El blanqueamiento dental es uno de los tratamientos más populares para conseguir una sonrisa más luminosa. Sin embargo, surge una pregunta frecuente: ¿se pueden blanquear los dientes cuando se llevan implantes? En este artículo, aclararemos todas tus dudas sobre este procedimiento y te explicaremos las opciones para unificar el color de tus dientes e implantes.

¿Qué es el Blanqueamiento Dental?
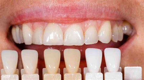
El blanqueamiento dental es un tratamiento estético que utiliza productos específicos para eliminar manchas y decoloraciones en los dientes naturales. Se realiza aplicando geles a base de peróxido, que actúan sobre el esmalte dental para aclarar su tonalidad y devolverles brillo. Es un procedimiento sencillo, indoloro y que ofrece resultados visibles en pocas sesiones.
¡LO QUE NADIE TE DICE 🚫 DEL BLANQUEAMIENTO DENTAL 💔! Deberías ver este vídeo 👀.
¿Afecta el Blanqueamiento a los Implantes Dentales?
Es importante tener en cuenta que el blanqueamiento dental no afecta a los implantes dentales. Los implantes están fabricados con materiales como la porcelana o el zirconio, que no reaccionan de la misma manera que los dientes naturales. Esto significa que, aunque se puede realizar un blanqueamiento en los dientes naturales, el color del implante no cambiará.
Si tienes implantes dentales y blanqueas tus dientes naturales, puede que notes una diferencia de color entre ambos, ya que el implante mantendrá su color original. Por eso, es fundamental coordinar el color de los dientes y los implantes para lograr una sonrisa armónica.

Alternativas para Unificar el Color de los Dientes e Implantes
Si llevas implantes dentales y deseas unificar el color de tu sonrisa, existen varias opciones:
- Reemplazar la corona del implante: Sustituir la corona del implante por una nueva que se ajuste al tono de los dientes blanqueados.
- Ajuste en el color de las coronas dentales: En muchos casos, se puede realizar un ajuste en el color de las coronas dentales para que se integren mejor tras un tratamiento de blanqueamiento.
- Tratamiento integral de estética dental: Optar por un tratamiento integral de estética dental que unifique el tono mediante carillas o coronas.
Las carillas dentales permiten cubrir los dientes naturales con láminas cerámicas de color y forma personalizados, proporcionando una sonrisa uniforme y estética. En los casos en que las piezas están muy desgastadas o dañadas, puede optarse directamente por coronas. Ambas soluciones permiten corregir el tono, la forma y la alineación. Incluso es posible colocar una carilla sobre la corona existente si está bien posicionada y estructuralmente estable, lo que evita tener que retirarla.
Al igual que los implantes, las carillas y coronas cerámicas no cambian de color y no requieren blanqueamientos, pero sí una higiene adecuada y revisiones periódicas para mantener su estado óptimo.

Riesgos del Blanqueamiento Dental
El blanqueamiento dental es una de las opciones más populares para lograr una sonrisa perfecta, pero como todo tratamiento, no está exento de riesgos. Aunque muchos lo consideran una solución rápida para mejorar la estética dental, es importante ser consciente de los posibles efectos secundarios que puede tener.
A continuación, se detallan algunos de los riesgos más comunes:
- Sensibilidad dental: Después del tratamiento, muchas personas experimentan dolor o incomodidad al consumir alimentos y bebidas calientes, frías o dulces.
- Irritación de las encías: Durante el proceso de blanqueo, el gel blanqueador puede entrar en contacto con las encías, lo que puede causar irritación o quemaduras.
- Blanqueamiento desigual: En algunos casos, los dientes no se blanquean de manera uniforme, lo que puede resultar en manchas o tonos desiguales.
- Daño al esmalte dental: El uso excesivo o incorrecto de productos blanqueadores puede dañar el esmalte dental, que es la capa externa que protege tus dientes. Un esmalte debilitado puede hacer que los dientes sean más propensos a sufrir caries o fracturas.
Es importante recordar que la mayoría de estos efectos son temporales. La sensibilidad y la irritación de las encías suelen desaparecer poco después de finalizar el tratamiento.
Cuidados Posteriores al Blanqueamiento Dental
Después de someterte a un blanqueamiento dental, es crucial seguir una serie de cuidados para mantener los resultados y evitar complicaciones:
- Higiene bucal rigurosa: Cepillarse los dientes al menos dos veces al día con una pasta dental con flúor.
- Evitar alimentos y bebidas que manchen: Reducir el consumo de café, té, vino tinto y otros alimentos que puedan manchar los dientes.
- Visitas regulares al dentista: Realizar revisiones periódicas para evaluar el estado de tus dientes y recibir recomendaciones personalizadas.
Además, es importante tener en cuenta las contraindicaciones del blanqueamiento dental:
- Dientes temporales: No es recomendable en dientes temporales.
- Restauraciones: Personas que lleven composites, coronas o carillas.
- Embarazo: No se recomienda el blanqueamiento dental en embarazadas.
Tabla de factores que influyen en la duración del blanqueamiento dental:
| Factor | Descripción |
|---|---|
| Tipo de decoloración | La intensidad y tipo de mancha afectan la duración del blanqueamiento. |
| Consistencia en el tratamiento | Seguir las indicaciones del dentista prolonga los resultados. |
| Hábitos de vida | Consumo de café, tabaco y otros factores pueden reducir la duración. |
Consulta con tu Dentista para un Resultado Perfecto
Antes de realizar un blanqueamiento dental, es importante consultar con tu dentista si llevas implantes. El dentista te ayudará a conseguir la mejor solución para que el color de tus dientes naturales y tus implantes quede en armonía, ofreciéndote el tratamiento adecuado para lucir una sonrisa perfecta.