La salud dental es un aspecto fundamental de nuestro bienestar general. Problemas como las raíces dentales largas pueden generar inquietudes y desafíos en el diagnóstico y tratamiento. En este artículo, exploraremos en detalle las causas, síntomas y tratamientos de las raíces dentales largas, incluyendo condiciones como el taurodontismo y la reabsorción radicular.
¿Qué es el Taurodontismo?
El taurodontismo es una afectación dental poco frecuente que se caracteriza por una alteración de los dientes en su forma y estructura, principalmente en las muelas. El término «taurodonto» proviene del latín y significa «diente de toro», en referencia a la apariencia robusta y alargada de los dientes afectados.
En un diente normal, la cámara pulpar (el espacio interno donde se encuentra la pulpa dental), está bien definida y las raíces son largas y estrechas. Sin embargo, en los dientes taurodontos, la cámara pulpar es anormalmente grande y profunda, y las raíces son más cortas y menos definidas. Esta malformación se presenta en su gran mayoría de casos en los molares, ya sean en los superiores como en los inferiores, y puede afectar una o varias muelas al mismo tiempo.

Representación esquemática del taurodontismo.
Causas del Taurodontismo
El taurodontismo es una condición dental que generalmente está asociada a factores genéticos del paciente. Las investigaciones más recientes han demostrado que esta anomalía en la estructura dental puede tener un fuerte componente hereditario, lo que significa que puede ser transmitida de padres a hijos. Consecuentemente, los pacientes con antecedentes familiares de taurodontismo tienen más probabilidades de desarrollar esta condición.
Una de las causas del taurodontismo más reconocidas está relacionada con ciertos factores genéticos y éstos pueden estar presentes en personas con síndromes específicos. El taurodontismo es más común en individuos que padecen Síndrome de Down, una condición genética causada por la presencia de una copia extra del cromosoma 21. En estos casos, las malformaciones dentales, incluido el taurodontismo, son parte del conjunto de síntomas asociados a este síndrome tan conocido.

Radiografía dental mostrando taurodontismo.
El taurodontismo también puede ocurrir de manera aislada, sin estar relacionado con ningún síndrome o condición hereditaria.
Síntomas del Taurodontismo
El taurodontismo es una condición que puede llegar a pasar desapercibida, debido a que en muchos casos no presenta síntomas visibles a simple vista. Sin embargo, cuando los dientes taurodontos comienzan a desarrollar problemas, pueden aparecer una serie de síntomas que deben ser atendidos:
- Dolor dental: Aunque el taurodontismo por sí solo no suele causar dolor, los pacientes pueden experimentar molestias si el diente afectado desarrolla caries o infecciones.
- Caries frecuentes: Los dientes con taurodontismo tienen una estructura interna alterada que puede facilitar la aparición de caries, ya que la cámara pulpar agrandada puede complicar la higiene dental adecuada.
- Dificultad en el tratamiento de conductos: Uno de los mayores desafíos del taurodontismo es que complica los procedimientos de tratamiento de conductos o endodoncia.
Diagnóstico del Taurodontismo
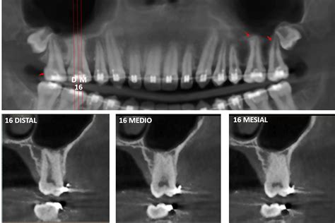
El diagnóstico del taurodontismo no siempre es evidente a través de una simple observación clínica, ya que los dientes afectados pueden parecer normales en el exterior. Por eso, el uso de radiografías dentales es esencial para identificar esta condición.
Si se sospecha de taurodontismo, se procederá a tomar radiografías para evaluar la estructura interna de los molares. Una vez confirmado el diagnóstico, se establecerá un plan de tratamiento personalizado. Dependiendo del estado de los dientes afectados, puede ser necesario realizar procedimientos de endodoncia compleja o restauraciones dentales.
ER006-146-62 Terapia endodóntica dientes primarios antero superiores con fusión y taurodontismo
Tratamiento del Taurodontismo
El tratamiento del taurodontismo varía según la gravedad del caso y el estado general de los dientes afectados de cada paciente. Uno de los mayores desafíos que presenta el taurodontismo es la dificultad para realizar endodoncias o tratamientos de conductos debido a la morfología anormal de los dientes afectados.
En los procedimientos de endodoncia, utilizamos técnicas de imagen detalladas para guiar cada paso del tratamiento, asegurando que se logre un sellado adecuado de los conductos y evitando complicaciones futuras como infecciones o tratamientos secundarios.
Los dientes afectados por taurodontismo suelen ser más propensos a desarrollar caries debido a su estructura alterada. Si una caries afecta un diente taurodonto, puede ser necesario realizar una restauración completa del diente para preservar la funcionalidad del diente. En los casos en los que la caries ha avanzado demasiado o el diente está gravemente afectado, se puede recomendar la colocación de una corona dental para proteger la estructura restante del diente.
En situaciones donde el taurodontismo ha causado un daño irreversible en el diente, puede ser necesario proceder con la extracción dental. Si se requiere una extracción, existen varias opciones de reemplazo para asegurar que no haya pérdida funcional o estética en la sonrisa del paciente. Entre las opciones más comunes se encuentran los implantes dentales, que proporcionan una solución fija y duradera para reemplazar el diente perdido.
Reabsorción Radicular
La reabsorción radicular es un proceso patológico en el cual las células del cuerpo, por diversas razones, comienzan a degradar y reabsorber el tejido de las raíces de los dientes. Este fenómeno puede ocurrir tanto en las raíces de los dientes permanentes como en las de los dientes temporales (de leche). La reabsorción radicular puede ser interna, afectando la dentina y la pulpa dentro de la raíz del diente, o externa, afectando el cemento y la superficie externa de la raíz.
Existen varias causas posibles para la reabsorción radicular, que incluyen traumatismos dentales, enfermedades periodontales, presión excesiva en los dientes debido a la mordida irregular o maloclusión, inflamación crónica en la pulpa dental, y factores genéticos. La reabsorción radicular puede llevar a la pérdida de la raíz dental y, en casos graves, a la movilidad o pérdida del diente afectado. Es importante diagnosticar y tratar la reabsorción radicular a tiempo para evitar complicaciones graves.
Síntomas de la Reabsorción Radicular
Los síntomas de la reabsorción radicular pueden variar dependiendo de la causa y la gravedad del proceso de reabsorción. A continuación, se presentan los síntomas más comunes que pueden estar asociados con la reabsorción radicular:
- Movilidad dental: Uno de los síntomas más prominentes de la reabsorción radicular es la movilidad dental. Los dientes afectados pueden sentirse sueltos o moverse inusualmente en su posición.
- Sensibilidad dental: La sensibilidad dental, especialmente al masticar o al aplicar presión sobre el diente afectado, puede ser un síntoma de reabsorción radicular. Esto puede ocurrir debido a la exposición de la dentina subyacente debido a la reabsorción del tejido dental.
- Dolor dental: El dolor dental es otro síntoma común de la reabsorción radicular. El dolor puede ser agudo o sordo y puede empeorar al morder, masticar o aplicar presión sobre el diente afectado.
- Cambio en la apariencia dental: En casos avanzados de reabsorción radicular, puede producirse un cambio en la apariencia dental. Esto puede incluir cambios en la forma, el color o la posición del diente afectado.
- Encías inflamadas o sangrado: La reabsorción radicular puede provocar inflamación de las encías alrededor del diente afectado. Esto puede ir acompañado de sangrado de las encías, especialmente al cepillarse o usar hilo dental.
- Abscesos dentales: En casos severos de reabsorción radicular, puede desarrollarse un absceso dental. Esto ocurre cuando se acumula pus alrededor de la raíz del diente debido a una infección bacteriana.
Es importante tener en cuenta que algunos casos de reabsorción radicular pueden ser asintomáticos y solo detectarse mediante radiografías dentales de rutina o durante exámenes dentales de rutina realizados por un dentista. Si experimentas alguno de estos síntomas o notas cambios en tus dientes, es importante consultar a un dentista para una evaluación adecuada y un tratamiento oportuno.
Tratamiento de la Reabsorción Radicular
El tratamiento de la reabsorción radicular depende de varios factores, como la ubicación y la gravedad de la reabsorción, así como la salud general del paciente. Estas serían las opciones más comunes de tratamiento:
- Ferulización dental: La ferulización dental es un procedimiento en el cual los dientes móviles se unen a dientes adyacentes mediante un dispositivo de soporte, como un puente dental o una férula. Esta técnica ayuda a estabilizar los dientes afectados y prevenir su movilidad adicional. La ferulización puede ser una opción viable para pacientes con movilidad dental leve a moderada.
- Endodoncia y reconstrucción: En algunos casos, la movilidad dental puede ser el resultado de una infección o daño en el nervio dental. En estos casos, se puede realizar un tratamiento de conducto o endodoncia para eliminar la infección y salvar el diente. Una vez que se completa el tratamiento de conducto, el diente puede reconstruirse con una corona dental para restaurar su forma y función.
- Injerto óseo: Cuando la movilidad dental es el resultado de una pérdida significativa de hueso alrededor de los dientes, puede ser necesario realizar un injerto óseo para regenerar el tejido perdido. El injerto óseo puede ayudar a fortalecer el soporte óseo alrededor de los dientes y mejorar su estabilidad.
- Tratamiento periodontal: Si la movilidad dental se debe a enfermedad periodontal, como la periodontitis, es fundamental tratar la enfermedad para detener la progresión de la pérdida ósea y estabilizar los dientes afectados. El tratamiento periodontal puede incluir limpiezas profesionales, raspado y alisado radicular, y en casos avanzados, cirugía periodontal.
- Implantes dentales: Los implantes dentales son una opción de tratamiento avanzada y altamente efectiva para reemplazar dientes perdidos. Consisten en tornillos de titanio que se colocan en el hueso maxilar o mandibular, y actúan como raíces artificiales sobre las cuales se coloca una corona dental o un puente dental. Los implantes dentales ofrecen una solución permanente y duradera para reemplazar dientes perdidos, y pueden ser una opción viable incluso en casos de pérdida de raíces dentales en los incisivos.
Es muy importante consultar a un especialista para evaluar el alcance de la reabsorción radicular y determinar el mejor tratamiento para cada situación individual.
Otros Trastornos y Condiciones Relacionadas
Inflamación de la Raíz del Diente
La inflamación de la raíz del diente, también conocida como pulpitis, se produce cuando las bacterias se introducen en el interior del diente y desencadenan una inflamación en la pulpa, que puede extenderse a través de los conductos radiculares hasta la raíz del diente. La causa más común es la caries, pero también puede ser causada por periodontitis o traumatismos.
Movilidad Dental
La movilidad dental se refiere a la condición en la que un diente se siente suelto o se mueve más de lo normal. Esto puede ser causado por diversas razones, incluyendo bruxismo, maloclusión, ausencia de dientes antagonistas, ortodoncia sin retención adecuada, traumatismos, fracturas dentales, infecciones localizadas y enfermedades sistémicas como la osteoporosis.

Representación de la movilidad dental.
Encías Retraídas
Las encías retraídas son un problema común en el que las encías se reducen progresivamente, dando la sensación de tener los dientes largos o que se mueven. Esto puede ser causado por una mala higiene dental, cepillado agresivo, bruxismo o enfermedades periodontales. El tratamiento puede incluir estiramiento de encía, microinjerto de encía o placas de descarga.
Medidas Preventivas y Consejos
- Mantén una higiene bucal adecuada, cepillándote los dientes al menos dos veces al día y usando hilo dental diariamente.
- Visita a tu dentista regularmente para revisiones y limpiezas profesionales.
- Evita el tabaco y reduce el consumo de azúcar.
- Considera usar un protector bucal si rechina los dientes por la noche.
- Consulta a tu dentista ante cualquier signo de dolor, sensibilidad o movilidad dental.
Conclusión
Las raíces dentales largas y los problemas asociados requieren una atención cuidadosa y un tratamiento adecuado. Ya sea que se trate de taurodontismo, reabsorción radicular u otras condiciones, el diagnóstico temprano y un plan de tratamiento personalizado son clave para mantener la salud dental y prevenir complicaciones a largo plazo. No dudes en consultar a tu dentista para obtener la mejor atención posible.