En situaciones de emergencia dental, es crucial saber a dónde acudir y qué esperar. Compensar ofrece atención para urgencias odontológicas dentro de su horario habitual, de lunes a viernes de 08:00 a 21:00 horas.

¿Qué Considerar en Tratamientos Dentales?
Tratamientos que Causan Dolor o Sensibilidad
Actualmente, todos los tratamientos de cirugía dental como implantes, extracciones, endodoncias o periodoncias no duelen ni producen sensibilidad, ya que se practican con anestesia local.
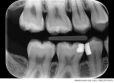
Tratamiento de Restauración Dental y Espacio Interproximal
El espacio interproximal, interdental o interdentario es el espacio que existe entre un diente y sus contiguos. En estos espacios, causados por múltiples factores, se pueden acumular restos de comida facilitando la aparición y acumulación de placa bacteriana.

Rehabilitación Oral con Composite
Un ejemplo de rehabilitación oral es el tratamiento con carillas directas (o a mano alzada) de composite microrelleno en 1.1 1.2 2.1 2.2 para conseguir un acabado natural imitando el brillo de los dientes.
Implantes Cigomáticos
ANA MARÍA: Atrofia maxilar severa - Implantes cigomáticos y anteriores, regenereación ósea
Los implantes cigomáticos (anclados al hueso cigomático o malar) están indicados en casos de atrofias maxilares severas y nos permiten la rehabilitación oral inmediata.
Periodontitis Avanzada
La Periodontitis es una enfermedad infecciosa que puede estar causada por múltiples factores y puede llevar a la movilidad dental de Grado III.
Xerostomía o Síndrome de Boca Seca
La xerostomía, o síndrome de boca seca, es un desorden caracterizado por una disminución objetiva en la producción de saliva de la cavidad bucal.

Tratamiento del Aire en Clínicas Dentales
Entre las medidas que se establecen en los protocolos sanitarios para las clínicas dentales se encuentra el tratamiento del aire para garantizar la seguridad de los pacientes.
Consideraciones sobre Implantes Dentales
Densidad Ósea y Vitamina D
Los huesos son tejidos vivos que constantemente se desgastan y reemplazan. Durante toda la vida, el cuerpo busca compensar la pérdida de tejido óseo con la creación de tejido nuevo. Se alcanza la mayor masa ósea (tamaño y fuerza) aproximadamente a los 30 años.
Contraindicaciones
Existen infinidad de motivos médicos y estéticos que pueden aconsejar un tratamiento de implantología dental, pero existe una serie de situaciones en las que resulta contraindicado un tratamiento de implantes dentales. Los implantes dentales evitan la pérdida de hueso y permiten el mantenimiento de los dientes vecinos.
Tratamientos Dentales para Diabéticos
Las personas que padecen diabetes tienen complicaciones localizadas en la boca, por lo que es crucial un cuidado dental especializado.
Otros Tratamientos y Productos
Blanqueamiento Ambulatorio
Además, un tratamiento dental que se puede realizar en casa es el blanqueamiento ambulatorio de venta en farmacias. Los productos que se venden para poner una sustancia blanqueante en contacto con los dientes durante un periodo de tiempo no suelen tampoco tener efectos muy notorios, puesto que el producto blanqueante está en una concentración demasiado baja para poder realizar un blanqueamiento efectivo.
Duración de las Cirugías Dentales
La duración de los principales tratamientos de una cirugía dental varía dependiendo del tipo de cirugía que se trate.
Tabla Resumen de Servicios y Horarios
| Servicio | Horario |
|---|---|
| Atención de Urgencias Dentales | Lunes a Viernes de 08:00 a 21:00 |
| Implantes Cigomáticos | Consultar disponibilidad |
| Blanqueamiento Ambulatorio | Venta en farmacias |
tags: #urgencias #odontologicas #compensar