Un diente flojo que se mueve en adultos es un problema que preocupa a muchos pacientes. Si notas que alguna de tus piezas permanentes está algo suelta o inestable, seguramente estás buscando remedios caseros para un diente flojo y quieres saber si hay formas de fortalecerla en casa. En esta guía te explicaré por qué puede ocurrir esto, qué remedios naturales para dientes sueltos pueden ayudar a tus encías y dientes, qué cuidados debes tener (y qué evitar), y cuándo es momento de visitar al dentista.

¿Por qué tengo un diente flojo que se mueve?
Lo primero es entender qué causa un diente flojo en un adulto, ya que un diente permanente no debería moverse nunca. Aquí te presento algunas de las causas más comunes:
- Enfermedad periodontal (gingivitis/periodontitis): Esta es la causa número uno. Una periodontitis avanzada destruye el hueso y los ligamentos que sujetan el diente. Las encías se retraen, el hueso de soporte se pierde y finalmente los dientes quedan flojos.
- Acumulación de sarro y mala higiene bucal: La placa bacteriana que no se elimina se convierte en sarro (cálculo) pegado al diente. El sarro bajo la línea de la encía provoca inflamación y “come” soporte óseo.
- Bruxismo (rechinar o apretar los dientes): Si aprietas fuerte la mandíbula o rechinas los dientes (a menudo por la noche, sin darte cuenta), estás aplicando una presión excesiva continuamente. Esto puede aflojar los ligamentos periodontales que sostienen el diente.
- Traumatismo o golpe: Un golpe fuerte en la boca (accidente, caída, practicando deporte) puede aflojar un diente sano. Incluso si el diente no se cae ni se rompe, el impacto puede lesionar las fibras que lo mantienen en su alveolo.
- Caries muy avanzada o infección de nervio (pulpitis): Una caries profunda que no se trata a tiempo puede destruir tanta estructura interna que el diente pierde estabilidad. O si produce una infección del nervio (un absceso dental), el diente puede “aflojarse” un poco por efecto del pus acumulado y la destrucción alrededor de la raíz.
- Problemas sistémicos y otros factores: Hay situaciones menos comunes pero posibles: por ejemplo, la osteoporosis puede disminuir la densidad ósea de la mandíbula y dejar los dientes más propensos a aflojarse.
Como ves, un diente flojo siempre tiene una causa subyacente. Identificarla es clave: no es lo mismo un diente flojo por encías enfermas que uno flojo por un golpe reciente. En cualquier caso, mi recomendación como dentista es consultar para determinar la causa exacta, especialmente si no mejora en pocos días.
Remedios Caseros para Dientes Flojos
Aquí te presento una lista de remedios caseros para dientes flojos que uso y recomiendo a mis pacientes cuando el caso lo permite. Son medidas naturales o caseras enfocadas en reducir la inflamación de encías, combatir infecciones leves y aportar un ambiente más favorable para que el diente se reafirme. Importante: Ten presente que estos remedios funcionan sobre todo si la movilidad del diente es pequeña (grado 1) y está relacionada con inflamación de encías u otras causas controlables. No son una cura mágica; piensa en ellos como una ayuda temporal o complementaria.
1. Enjuague bucal con agua salada tibia
Este es el remedio casero más clásico en odontología, y por buenas razones. El enjuague bucal con agua salada tibia actúa como un antiséptico natural suave.
- ¿Cómo hacerlo? Disuelve aproximadamente 1 cucharadita de sal de mesa (5 g) en un vaso de agua tibia (200 ml). Revuelve bien hasta que la sal se disuelva. Toma un sorbo grande y haz buches (enjuagues) moviendo el agua por toda tu boca, enfocándote en la zona del diente flojo. Haz gárgaras suaves y “bombea” el agua entre los dientes. Mantén el enjuague durante 30 segundos a 1 minuto, luego escupe. Repite hasta terminar el vaso.
- ¿Por qué funciona? La solución salina limpia la zona y ayuda a reducir la inflamación de las encías. La sal desinfecta un poco el área, porque crea un ambiente adverso para las bacterias. Si hay alguna infección leve o herida en la encía, favorece el drenaje (ayuda a que salga el pus si hubiera un absceso pequeño). También alivia las encías inflamadas.
2. Aplicación de frío
Aplicar frío en la zona es un remedio sencillo para aliviar el dolor, bajar inflamación y potencialmente evitar más daño en caso de un trauma.
- ¿Cómo se hace? Toma unos cubitos de hielo envueltos en un paño limpio o usa una bolsa de gel frío. Aplica la compresa fría por fuera, en la cara, justo sobre la zona donde está el diente flojo. Mantenla unos 5-10 minutos, retirando si molesta demasiado.
- ¿Qué logra? El frío constriñe los vasos sanguíneos y reduce la inflamación de los tejidos. Si tu diente flojo viene acompañado de encías hinchadas o dolor (por ejemplo, tras haberte dado un golpe, o por un absceso), la compresa fría te ayudará a disminuir la hinchazón y entumecer un poco el área para que duela menos.
3. Aceite esencial de clavo
El aceite esencial de clavo es un remedio natural muy famoso para el dolor de muelas, pero también nos sirve en casos de diente flojo, sobre todo si hay dolor o infección en la encía.
- ¿Cómo usarlo? Consigue aceite esencial de clavo (se vende en farmacias o herbolarios). Impregna ligeramente un algodoncito o hisopo (cotonete) con una o dos gotas de aceite de clavo. Aplica con cuidado sobre la encía alrededor del diente flojo, dando un pequeño masaje suave. También puedes empapar una punta de algodón y colocarla un par de minutos entre la encía y el diente afectado.
- Beneficios: Alivia el dolor local (es casi un anestésico natural de corta duración) y combate gérmenes que puedan estar infectando la encía. Muchos pacientes sienten mejoría temporal en la fijación del diente porque baja la inflamación y duele menos al masticar.
4. Ajo o cebolla crudos
Tanto el ajo como la cebolla son conocidos por sus propiedades antibacterianas y antiinflamatorias. En el contexto de un diente flojo, pueden ayudar a combatir la infección de encías y reducir la inflamación alrededor del diente afectado.
- ¿Cómo aplicarlo? Toma un diente de ajo fresco, pélalo y machácalo hasta formar una pasta o cortarlo por la mitad para que suelte jugo. Coloca esa pasta de ajo directamente sobre la encía alrededor del diente flojo, déjala actuar unos 2-3 minutos (no mucho más, para que no irrite). Luego enjuaga tu boca con agua (preferiblemente tibia con sal, combinando remedios). Con la cebolla el método es similar: un pedacito de cebolla cruda (idealmente cebolla morada, que es muy antimicrobiana) se puede masticar o simplemente colocar contra la encía del diente suelto.
- ¿Qué hacen? El ajo contiene alicina, y la cebolla compuestos sulfurados; ambos son como “antibióticos naturales”. Matan muchas bacterias dañinas en la boca y reducen la carga microbiana de la encía, lo que ayuda si hay infección o gingivitis. También mejoran la circulación en la zona, facilitando la curación.
5. Cúrcuma y pimienta negra
La cúrcuma es una especia milagrosa en términos antiinflamatorios, y la pimienta negra ayuda a potenciar sus efectos.
- ¿Cómo usarla? Mezcla ¼ de cucharadita de cúrcuma en polvo con una pizca de pimienta negra molida. Puedes añadir unas gotas de agua o de aceite de coco para formar una pasta espesa (algunos lo hacen en seco, solo polvo). Con el dedo limpio o un hisopo, toma un poco de esa mezcla amarillo-anaranjada y masajea suavemente la encía alrededor del diente flojo por unos 1-2 minutos. Luego enjuaga con agua para retirar el exceso.
- ¿Qué beneficios tiene? La cúrcuma contiene curcumina, un potente antiinflamatorio y antioxidante natural. Reduce la hinchazón y promueve la cicatrización de tejidos. La pimienta negra contiene piperina, que no solo es antiinflamatoria también, sino que mejora la absorción de la curcumina.
6. Aceite de mostaza y sal fina
Este es un remedio casero tradicional de la India para fortalecer encías: combinar aceite de mostaza con sal fina. Suena peculiar, ¡pero es otro truco clásico!
- ¿Cómo se usa? Mezcla en un cuenco pequeño 2 o 3 gotas de aceite de semilla de mostaza (mustard oil, se consigue en tiendas naturistas o asiáticas) con una pizca de sal fina (sal de mesa está bien). Frota esa mezcla con el dedo limpio directamente sobre la encía que rodea el diente flojo, haciendo un masaje suave durante unos 2 minutos. Luego enjuaga con agua.
- ¿Qué hace? La sal, igual que en el enjuague, ayuda a eliminar bacterias y a “exfoliar” suave la línea de la encía. El aceite de mostaza es ligeramente irritante (en el buen sentido) y mejora la circulación sanguínea en las encías, haciéndolas más firmes con el uso regular.
7. Oil pulling (enjuague de aceite)
El oil pulling o enjuague de aceite es un antiguo hábito ayurvédico que se ha popularizado en occidente por sus beneficios para la salud bucal. Consiste en enjuagar la boca con aceite vegetal, típicamente aceite de coco orgánico o aceite de sésamo.
- ¿Cómo se hace? Idealmente por la mañana en ayunas (pero puedes hacerlo cuando sea). Toma una cucharada de aceite de coco (que se derrite en la boca) o de aceite de sésamo. No lo tragues, haz buches y pásalo por toda la boca durante unos 10 a 15 minutos. Luego escúpelo en la basura (no al lavabo, puede solidificar y tapar caños en el caso del coco).
- Beneficios: El aceite actúa “secuestrando” a las bacterias y la placa bacteriana. Tras 10-15 minutos, has dejado tu boca mucho más limpia de gérmenes. Esto ayuda a que bajen las inflamaciones de encías y previene acumulación de sarro.
8. Gel de aloe vera
El gel de aloe vera es otro remedio natural fabuloso para las encías. Es antiinflamatorio, cicatrizante y antibacteriano. Se ha utilizado para tratar gingivitis y incluso en bolsas periodontales moderadas.
- ¿Cómo aplicarlo? Si tienes una planta de sábila en casa: corta una penca pequeña, ábrela y extrae el gel transparente de su interior. Aplica ese gel directamente sobre la encía alrededor del diente flojo. Masajea suavemente con el dedo para que penetre un poco. No enjuagues inmediatamente; deja que el aloe actúe en la encía durante 5-10 minutos. Luego puedes enjuagar con agua.
10 Remedios Caseros para Fortalecer Dientes Flojos y Tambaleantes - Como Fortalecer Dientes Flojos
Remedios caseros para desinflamar las encías al instante
En muchas ocasiones nos gustaría poder desinflamar las encías al instante y acabar así con la molestia y el dolor que nos pueda estar ocasionando. Afortunadamente, existen soluciones efectivas para aliviar la inflamación y el dolor de encías de manera casi inmediata, siempre y cuando lo que esté causando la inflamación sea una causa menor.
- Enjuagues con agua salada: Uno de los remedios caseros más simples y efectivos para desinflamar las encías al instante es realizar enjuagues con agua salada.
- Compresas frías: Las compresas frías son otro recurso casero valioso para desinflamar las encías al instante.
- Té de manzanilla: El té de manzanilla, conocido por sus propiedades antiinflamatorias y calmantes, es un remedio natural ampliamente utilizado para reducir la inflamación de las encías y aliviar el malestar oral.
- Aceite de árbol de té: El aceite de árbol de té es conocido por sus propiedades antisépticas y antiinflamatorias, lo que lo convierte en un remedio natural eficaz para desinflamar las encías y combatir problemas bucales.
- Aloe vera: El aloe vera, conocido por sus propiedades calmantes y curativas, es un remedio natural que puede ayudar a aliviar la inflamación de las encías y reducir el malestar en la cavidad bucal.
Importancia de las encías saludables
Las encías desempeñan un papel crucial en nuestra salud bucal y general:
- Base de soporte para los dientes: las encías son fundamentales para mantener los dientes en su lugar.
- Prevención de enfermedades periodontales: el descuido de las encías puede llevar al desarrollo de enfermedades periodontales, como la gingivitis y la periodontitis.
- Reducción del riesgo de infecciones: las encías inflamadas o dañadas pueden convertirse en una puerta de entrada para bacterias y otros patógenos hacia el torrente sanguíneo, lo que aumenta el riesgo de infecciones sistémicas.
- Alivio del dolor y la incomodidad: las encías inflamadas pueden ser dolorosas y causar molestias significativas al hablar, comer y cepillarse los dientes.
- Mejora de la estética dental: unas encías saludables son un componente crucial de una sonrisa atractiva.
- Previene la pérdida de tejido gingival: la recesión gingival, o retracción de las encías, puede exponer las raíces de los dientes, lo que puede causar sensibilidad dental.
- Beneficios para la salud general: la salud bucal está estrechamente relacionada con la salud general.
¿Cuándo acudir al dentista?
Es importante saber cuándo es necesario acudir al dentista para evaluar y tratar problemas de salud bucal, incluyendo la inflamación de las encías. Aquí te dejo algunas señales de alerta:
- Inflamación persistente: si la inflamación de las encías no disminuye después de varios días de aplicar remedios caseros o tratamientos de venta libre, es importante buscar la evaluación de un dentista.
- Dolor intenso: si experimentas un dolor severo en las encías que no responde al tratamiento en el hogar, es fundamental buscar atención dental.
- Sangrado: el sangrado de las encías durante el cepillado o el uso del hilo dental es común en casos de inflamación, pero si persiste a pesar de una buena higiene oral, es importante consultar a un dentista.
- Recesión gingival: si notas que las encías se están retirando y exponiendo las raíces de los dientes, esto podría ser un signo de enfermedad periodontal.
- Mal aliento: el mal aliento crónico, también conocido como halitosis, puede ser un síntoma de problemas en las encías o infecciones.
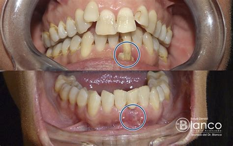
- Presencia de abscesos o úlceras: si observas abscesos, úlceras o protuberancias en las encías, esto puede ser un signo de una infección oral.
- Cambios en la coloración de las encías: si notas cambios en el color de las encías, como enrojecimiento intenso o pálidas, esto podría ser un signo de problemas de salud bucal.
- Antecedentes de enfermedad periodontal: si tienes antecedentes de enfermedad periodontal o gingivitis crónica, es importante programar exámenes dentales regulares.
¿Cuáles son los síntomas de la retracción de encías?
Las encías retraídas pueden afectar a tu salud dental y estética, aprende a identificar las señales:
- Se notan los dientes más largos: aunque parece difícil de detectar sí que es posible notar una longitud mayor de las piezas respecto a hace algún tiempo.
- Color diferente en la línea de encías: si eres un poco observador puedes detectar tonos distintos entre la raíz expuesta y la corona del diente.
- Inflamación de las encías: si compruebas que tus encías se hinchan y enrojecen, sobre todo en los márgenes, podría estar comenzando la retracción.
- Sangre en las encías: suele aparecer durante el cepillado o cuando se muerden alimentos un poco más duros, como manzanas, por ejemplo.
- Excesiva sensibilidad a los alimentos: se produce un dolor intenso cuando ingieres algún alimento o bebida muy fría o caliente, ácida o dulce.
- Movilidad dental: podrías notar cómo algún diente se mueve ligeramente, en este caso no deberías dejarlo más tiempo.
Consejos para tratar la recesión de encías con una solución natural
Existen remedios caseros para encías retraídas naturales que te pueden ayudar a evitar que este problema aparezca. Queremos ayudarte a mantener tus dientes y encías sanos, pero no olvides que una buena higiene y la prevención, siempre serán claves para conseguirlo.
- Milenrama Sus hojas tienen efectos anti-inflamatorios, analgésicos y anti-coagulantes, por lo que puede ayudar a reducir la retracción de encías con una solucion casera en cualquiera de sus fases. Lo mejor es masticar las hojas o también machacarlas hasta obtener una pasta con la que masajear las encías. Para la retracción de encías otra solución natural, es hacer gárgaras con una infusión de milenrama.
- Té verde El té verde tiene importantes propiedades anti-inflamatorias y antioxidantes que ayudan a rebajar la inflamación de las encías y mejorar la fijación dental. Si quieres evitar la retracción de encías con unos buenos remedios caseros, te recomendamos dos infusiones de té verde al día. Será suficiente para que este té haga su trabajo.
- Salvia Para tratar la recesión de encías existe otro tratamiento casero muy útil y fácil de realizar: masticar hojas de salvia. Ha sido un remedio ancestral que se ha utilizado para combatir los abscesos dentales y las encías hinchadas gracias a sus propiedades anti-inflamatorias. Ayuda a proteger las encías y mejorar la higiene de tu boca. También puedes hacer gárgaras con la infusión.
- Aloe Vera Un gel de aloe vera te ayudará a rebajar la inflamación de encías y a prevenir la retracción de encías. Se puede romper una hoja y frotar el gel directamente en la encía después del cepillado de dientes.
- Aceite de coco El aceite de coco posee ácido láurico y un tipo de triglicéridos con propiedades anti-inflamatorias y antimicrobianas que te ayudará a tratar y evitar las encías retraídas. Si mezclas este tipo de aceite con la sal marina y masajeas tus encías reducirás la inflamación provocada por la retracción.
- Aceite de limón Se obtiene de la cáscara de limón y tiene propiedades antisépticas y antimicrobianas. Puedes masajear tus encías con el aceite o añadir varias gotas a un vaso con agua tibia para hacer gárgaras. Además, de tratar la rectracción de encías con un remedio casero, este aceite te ayuda a eliminar el mal aliento.
- Suplemento de vitamina C Las frutas y verduras frescas son ricas en vitamina C, sobre todo los kiwis, los tomates, los cítricos, brócoli, pimientos, etc. Si se pueden comer crudas, mucho mejor para evitar la pérdida de vitamina en la cocción.
Alimentos para regenerar hueso dental
Lo primero que hay que tener en cuenta cuando hablamos de alimentos para regenerar hueso dental es que, la mejor forma de abordarlo, es una buena prevención. De este modo, podremos estar seguros de contar con unos huesos sanos y fuertes, por lo que su regeneración se llevará a cabo de manera natural y sin problemas. Por otro lado, más allá de los alimentos para regenerar hueso dental, también existe la posibilidad de aplicar un injerto, que sirve para añadir hueso artificial que permita la regeneración más rápida del hueso dental. Además, otro aspecto que no se puede pasar por alto, es que una buena higiene dental será fundamental al hablar de la regeneración del hueso dental, ya que la acumulación de bacterias y placa puede ser la causa de pérdida de esmalte y afecciones más graves.
Aquí te presento una tabla con los alimentos que pueden ayudarte a regenerar el hueso dental:
| Nutriente | Alimentos | Beneficios |
|---|---|---|
| Calcio | Leche y derivados | Formación de huesos y dientes, contracción muscular, actividades del sistema nervioso. |
| Vitamina D | Pescados azules (sardina, salmón, atún, caballa, etc.), lácteos, yema del huevo | Ayuda a la absorción del calcio, fortalece huesos y dientes. |
| Flúor | Alimentos de origen animal (carnes y pescados), vegetales (espinacas, lechuga, cebolla, naranja) | Fortalece el esmalte dental y endurece los dientes. |
| Proteínas | Alimentos de origen animal (carne, pescado y huevos) | Fundamentales para la regeneración de cualquier tejido del organismo. |

Recuerda que la clave para una buena salud bucal es la prevención, la higiene y las visitas regulares al dentista. ¡Cuida tus dientes y encías!