La caries dental es una enfermedad infecciosa multifactorial que depende del huésped, la dieta, los microorganismos y el tiempo. Se caracteriza por la destrucción de los tejidos de los dientes.
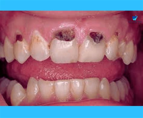
Existen diferentes tipos de caries según su localización. Las caries cervicales o de cuello en el diente son denominadas clase V, según la clasificación de Black. Estas se localizan en las caras libres de los dientes justo en el tercio cervical, es decir, en la zona próxima a la encía, el cuello del diente.
Las caries en las zonas cervicales pueden tener dos orígenes muy distintos: bacteriano y no bacteriano. Las lesiones cervicales de origen bacteriano son las caries dentales. Respecto a las de origen no bacteriano diferenciamos entre abrasión, erosión y abfracción.
Como todo tipo de caries, si se hace una buena higiene bucodental junto con una dieta equilibrada, se pueden prevenir. En concreto las caries cervicales precisan de una higiene mucho más meticulosa por su sitio de formación.
Cómo prevenir y tratar la caries dental: consejos y recomendaciones
Causas y Tipos de Caries Cervicales
Para saber por qué se forman este tipo de caries, debemos entender que su origen puede ser tanto bacteriano, como no bacteriano. Así, las caries de cuello aparecen porque, por un lado, se trata de una zona en la que las bacterias son más propensas a la adhesión. Por otro lado, en esta zona, la higiene bucodental es complicada y la placa dental se desarrolla con facilidad.
La principal causa en la aparición de caries es la acumulación de placa bacteriana sobre la superficie dental. La placa bacteriana es una fina capa de color traslúcido blanquecina a la cual se adhieren las bacterias presentes en la cavidad oral.
Podemos diferenciar dos tipos de placa bacteriana en función al tipo de bacterias que se adhieren a ella:
- Placa bacteriana cariogénica: Esta libera ácidos sobre el esmalte dental dañando a este.
- Placa bacteriana periodontopatogénica.
Asimismo, podemos encontrar otros factores que actúan propiciando la aparición de caries:
- Factores genéticos
- El exceso de alimentos con alto contenido en azúcares
- La morfología de los dientes
- La salivación
Existen varios tipos de caries en función del área dental afectada:
- Caries de corona: Este es el tipo más frecuente de caries en los niños, pero también afecta a adultos.
- Caries de fisura: Esta penetra hacia el interior dental diente por pequeñas fisuras del esmalte dental.
- Caries de raíz o radicular: Característica en personas que presentan una retracción gingival o una periodontitis o piorrea.
- Caries interproximal: Es el tipo de caries que afecta a dos dientes por su espacio interdental.
- Caries recurrentes: Conocidas asimismo como caries secundarias. Son aquellas caries que afectan a las zonas adyacentes en las que previamente se ha realizado una reconstrucción dental o se ha colocado una prótesis para tratar una caries.
Tratamiento de la Caries Cervical
El tratamiento por excelencia de la caries dental es la obturación. Es decir, la remoción de todo el tejido cariado y la posterior restauración con un material biocompatible y con un pulido final.
El tratamiento de las caries cervicales, que están localizadas en el cuello del diente, es la reconstrucción dental. La particularidad de las caries en el cuello del diente, es que esa zona en la que la distancia del esmalte al nervio es menor. Otro problema de estas caries es que en una zona donde se acumula mucha placa bacteriana, ya que esta cerca de la encía.
La reconstrucción dental de composite permite sustituir con un material biocompatible, la estructura dental destruida por caries, traumatismo u otros factores. La reconstrucción de composite en las Clínicas Propdental cumple los objetivos fundamentales de la odontología estética restauradora. Es decir, el respecto de la forma, la función y la estética y la máxima preservación de los tejidos sanos remanentes.
El composite dental debido a sus propiedades, es el material más utilizado hoy en día por el dentista para los empastes y para tratamientos de estética dental. Es un material que proporciona una excelente estética dental ya que imita el color natural del diente.
En caso de que un paciente presente caries es indispensable atajar el problema con la mayor brevedad posible puesto que para solucionar una caries en su fase inicial únicamente bastará con realizar una obturación dental.

Reconstrucción dental con composite
Tratamiento Restaurador y Periodontal Combinado
La restauración conservadora de las lesiones cervicales constituye un reto para los materiales de resina debido al tipo de sustrato del que se dispone para la adhesión, a los aspectos biomecánicos de la región cervical y al acceso y aislamiento del campo operativo/quirúrgico.
La presencia de una recesión gingival asociada a las LCEC requiere la combinación de un tratamiento restaurador y periodontal para alcanzar todos los objetivos biológicos y estéticos deseados, como sería una proporción de la corona clínica ideal y una arquitectura gingival armónica.
Recientemente varios autores han investigado un abordaje combinado, unos obteniendo resultados a corto plazo prometedores. El presente informe de caso se centra en el tratamiento de las LCEC asociadas a recesiones gingivales múltiples utilizando un tratamiento combinado restaurador y periodontal.

Lesiones cervicales exentas de caries
Procedimientos Restauradores
Los procedimientos restauradores sobre la arcada superior se realizaron bajo el concepto de abordaje por cuadrantes en dos sesiones distintas. Las lesiones cervicales se prepararon, bajo anestesia local, con instrumentos rotatorios a una velocidad elevada, que fueron abundantemente refrigerados, y también con instrumentación manual, mediante cinceles.
Para preservar al máximo el tejido mineralizado sano se emplearon fresas redondas de diamante de distintos tamaños. La dentina expuesta también se trató, de manera que se eliminó cualquier resto de tejido desmineralizado así como hipermineralizado, mejorando, de esta manera, la calidad del sustrato para la adhesión.

Preparación de la cavidad del diente
Se nivelaron los márgenes de la cavidad, de modo que se podía identificar con precisión la línea de acabado. Esto resulta útil como guía para las capas de material restaurador y para evitar un sobrecontorneado excesivo de la restauración.
Una vez acabada la preparación de la cavidad se efectuaron los procedimientos adhesivos. Se aisló cuidadosamente el campo operatorio colocando un dique de goma sobre un cuadrante cada vez, lo que permitía llevar a cabo múltiples tratamientos y comparar los perfiles anatómicos de los dientes adyacentes durante las fases quirúrgicas.

Restauración adhesiva del diente
Para llevar a cabo las restauraciones se utilizó resina de composite de nanorrelleno. Únicamente se empleó masa de dentina dado que su reducida traslucidez y su elevada intensidad del color hacían de este material el ideal para obtener una perfecta integración en la región cervical.
Procedimientos Periodontales
La corrección periodontal quirúrgica de las lesiones se llevó a cabo en dos sesiones, una para cada cuadrante. El cuadrante superior derecho se trató con un colgajo de reposición coronal. Esta técnica quirúrgica permite el tratamiento simultáneo de múltiples recesiones adyacentes, lo que reduce el número de cirugías y esto, a su vez, reduce la morbosidad total.
Prevención de la Caries Cervical
La caries, como hemos contado muchas veces es la principal enfermedad de la boca. Sí, has leído bien, enfermedad. A veces nos parece que es una cosa menor pero no nos podemos olvidar de que los dientes son para toda la vida ni de que está en nuestra mano cuidarlos adecuadamente.
Es cierto que hay quienes tienen más propensión a este tipo de caries, y en estos casos es importante intensificar la higiene dental. Tampoco está de más, si sabemos que las caries en el cuello del diente se nos producen más habitualmente de la cuenta, que visitemos al dentista de manera preventiva con una frecuencia mayor que la estándar (cada seis meses). ¡Así que, ya sabes, extrema la limpieza y acude al dentista!
Aquí hay algunos consejos para prevenir las caries de cuello:
- Usa un dentífrico con flúor y cepíllate bien los dientes tras cada comida.
- Usa también hilo dental y un cepillo interdental para asegurarte de que no hay placa en esas zonas difíciles.
- Puedes tener un enjuague bucal con flúor para emplearlo de forma ocasional (por ejemplo, una vez al día).
- No abuses de los azúcares porque, como ya te hemos explicado, favorecen la aparición de caries.

Higiene bucal