durante mucho tiempo, ya que puede dañar el esmalte. Para preparar una solución eficaz, se debe exprimir el jugo de medio limón en una taza de agua tibia y mezclar bien. Es fundamental recordar que el ácido del limón puede erosionar el esmalte dental si no se enjuaga adecuadamente.
- Aceite de coco: Realiza enjuagues bucales con aceite de coco durante unos 15-20 minutos al día. El aceite de coco contiene ácido láurico que ayuda a reducir la acumulación de placa y sarro en los dientes.
- Té verde: El té verde contiene antioxidantes que combaten las bacterias bucales. Cómo usarlo: preparar infusiones de té verde y usarlas como enjuague diario. El té verde es conocido por sus propiedades antioxidantes y su capacidad para neutralizar bacterias.
También se ha llegado a sugerir el uso de fresas, vinagre o semillas de ajonjolí como remedios naturales. Aunque estos ingredientes y productos se pueden adquirir con facilidad, no es buena idea usarlos. Esto se debe a que hace falta una formación y una capacitación especializadas para eliminar el sarro de los dientes de manera segura.
La mayoría de estos remedios caseros tienen en común una cosa: aplicarlos puede implicar un severo daño en el esmalte dental. Además, ninguna de estas recomendaciones para eliminar el sarro será efectiva sin una higiene dental completa de forma regular.
Tratamiento Profesional para Limpiar el Sarro en los Dientes
Para limpiar sarro dientes tratamiento más común es una limpieza bucodental o un curetaje dental. El sarro se puede eliminar de manera segura en el consultorio dental.
- Limpieza bucodental: La limpieza bucodental es un procedimiento que se realiza en la consulta del dentista y consiste en limpiar sarro dientes acumulado y encías mediante el uso de instrumentos específicos como curetas y ultrasonidos. Este proceso no es doloroso, aunque puede provocar cierta sensibilidad dental. El profesional también puede realizar un pulido dental para alisar la superficie dental y prevenir la acumulación de placa bacteriana. Durante estas visitas, tu profesional dental utilizará instrumentos especiales para eliminar el sarro que haya por encima y por debajo de la línea de las encías y que puedas haber pasado por alto durante el cuidado en casa.
- Curetaje dental: El curetaje dental es un tratamiento más invasivo que se realiza cuando el sarro se ha acumulado en zonas más profundas de las encías, llegando al hueso alveolar y provocando inflamación o infección. Se utiliza anestesia local para poder llegar a esas zonas y se procede a raspar el sarro con la ayuda de curetas y otros instrumentos. Para eliminar el sarro que ha crecido más profundamente debajo de los tejidos blandos que sostienen los dientes, es necesario un tratamiento distinto, que recibe el nombre de raspado y alisado radicular, o curetaje, que sí necesita anestesia local. Durante este proceso, se elimina el sarro de la superficie de los dientes y de debajo de la línea de las encías. Este tratamiento ayuda a reducir la inflamación y puede contribuir a mejorar la salud de las encías en las personas con una grave acumulación de placa o sarro.
El dentista o higienista usará herramientas de raspado dental o un dispositivo ultrasónico para retirarlo de los dientes, así como en/y por debajo del borde de las encías. Si le preocupa el coste, existen muchas opciones para obtener tratamientos dentales a precios accesibles, como por ejemplo en las facultades de Odontología.

¿Cómo Evitar el Sarro en los Dientes de Forma Natural?
Si te preguntas como evitar el sarro en los dientes de forma natural, ten en cuenta los siguientes puntos:
- Cepilla tres veces al día: Es importante cepillarse los dientes después de cada comida para prevenir la acumulación de placa y la formación de sarro. Cepillarse los dientes con una pasta de dientes con flúor durante dos minutos ayuda a eliminar la placa y las bacterias. Un cepillado adecuado es fundamental para eliminar los restos de comida y la placa. Se debe utilizar una pasta dental con flúor y cepillarse al menos dos veces al día.
- Utiliza una pasta con flúor: El flúor ayuda a fortalecer el esmalte dental y prevenir la formación de caries. Las pastas de dientes con flúor también pueden ayudar a prevenir la acumulación de sarro en los dientes. Existen pastas dentales formuladas específicamente para combatir el sarro. Estas suelen contener abrasivos suaves y agentes que ayudan a descomponer la placa.
- Usa hilo dental: El hilo dental ayuda a eliminar la placa y los restos de comida que se acumulan entre los dientes, lo que ayuda a prevenir la acumulación de sarro. El hilo dental es una herramienta esencial para limpiar entre los dientes donde el cepillo no llega. Es recomendable usarlo una vez al día.
- Emplea enjuague bucal: Los enjuagues bucales con agentes antibacterianos pueden ayudar a reducir la cantidad de bacterias en la boca, lo que puede prevenir la formación de sarro. Los enjuagues bucales con propiedades antibacterianas pueden complementar las técnicas de cepillado e hilo dental.
- Lleva una dieta equilibrada: Una dieta equilibrada, baja en azúcares y rica en frutas y verduras, puede ayudar a prevenir la formación de sarro. Además, es importante evitar el consumo excesivo de alimentos y bebidas ácidas, ya que pueden debilitar el esmalte dental. La alimentación desempeña un papel crucial en la salud bucal. Los alimentos ricos en azúcares y almidones son un caldo de cultivo para las bacterias, favoreciendo la formación de placa y sarro. Come muchas manzanas y zanahorias, y evita, en la medida de lo posible, el pan de molde. Consumir frutas y verduras frescas, como manzanas y zanahorias, puede ayudar a limpiar los dientes de forma natural.
- Evita el tabaco y el alcohol: Fumar y consumir alcohol en exceso pueden debilitar el esmalte dental y favorecer la acumulación de sarro. Es importante evitar estos hábitos para mantener una buena salud bucal y prevenir problemas como la caries y la enfermedad periodontal. Evita alimentos ricos en azúcares, bebidas azucaradas y tabaco.
Implementar prácticas efectivas de higiene puede ayudar a reducir la acumulación de placa bacteriana y, por ende, la formación de sarro.
El tipo de cepillo de dientes utilizado puede influir significativamente en la eficacia de la eliminación del sarro. Los cepillos eléctricos han demostrado ser más eficaces en la eliminación de placa bacteriana en comparación con los manuales, gracias a su capacidad para realizar movimientos oscilantes y rotativos. Los cepillos interdentales son útiles para alcanzar las áreas entre los dientes que un cepillo normal podría no limpiar adecuadamente. Su inclusión en la rutina diaria puede contribuir a reducir la acumulación de sarro.

Consecuencias de No Tratar el Sarro Dental
Si eres una de las muchas personas que piensan que el sarro dental no es más que una molestia, piénsalo bien. El sarro dental puede causar multitud de problemas si no se trata, y es importante saber cómo puede afectar a tu salud bucal el hecho de ignorarlo.
En primer lugar, cuanto más tiempo dejes que el sarro dental permanezca en tu boca, más bacterias se acumularán a su alrededor. Estas bacterias pueden causar diversas enfermedades de las encías, como la gingivitis y la periodontitis, que son afecciones graves que pueden provocar dolor o incluso la pérdida de los dientes. No sólo eso, sino que los estudios también han relacionado el sarro dental no tratado con otros problemas sistémicos, como las enfermedades cardíacas y la diabetes.
Además, cuando la placa (la sustancia que acaba por endurecerse y convertirse en sarro) se deja en los dientes, puede empezar a corroer el esmalte. Esto provoca la decoloración de los dientes e incluso caries. El sarro dental también atrapa partículas de comida entre los dientes, lo que provoca mal aliento y un sabor desagradable en la boca.
¿Qué es el Sarro Dental Negro?
Puede que hayas oído hablar de la frase "diente de negro", pero ¿sabías que en realidad puede estar causada por el sarro dental negro? El sarro dental es una forma de placa endurecida que se acumula en los dientes y puede causar decoloración.
Suele ser de color marrón o amarillo, pero en algunos casos puede volverse negro debido a ciertos factores, como tener una alta concentración de hierro en la saliva. El hierro presente en la saliva se une a ciertas bacterias que producen la pigmentación oscura. Este tipo de acumulación de placa puede aparecer en otras partes de los dientes, pero suele afectar a las muelas.
Afortunadamente, el sarro dental negro puede tratarse con una higiene bucal adecuada y una limpieza profesional por parte de un dentista. El cepillado regular y el uso del hilo dental son esenciales para eliminar la acumulación de placa en los dientes. Además, utilizar un enjuague bucal antiséptico o una pasta de dientes como parte de tu rutina diaria puede ayudar a prevenir la aparición de este problema.
Tu dentista también puede recomendar el raspado y el alisado radicular, que es un procedimiento utilizado para eliminar los depósitos endurecidos de la superficie de los dientes. El raspado consiste en eliminar la placa con instrumentos especiales, mientras que el alisado radicular alisa las zonas ásperas de la superficie de la raíz que son propensas a acumular bacterias. Esto ayuda a detener la propagación de las bacterias y previene una mayor decoloración.
Mitos y Realidades sobre los Remedios Caseros
Vamos a ser muy directos: no existen trucos ni productos “milagro” antisarro. A poco que busques en Internet, encontrarás cientos de remedios caseros para eliminar el sarro de los dientes, la mayoría con bicarbonato, limón o agua oxigenada entre sus componentes. Sin embargo, ninguno de estos remedios va a hacerle ningún favor a tu boca, sino todo lo contrario, sobre todo si recurres a ellos con frecuencia.
La Importancia de la Prevención
En el caso del sarro, el mejor ataque es una buena defensa. El único remedio casero contra el sarro es la prevención, es decir, cumplir con una buena higiene oral en casa para evitar que aparezca. Es especialmente importante no olvidarnos de los espacios interproximales, entre diente y diente, para lo que podemos utilizar el hilo dental o los cepillos interproximales, al menos una vez al día.
¿Qué Hago si Ya se me ha Formado Sarro?
La placa bacteriana, una vez que se endurece y transforma en sarro, sólo puede eliminarse en el dentista, mediante una profilaxis o limpieza dental. Los aparatos sónicos y ultrasónicos que utilizamos los dentistas producen ondas vibratorias que rompen el sarro de la superficie del diente sin afectar en absoluto al esmalte.
¿Mi Saliva Puede Propiciar la Formación de Sarro?
No. La saliva es un 99 % agua y el resto de componentes son moléculas orgánicas e inorgánicas. La única causante del sarro es la falta de una buena higiene oral continuada en una determinada zona.
Recomendaciones Finales
Se recomienda acudir al dentista cada 6 meses para una revisión y limpieza profesional. Las consultas profesionales y el mantenimiento adecuado son fundamentales para garantizar una buena salud bucodental. En la clínica, se dispone de tratamientos avanzados para abordar la acumulación de sarro.