Cada vez son más las personas que optan por un tratamiento de ortodoncia para conseguir una sonrisa más estética. Tanto es así que algunos pacientes, después de llevar un tratamiento de ortodoncia (Invisalign, ortodoncia lingual, brackets de zafiro, brackets metálicos), no recuerdan cómo era su sonrisa antes del procedimiento. Una sonrisa sana y bonita es sinónimo de felicidad.

El Impacto de los Brackets en la Sonrisa y los Labios
La relación entre los dientes y los labios es muy estrecha. Los dientes desempeñan un papel clave en el soporte y la forma de los labios, por lo que cualquier cambio en la posición dental puede reflejarse en su apariencia. Antes de colocar los brackets, los labios se adaptan a la posición actual de los dientes.
Adaptación Labial Antes y Durante el Tratamiento
En casos de mordida protrusiva (donde los dientes superiores sobresalen), los labios superiores pueden parecer más pronunciados o incluso dificultar un cierre completo. Por otro lado, si los dientes están inclinados hacia adentro, los labios pueden lucir menos voluminosos o retraídos. Al colocar los brackets, los labios deben adaptarse a la presencia de estos dispositivos en la superficie de los dientes. Esto puede generar una sensación inicial de volumen adicional o rigidez en los labios, especialmente al hablar o cerrar la boca. Este efecto es más evidente en los primeros meses, mientras los pacientes se acostumbran a los brackets. A medida que el tratamiento avanza y los dientes comienzan a alinearse, los labios también se ajustan progresivamente.
Transformación Labial Después de la Ortodoncia
Una vez finalizado el tratamiento y retirados los brackets, los labios adoptan su nueva posición en función de la alineación dental lograda. En la mayoría de los casos, esto resulta en una apariencia más equilibrada y armónica. Los brackets no solo mejoran la estética de la sonrisa, sino que también pueden influir en la funcionalidad de los labios. Una mordida correcta facilita el cierre completo de los labios, lo que puede prevenir problemas como la sequedad bucal o el exceso de saliva.

Cuidado e Higiene Durante el Tratamiento
El uso de brackets requiere una mayor atención a la higiene bucal para prevenir complicaciones que puedan afectar los labios y los tejidos circundantes. Existen muchas creencias erróneas sobre los efectos de los brackets en los labios. Algunos piensan que estos dispositivos pueden deformar permanentemente los labios o causar dolor continuo, pero la realidad es que los cambios son adaptativos y temporales.
Beneficios Adicionales de la Ortodoncia
El uso de brackets no solo transforma la sonrisa, sino que también puede influir positivamente en la apariencia de los labios y la estética facial general. Aunque durante el tratamiento es normal experimentar ciertos ajustes en la posición y sensación de los labios, los resultados finales suelen ser altamente satisfactorios.
Ortodoncia invisible: Qué es y resultados
Si estás considerando un tratamiento de ortodoncia, no dudes en consultar con un ortodoncista experimentado para resolver tus dudas y garantizar los mejores resultados.
Alternativas Estéticas: Ortodoncia Invisible
Uno de los métodos de ortodoncia más estéticos es el procedimiento a partir de alineadores transparentes -Invisalign-. La ortodoncia invisible es una alternativa moderna a los brackets metálicos y cada vez es más popular entre aquellos que buscan mejorar su sonrisa de manera discreta. Sin embargo, muchos todavía tienen dudas sobre cómo funciona y los resultados que se pueden obtener.
La ortodoncia con alineadores invisibles ha demostrado ofrecer resultados sorprendentes. Hoy, exploraremos la ortodoncia invisible antes y después del tratamiento para mostrar los impactantes cambios que esta técnica ha logrado en la vida de muchas personas. Desde la comodidad hasta la confianza en sí mismos, la ortodoncia invisible ha demostrado ser una opción efectiva y eficiente para aquellos que desean mejorar su sonrisa sin comprometer su estilo de vida.

¿Cómo Funciona la Ortodoncia Invisible?
La ortodoncia invisible es un tratamiento de ortodoncia que utiliza alineadores personalizados para corregir algunos casos de maloclusión. A diferencia de los brackets tradicionales, los alineadores son prácticamente invisibles cuando se los usa, lo que los hace ideales para aquellos que buscan un tratamiento discreto.
El proceso de la ortodoncia invisible comienza con una evaluación dental y una toma de impresiones de los dientes. A partir de esta información, se crean los alineadores personalizados que se deben usar por un período determinado de tiempo, generalmente de seis a 6-12 meses.
A medida que los dientes se van moviendo gradualmente hacia su posición correcta, la sonrisa comienza a mejorar. Al final del tratamiento, los dientes estarán más rectos y alineados, lo que no solo mejorará la apariencia de la sonrisa, sino también la salud dental en general.
Además, la ortodoncia invisible es más cómoda que los brackets tradicionales, ya que no hay brackets ni alambres que puedan irritar la boca. También es una opción más práctica, ya que los alineadores se pueden retirar para comer y cepillarse los dientes, lo que los hace ideales para personas con estilos de vida activos.
Ventajas de la Ortodoncia Invisible
- Discreción: los alineadores transparentes son prácticamente invisibles, lo que los hace ideales para aquellos que buscan un tratamiento de ortodoncia discreto.
- Comodidad: los alineadores son más cómodos que los brackets y los alambres tradicionales, ya que no hay partes metálicas que puedan irritar la boca.
- Limpieza: La limpieza de los alineadores es muy sencilla.
Ortodoncia Lingual: Una Opción Completamente Imperceptible
La ortodoncia lingual es el único método que es completamente imperceptible. Existen multitud de brackets linguales en el mercado, pero solo se colocan brackets Incognito, de la marca 3M. Este sistema es el único que permite realizar tanto los arcos como los brackets a medida. De esta forma, podrán pautar un tratamiento a tu medida para que tengas la sonrisa que siempre has querido.
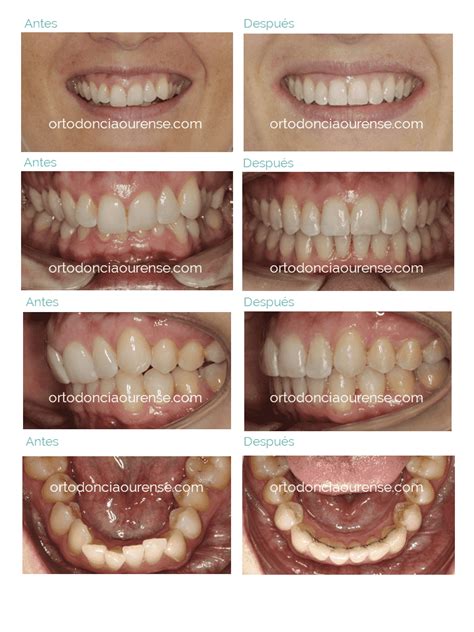
Casos de Ortodoncia Antes y Después
Hay un tratamiento odontológico cuya efectividad y beneficios son muy sencillos de demostrar: la ortodoncia. La ortodoncia corrige diferentes problemas bucodentales como el apiñamiento, la mordida cruzada, bruxismo, sonrisa gingival, dolores temporomandibulares y problemas esqueléticos. Su fin es lograr una mejor oclusión, es decir, que la mordida sea correcta.
A continuación, se presentan algunos casos de tratamientos de ortodoncia antes y después en adultos:
- Microdoncia y agenesia
- Sonrisa gingival posterior y maxilar hipoplásico
- Apiñamiento dental
- Retrusión mandibular
- Mordida abierta y asimetrías severas
En algunos casos, como en el caso de mordida abierta y asimetrías severas, se aprecia una diferencia notable en el antes y el después. Este tipo de tratamiento se realiza a medida, por lo que los resultados son siempre satisfactorios.
Además, es importante recordar que una mala mordida afecta tu estado general de salud. No esperes más para mejorar tu sonrisa y tu bienestar.