La búsqueda de una sonrisa perfecta es una aspiración común, y la ortodoncia se ha convertido en una herramienta poderosa para lograr este objetivo. Cada boca es única, y los especialistas dan un diagnóstico completamente personalizado y adaptado a las necesidades de cada paciente.

Ortodoncia Invisible: Una Opción Discreta y Efectiva
DR SMILE proporciona tratamientos de ortodoncia invisible para corregir algunos tipos de maloclusiones dentales. Este tratamiento utiliza un conjunto de aparatos dentales que se adaptan a los dientes y se cambian cada cierto tiempo para lograr una corrección gradual. Los alineadores son discretos y cómodos de usar, lo que los convierte en una opción popular para adultos y adolescentes que desean corregir su mordida cruzada sin la apariencia de los brackets tradicionales.
La ventaja de esta opción es que es menos invasiva que la cirugía, no tiene los mismos efectos secundarios, y es removible, lo que permite a los pacientes mantener una buena higiene bucal y una alimentación normal. Sin embargo, es importante tener en cuenta que cada caso es diferente y es necesaria una evaluación dental para determinar si este tratamiento es adecuado para cada caso.
Un ejemplo de esto es el presentador David Broncano, quien optó por la ortodoncia invisible para mejorar su sonrisa. "Broncano no ha dudado en elegir la ortodoncia invisible con alineadores en lugar de los incómodos y antiestéticos brackets”, aclara Vignolo.

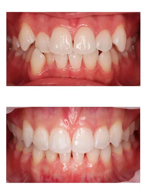
El Caso de David Broncano: Un Cambio Sutil pero Notorio
Aunque este cambio puede haber pasado desapercibido para los seguidores habituales de 'La vida moderna' o 'La Resistencia' debido a la sutileza con la que el jienense ha ido modificando sus dientes, el cambio es evidente. Poco a poco habíamos asistido a una evolución bucal de Broncano, sus “incisivos centrales rotados”, como define la doctora Romina Vignolo, de Clínicas Boca a Boca y especialista en ortodoncia y ortopedia dentomaxilar, ya no parecían amontonarse en su boca, pero ¿era cosa de magia?, ¿de cirugía?, ¿de fundas?
Enfrentar una foto del antes y el después del presentador es demoledor, no hay dudas, tanto si le idolatras como si no lo haces, el cambio dental es evidente. Broncano ha pasado de tener “una arcada superior triangular con los incisivos rotados que dan más aspecto de forma triangular” en lugar de la forma de U abierta habitual, según precisa Romina Vignolo.
Además de la ortodoncia, Broncano también se sometió a un blanqueamiento dental para mejorar el color de sus dientes. Según el criterio de Daniela Carranza, “se ha sometido a un blanqueamiento dental para mejorar estéticamente el color de sus dientes”.
El peso de ser uno de los presentadores más queridos y exitosos del país y su creciente popularidad entre el mundo de los paparazzi parecen haber llevado a David Broncano a pulir su imagen. De humorista invitado a presentador de late show de éxito, no solo su carrera ha sufrido un cambio radical, su imagen también ha ido evolucionando poco a poco hasta convertirle en rumoreado candidato a pareja sentimental de más de una actriz española. Poco queda de aquel chaval de Jaén que se reía de sus propios chistes.
La barba fue solo el principio ya que el cambio de indumentaria -al menos para recibir a famosos en 'La Resistencia'- y el cambio de alimentación, como ha asegurado en más de una ocasión -"Ya no como Foskitos"-, han ido puliendo poco a poco su imagen.

Más Allá de la Estética: Beneficios de la Ortodoncia
La ortodoncia no solo mejora la apariencia de la sonrisa, sino que también puede corregir problemas de mordida y mejorar la salud bucal en general.
Casos de Éxito y Tratamientos Personalizados
Clínicas dentales como Ferrus & Bratos se guían por pautas editoriales que aseguran la veracidad de toda la información que publican. Dra. Patricia Bratos es fundadora de la Clínica Dental Ferrus & Bratos, donde ejerce de ortodoncista. Es licenciada en Odontología y se especializó a través del Máster en Ortodoncia de la Universidad Complutense de Madrid. Está acreditada para llevar a cabo cualquier tratamiento ortodóncico, como ortodoncia lingual e invisible.
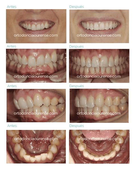
Existen numerosos casos de éxito en los que la ortodoncia ha transformado la vida de los pacientes. A continuación, se presentan algunos ejemplos de tratamientos realizados:
- Ortodoncia invisible y estética: Pacientes que buscan mejorar la posición de sus dientes y corregir desgastes.
- Ortodoncia invisible: Niños con malposiciones dentales que se corrigen con Invisalign.
- Implantes y estética: Pacientes que han perdido dientes y buscan restaurar su sonrisa con implantes y coronas de circonio.
- Estética dental: Pacientes que desean mejorar el color, la forma y el tamaño de sus dientes con carillas de porcelana.
Estos son solo algunos ejemplos de cómo la ortodoncia puede mejorar la vida de las personas, tanto a nivel estético como funcional.

Carillas de Disilicato de Litio: Una Solución para Mejorar la Estética Dental
Las carillas de disilicato de litio son una excelente opción para corregir alteraciones de color, forma y tamaño de los dientes. Se trata de láminas de cerámica que se adhieren a la superficie frontal de los dientes, proporcionando resultados duraderos y de gran calidad.
El procedimiento para colocar carillas de disilicato de litio es mínimamente invasivo y no genera dolor al paciente. Se realiza una leve preparación de los dientes para eliminar una fina capa de esmalte dental, creando espacio para la colocación de las carillas. Las carillas se confeccionan a medida en un laboratorio dental especializado, utilizando tecnología de última generación.
Tabla de Tipos de Ortodoncia y sus Características
| Tipo de Ortodoncia | Descripción | Ventajas | Desventajas |
|---|---|---|---|
| Brackets Tradicionales | Brackets metálicos adheridos a los dientes con alambres. | Eficaz para corregir maloclusiones complejas, más económico. | Menos estético, puede causar molestias. |
| Ortodoncia Invisible (Alineadores) | Alineadores transparentes removibles que se cambian periódicamente. | Estético, cómodo, removible para comer e higiene. | Puede ser más costoso, requiere disciplina del paciente. |
| Brackets de Zafiro | Brackets transparentes hechos de zafiro. | Más estético que los brackets metálicos, resistente. | Más costoso que los brackets metálicos. |
| Ortodoncia Lingual | Brackets colocados en la cara interna de los dientes. | Totalmente invisible. | Puede ser incómodo al principio, más costoso. |
La elección del tipo de ortodoncia dependerá de las necesidades y preferencias de cada paciente, así como de la evaluación del ortodoncista.