En Clínica dental Fuentes Quintana Guadalajara, queremos ayudarte a entender más sobre la importancia de las arcadas dentales. Cuando hablamos de la arcada dental, nos referimos a algo mucho más profundo que simplemente la «dentadura». Para empezar, una arcada dental se refiere al conjunto de dientes que están alineados en la mandíbula superior o inferior formando un arco.
Este concepto va mucho más allá de los dientes visibles. Las arcadas dentales son el conjunto de dientes alineados en forma de arco en las mandíbulas superior e inferior. Si te fijas en un esquema anatómico de la boca, verás que los dientes se disponen en dos «arcos»: el superior y el inferior, cada uno con características particulares. Por lo general, los adultos tienen 32 dientes permanentes repartidos en ambas arcadas (16 en la superior y 16 en la inferior), y cada lado de la boca contiene incisivos, caninos, premolares y molares.

Arcada Superior vs. Arcada Inferior
La arcada dental humana está formada por 32 dientes permanentes en los adultos, distribuidos de manera simétrica en la parte izquierda y derecha de la boca.
Arcada dental superior: Se refiere a la fila de dientes que están sujetos al hueso maxilar, o la parte superior de la mandíbula. Está anclada al hueso maxilar y tiene una forma más amplia y ovalada. Esta arcada tiende a tener una forma más amplia y ovalada en comparación con la inferior. Al ser más grande, es la encargada de cubrir ligeramente la arcada inferior al morder, asegurando una oclusión adecuada. Esta disposición permite que cubra ligeramente a la arcada inferior al morder, facilitando una oclusión adecuada.
Arcada dental inferior: En este caso, los dientes están alojados en la mandíbula inferior, un hueso móvil que participa activamente en la masticación y el habla. Situada en la mandíbula, que es la parte móvil del sistema, la arcada inferior tiene una forma más curva y estrecha. La arcada dental inferior suele tener una forma más estrecha y curva que la superior. Al ser móvil, es la que interactúa con la arcada superior durante la masticación, facilitando que los dientes trabajen en conjunto para triturar los alimentos.
Funciones de las Arcadas Dentales
La arcada dental tiene varias funciones importantes. Los arcos dentales son una estructura anatómica natural de la boca y funcionan como soportes y alineadores. Son la base en la cual los dientes están dispuestos e incrustados, de modo que este los mantenga siempre alineados en su respectiva posición.
- Masticar los alimentos: Los dientes de ambas arcadas trabajan juntos para triturar los alimentos de manera eficaz. Gracias a que los arcos mantienen a los dientes fuertemente unidos a la mandíbula, podemos masticar, desgarrar y cortar los alimentos adecuadamente, sin que los dientes se desprendan de su lugar. La masticación es el primer estadio del proceso digestivo. Cuando hay una maloclusión entre ambos arcos, los alimentos tienden a tragarse parcialmente masticados, ya que el hacerlo es difícil o provoca dolor.
- Hablar correctamente: Los dientes juegan un papel crucial en la pronunciación de ciertas palabras. La posición de nuestros dientes en la boca es parte fundamental de la cantidad de sonidos que usamos para comunicarnos. Si estos estuvieran dispuestos de otra manera, no podríamos pronunciar algunas palabras o acciones, como silbar.
- Estabilidad y soporte facial: Las arcadas dentales ayudan a mantener la estructura del rostro. Las arcadas dentales mantienen la estructura facial.

Tipos de Arcadas Dentales
Aunque todos tenemos una arcada dental, la forma exacta de esta puede variar entre las personas. No todas las arcadas son iguales; cada persona puede tener una forma de arcada distinta.
- Arcada ovalada: Es la forma más común y se caracteriza por un arco suave y equilibrado.
- Arcada cuadrada: Esta forma es más angulosa, y los dientes delanteros tienden a estar alineados en línea recta. Tiene un contorno más recto, ya veces los dientes frontales están en una línea recta.
- Arcada triangular: En este tipo de arcada, la parte delantera es más estrecha y los dientes tienden a converger hacia adelante.
La Oclusión y su Importancia
La oclusión se refiere a la forma en que los dientes de la arcada dental superior e inferior se encajan entre sí al morder. Tener una buena oclusión es vital, ya que evita problemas como el desgaste desigual, el dolor mandibular y las dificultades para masticar. Una buena oclusión implica que los dientes superiores cubren ligeramente a los inferiores cuando se cierra la boca, y que no haya un contacto excesivo o inadecuado entre ellos.Sin embargo, no todas las personas tienen una oclusión perfecta.
La maloclusión es una condición donde ambos arcos, el superior y el inferior, no encajen correctamente al cerrar la boca y al morder. Por lo general, las maloclusiones van acompañadas de dientes desalineados a lo largo del arco dental, que no siguen su posición correcta. Una maloclusión puede afectar negativamente la estética de la sonrisa y la estructura facial.
Problemas Comunes de Oclusión
- Sobremordida: Ocurre cuando la arcada dental superior cubre en exceso a la inferior.
- Mordida abierta: Se produce cuando los dientes anteriores no llegan a tocarse al morder.
- Apiñamiento dental: Cuando la arcada dental no tiene suficiente espacio para acomodar todos los dientes, se produce el apiñamiento.

Arcos de Ortodoncia
Los tipos de Arcos en Ortodoncia Correctiva: ¿Cuál usar y cuáles son sus diferencias?
¿Qué sabes sobre los arcos de ortodoncia? Como profesional del sector dental, es importante que puedas conocer mejor en qué consisten estos elementos que constituyen la parte activa del aparato. Sin ellos, ¡los dientes no se moverían a la posición deseada! En este artículo descubrirás tipos, clasificaciones, materiales y mucho más sobre estos materiales.
Dra. Los “arcos de ortodoncia” son los elementos que unen los brackets entre sí. Se consideran la parte activa del aparato ya que, sin su uso, los dientes no se moverían. Los brackets pueden ser visibles, como los metálicos, o estéticos como los de cerámica que son translúcidos o transparentes y se pegan a la superficie exterior de los dientes tomando su color. Es una ortodoncia formada por la combinación de brackets, elementos metálicos o cerámicos pegados a los dientes y de arcos de metal que los atraviesan.
La función de los arcos de ortodoncia no es otra que la de ejercer la fuerza necesaria para mover los dientes a la posición óptima: almacenan energía, la cual se libera en forma de estímulos que afectan al ligamento periodontal. ¿Esto qué provoca? Para que el arco de ortodoncia realice su función, es necesario que el ajuste sea perfecto. En este sentido, existen diferentes clases, las cuales están definidas por la sección transversal, composición, grosor y material, entre otros aspectos.
La arcada clínica es la forma que se traza mediante los slots del aparato dental. Viene determinada por el tipo de arco que utilices y puede modificar la arcada anatómica del paciente.
- Estrecha: se caracteriza porque la anchura intercanina es menor.
- Cuadrada: esta, por su parte, se recomienda a pacientes con arcadas amplias, que precisen de un enderezamiento de los segmentos inferiores y posteriores.
- Ovoide: la ovoide es la forma de arcada más utilizada.
¡El grosor también es determinante en los tipos de arcos de ortodoncia! ¿Cuál es la secuencia de arcos de ortodoncia que suele seguirse? Por lo general, en este tipo de tratamiento odontológico, primero se comienza con arcos flexibles finos y, posteriormente, se usa una secuencia de arcos más gruesos. Lo normal es comenzar con calibres más finos, ya que las fuerzas que producen son más ligeras. El material empleado es otro de los factores que influyen en el desempeño del arco. Usualmente se usan aleaciones de metales como los que te explicamos a continuación.
- Acero inoxidable: los arcos de tipo rígido suelen estar fabricados en este material. Cabe destacar que, al ser rígidos, estos arcos no se flexionan cuando se ejerce fuerza sobre ellos, sino que quedan deformados.
- Níquel Titanio (Ni-Ti): se trata del material más usado en ortodoncia actualmente debido a sus sorprendentes propiedades. Otra de sus cualidades es su capacidad de volver a su forma original; es lo que se conoce como un material con memoria. ¿Sabías que la NASA lo usa en ciertos componentes para viajar a Marte? ¡Increíble! Dentro de esta aleación cabe destacar los NiTi Reverse, con una aleación de alta calidad que presenta una curva inversa.
- TMA (Beta Titanio): no lleva níquel, por lo que es una estupenda opción para aquellos de tus pacientes que sean alérgicos a este material.
Por último, es importante nombrar dos tipologías diferentes: los arcos de ortodoncia estéticos y los linguales. En cuanto a los estéticos, existe una línea estética disponible tanto en NiTi como en acero inoxidable. Estos arcos se pintan o recubren de un material que hace que se camuflen con los dientes y los brackets.
Por otro lado, están los llamados arcos linguales. Estos consisten en un alambre de acero de entre 0,6 y 1 mm de grosor que se sitúa en la parte interior de los dientes de la arcada inferior. A su vez, pueden ser fijos o no. Los fijos llevan una sujeción que se realiza soldando en los molares; los removibles se insertan en un cajetín hecho con un material acrílico. Este tipo de arcos tienen diversas aplicaciones, aunque no siempre es posible su colocación.
Acortamiento de la Arcada Dentaria (AAD)
El problema se investigó en ensayos epidemiológicos, clínicos y experimentales. Se presentan los parámetros más importantes examinados en estos estudios y se describe su significado con gran detalle utilizando algunas publicaciones como ejemplo.
En la literatura científica, la definición de AAD no es la misma en todos los casos. Los estudios establecen diferentes condiciones morfológicas iniciales como criterio de inclusión en los ensayos respectivos. Estas diferencias deben ser consideradas de forma cuidadosa en la interpretación de los resultados. Sin embargo, la definición utilizada en la revisión de Armellini y von Fraunhofer3 puede aplicarse a la mayoría de los estudios: «EL AAD puede definirse como la presencia de una región anterior intacta pero con un número reducido de parejas oclusales de piezas posteriores».

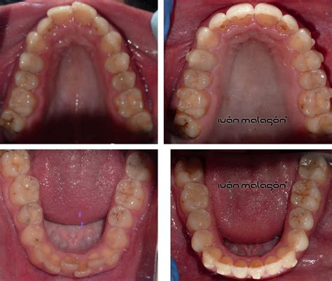
Ejemplo ilustrativo de una arcada dentaria inferior corta. Este paciente concreto presentaba unas condiciones oclusales estables 25 años después de la extracción de los molares.
Capacidad Masticatoria
Una arcada dentaria corta no necesariamente implica una reducción de la capacidad masticatoria. La mayoría de los pacientes se quejan de dificultades en la masticación cuando no existen o solamente existen dos pares de premolares oclusales. No obstante, la situación cambia por completo cuando la región premolar está intacta y el paciente presenta como mínimo un par de molares oclusales. En este caso, las quejas sobre alteraciones en la capacidad masticatoria son excepcionales4.
Estabilidad Oclusal
Para poder describir la estabilidad oclusal de los casos de AAD se analizaron los siguientes parámetros: espacio interdentario, contactos oclusales de los dientes anteriores, sobremordida, desgaste de los dientes oclusales y soporte del hueso alveolar. Los casos estudiados mostraron más espaciado interdentario en la región premolar, más dientes anteriores en contacto oclusal y menos soporte de hueso alveolar. Sin embargo, dado que estas condiciones permanecieron constantes durante el período de observación, la conclusión obtenida fue que el AAD puede proporcionar estabilidad a largo plazo5.
Trastornos Temporomandibulares
Estudios epidemiológicos extensos no detectaron ninguna evidencia que indique que el AAD provoque signos y síntomas asociados con el trastorno temporomandibular. No obstante, el riesgo de dolor y crujidos articulares aumenta si se ha perdido por completo el apoyo posterior de forma unilateral o bilateral6.
Intervenciones Odontoprotésicas
Los estudios sobre la eficacia del tratamiento protésico desafían los conceptos terapéuticos destinados a sustituir los dientes posteriores. Un estudio que comparó los resultados de la entrevista en pacientes con y sin restauraciones dentales concluyó que «parece que apenas existe una necesidad sociofuncional para sustituir los dientes posteriores perdidos por prótesis parciales removibles hasta que la persona presenta menos de 3 unidades funcionales posteriores»7. No obstante, también debe hacerse énfasis en que la preocupación estética influye en la búsqueda de tratamiento y en la resistencia a las implicaciones funcionales del AAD. El papel subjetivo que desempeña en la motivación del paciente a buscar tratamiento es complejo y en ocasiones mal entendido.
Consecuencias
Los resultados científicos obtenidos en los pacientes con AAD han llevado al concepto de acortamiento de la arcada dentaria. Este concepto supone un desafío diagnóstico y terapéutico. Puesto que los requerimientos para una dentición funcional también pueden satisfacerse con una arcada dentaria acortada, las razones para tratar a los pacientes con AAD deben buscarse en cada caso individualizado. Debe otorgarse prioridad a mantener y sustituir las partes importantes desde el punto de vista estratégico de la arcada dentaria: las regiones anterior y premolar. Sin embargo, dado que los requerimientos funcionales pueden variar considerablemente de un paciente a otro, el tratamiento debe ajustarse en cada caso a las condiciones individuales del paciente y a sus necesidades y capacidad de adaptación. Además, las preocupaciones estéticas del paciente con respecto al aspecto dental pueden desempeñar un papel significativo en la determinación a completar el plan terapéutico.
Salud Bucodental y las Arcadas Dentales
Comprender qué tipo de arcada dental tienes, así como la forma en que los dientes están alineados, es crucial para mantener una buena salud bucodental. No mantener una adecuada higiene oral puede derivar en problemas como la sensibilidad dental, caries, enfermedad de las encías, entre otros. Fumar puede producirnos complicaciones en nuestra salud bucal, desde manchas y mal aliento, hasta enfermedades de las encías. El exceso de alimentos azucarados en nuestra dieta puede ocasionar una proliferación más abundante y rápida de caries.
Durante el tratamiento de ortodoncia, es fundamental prestar una especial atención a la salud bucodental, realizando un correcto cepillado de los dientes y aparatos con productos específicos para portadores de ortodoncia. Es esencial acudir a revisiones periódicas con el odontólogo para prevenir problemas dentales y mantener una salud bucal óptima.
En Clínica Dental Ceodent, revisiones completas para evaluar la salud y disposición de tus arcadas dentales.
Referencias
- Beyron H..Optimal occlusion.., 13 (Dent Clin North Am 1969), pp. 537-554
- Käyser AF..Shortened dental arches and oral function.., 8 (J Oral Rehabil 1981), pp. 457-462
- Armellini D, von Fraunhofer JA..The shortened dental arch: A review of the literature.., 92 (J Prosthet Dent 2004), pp. 531-535
- Sarita PT.N, Witter DJ, Kreulen CM, Van''t Hof MA, Creuger NHJ..Chewing ability of subjects with shortened dental arches.., 31 (Community Dent Oral Epidemiol 2003), pp. 328-334
- Witter DJ, Creugers NH, Kreulen CM, de Haan AF..Occlusal stability in shortened dental arches.., 80 (J Dent Res 2001), pp. 432-436
- Sarita PT.N, Kreulen CM, Witter DJ, Creugers NHJ..Signs and symptoms associated with TMD in adults with shortened dental arches.., 16 (Int J Prosthodont 2003), pp. 265-270
- Leake JL, Hawkins R, Locker D..Social and functional impact of reduced posterior dental units in older adults.., 21 (J Oral Rehabil 1994), pp.