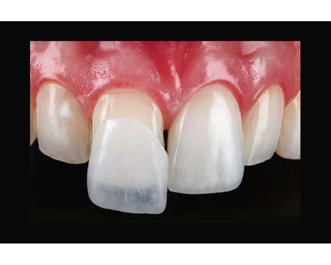
Las carillas dentales son un tratamiento de odontología estética diseñado para mejorar la apariencia de tu sonrisa. Se trata de finas láminas que se adhieren a la superficie de los dientes para corregir imperfecciones de color, forma, tamaño o posición. Sanitas ofrece diferentes opciones de seguros dentales y tratamientos con carillas, pero es importante informarse bien antes de tomar una decisión.

Tipos de Carillas Dentales
Las carillas pueden ser de composite o de porcelana (disilicato de litio). Cada material tiene sus propias características, ventajas y desventajas.
Carillas de Composite
Las carillas de composite son una fina capa de resina sintética que se adhiere al diente. Se utilizan para mejorar el color de los dientes, la forma o el tamaño. Es un tratamiento rápido de realizar, se colocan en una sola sesión. Si la carilla se fractura o erosiona, es fácil retocarla.
- Material: Resina sintética
- Duración: 5-7 años
- Ventajas:
- Tratamiento económico.
- Poco agresivo y muy seguro.
- Rápido de colocar (una sola sesión).
- Fácil de retocar.
- Desventajas:
- Mayor probabilidad de fracturarse.
- Se pueden estropear o perder color con el tiempo.
Carillas de Porcelana (Disilicato de Litio)
Son realizadas con un material cerámico llamado disilicato de litio fuerte y resistente. Este tipo de restauración está indicado para aquellas personas que tienen afecciones más graves como fracturas de los dientes, una zona amplia a restaurar o separación entre dientes. El procedimiento requiere dos visitas al dentista: la primera para hacer un molde de los dientes y la siguiente para su colocación con un cemento de resina.
- Material: Cerámica (disilicato de litio)
- Duración: Mayor que las de composite
- Ventajas:
- Material fuerte y resistente.
- Solución estética recomendable en pacientes con recesión gingival.

Microcarillas: Una Opción Avanzada
La microcarilla surge de la evolución que ha experimentado el tratamiento de carillas en las últimas dos décadas. La gran ventaja de las microcarillas, es que la preparación necesaria sobre el diente (tallado) es mucho menor que en las carillas convencionales. Existen diferentes tipos:
- Microcarillas de Disilicato de litio con técnica de planificación digitalmente guiada (First Fit).
- Microcarillas de Lumineers. Se trata de un procedimiento completamente aditivo, debido a que no se reduce el tejido dentario para su colocación.
Cualquier persona puede someterse a un tratamiento estético de microcarillas, siempre y cuando su boca goce de un buen estado de salud.
Indicaciones de las Microcarillas:
- Cuando existen alteraciones del color.
- Para restauraciones de grandes proporciones.
- Para pequeñas correcciones de posición dental.
- Por dientes rotados o alteraciones de ángulo.
Contraindicaciones de las Microcarillas:
- Cuando no existe una buena salud bucodental.
- Problemas de oclusión o posición inadecuada de la mordida.
- Restauraciones múltiples y/o amplias.
- Presentación anatómica inadecuada.
Independientemente de la técnica, sin duda, el éxito de este tratamiento radica en la planificación inicial y en conocer las expectativas del paciente de manera previa a realizar el procedimiento.

Gracias a estos softwares de diseño de sonrisa se puede planificar y recrear digitalmente el tratamiento de forma bastante realista. En este estudio se analizan tanto el rostro como la boca, rasgos particulares y proporciones faciales.
Cuidados y Mantenimiento de las Carillas
Independientemente del material de las carillas, es fundamental seguir una serie de cuidados para asegurar su durabilidad y mantener una buena salud bucodental:
- Higiene bucodental: Es importante llevar una rutina higiénica estricta para cuidar las carillas.
- Revisiones dentales: Para poder comprobar el estado de las carillas es necesario acudir al odontólogo cada 6-12 meses.
- Alimentación: A pesar de que las carillas son un material resistente, existe una serie de alimentos que pueden dañar o fracturar las carillas de composite.
Financiación con Sanitas
Sanitas hace más fácil el pago de tu tratamiento dental con diferentes opciones de financiación. Localiza tu Clínica Dental Sanitas.
Opiniones sobre Sanitas Dental
Las opiniones sobre Sanitas Dental son variadas, y es importante considerar diferentes perspectivas antes de tomar una decisión. Algunos usuarios expresan satisfacción con la atención recibida, mientras que otros reportan experiencias negativas. A continuación, se resumen algunas de las opiniones encontradas:
Opiniones Positivas:
- Atención rápida y amable.
- Profesionales competentes y humanos.
- Buenos productos y servicios.
Opiniones Negativas:
- Mala gestión y problemas para darse de baja.
- Presupuestos desproporcionados y tratamientos innecesarios.
- Problemas con la garantía de los tratamientos.
- Mala calidad de los materiales y servicios.
- Experiencias dolorosas y falta de profesionalidad.
- Diagnósticos erróneos y tratamientos incorrectos.
- Dificultades para acceder a los servicios cubiertos por la póliza.
- Cambios frecuentes de personal en las clínicas.
Algunos usuarios se quejan de que se les ofrecen servicios que no necesitan, con el único fin de facturar. Otros mencionan problemas con la garantía de los implantes y la dificultad para darse de baja del seguro.
Es importante leer detenidamente las condiciones de la póliza y preguntar todas las dudas antes de contratar un seguro dental. También es recomendable buscar referencias y opiniones de otros usuarios antes de elegir una clínica dental.
Seguros Dentales Sanitas: Coberturas y Promociones
Sanitas ofrece diferentes seguros dentales con diversas coberturas y promociones. Es importante comparar las opciones y elegir la que mejor se adapte a tus necesidades y presupuesto.
El seguro dental más completo de Sanitas ofrece cobertura en más de 73 servicios odontológicos en póliza y acceso a otros tratamientos dentales a precios ventajosos, con un 40% menos de precio que en el mercado. Con Sanitas Dental Premium, tienes cubierta una gran variedad de tratamientos como empastes, higienes dentales o extracciones.
Sanitas Dental Premium ofrece primas dirigidas exclusivamente a nuevos asegurados. Existen promociones aplicables a los seguros dentales Premium y Milenium, como cuotas gratuitas durante los primeros años de la póliza.
También ofrecen descuentos adicionales en ortodoncias, implantes osteointegrados y blanqueamiento dental por fotoactivación.

Tabla Comparativa de Seguros Dentales Sanitas (Ejemplo)
| Seguro Dental | Cobertura | Precio (aproximado) | Promociones |
|---|---|---|---|
| Sanitas Dental Premium | Más de 73 servicios, empastes, higiene dental, extracciones | [Precio] | Cuotas gratuitas, descuentos en ortodoncia e implantes |
| Sanitas Dental Milenium | [Cobertura] | [Precio] | [Promociones] |
Nota: Los precios y coberturas pueden variar. Consulta la información actualizada en la página web de Sanitas.