El blanqueamiento dental es un tratamiento estético muy popular en los últimos años, cuyo objetivo es aclarar el tono de la pieza dental, eliminando las manchas y la decoloración. Este tratamiento no invasivo consiste en la aplicación de productos químicos seguros para nuestra boca, que permiten mejorar la apariencia de nuestros dientes, aclarándolos y dejándolos más blancos.

¿En qué consiste el blanqueamiento dental?
Es importante aclarar qué es un blanqueamiento dental y en qué consiste, previo a hablar de los efectos secundarios. El blanqueamiento dental es un tratamiento que busca disminuir las tonalidades oscuras o amarillentas que puede manifestarse en el esmalte dental, generadas por el paso del tiempo o hábitos poco saludables.
A grandes rasgos, podemos identificar dos técnicas utilizadas para realizar este procedimiento:
- El blanqueamiento dental ambulatorio (con férulas) es un procedimiento donde se toman muestras de la boca del paciente para fabricar férulas que se utilizarán para aplicar un agente blanqueador en los dientes. Este tratamiento suele tener una duración de 30 días y debe ser colocado durante, al menos, 4 o 5 horas al día.
- Por otro lado, el blanqueamiento dental combinado unifica los beneficios del tratamiento dental ambulatorio con el efecto del tratamiento de lámpara LED (de luz fría o láser) que se realiza en la clínica. Gracias al uso de esta luz, se logran resultados mejores y con una mayor duración.
En ambos procedimientos se busca que el gel blanqueador ingrese al esmalte y disminuya el oscurecimiento del diente. Aunque es un tratamiento superficial, puede presentar ciertos efectos secundarios que pueden llegar a generar incomodidad en el paciente.
Tipos de Blanqueamiento Dental
Existen diferentes tipos de blanqueamiento dental, cada uno con sus propias características y aplicaciones:
- Blanqueamiento Vital: Es el blanqueamiento de dientes más habitual y el que se realiza sobre dientes vitales (sin endodonciar). Se suele aplicar en lo que se conoce como dientes vitales y abarca por lo general a todos los dientes que forman parte de la sonrisa.
- Blanqueamiento Interno: Este tipo de blanqueamiento se emplea solo en aquellas piezas dentales que presentan una tinción severa, tras haber sufrido un traumatismo o un tratamiento de conductos (endodoncia). El blanqueamiento interno se realiza en la estructura interna del diente, exactamente, en la cámara pulpar. A diferencia del blanqueamiento externo, que actúa en todas las piezas dentales, el interno se realiza en un diente en concreto. Este procedimiento aclara la capa interna del diente: la dentina.
- Blanqueamiento Dental Ambulatorio (con Férulas): Tras la primera consulta y la limpieza dental, se le facilitarán al paciente las férulas y jeringas con el producto blanqueante. Este deberá colocarse las férulas durante 90 minutos al día durante el periodo que el dentista estime oportuno.
- Blanqueamiento Dental en Clínica: Se consigue aplicando un gel blanqueador en la clínica, que puede ser o no activado por medio de una luz láser o LED. El blanqueamiento dental en consulta tiene un efecto inmediato.
- Blanqueamiento Dental Combinado: Combinando las ventajas del tratamiento en la clínica y en casa, este tipo de blanqueamiento para los dientes es el más utilizado en la actualidad. Tras este, el paciente notará los efectos paulatinos del tratamiento utilizando férulas con gel blanqueador en casa.
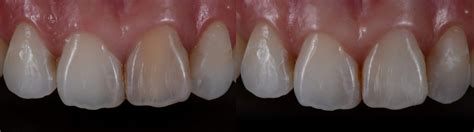
🦷😁 Blanqueamiento dental PASO A PASO 😁🦷 Antes y después - Clínica Dental Dentisalut
¿Cómo se realiza un blanqueamiento dental?
Primero, el dentista, realizará una exploración de la boca del paciente para conocer si este es candidato o no para realizase un blanqueamiento. Una vez que el profesional determine que es viable para el paciente, este realizará una limpieza dental exhaustiva para que el blanqueamiento sea totalmente efectivo. Posteriormente, se determinará el tono dental inicial del paciente, de esta forma, el profesional sabrá de dónde parte y podrá ir comprobando el grado de blanqueamiento durante el tratamiento. Seguidamente, se aplicará un protector para que la encía no se dañe durante el tratamiento. Hecho esto, comenzará a aplicar el producto blanqueador.
Tras la aplicación del producto blanqueador y la luz ultravioleta (para activar el agente blanqueador), se dejará actuar durante 8-10 minutos. Después, se retirará el producto. El profesional volverá a aplicar una segunda sesión de igual duración a la anterior, tras la cual retirará el producto.
En caso de decidirse por un tratamiento dental domiciliario, el proceso varía. Tras la primera consulta y la limpieza dental, se le facilitarán al paciente las férulas y jeringas con el producto blanqueante. Este deberá colocarse las férulas durante 90 minutos al día durante el periodo que el dentista estime oportuno.
¿Quiénes no son candidatos para el blanqueamiento dental?
Aunque el blanqueamiento dental es de aplicación para la mayoría de personas, es cierto que no puede aplicarse en algunos pacientes con determinadas patologías o condiciones físicas:
- Pacientes con caríes.
- Si hay restauraciones anteriores, tales como incrustaciones, coronas, amalgamas o puentes fijos. Se debe tener en cuenta que el color de estas, al no ser piezas naturales, no variará. De igual forma, de existir fractura en alguna de ellas podría ocasionarse afectaciones nerviosas.
- Tampoco se recomienda este tratamiento para embarazadas.

Efectos Secundarios del Blanqueamiento Dental
Como todo tratamiento, este puede generar efectos secundarios. Estos, podrán verse más acentuados según el tipo de paciente y si existen o no patologías previas:
- Sensibilidad dental: Es normal que percibamos mayor sensibilidad en las 24/48 horas posteriores al tratamiento. Por ello se recomienda no tomar alimentos ni muy fríos ni muy calientes, así cómo ácidos o dulces.
- Irritación de las encías: Si el producto blanqueador ha entrado en contacto con la encía, esta puede verse irritada. Este síntoma suele desparecer a las pocas horas del tratamiento. Sin embargo, si la inflamación aumenta y persiste, contacta con tu dentista.
- Reacciones alérgicas: Si eres alérgico a alguno de los componentes del producto blanqueador, podrás sufrir reacciones al mismo.
- Quemaduras de los tejidos blandos: Usar productos que ya han caducado, que han estado expuestos a condiciones extremas de temperatura o que cuentan con una mayor concentración en comparación con la recomendada puede provocar quemaduras en boca, labios y encías. Además, en casos más extremos, pueden derivar en la abrasión del esmalte dental.
Resultados Esperados del Blanqueamiento Dental
Este procedimiento ofrece resultados variables que cambian en función de las condiciones de cada paciente (nivel de tinción de los dientes, dieta y hábitos de higiene bucodental). Debido a lo anterior, existen algunas situaciones en las que no se pueden lograr los resultados deseados:
- Medicamentos: Algunos pacientes pueden sufrir de tinciones causadas por las tetraciclinas o cualquier otro medicamento que puede manchar el esmalte. En estos casos, el blanqueamiento dental no será efectivo (aún quedarán manchados los dientes), pero si necesario para complementar un tratamiento con carillas dentales.
- Tabaquismo: El consumo frecuente de tabaco tiene consecuencias muy negativas en el tono de los dientes. Esto provoca que el aclaramiento logrado a través del blanqueamiento se vea afectado en muy poco tiempo.
Duración del Blanqueamiento Dental
La duración del efecto del blanqueamiento dental varía en función de diversos factores, aunque suele mantenerse entre 12 y 24 meses. Factores como el consumo de café, té, vino tinto o tabaco, así como una higiene dental deficiente, pueden acelerar la aparición de manchas y reducir la duración del tratamiento.
El tono conseguido tras el blanqueamiento dental tiende a perder intensidad de forma gradual. No obstante, realizar sesiones de mantenimiento periódicas o tratamientos complementarios puede ayudar a conservar un color más uniforme.
¿Es Posible Reducir el Riesgo de Sufrir los Efectos Secundarios al Pasar por un Blanqueamiento Dental?
Existen algunas acciones o hábitos que podemos adquirir para reducir los efectos secundarios de un blanqueamiento dental. Por ejemplo, modificar nuestra dieta, reducir el uso del tabaco y mejorar ciertos aspectos de nuestra higiene bucodental puede ser cruciales para preservar el blanco de nuestra sonrisa por más tiempo.
A continuación, te damos algunas ventajas que tendrás al realizar un blanqueamiento dental en clínica:
- Antes de aplicar cualquier producto es importante que la salud bucodental sea perfecta. Es decir, que no haya caries ni otros padecimientos que comprometan los resultados del procedimiento. Al asistir a nuestra clínica, los profesionales se encargarán de analizar minuciosamente tus dientes para descartar cualquier afección. Además, te realizarán una profilaxis antes del blanqueamiento para eliminar cualquier residuo que puede afectar los resultados.
- Asimismo, en las clínicas dentales se emplean productos blanqueadores que no generarán quemaduras. También será el especialista quien determine la concentración del producto para lograr los mejores resultados sin dañar tu salud bucodental. Gracias a esto, tendrás de la certeza de que obtendrás un tratamiento de calidad in afectar tu esmalte.
- Por si fuera poco, en la clínica también se fabricarán las férulas a tu medida, lo que disminuye los riesgos de que el gel blanqueador llegue a afectar las encías o cualquier otro tejido blando.
Consejos para Minimizar los Efectos Secundarios
- Cambia tu pasta común por una desensibilizante: Si sufres de sensibilidad dental, lo más recomendable es usar una pasta desensibilizante que se encargue de tapar los poros abiertos que dejan vulnerable a la dentina. Al hacer esto, las molestias disminuirán considerablemente.
- Ten en cuenta lo que comes: Para tratar la sensibilidad, lo más recomendable es evitar ingerir alimentos a temperaturas extremas (muy calientes o fríos). Además, evitar el consumo de alimentos y bebidas de alta tinción como son el vino tinto, el café, el té, los frutos rojos, etc. Puede prolongar la duración del aclaramiento logrado durante el blanqueamiento dental.
- Evita los remedios caseros o productos milagro: La gran mayoría de los remedios caseros tampoco garantizan un blanqueamiento dental idóneo e incluso, pueden llegar a dañar el esmalte dental debido a sus propiedades abrasivas.
Mantenimientos del Blanqueamiento Dental
Es importante destacar que los resultados del blanqueamiento dental sólo se preservarán en el tiempo si se realizan mantenimientos periódicamente.
La frecuencia de dichas sesiones varía dependiendo de cada paciente, aunque los especialistas recomiendan hacerlo una vez por año si se presentan nuevas manchas constantemente.
Mitos sobre el Blanqueamiento Dental
Con una simple búsqueda en Internet, podemos encontrar cientos de artículos, vídeos y recomendaciones sobre la realización de blanqueamientos dentales caseros y «efectivos». Algunos de ellos, se han puesto de moda debido a su gran divulgación a través de las redes sociales. Pero, ¿qué hay de cierto en todo esto? Debemos tener mucho cuidado con la información que recopilamos de Internet. Si llevásemos a cabo los «remedios caseros» que hemos comentado, podríamos dañar gravemente nuestros dientes. Por ejemplo, el ácido del limón puede afectar a nuestro esmalte y causar daños irreparables. De igual forma, todos aquellos tratamientos basados en luces led u otras luces aceleradoras, no son de fiar y no harán que tus dientes se blanqueen.
Conclusión
Definitivamente, el blanqueamiento dental es un tratamiento sencillo y que ofrece grandes resultados de manera inmediata a nuestro paciente. Es importante acudir a centros especializados y seguir las recomendaciones de los profesionales para evitar efectos secundarios y lograr una sonrisa más blanca y saludable.

tags: #blanqueamiento #dental #interno #cuanto #dura