Si estás considerando mejorar tu sonrisa con un tratamiento de ortodoncia, es probable que te hayas planteado recurrir a los brackets de zafiro, un tipo de brackets estéticos muy demandados hoy en día. En este artículo, exploraremos en detalle este tipo de brackets, sus ventajas y desventajas, y los compararemos con los brackets metálicos.

¿Qué son los Brackets de Zafiro?
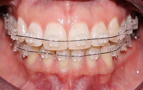
Los brackets de zafiro son un tipo de aparato dental que se utiliza para corregir la posición y la oclusión (mordida) de los dientes. La novedad que portan los brackets de zafiro es el material principal con los que están elaborados. Estos están hechos a partir de un zafiro sintético que tiene la misma estructura química y composición natural que el zafiro. Por ello son muy resistentes, ¡casi tanto como el diamante!
¿Cómo Funcionan los Brackets de Zafiro?
El funcionamiento de los brackets de zafiro es similar al de otros tipos de brackets. Al igual que los brackets convencionales, los brackets de zafiro o blancos tienen como función enderezar la dentadura ejerciendo una ligera fuerza controlada en cada uno de los dientes del paciente.
La ortodoncia con brackets de zafiro está formada por piezas pequeñas que se fijan en cada diente mediante un cemento dental, unidos por un arco metálico sujetos con un elástico en cada uno de los brackets. Es por eso que hoy cada ortodoncista realiza, de acuerdo a los exámenes médicos necesarios, el tratamiento completamente personalizado para que el aparato encaje perfectamente en cada arcada dental.
Aquí te explicamos los componentes principales:
- Brackets: Los brackets de zafiro se adhieren a la superficie frontal de los dientes mediante un adhesivo especial. Este adhesivo es lo suficientemente fuerte como para mantener los brackets en su lugar durante el tratamiento. Son los soportes del arco. Van fijados a cada diente por medio de un adhesivo específico y no necesariamente deben estar ubicados en el centro del diente. En este caso son de zafiro, un material transparente y resistente que garantiza la estética del tratamiento.
- Arco: Una vez que los brackets están adheridos a los dientes, se coloca un alambre metálico (arco) a través de todos ellos. El arco permite aplicar la fuerza a los brackets, para que puedan realizar los movimientos en los dientes. Es la línea metálica que une los brackets y que ejerce la tensión necesaria para mover cada diente a su lugar. Suele llevar un recubrimiento estético blanco. Esto se debe a que el arco se ajusta a lo largo del tratamiento para aplicar presión a los dientes. Esta presión provoca una reacción en los ligamentos periodontales y el hueso alrededor del diente, permitiendo que las piezas dentales se muevan hasta alcanzar la posición correcta.
- Ligaduras: Las ligaduras son unas gomas elásticas que sirven para conectar los brackets con el arco. Elemento que cierra los brackets para que sujeten el arco. Dependiendo de la fuerza que se vaya a ejercer.

Ventajas de los Brackets de Zafiro
Como ocurre con cualquier método de ortodoncia, la elección de los brackets de zafiro conlleva pros y contras.
- Estética: Su transparencia hace que sean mucho menos visibles que los brackets tradicionales. Al ser traslúcidos se mimetizan con el esmalte de tus dientes y apenas se notan. Son mucho más discretos y estéticos.
- Este tipo de tratamiento corrige todo tipo de malposiciones o problemas dentales. Así que la ortodoncia con brackets de zafiro puede ser usada por niños, adolescentes y adultos, aunque suelen ser los adultos los que se decantan por esta opción.
- Resistencia: Al contrario de lo que pueda parecer, el cristal de zafiro es un material muy resistente. Otra de las ventajas que ofrecen los brackets de zafiro es que son más resistentes. Realmente están hechos de zafiro.
- Adherencia: El cristal de zafiro se adhiere mejor al diente que la porcelana o el plástico, por lo que es más difícil que se despegue o se caiga. Tienen menos posibilidades de despegarse.
- Comodidad: Los brackets de zafiro son algo más cómodos que los metálicos, por lo que su proceso de adaptación también es más corto. Aunque todos los brackets necesitan un pequeño periodo de adaptación, los de zafiro se caracterizan por ser especialmente cómodos. Además, el material sintético con el que están hechos tienen una superficie completamente lisa que evita las rozaduras durante todo el tratamiento, evitando incomodidades, pasando casi desapercibidos frente al mundo exterior.
- No se manchan: La mayor ventaja de este tratamiento de ortodoncia es que el cristal de zafiro no se torna amarillento con el tiempo. A diferencia de los brackets de cerámica o de plástico, que pueden teñirse con el paso del tiempo y con el consumo de ciertos alimentos o bebidas, los brackets de zafiro son altamente resistentes a las manchas. Por último, el material usado no cambia de color, así que son una buena opción para tratamientos complejos que requieren una larga duración de tratamiento, ya que no amarillean.
Desventajas de los Brackets de Zafiro
- Precio más elevado: Esta es, probablemente, la principal desventaja de los brackets de zafiro. Debido a la calidad del material con que están elaborados, el precio es superior al de otro tipos de ortodoncia invisible.
- No son 100% invisibles: Aunque los brackets de zafiro son muy discretos, no llegan a ser 100% invisibles. Si el paciente desea un tratamiento de ortodoncia completamente invisible es necesario que se decante por los brackets linguales, que se colocan en la cara interna del diente.
- Las ligaduras pueden teñirse: Aunque los brackets de zafiro no se tiñen, las ligaduras sí pueden mancharse con ciertos alimentos, bebidas o tabaco. Aunque los brackets son transparentes, el arco y las ligaduras (los elásticos que sujetan el arco al bracket) pueden ser visibles, lo que reduce ligeramente el efecto estético. Por un lado, algunos tratamientos requieren un arco metálico (ya que este permite aplicar una fuerza mayor). Por otro lado, las ligaduras son blancas pero pueden mancharse.
- Mayor riesgo en actividades deportivas: En general, con cualquier tratamiento de ortodoncia fija (con brackets) resulta aconsejable utilizar protectores bucales al practicar deportes de contacto, por el riesgo de recibir un impacto y que los brackets se rompan o se claven en los tejidos blandos de la boca (labios, encías…). En cuanto a su uso diario, al igual que los otros tipos de ortodoncia fija, no es recomendado para personas que realizan actividades deportivas con regularidad porque pueden ocasionar mucho daño o romperse los brackets con impactos frecuentes con el equipo deportivo como pelotas, raquetas o bates.
- En cuanto al tiempo de duración, en algunos casos el tratamiento de ortodoncia con brackets de zafiro sugiere un periodo un poco más largo, ya que el alambre que se posiciona en las arcadas hace mayor fricción entre los dientes sugiriendo un movimiento más lento, a diferencia de otros tratamientos con brackets.
Brackets de Zafiro vs. Otros Tipos de Brackets
Además de solucionar los problemas dentales y la alineación de los dientes, las personas buscan un tratamiento de ortodoncia que no afecte su apariencia física, especialmente la de su sonrisa. Es por eso que buscan opciones totalmente estéticas que se ajusten a todas sus necesidades. Y la ortodoncia de zafiro y el resto de brackets estéticos ofrecen esta ventaja.
Brackets estéticos de porcelana vs. Brackets de zafiro
La principal diferencia entre brackets estéticos de porcelana y de zafiro es que estos últimos son más transparentes que los brackets de cerámica, debido al material del que están hechos. Por un lado, el cristal de zafiro es un material muy resistente y duradero. Por otro lado, la porcelana es un material más frágil y que se adhiere peor al diente. Esto hace que los brackets se despeguen con mayor facilidad y que tengan más riesgo de romperse. Además, la porcelana es un material poroso que, con el paso de los meses, deja pasar la coloración de determinados alimentos y bebidas. Sin embargo, cabe recordar que los brackets de zafiro también están considerados estéticos, por lo que estarían englobados dentro de esta categoría.
Brackets metálicos vs. Brackets de zafiro
La principal diferencia entre los brackets metálicos y de zafiro o blancos es que los metálicos, como su nombre indica, están hechos de metal, por lo que son menos resistentes a los golpes y menos discretos a la vista.
Brackets de zirconio vs. Brackets de zafiro
Si te decantas por elegir entre los brackets de zirconio o de zafiro debes saber que los primeros se catalogan como estéticos, igual que los de zafiro. Estos, al igual que los de cerámica, no son transparentes como los de zafiro, pero se mimetizan bien con el diente gracias a que su color es similar al del esmalte dental.
Duración del Tratamiento con Brackets de Zafiro
La duración de un tratamiento con brackets de zafiro varía según la complejidad de cada caso. La duración media de un tratamiento con brackets de zafiro es de 6 a 18 meses aproximadamente. En medidas generales un tratamiento de ortodoncia para un problema dental de nivel medio tiene una duración de 18 meses. Para los tratamientos más complejos los tiempos de duración van entre 24 y 30 meses, aunque algunos tratamientos se pueden alargar hasta los 36 meses. Normalmente, los brackets se llevan entre 12 y 24 meses. Sin embargo, algunos factores como la severidad de la maloclusión y la edad del paciente pueden influir en la duración.
Además, hay determinados tipos de problemas, como el apiñamiento leve, que pueden corregirse en un período corto.
La duración de los brackets de zafiro puede variar según cada paciente y su tratamiento individual.
- Cuidado bucal: El cuidado bucal es esencial para la salud de los dientes y los brackets de zafiro. Una buena higiene bucal es fundamental para prevenir la acumulación de placa y evitar la caries dental.
- Dieta: La dieta también puede afectar la duración de los brackets de zafiro. Los alimentos duros o pegajosos pueden dañar los brackets o hacer que se desprendan.
- Actividades deportivas: Los deportes de contacto pueden poner en riesgo los brackets de zafiro.
Para prolongar la duración de los brackets de zafiro, es importante seguir un buen cuidado bucal y tener cuidado al comer y hacer deporte.
Precio de los Brackets de Zafiro en España
El precio de los brackets de zafiro puede variar según el paciente y la duración del tratamiento. Hay varios factores que pueden influir en el precio de los brackets de zafiro, como la duración del tratamiento, la complejidad del caso o el precio estipulado por el ortodoncista. Entonces, una vez el ortodoncista haya evaluado los detalles del caso de cada paciente, podremos saber su coste. Sin embargo, el precio de los brackets de zafiro en España oscila entre los 3.000 y 5.000 euros.
Mantenimiento y Cuidado de los Brackets de Zafiro
El cuidado de los brackets de zafiro es sencillo, pero requiere constancia. Es necesario realizar al menos tres limpiezas completas al día. Así se evita que se queden atrapados restos de alimentos en los huecos. Estos pueden deteriorar la capa superficial del diente y exponerlo a enfermedades como la caries.
Para hacerlo hay que utilizar un cepillo de dientes, preferiblemente uno específico para brackets, y cepillarse en profundidad. Con este gesto se elimina la mayoría de la suciedad que se acumula tras una comida. Lo mínimo son tres veces al día, pero lo mejor es hacerlo después de cada comida.
Como estos cepillos difícilmente llegan a todos los recovecos, es muy importante utilizar cepillos interdentales, más pequeños que los anteriores y perfectos para alcanzar los lugares más inaccesibles que quedan entre el diente y el bracket.
Para completar la limpieza es necesario utilizar un buen enjuague bucal.
¿Se puede comer de todo durante el tratamiento?
Se puede comer de todo pero con cuidado. Pese a ser de un material muy duro y no haber ninguna limitación a la hora de comer cualquier tipo de alimento, se recomienda minimizar aquellos que son duros, pegajosos o fibrosos. Pueden comerse de vez en cuando, pero con mucho cuidado.
- Los frutos secos y algunos tipos de turrón pueden desprender los brackets de los dientes. Al igual que morder la cáscara de un fruto seco o el hueso de una aceituna puede romperte una muela, los alimentos duros pueden soltar el bracket. Por este motivo hay que minimizar la ingesta y extremar las precauciones.
- En el caso de la comida pegajosa, como los caramelos masticables o el chicle, la presión que se ejerce una y otra vez sobre el aparato, puede afectar a la unión con el diente. Pero no solo eso, también deja restos difíciles de limpiar que pueden ser molestos, provocar infecciones o terminar en una caries.
- Lo mismo que ocurre con los alimentos pegajosos se aplica a los fibrosos. La carne y las verduras fibrosas dejarán restos entre el bracket y el diente. Eliminarlos todos será un trabajo tedioso. Para evitarlo, corta trozos pequeños y masticarlos con las muelas, no desgarres la comida con los dientes.
- El chocolate y aquellas comidas pastosas y colorantes, han de comerse con cuidado. Los brackets no se van a decolorar, pero los restos que se queden entre los dientes y el bracket pueden estar ahí por bastante tiempo, viéndose por debajo y afeando notablemente tu sonrisa.
¿Se pueden romper los brackets de zafiro?
La posibilidad de que un bracket de zafiro se rompa es muy remota. La dureza del material los hace prácticamente irrompibles.
Sin embargo, lo que sí puede ocurrir es que, por causa de un golpe o tras morder un alimento duro, el zafiro se desprenda del diente y sea necesario fijarlo nuevamente.
Si esto ocurre, no te debes alarmar, puede volver a colocarse en su lugar. Trata de recuperar el bracket, para que no se termine de soltar del puente y se pierda. Guárdalo con cuidado y ponte en contacto con tu odontólogo para que vuelva a fijarlo en su lugar. En el remoto caso de que esto ocurra, tu tratamiento no se verá afectado, se continuará sin ninguna otra consecuencia.
Retención Después del Tratamiento
Muchas personas piensan que el tratamiento de ortodoncia finaliza cuando se retiran los brackets. Cuando se han retirado los brackets, los dientes tienden a volver a su posición original. Para que esto no ocurra, es importante utilizar un sistema de retención. A la hora de colocar los retenedores existen dos opciones.
- Retenedores removibles. Se trata de unas férulas transparentes, que están fabricadas de forma personalizada para cada paciente.
- Retenedores fijos. Se trata de unas láminas de alambre muy finas que se cementan en la parte interior del diente.
¿Para quién son más convenientes los brackets de zafiro?
Los brackets de zafiro dejan ver el color natural del diente. Sin embargo, puede ocurrir que en aquellos que tienen el esmalte amarillento, el efecto no sea el deseado. Lo más probable es que el brillo del zafiro y el color blanco del arco y las gomas, provoquen que se note demasiado.
Si tu trabajo es cara al público y el esmalte de tus dientes es blanco, seguramente te sientas mejor llevando unos brackets de zafiro. Al ser más discretos que los demás, es posible que las personas con las que hables no se den cuenta de que lo llevas puesto.
Siempre es recomendable seguir las recomendaciones del odontólogo antes de tomar una decisión. Él es quien mejor puede determinar si un tipo de tratamiento es más conveniente que otro, incluso cuando se trata de cuestiones estéticas.
🔴Diferentes 𝗧𝗜𝗣𝗢𝗦 𝗗𝗘 𝗕𝗥𝗔𝗖𝗞𝗘𝗧𝗦 -¿Cual es mejor? (Metálicos, Autoligables, Esteticos y MUCHOS MAS)
tags: #brackets #zafiro #tiempo #tratamiento