Las carillas de cerámica son una solución estética dental que ha revolucionado la forma de mejorar la sonrisa. Este tratamiento se personaliza para cada paciente, garantizando un aspecto natural que se integra perfectamente con los dientes existentes.

Las carillas de cerámica son láminas muy finas de material cerámico, especialmente diseñadas para reforzar la apariencia de los dientes. Las carillas de cerámica se fabrican con un material que simula de forma efectiva la apariencia del esmalte dental. La combinación de estos materiales asegura que las carillas no solo se vean naturales, sino que también sean duraderas y resistentes a las manchas, lo que las convierte en una opción ideal para el cuidado dental estético.
Tipos de Carillas Dentales
Existen diferentes tipos de carillas dentales fabricadas en distintos materiales, cada tipo de carilla tiene unas características particulares que la hacen diferente:
- Carillas de porcelana: Proporcionan una altísima durabilidad y resistencia, ofrecen unos resultados muy naturales y apenas son perceptibles.
- Carillas de composite: Fabricadas en una resina sintética denominada composite, estas carillas sí requieren la preparación del diente, por lo que son permanentes.
Las carillas de porcelana se presentan en diversos tipos, cada una con características específicas que las hacen adecuadas para diferentes necesidades estéticas y funcionales:
- Carillas feldespáticas: Son las primeras que se introdujeron en el mercado y se caracterizan por su buena estética, ya que imitan la translucidez del esmalte dental.
- Carillas E-max: Fabricadas con un material innovador, ofrecen una excelente combinación de durabilidad y estética.
- Carillas ultrafinas: Son extremadamente delgadas y se pueden colocar con muy poca preparación dental.
- Carillas de disilicato de litio: Están compuestas de una mezcla entre vidrio y cerámica, son altamente resistentes y se utilizan frecuentemente para coronas y puentes.

¿Qué tipo de carillas dentales es mejor para ti: porcelana o composite? - Clínica Ruiz de Gopegui
Carillas E-max: Una Opción Popular
De entre todos los tipos de carillas dentales que hay actualmente en el mercado, las carillas E-max son uno de los más demandados. Dentro de las diferentes carillas de porcelana que encontramos en el mercado, las E-max son una de las más demandadas debido a su alta calidad. El motivo es su gran calidad y sus muchas ventajas, que permiten disfrutar de una sonrisa nueva en muy poco tiempo.
Las carillas E-max se adhieren a la cara externa de los dientes que mostramos al sonreír para modificar su forma, tamaño y color. Esta clase de carillas se fabrican a la medida de los dientes actuales del paciente, para mejorar su aspecto (su tamaño, su forma o su color) teniendo en cuenta las necesidades y preferencias de cada persona. Asimismo, con ellas es posible perfeccionar tratamientos dentales anteriores.
Frente a sus antecesoras, las carillas dentales E-max son ultrafinas. Esto significa que ofrecen una ventaja muy valorada por los que más se preocupan por la estética de su boca: un resultado realmente natural. La porcelana es un material muy personalizable, por lo que el paciente puede elegir a su gusto cómo desea las carillas.
Ventajas de las Carillas E-max
- Naturalidad: Uno de los principales atractivos de las carillas E-Max es que son ultrafinas y, por ello, nadie notará que llevas carillas: el resultado es sorprendentemente natural.
- Resistencia a las manchas: A diferencia de los dientes naturales o de las carillas de composite, las E-Max son resistentes al café, manchas de té, y el humo del cigarrillo, ya que están hechas de materiales de alta tecnología y resistentes a las manchas y tensiones.
- Durabilidad: La porcelana E-max dura muchos años, ya que por sus propiedades, es un material no pierde brillo o color con el paso del tiempo. Además, este tipo de carillas son muy resistentes (casi como el propio diente) y muy pocas veces se rompen.
- Personalización: Ofrecen un alto grado de personalización.
- Adhesión: La porcelana ofrece también una mejor unión entre la carilla y el esmalte dental, evitando que se despegue.
- Mínimamente invasivas: No es necesario preparar mucho los dientes originales, por lo que los tiempos se acortan considerablemente. De manera general, la mayoría de nuestros pacientes disfrutan de su nueva sonrisa en solo dos semanas.
Desventajas de las Carillas E-max
A pesar de sus numerosas ventajas, las carillas E-max también presentan algunos inconvenientes a considerar:
- Precio: No obstante, todas estas ventajas pueden provocar que su precio sea algo más elevado que las carillas tradicionales, aunque los costes se pueden consultar con un profesional dependiendo del caso de cada paciente.
- Reparación: En el caso de que alguna de las veneer Emax se rompa, será imposible repararla.
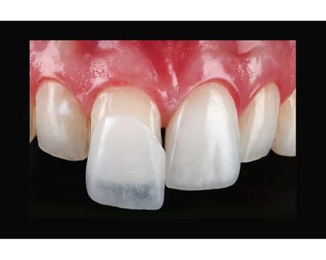
Proceso de Colocación de las Carillas Dentales
El proceso de colocación de carillas dentales implica varias etapas esenciales para asegurar un resultado óptimo y estético:
- Primera consulta: Durante la primera consulta, el dentista realiza una evaluación completa de la salud bucal del paciente.
- Diseño a medida: El siguiente paso consiste en el diseño a medida de las carillas.
- Preparación: Antes de la colocación, es necesaria una preparación mínima de los dientes.
- Colocación: Una vez fabricadas las carillas, el dentista procede a su colocación.
- Revisión final: Después de la colocación, se realiza una revisión final para asegurar el confort del paciente.
Cuidados Posteriores
Es crucial mantener una rutina de higiene bucal adecuada. Ciertos alimentos pueden perjudicar la integridad de las carillas. Las revisiones periódicas con el dentista son clave en el cuidado de las carillas.
Alternativas a las Carillas Dentales
La elección del tratamiento adecuado para mejorar la estética dental puede ser un desafío:
- Carillas de composite: Son una opción menos costosa y pueden ser aplicadas rápidamente, sin embargo, carecen de la durabilidad y el aspecto natural de las carillas de cerámica.
- Blanqueamiento dental: Es un tratamiento que se centra en eliminar manchas y aclarar el color de los dientes, pero a diferencia de las carillas, no corrige imperfecciones estructurales.
- Fundas dentales: También conocidas como coronas, son una opción recomendada para dientes dañados o debilitados. Su objetivo principal es proteger y restaurar la funcionalidad, a diferencia de las carillas, que están diseñadas para mejorar solo la apariencia.
¿Eres un Candidato Ideal para las Carillas E-max?
Generalmente, son ideales para dientes saludables que necesitan mejoras estéticas como manchas, fracturas o desalineaciones leves. Por lo general las carillas dentales se pueden aplicar en cualquier paciente que quiera realizar un diseño de sonrisa. En algunos casos quizás necesitemos llevar previamente ortodoncia, pero esto se limita a malposiciones dentarias o maloclusiones severas.
Preguntas Frecuentes
- ¿Es doloroso el tratamiento? No es nada doloroso. De hecho, no es necesario aplicar anestesia.
- ¿Cuánto duran las carillas de porcelana? En el caso de las carillas dentales de porcelana la duración puede ser de 20 años aunque tenemos pacientes que las llevan desde inclusio hace mas tiempo.
- ¿Qué hacer si una carilla se rompe o se despega? Si una carilla se rompe o se despega, debes acudir al dentista cuanto antes. Dependiendo del daño, se puede volver a cementar o habrá que fabricar una nueva.