Las carillas de composite son una solución estética popular en odontología que permite mejorar la apariencia de los dientes de manera rápida y efectiva. Estas finas capas de resina compuesta se aplican sobre la superficie frontal de los dientes, corrigiendo imperfecciones como manchas, desgastes, espacios entre dientes y pequeñas maloclusiones. ¿Estás pensando en mejorar la estética y funcionalidad de tu boca, pero crees que las soluciones a tu alcance son demasiado complejas? En ese caso, has de saber que las carillas dentales de composite son una opción sencilla, rápida, indolora y no invasiva, perfectas para conseguir tu objetivo del modo más cómodo posible.

¿Qué son las carillas de composite?
Las carillas de composite son unas láminas finas a base de resina acrílica que se colocan de manera directa sobre el diente para mejorar su aspecto y corregir imperfecciones. Además de ser un tratamiento no invasivo, ofrece unos resultados excelentes, ya que el composite es un material que imita muy bien al esmalte natural de los dientes.
Ventajas Clave de las Carillas de Composite
Aunque existen desventajas de las carillas dentales, este tratamiento ofrece muchas ventajas que las convierten en una de las soluciones estéticas más populares. El principal atractivo de las carillas de composite está en la amplia cantidad de beneficios que aporta, tanto si hablamos de estética, como de mejora de la funcionalidad de la boca (por ejemplo, corrigiendo el desgaste natural de los dientes, rellenando pequeñas grietas o cubriendo diastemas). Sus ventajas más destacadas son:
- Resultados rápidos y efectivos: A diferencia de otros tratamientos como la ortodoncia invisible o los blanqueamientos, las carillas ofrecen resultados inmediatos. En solo dos o tres visitas al dentista, puedes conseguir una sonrisa completamente renovada. Esto las convierte en una buena opción para quienes buscan un resultado rápido y visible. Esto significa que no solo blanquean, sino que también mejoran la forma y el tamaño de los dientes.
- Personalización del color y la forma de los dientes: Una de las grandes ventajas de las carillas es que pueden ser personalizadas para que se adapten perfectamente a la forma, el color y el tamaño de tus dientes naturales. Esto te permite diseñar la sonrisa que quieras con la ayuda de tu dentista. Gracias a que se pueden personalizar, se pueden conseguir los resultados más naturales posibles. Esto significa que, independientemente del color de tus dientes o la forma de tu sonrisa, las carillas pueden adaptarse a lo que necesites con resultados indetectables.
- Poco mantenimiento y fácil cuidado: A diferencia de otros tratamientos estéticos, las carillas no requieren cuidados especiales. Con una buena higiene oral y visitas regulares al dentista, pueden mantenerse en perfecto estado durante muchos años. Además, no se manchan tan fácilmente como los dientes naturales, lo que ayuda a mantener una sonrisa brillante y uniforme sin mucho esfuerzo. Sin embargo, aunque no necesitan cuidados complicados, siempre es importante mantener una buena rutina de higiene dental.
- Son muy conservadoras con el diente natural, ya que no es necesario tallarlo, y además se trata de un tratamiento totalmente reversible.
- Ofrecen grandes resultados estéticos
- Son más económicas que otro tipo de carillas, como las de porcelana.
- Son fácilmente reparables en caso de que sufran algún daño
- Su colocación es sencilla e indolora
Las carillas de composite ofrecen una serie de ventajas que las convierten en una opción atractiva para quienes buscan mejorar su sonrisa:
- Aspecto natural: El composite se puede moldear y colorear para que coincida perfectamente con el tono y la forma de los dientes circundantes.
- Corrección de imperfecciones: Son ideales para corregir dientes descoloridos, manchas, pequeñas anomalías de forma, espacios entre los dientes y otros problemas estéticos.
- Proceso de aplicación menos invasivo que otras opciones: En comparación con otras alternativas, como las carillas de porcelana, el proceso de aplicación de las carillas de composite es menos invasivo. Requiere menos eliminación de esmalte dental natural, lo que significa que se conserva más de la estructura dental original.
- Opción más económica: Una de las ventajas más evidentes de las carillas de composite es su costo relativamente menor en comparación con las carillas de porcelana u otros procedimientos estéticos más complejos.
- Personalización: El paciente puede elegir distintas variables de las carillas como la forma e incluso el color.
- Rapidez: Como se ha mencionado anteriormente, el tratamiento de estética dental con carillas de composite es muy rápido. Al no tener que realizarse un tratamiento previo en el laboratorio, las carillas se pueden poner en una sola sesión.
- Tratamiento reversible: Las carillas dentales pueden aplicarse y, posteriormente, ser quitadas.
La diferencia entre Carillas de Resina y Porcelana
Desventajas y Consideraciones de las Carillas de Composite
Es importante realizar los mantenimientos indicados por el especialista. Pueden requerir restauraciones a lo largo del tiempo. No están indicadas en el caso de reparaciones dentales importantes.
Ahora bien, que el tratamiento con carillas de composite tenga ciertas ventajas, no quiere decir que sea perfecto. Entre sus desventajas, encontramos:
- Posibles limitaciones en términos de durabilidad: A pesar de su durabilidad y resistencia, las carillas de composite pueden tener limitaciones en cuanto a su longevidad en comparación con algunas alternativas. En promedio, pueden durar de 5 a 10 años, dependiendo de factores como los hábitos de cuidado oral del paciente y su estilo de vida.
- Cambio de color con el tiempo y susceptibilidad a manchas: Aunque las carillas de composite son resistentes a las manchas y la decoloración en cierta medida, con el tiempo pueden experimentar un cambio de color leve. Esto puede deberse a la exposición a alimentos y bebidas con pigmentos fuertes, como café, té o vino tinto.
- Mayor propensión a astillarse o romperse en comparación con porcelana: Aunque el composite utilizado en las carillas es resistente, es importante destacar que son más propensas a astillarse o romperse en comparación con las carillas de porcelana, que son más duras y menos porosas. Las actividades como morder objetos duros o abrir envases con los dientes pueden aumentar el riesgo de daños en las carillas de composite.
- Necesidad de mantenimiento y reemplazo eventual: A medida que pasa el tiempo, es probable que las carillas de composite requieran mantenimiento y eventual reemplazo. Esto se debe a su exposición continua a la tensión diaria y al desgaste normal. Además, si experimentas algún daño o cambio significativo en tu salud dental, es posible que necesites reemplazar las carillas para mantener una apariencia estética óptima.
¿Cómo es el Proceso de Colocación de Estas Carillas?
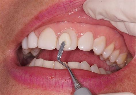
Empezamos con un Diseño de Sonrisa Digital que nos permitirá visualizar el nuevo aspecto de tu boca e imaginarte el resultado final desde el primer momento, ¡es una gran sensación! ¿Cómo lo hacemos? Combinando las diferentes pruebas registradas previamente con nuestra tecnología, como el escáner intraoral o diferentes fotografías. Visto el color y la forma del diente deseada, con nuestra impresora 3D podemos realizar una prueba en boca de este diseño. A esto le llamamos el encerado o mockup. Como ya tendrás ganas de tener las carillas realizadas, en una sola cita más, prepararemos tus dientes para la perfecta adhesión de las carillas y las colocaremos, para que puedas disfrutar de tu nueva sonrisa desde el primer momento.
¿En qué casos se utilizan las carillas dentales de composite?
La versatilidad de estas soluciones las hace idóneas para:
- Corregir defectos de tamaño, posición o color dental
- Reparar dientes gastados o astillados
- Corregir espacios entre los dientes
- Mejorar la mordida
¿Cuánto Tiempo Duran las Carillas de Composite?
La duración depende de diferentes factores: haber tenido en cuenta la integralidad del tratamiento de tu boca o la realización de los mantenimientos adecuados es lo más importante. Para que tu pronóstico sea el mejor posible, ten en cuenta los consejos del profesional que te acompaña.
Cuidados Necesarios para las Carillas de Composite
Para obtener los mejores resultados y la mayor durabilidad de las carillas, es muy importante seguir unos buenos hábitos de higiene bucodental (aunque esto es recomendable siempre y en todas las situaciones), además de:
- Evitar morder alimentos muy duros ni ninguna clase de objeto
- Limitar o evitar el consumo de comidas o bebidas con mucha pigmentación (café, té, refrescos y algunos tipos de salsa, como la de soja)
- No fumar
- Usar férula en caso de bruxismo
Es importante, además, acudir a las revisiones periódicas con tu odontólogo, no solo para comprobar el estado de tus carillas dentales, sino para el cuidado general de tu salud bucodental.
¿Qué son mejores, las carillas de composite o de porcelana?
No hay una opción mejor que otra, ya que dependerá del estado de tus dientes y del resultado que desees alcanzar.
Tabla Comparativa: Carillas de Composite vs. Porcelana
| Característica | Carillas de Composite | Carillas de Porcelana |
|---|---|---|
| Durabilidad | 5-10 años | 10-15 años o más |
| Costo | Más económico | Más elevado |
| Estética | Buen resultado, pero puede teñirse | Excelente resultado, resistente a manchas |
| Mantenimiento | Requiere más mantenimiento | Menos mantenimiento |
| Proceso | Más rápido, en una sola sesión | Requiere varias sesiones |
| Reparación | Fácil de reparar | No permite retoques posteriores |
