En el mundo de la ortodoncia, los retenedores juegan un papel crucial para mantener los resultados obtenidos tras un tratamiento. En Clínica Pico Blanco, entendemos la importancia de estos dispositivos y estamos aquí para ayudarte a solucionar cualquier problema que pueda surgir.

Los retenedores dentales son fundamentales en la ortodoncia invisible para que los resultados del tratamiento se mantengan a lo largo de los años. Los dientes siempre intentan recuperar su posición original después del tratamiento. Además, el envejecimiento provoca que los huesos sufran remodelado, lo que puede dar lugar a cambios en la posición de los dientes.
Los retenedores de ortodoncia son dispositivos diseñados para mantener los resultados obtenidos durante el tratamiento de ortodoncia. Tras la retirada de los brackets, los retenedores ayudan a mantener los dientes en su nueva posición, evitando que vuelvan a su posición original.
¿Qué son los retenedores fijos?
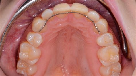
Los retenedores fijos consisten en un alambre delgado que se coloca en la parte posterior de los dientes. El funcionamiento de los retenedores fijos no es nada complicado. Se trata de que un alambre fijo actúe como una barrera para que los dientes vuelvan a desplazarse. Los retenedores dentales fijos son unos hilos de metal que se colocan en la cara interna de los dientes y se adaptan a su forma, de manera que quedan totalmente ocultos.
Se utiliza después del tratamiento de ortodoncia para que los dientes se adapten a su nueva posición de forma ordenada. Si no se utiliza este retenedor dental fijo hay una alta probabilidad de que los dientes vuelvan a su posición original y por tanto el tratamiento de ortodoncia no haya servido para nada.
La colocación de los retenedores fijos en ortodoncia es un paso clave para garantizar los buenos resultados del tratamiento a largo plazo. Antes de colocar los retenedores fijos en ortodoncia el profesional dental deberá evaluar la alineación de los dientes, corroborando que estén en la posición correcta al finalizar el tratamiento.
Proceso de Colocación
- Limpieza de los dientes: Se limpian las superficies donde irán colocados los retenedores para que se adhieran de forma perfecta.
- Adhesión del alambre en los dientes: El alambre fino se coloca detrás de los dientes incisivos, en la parte posterior y se fijan con un adhesivo especial.
La duración del proceso de la colocación de los retenedores fijos no suele ser más de 30 minutos aproximadamente. A pesar de que son muy rápidos en la colocación, poco molestos y nada invasivos, también tienen que cuidarse y mantenerse.
Tipos de Retenedores
Existen principalmente dos tipos de retenedores:
- Retenedores Fijos: Estos retenedores consisten en un alambre delgado que se adhiere a la parte posterior de los dientes con un cemento dental específico. Los retenedores fijos permanecen en su lugar permanentemente, por lo que no requieren la colaboración activa del paciente.
- Retenedores Removibles: Los retenedores removibles, como las férulas transparentes, son dispositivos que se pueden quitar para comer y cepillarse los dientes. Estos son aparatos de plástico transparente que el paciente puede quitarse y ponerse según sea necesario. Son cómodos de usar y pueden ser retirados para comer o cepillarse los dientes.
En algunos casos pueden beneficiarse más de un tipo de retenedor que de otro, y en ocasiones se puede optar por una combinación de ambos tipos para obtener los mejores resultados.
¡Los mejores RETENEDORES para después de ortodoncia, en el 2023!
Problemas Comunes con Retenedores Fijos
Uno de los problemas más comunes en los retenedores fijos en ortodoncia es que el alambre se desprenda y se rompa. Si se desprende, los dientes pueden comenzar a moverse de nuevo y requiere atención. Que se despegue un retenedor dental fijo es una de las urgencias de ortodoncia más comunes que nos podemos encontrar.
Este tipo de retenedor, colocado detrás de los dientes para mantener su posición tras un tratamiento de ortodoncia, puede perder su adhesión debido al desgaste natural o malos hábitos, como morder objetos duros.
Problemas Asociados
- Desplazamiento dental: Si se desprende, los dientes pueden comenzar a moverse de nuevo y requiere atención.
- Daño a los tejidos blandos: Si se ha descementado en algunos de los dientes, además de las consecuencias descritas, podrías sufrir heridas en tejidos blandos como la lengua o el labio por el fragmento de alambre despegado.
- Alambre suelto: Uno de los problemas más comunes es que el alambre se desprenda y se rompa.

¿Qué hacer ante un problema con tu retenedor fijo?
- Mantén la calma: Es importante no entrar en pánico.
- Revisa en el espejo: Inspecciona el área afectada para evaluar la situación.
- Tacto con la lengua: Siente cuidadosamente el retenedor para identificar cualquier parte suelta o rota.
- Evita tocar el retenedor: No manipules el retenedor más de lo necesario.
- Contacta a tu ortodoncista: Llama a tu ortodoncista lo antes posible para programar una cita.
Lo más importante es que llames a tu clínica dental lo antes posible y pidas tu cita previa para solucionar el problema. Que un retenedor fijo se despegue puede ser un problema, pero no necesariamente peligroso si se actúa rápidamente.
Cuidado y Mantenimiento de los Retenedores Fijos
A pesar de que son muy rápidos en la colocación, poco molestos y nada invasivos, también tienen que cuidarse y mantenerse. Mantener el retenedor en buen estado es crucial para garantizar que los resultados del tratamiento de ortodoncia se mantengan a largo plazo.
Higiene Oral
La higiene dental puede representar dificultades sobre todo donde la placa se acumula más, como en los espacios cerca de las encías. En cuanto a la higiene, los retenedores fijos se limpian dentro del protocolo diario de higiene dental del paciente.
- Limpieza diaria: Los retenedores removibles deben limpiarse diariamente con un cepillo suave, agua fría y jabón.
- Higiene oral general: Además de cuidar tus retenedores, mantener una buena higiene oral en general es importante para prevenir el mal aliento.
- Revisiones periódicas: Dentro de las vistas anuales de control ortodóncico es recomendable que los pacientes se hagan también higienes dentales profesionales para ayudarle a mantener la salud general de su boca.
Alimentación y Hábitos
- Evita alimentos duros: Evita morder alimentos duros con retenedores fijos para evitar daños. Ten cuidado al morder ciertos alimentos: Y evita tirar mucho cuando comas alimentos duros, como el típico bocadillo, ya que puedes sacar el retenedor sin querer.
- Evita alimentos duros: Si practicas deportes de contacto, considera el uso de un protector bucal para evitar daños al retenedor y los dientes.
- No te muerdas las uñas: Ya que provocas que los dientes se muevan y que se despegue el retenedor.
Comodidad y Adaptación
Algunos pacientes pueden experimentar cierta incomodidad o irritación en los primeros días con los retenedores fijos en ortodoncia. La comodidad de los retenedores dentales puede variar según la persona y el tipo de retenedor utilizado. En general, los retenedores dentales son diseñados para ser lo más cómodos posible, pero algunas personas pueden experimentar cierta incomodidad o molestias, especialmente al principio.
- Sensación inicial: Cuando se coloca por primera vez un retenedor dental, puede sentirse extraño en la boca y puede causar cierta molestia o irritación.
- Adaptación: La mayoría de las personas se adaptan gradualmente a la presencia del retenedor en la boca.
- Ajustes: Si experimenta molestias persistentes o problemas con su retenedor, es importante comunicarse con su ortodoncista o dentista.
- Mantenimiento adecuado: El cuidado adecuado de los retenedores es esencial para mantener su comodidad y eficacia.
En los primeros días y si hay irritación, pueden hacerse gárgaras con agua salada tibia. En resumen, la comodidad de los retenedores dentales puede variar, pero en la mayoría de los casos, las molestias iniciales tienden a disminuir con el tiempo a medida que te acostumbras a usarlos.
Mal Aliento y Retenedores
Los retenedores dentales, ya sean fijos o removibles, pueden contribuir al mal aliento si no se mantienen limpios y cuidados adecuadamente.
- Acumulación de placa: Los retenedores pueden acumular placa bacteriana, al igual que los dientes.
- Limpieza deficiente: Es esencial limpiar regularmente los retenedores siguiendo las recomendaciones de tu ortodoncista o dentista.
Si experimentas mal aliento persistente a pesar de mantener una buena higiene oral y cuidar adecuadamente tus retenedores, es importante consultar a un dentista u ortodoncista.
Alternativas a los Retenedores Fijos
Los retenedores removibles son otra de las posibilidades para evitar el desplazamiento de los dientes. A diferencia de los retenedores fijos, los removibles sólo se aplican un cierto tiempo al día y eso hace que el éxito final del tratamiento depende de lo implicado y aplicado sea el paciente con esta fase final.
La Dra. Llidó especialista en ortodoncia le recomendará a cada paciente qué sistema es mejor para él teniendo en cuenta las características de su caso así como sus propias preferencias. En muchos casos se pone una barra adherida y también un retenedor transparente de uso nocturno.
Ortodoncia Invisible y Retenedores
La ortodoncia invisible ha revolucionado el campo de la corrección dental, ofreciendo una alternativa discreta y efectiva a los brackets tradicionales. La ortodoncia invisible es un sistema moderno de ortodoncia digital basado en la utilización de férulas transparentes con el que se consigue la correcta alineación dental sin tener que llevar molestos y antiestéticos brackets tradicionales.
Si estás considerando la ortodoncia invisible, no dudes en contactar con el Institut Joan Autrán para obtener asesoramiento y atención personalizada.

Duración del Uso de los Retenedores
La duración del uso de los retenedores de ortodoncia puede variar según las necesidades individuales del paciente. En general, se recomienda su uso de forma permanente para mantener los resultados del tratamiento a lo largo del tiempo. Lo normal es usar retenedores después de la ortodoncia durante 3 o 4 meses.
Después de estos 3-4 meses, lo más probable es que solo tengas que usar retenedores después de ortodoncia por las noches, para dormir. Como hemos dicho antes, esta es la mejor manera de tener tu sonrisa bien alineada para el mayor tiempo posible.
Aún con todo, no hay dos bocas iguales, de modo que cada caso es un mundo, de modo que consulta en tu clínica si quieres saber exactamente cuanto tiempo debes llevar los retenedores post ortodoncia.
Recuerda: No dudes en buscar atención profesional ante cualquier problema con tu retenedor. La rápida intervención puede prevenir complicaciones y asegurar una sonrisa saludable y bien alineada a lo largo del tiempo.