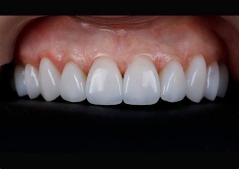
Tener una sonrisa deslumbrante es el deseo de muchas personas. Las carillas dentales pueden convertir ese sueño en realidad. Las carillas dentales son una solución eficaz para lograr una sonrisa perfecta y radiante cuando el color, la forma o el tamaño de los dientes no son los adecuados. En este artículo, explicaremos en detalle qué son las carillas de porcelana, para qué sirven, los diferentes tipos que existen en el mercado, cómo se ponen paso a paso y los cuidados que requieren.

¿Qué son las carillas de porcelana?
Las carillas dentales de porcelana, también conocidas como carillas de cerámica, son láminas delgadas y personalizadas de materiales cerámicos que se adhieren a la parte frontal de los dientes para mejorar su apariencia estética. Las carillas dentales son láminas delgadas, de porcelana o resina compuesta, que se adhieren a la parte frontal de tus dientes naturales. Las carillas cerámicas o de porcelana pueden modificar la forma, el tamaño, la posición o el color de los dientes gracias y permiten una alta personalización a las necesidades del paciente.
Sí, las carillas cerámicas dentales y de porcelana son lo mismo, es decir, podemos usar ambos términos indistintamente para referirnos al mismo tratamiento dental.
¿Para qué sirven las carillas de porcelana o cerámica?
Las carillas de porcelana son una herramienta versátil en la los tratamientos dentales estéticos. Las carillas de porcelana pueden utilizarse para corregir problemas de posicionamiento dental, como dientes torcidos, apiñamientos leves o diastemas. Las carillas cerámicas, también pueden cubrir problemas de decoloración, manchas o irregularidades en la forma y el tamaño de los dientes.
Tipos de carillas de porcelana
Existen distintos tipos de carillas de porcelana o cerámica: ultrafinas, de disilicato de litio, de zirconio y de porcelana feldespática. A continuación veremos con detalle cada una de ellas y las distintas características que presentan:
Carillas ultrafinas
Las carillas ultrafinas son un tipo de carillas de porcelana especialmente delgadas, ideales para correcciones mínimas en la apariencia dental. Las carillas ultrafinas tienen porcelana inyectada, razón por la que ofrecen una mayor durabilidad que el resto, y son muy finas, por lo que, generalmente, no es necesario limar ni alterar la forma original del diente para colocarlas.
Carillas de zirconio
Las carillas de zirconio son altamente resistentes, maleables y ofrecen unos muy buenos resultados a nivel estético. Estas carillas de alta tecnología combinan la estética natural con la durabilidad y resistencia del zirconio, brindando resultados excepcionales. Este tipo de carillas dentales de porcelana son ligeramente más gruesas que las ultrafinas, por lo que solamente se usan en casos muy específicos, ya que su resultado es menos natural y se requiere un mayor tratamiento del diente previo a su colocación. Con su capacidad para imitar la apariencia de los dientes naturales, su resistencia a las manchas y su ajuste personalizado, las carillas de zirconio se han convertido en una elección popular en odontología estética.

Carillas de porcelana feldespática
Las carillas de porcelana feldespáticas son muy frágiles y requieren de un preciso estudio previo del paciente. A pesar de ofrecer muy buenos resultados estéticos, las carillas de porcelana feldespáticas han quedado desplazadas en los últimos años por las carillas ultrafinas, por no ser tan resistentes.
Carillas de disilicato de litio
Las carillas de disilicato de litio están hechas de un material resultante de combinar vidrio y cerámica, también común para otros usos médicos, como prótesis o coronas dentales. Las carillas de este material destacan por su alta resistencia y fácil manejo. Además, las carillas de disilicato de litio permiten una mejor cementación, lo que mejora su adherencia al tejido dental, haciendo que sean una de las carillas más duraderas.
Cómo se ponen las carillas de porcelana paso a paso
Llega el momento de la preparación y colocación de las carillas dentales.
Carillas de porcelana: preparación
El primer paso es acudir a una primera consulta al dentista. Durante la consulta inicial, el experto evaluará la salud dental del paciente y diagnosticará el problema. Si las carillas son adecuadas, en esta primera visita se tomarán las medidas de los dientes para producir las carillas y se decidirá el color.
Colores de carillas de porcelana
Una de las decisiones a tomar junto con el profesional es el color de las carillas de porcelana a colocar. El paciente y el especialista seleccionarán juntos el color adecuado para las carillas de porcelana, asegurándose de lograr una apariencia natural y armoniosa.
Carillas de porcelana: tallado del diente
En algunos casos, es necesario realizar un ligero tallado de la superficie externa de los dientes para asegurar que las carillas se adhieran de manera segura y estén alineadas correctamente. El tallado de los dientes para la colocación de carillas dentales de porcelana depende de los dientes y del tipo de carillas, especialmente en el caso de las ultrafinas, que requieren menos tallado. Tener que tallar o no el diente depende de la posición o de su tamaño.
Una vez realizado el tallado o contorneado de los dientes, se tomarán impresiones precisas de los dientes para garantizar que las carillas se ajusten perfectamente.
Carillas provisionales antes de las carillas de porcelana definitivas
Mientras las carillas de porcelana permanentes se fabrican en el laboratorio, se colocarán carillas provisionales para proteger los dientes tallados.
Este proceso es el que siguen la mayoría de clínicas dentales, pero en Impress, gracias a los últimos avances tecnológicos que permiten digitalizar el proceso de fabricación, no necesitamos colocar carillas provisionales. En nuestra Clínica DentalBaron utilizamos tecnología de punta para mayor precisión por lo que las medidas las tomamos con iTero y no con silicona (como se realizaba unos años atrás). Mientras elaboran las piezas definitivas, nuestros paciente siempre cuentan con una prótesis fija provisional que reemplaza el esmalte tallado.
Cementación de carillas de porcelana
Una vez que las carillas permanentes estén listas, se sacarán las carillas provisionales y se cementarán las carillas de porcelana definitivas de manera segura a la superficie de los dientes. Las carillas dentales, hechas a medida en los mejores laboratorios de alta estética, se adhieren cuidadosamente a la superficie externa de tus dientes.
Independientemente del tipo de carilla, todas las intervenciones tendrán en común el hecho de que se pegan al diente mediante un cementado. Una vez confeccionada la carilla, solo falta llevar a cabo su colocación, aislando la zona dental a trabajar para evitar la contaminación, así como para garantizar una mejor adhesión entre el diente y la carilla.
Una vez colocadas, se hace un pulido para perfeccionar el acabado y conseguir un aspecto natural. También se comprueba la mordida y se hacen los ajustes necesarios para evitar molestias. Por último, se programa una cita de seguimiento para revisar el resultado. En esta última parte, se comprueba que el diseño de sonrisa que se había planificado para que se corresponda con el diseño planificado.
La duración del tratamiento puede variar según la cantidad de carillas que se coloquen. En los casos en los que realizamos carillas sin tallado, no se necesita anestesia. Los efectos de la anestesia desaparecen rápidamente, lo que te permite volver a tu vida normal sin interrupciones.
A diferencia de otros tratamientos dentales, las carillas de zirconio no requieren el tallado permanente de los dientes naturales. Si en algún momento deseas revertir el procedimiento, las carillas de zirconio permiten restaurar la apariencia original de tus dientes sin mayores complicaciones.
El uso de tecnología CAD/CAM en el proceso de fabricación de carillas de circonio permite una mayor precisión, personalización y eficiencia en comparación con los métodos tradicionales.
¿Se pueden blanquear las carillas o coronas que ya tengo?
Cuidados y limpieza de las carillas de porcelana
Unos cuidados óptimos de las carillas de porcelana son necesarios para prolongar su vida útil. A continuación te damos algunos consejos para los cuidados y limpieza de las carillas de porcelana:
- Lleva a cabo una buena higiene bucodental: usar hilo dental y enjuague bucal y realizar una limpieza bucodental profesional una vez al año
- Evita alimentos muy duros o pegajosos
- Evita morder objetos que puedan dañar las carillas
- Usar férulas de descarga
Si mantienes limpia tu férula dental y la usas el tiempo que recomiende tu dentista, tus carillas pueden mantenerse en perfecto estado durante muchos años.
El mantenimiento adecuado de las carillas de zirconio es esencial para garantizar su durabilidad y mantener una sonrisa estética impecable. Afortunadamente, el cuidado de estas carillas no requiere ningún tratamiento especial o complicado.
- Higiene oral regular: Es fundamental mantener una buena rutina de higiene oral. Cepilla tus dientes al menos dos veces al día con un cepillo suave y pasta dental no abrasiva.
- Uso de hilo dental: Utiliza hilo dental diariamente para limpiar entre los dientes y alrededor de las carillas.
Ventajas y desventajas de las carillas de porcelana
A continuación detallaremos las ventajas y desventajas específicas de las carillas de porcelana, respecto a otro tipo de carillas:
Ventajas de las carillas de porcelana
- Apariencia natural
- Durabilidad
- Conservación del esmalte: A diferencia de algunos procedimientos, las carillas de cerámica implican un tallado mínimo, conservando gran parte del esmalte dental original.
- Resistencia a las manchas
- Versatilidad: Las carillas de porcelana o cerámica son apropiadas para corregir imperfecciones de distintos tipos, se pueden usar carillas de porcelana en dientes torcidos, en malposiciones, etc.
Inconvenientes de las carillas de porcelana
- Irreversibilidad del proceso
- Precio: El precio de las carillas de porcelana o cerámica es superior que el de las carillas de composite, ya que implica materiales de alta calidad y mano de obra especializada.
- No pueden repararse: es por eso que se recomienda que los cuidados de las carillas de porcelana sean altos.
- No son para todos los casos: A pesar de que la versatilidad es una de sus ventajas, las carillas de porcelana no son aptas para pacientes con dientes montados o problemas de mordida.
¿Cuánto cuestan las carillas de porcelana o de cerámica?
Una carilla de porcelana o cerámica en España tiene un precio puede oscilar entre los 350 y los 900 € por diente, aunque normalmente, las carillas se ponen en bloque de 6 u 8, por lo que el precio del bloque de 6 u 8 carillas de cerámica podría variar entre los 2.500 € y los 7.200 €
Tanto si estás interesado en un tratamiento de ortodoncia como en carillas dentales, puedes ponerte en contacto con nosotros y te indicaremos qué servicios están disponibles actualmente en tu clínica Impress más cercana.
Ventajas de las Carillas de Zirconio
- Durabilidad: Son altamente resilientes y pueden soportar fuerzas masticatorias sin dañarse ni romperse fácilmente.
- Biocompatibilidad: El zirconio es un material biocompatible, lo que significa que es seguro para su uso en la boca y es menos probable que cause reacciones alérgicas o irritación en las encías.
- Conservadora: Otros tipos de carillas que pueden requerir un tallado más invasivo, las carillas de zirconio ofrecen una opción más conservadora que permite mantener la integridad de los dientes.
- Estética dental: El zirconio es translúcido y similar al esmalte natural de los dientes, lo que proporciona un aspecto muy natural y estético.
- Predictibilidad: Las carillas de zirconio se diseñan y elaboran con tecnología avanzada para asegurar un ajuste preciso y una apariencia natural una vez colocadas.
En González y Casado, estamos comprometidos con la excelencia en alta estética dental pues nuestro anhelo es poder ayudarte a conseguir la sonrisa que siempre has deseado. Confía en González y Casado para transformar tu sonrisa y conseguir los resultados de calidad que te harán sentirte mejor que nunca.