Uno de los momentos más emocionantes en ortodoncia es cuando retiramos los brackets o finalizamos el tratamiento con alineadores. El paciente se ve por primera vez con los dientes alineados y sonríe con ilusión. La fase de retención es casi tan importante como la fase activa del tratamiento de ortodoncia. Y aquí entran en juego los retenedores fijos.

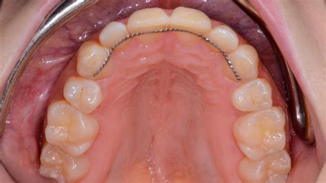
Retenedor fijo dental.
¿Qué es un Retenedor Fijo?
Un retenedor fijo (también llamado retenedor permanente) es un pequeño dispositivo que colocamos al finalizar la ortodoncia para mantener tus dientes en su nueva posición. Consiste en un alambre metálico muy delgado hecho a medida, que va pegado con un adhesivo especial en la parte posterior de ciertos dientes (generalmente los incisivos y caninos inferiores, de colmillo a colmillo). Al ir por detrás de los dientes, no se ve al sonreír y resulta discreto. Una vez colocado, no puede ser retirado por el paciente, sino solo por el ortodoncista si fuera necesario.
El objetivo del retenedor fijo es preservar la alineación conseguida con los brackets o alineadores. Piensa que tus dientes “recuerdan” su posición original antes del tratamiento y tienden a moverse de nuevo (lo que llamamos recidiva). El retenedor fijo actúa como un “seguro” que evita que los dientes se desplacen otra vez.
Tras unos días de adaptación, no notarás prácticamente que lo llevas: no causa dolor ni interfiere con el habla. Tu lengua al principio sentirá algo nuevo detrás de los dientes, pero rápidamente se acostumbra. Es importante destacar que, aunque el retenedor fijo reduce enormemente el riesgo de que los dientes se descoloquen, ningún retenedor garantiza al 100% que los dientes no se muevan nunca.
Tipos de Retenedores: Fijos y Removibles
En ortodoncia existen dos categorías principales de retenedores: los retenedores fijos y los retenedores removibles. Ambos sirven para el mismo fin (mantener los dientes en posición tras el tratamiento), pero funcionan de manera distinta:
- Retenedor removible: es un aparato que puedes quitar y poner (como las férulas transparentes tipo Essix o las placas de Hawley con alambre).
- Retenedor fijo: como ya describimos, es un alambre pegado permanentemente detrás de los dientes.
Muchas veces, para mayor seguridad, se combinan ambos tipos: por ejemplo, un retenedor fijo en los dientes inferiores y uno removible transparente para los superiores (a usar por las noches).
Cuidado del Retenedor Fijo
Tener un retenedor fijo significa que llevarás ese pequeño alambre en tu boca de forma permanente, posiblemente durante muchos años. La buena noticia es que es sencillo de cuidar con unos hábitos básicos, y ni notarás que lo llevas la mayor parte del tiempo. Pero no debemos olvidarnos de él: una correcta higiene y ciertos cuidados garantizarán que el retenedor cumpla su función sin causarte problemas.
Higiene Meticulosa
- Cepíllate los dientes al menos dos veces al día poniendo especial atención en la zona donde está el retenedor.
- Uso de hilo dental: ¡No abandones la seda dental! Es verdad que con un retenedor fijo no puedes pasar el hilo dental de la manera tradicional entre esos dientes frontales (porque el alambre lo impide), pero existen soluciones.
- Cuidado al comer: Una ventaja del retenedor fijo es que puedes comer con normalidad con él puesto, pero conviene tomar algunas precauciones para no dañarlo. Evita morder alimentos muy duros directamente con los dientes donde tienes el alambre.
Revisiones Periódicas
- Revisiones periódicas con el ortodoncista: Aunque tengas el retenedor fijo y todo parezca ir bien, es fundamental que acudas a tus revisiones de mantenimiento. Suelen programarse cada pocos meses al inicio (por ejemplo a los 3, 6 y 12 meses tras acabar la ortodoncia) y luego una vez al año.
- Atención a las señales de alarma: Normalmente, un retenedor fijo bien colocado no molesta ni se mueve. Si en algún momento sientes algo extraño, como que el alambre se ha soltado en un diente, que te roza la lengua o encía, o notas que se ha partido, contacta a tu ortodoncista lo antes posible. También si observas que tus dientes frontales comienzan a moverse o separarse ligeramente (puede indicar que el retenedor perdió efectividad en algún punto), pide una revisión.
¿Qué es el Sarro y Por Qué se Acumula en los Retenedores de Ortodoncia?
Los retenedores de ortodoncia son dispositivos que se usan para mantener los resultados del tratamiento de ortodoncia y asegurar que los dientes permanezcan en su nueva posición. Sin embargo, con el tiempo, es común que se acumule sarro en estos aparatos, lo que puede afectar tanto su eficacia como su estética.
El sarro, también conocido como cálculo dental, es una acumulación endurecida de placa bacteriana que se forma en la superficie de los dientes y los aparatos dentales, como los retenedores de ortodoncia. Se produce cuando los restos de alimentos y las bacterias en la boca se combinan con los minerales presentes en la saliva, formando una capa dura y calcificada.
Los retenedores de ortodoncia proporcionan lugares propicios para la acumulación de sarro debido a su diseño y a las dificultades para limpiarlos completamente. Las áreas difíciles de alcanzar y los pequeños intersticios entre los alambres y los dientes pueden facilitar la acumulación de placa bacteriana, que se convierte en sarro si no se elimina adecuadamente.

Acumulación de sarro dental.
Prevención de la Acumulación de Sarro
La mejor manera de prevenir la acumulación de sarro en los retenedores de ortodoncia es mediante una higiene bucal diligente y regular:
- Cepillado regular: La mejor manera de prevenir la acumulación de sarro en los retenedores de ortodoncia es cepillarlos regularmente con un cepillo de cerdas suaves y jabón neutro. Es importante cepillar cuidadosamente todas las superficies del retenedor, incluidos los alambres y las partes de plástico, para eliminar la placa bacteriana antes de que se endurezca y se convierta en sarro.
- Uso de enjuague bucal: Los enjuagues bucales antibacterianos pueden ayudar a reducir la cantidad de bacterias en la boca y, por lo tanto, disminuir la formación de placa bacteriana y sarro en los retenedores de ortodoncia. Enjuáguese la boca con un enjuague bucal recomendado por su dentista después de cepillarse los dientes y los retenedores para obtener mejores resultados.
- Limpieza profesional: Además del cuidado diario en casa, es importante hacerse limpiezas profesionales regulares con su dentista u ortodoncista. Durante estas visitas, el dentista puede realizar una limpieza profunda de los retenedores utilizando herramientas especializadas para eliminar el sarro y la placa acumulados.
Remedios Caseros
Algunas personas encuentran útiles los remedios caseros para eliminar el sarro de los retenedores de ortodoncia, como el uso de vinagre blanco o bicarbonato de sodio diluido en agua. Sin embargo, es importante consultar con el dentista antes de probar estos métodos para asegurarse de que sean seguros y efectivos para su retenedor.
Rutina Diaria de Limpieza
Después de un tratamiento de ortodoncia, los retenedores dentales se convierten en aliados indispensables para mantener los dientes en su nueva posición. Sin embargo, su efectividad depende en gran medida de cómo los cuides y los limpies. Al estar en contacto constante con dientes, encías y saliva, los retenedores pueden convertirse en un foco de bacterias, placa y sarro si no se limpian adecuadamente.
- Lávalos después de cada uso: Cada vez que te los quites, enjuágalos con agua fría o tibia para eliminar los restos de saliva y comida. Hazlo justo después de retirarlo, para eliminar la saliva y restos superficiales.
- Cepíllalos con un limpiador adecuado: Usa un cepillo de cerdas suaves con un limpiador específico para retenedores. Utiliza un cepillo de cerdas suaves (distinto al de tus dientes) y jabón neutro o lavavajillas suave.
- Remójalos en una solución limpiadora: Al menos una vez por semana, colócalos en una solución especial para prótesis dentales o retenedores. Diseñadas para prótesis y aparatos dentales, ayudan a eliminar manchas y bacterias.
- Guárdalos en un estuche limpio y seco: Cuando no los uses, guárdalos en su estuche para evitar la acumulación de bacterias. El estuche debe estar limpio y seco.
- Cepillado detallado: Asegúrate de limpiar bien la zona alrededor del alambre y los dientes a los que está adherido.
- Visita al dentista regularmente: Los retenedores fijos pueden acumular sarro con el tiempo.
Limpieza Profunda del Retenedor
Si notas que tu retenedor tiene manchas persistentes, sarro o mal olor, incluso después de limpiarlo a diario, es momento de una higiene más profunda.
Mezcla partes iguales de agua y vinagre blanco, sumerge el retenedor durante 15-20 minutos y luego cepillarlo con cuidado.

Proceso de limpieza de retenedores dentales.
Consejos Adicionales
- No comer ni beber con ellos puestos (excepto agua).
- Guárdalos siempre en su estuche cuando no los uses.
- Acude a revisiones periódicas con tu ortodoncista.
Con una combinación de cuidado diario en casa y visitas regulares al dentista, puede prevenir la acumulación de sarro y mantener sus retenedores limpios y funcionales.
Tipos de Retenedores Estéticos
En Odontología de DENTAL PONENT TARREGA queremos ayudarte a mantener tu sonrisa, por eso pensando en tu comodidad y estética te brindamos retenedores que puedes utilizar, además de unos tips para que los conserves y continúes tu tratamiento exitosamente.
Retenedores Estéticos Removibles
Cuentan con una funda transparente que se adapta perfectamente a la forma de tus dientes, ya que está hecha a la medida. Estos retenedores son de quitar y poner.
¿Cómo Limpio mi Retenedor Estético Removible?
- Limpia tu retenedor por lo menos una vez al día para mantenerlo libre de bacterias y acumulación de sarro.
- Cada vez que lo retires de la boca lávalo con agua y tu cepillo de dientes sin crema dental con jabón neutro.
- Quítate los retenedores antes de comer, no los laves con agua caliente.
Retenedores Fijos
El retenedor fijo (barra pegada a la cara interna del diente) es considerado como la mejor opción para evitar movimientos de los dientes, generalmente se colocan detrás de los 4 dientes en la parte superior y detrás los 6 dientes en la parte inferior. Dentro de sus ventajas sobresale por su estética, ya que puedes hablar o sonreír sin que se noten.
Indicaciones para Cuidar tu Retenedor Fijo
- Evita morder directamente objetos duros con los dientes delanteros.
- Evita morder alimentos como: zanahoria, manzana y/o chuches pegajosos.
- Asiste a tus controles de retenedores.
- Si se despega solicita una cita con tu ortodoncista.
- Es muy importante que tengas buena higiene oral con este retenedor: Así que cepíllate 3 veces al día y verifica especialmente en la parte del retenedor que la zona quede limpia.
Recuerda: El retenedor lo elige el profesional de acuerdo al paciente, diagnóstico y tratamiento, pero siempre pensando en brindarle la mejor opción estética funcional y cómoda. Además es responsabilidad tuya programar y cumplir con las citas de control.
Importancia del Uso de Retenedores Después de la Ortodoncia
Son cientos los casos de personas que han retomado el uso de brackets por no usar correctamente los retenedores. Pasa principalmente porque no cumplen al pie de la letra las indicaciones de uso que les deja su ortodoncista.
Los tratamientos de ortodoncia tienen 3 etapas: el estudio previo, la fase activa y la retención. Lo que quiere decir que, al retirar los brackets no ha culminado el proceso, solo es el fin de un período y todavía hay que continuar.
Cuando se despegan las piezas metálicas y se detiene la acción mecánica de los alambres, los dientes intentarán volver a su posición inicial. Esto ocurre porque los huesos, músculos y encías se están adaptando a su nueva posición. Entonces, el trabajo de los retenedores dentales es evitar que se pierda el trabajo realizado con la ortodoncia.
Beneficios de Usar Retenedores
Tal como mencionamos antes, la principal consecuencia de no llevar los retenedores al terminar el proceso de ortodoncia es el movimiento de los dientes. Estos retenedores:
- Permiten conseguir una oclusión saludable y estable.
- Si no pusiéramos retenedores dentales tras el tratamiento ortodóncico, volveríamos hacia atrás.
- Evitan que la estética se vea afectada. Además de los logros en salud, una sonrisa alineada da mejor armonía al rostro.
- Permiten que los niños y adolescentes conserven su sonrisa saludable toda la vida.
- Muchas personas llevan ortodoncia durante su infancia, lo cual es muy importante para evitar una maloclusión grave, pero un mal uso de la retención hace que se necesite una segunda ortodoncia.
Los dientes necesitan tiempo para adaptarse a su posición final, especialmente los tejidos gingivales que lo rodean.

Diferentes tipos de retenedores de ortodoncia.
Tipos de Retenedores de Ortodoncia
La ortodoncia es una disciplina que está en constante renovación. Siempre buscando alternativas para que los pacientes puedan sentirse cómodos mientras se realizan sus tratamientos.
Por eso, cuando comiences tu etapa de retención, según tu caso y necesidades estéticas, el Ortodoncista te recomendará cualquiera de los siguientes retenedores dentales:
Fijos
Son retenedores que se adhieren a la parte posterior de los dientes anteriores. Su función, al igual que la de los otros tipos, es evitar que los dientes se muevan de su posición final.
Se usan cuando se planea una retención prolongada o si se teme que se pierda, por inestabilidad, el alineamiento obtenido.
Placas Essix
Es un aparato termoplástico transparente sin paladar, casi imperceptible a la vista. Es removible y se adapta a la ergonomía de los dientes para evitar el movimiento tras finalizar la ortodoncia.
Cuidado de los Retenedores
El cuidado de los retenedores en sumamente sencillo. Realmente, cumpliendo unas prácticas de limpieza básicas y algunas precauciones, tendrás unos retenedores duraderos.
Recomendaciones para el Cuidado
- Retíralos antes de comer. De esta manera evitarás que se le adhieran alimentos y que se forme sarro en ellos.
- Evita dejarlos fuera de su estuche. No los envuelvas en servilletas o papel, alguna otra persona los puede confundir con basura y tirarlos.
- Límpialos a diario con jabón neutro o pastillas específicas efervescentes indicadas por tu Ortodoncista. Hazlo cada vez que cepilles tus dientes.
- Realiza la limpieza de tu boca y tus retenedores por separado.
Limpieza de Retenedores Fijos
Cuidar la limpieza dental con retenedores fijos es importante porque se llevan puestos continuamente. En este sentido, lo más recomendable es utilizar un cepillo de dientes de cerdas medio (nunca duro) y asegurarse de limpiar tanto la superficie frontal como la posterior de los dientes, prestando especial atención a la zona en la que se encuentra el alambre del retenedor.
Es aconsejable usar un hilo dental que pueda pasarse por debajo del alambre para eliminar los restos de comida y placa que puedan acumularse entre los dientes y alrededor del retenedor con el objetivo de prevenir la formación de caries y enfermedades de las encías. Hilo del tipo ‘Superfloss’, que permita enhebrarse entre la encía y el alambre.
Además, se recomienda usar irrigadores para asegurar la correcta limpieza del alambre.
Limpieza de Retenedores Removibles
Los retenedores que se ponen y se quitan son más sencillos de limpiar, pues basta con enjuagarlos con agua fría al quitárselos y cepillarlos con suavidad con un cepillo de cerdas que no sea duro y jabón neutro para eliminar saliva y posibles partículas de alimentos.
Además, una o dos veces por semana, es bueno sumergirlos en una solución limpiadora efervescente de venta en farmacias, que ayuda a eliminar bacterias y a eliminar posibles olores. Eso sí, es importante no exponer los retenedores a altas temperaturas ni dejarlos en lugares en los que puedan dañarse o deformarse.
Tips Sencillos para Mantener los Retenedores Limpios
El doctor Daniel Aragón, nuestro especialista en limpieza de retenedores, te da tres buenos consejos con los que conseguirás mantener los tuyos en perfecto estado de revista. ¡Y lo mejor es que son muy sencillos de implementar!
- Al limpiar tus retenedores, es preferible utilizar jabón neutro en lugar de pasta de dientes, ya que esta puede contener componentes abrasivos que dañen el material con el que están fabricados.
- No limpies tus retenedores con agua caliente ni los dejes al sol, podrían perder su forma y, con ello, toda su efectividad para bloquear el movimiento de los dientes.
- Asegúrate de colocarlos en su estuche cuando no los utilices para que no se dañen ni se pierdan, manteniéndolos siempre secos para evitar que la cal empeore su aspecto a largo plazo.
Y si te los quitas para comer fuera de casa y no lo llevas, como por ejemplo en un restaurante, no los envuelvas en papel, ¡no te imaginas la de retenedores que terminan en la basura accidentalmente por este motivo!
Estos consejos y estas rutinas de limpieza de retenedores harán que los tuyos duren lo máximo posible. ¡Para que presumas de sonrisa mientras quieras!
| Tipo de Retenedor | Material | Ventajas | Desventajas | Limpieza Recomendada |
|---|---|---|---|---|
| Fijo | Alambre metálico | Invisible, retención constante | Requiere higiene meticulosa, acumulación de sarro | Cepillado cuidadoso, hilo dental especial, irrigador bucal |
| Removible (Essix) | Termoplástico transparente | Removible, estético | Requiere disciplina, puede deformarse | Enjuague diario, cepillado suave, soluciones efervescentes |
Tabla comparativa de retenedores.