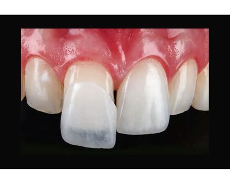
Las carillas dentales son uno de los tratamientos de estética dental más solicitados en la actualidad. Se trata de unas láminas muy finas, generalmente de menos de un milímetro de espesor, que se fijan sobre la parte visible de uno o varios dientes. Su principal objetivo es mejorar el aspecto de los dientes, ya sea para modificar su tamaño, color, forma o posición. Por tanto, tienen una finalidad puramente estética.

¿Quién puede llevar carillas dentales y cuándo se recomiendan?
Las carillas dentales son un tratamiento eficaz a la hora de corregir y/o disimular pequeños defectos que afectan negativamente al aspecto de los dientes. Su objetivo es corregir problemas estéticos (fracturas leves, cambios de color…) o patológicos (originados por caries).
Tipos de Carillas Dentales
Cuando se trata de transformar una sonrisa, es fundamental identificar qué clase de carillas dentales están disponibles. Hoy en día, las carillas pueden fabricarse con distintos materiales, como composite o porcelana (disilicato de litio, feldespáticas…).
- Carillas de composite: recomendadas para quienes buscan una alternativa rápida, económica y con buenos resultados visuales. Por lo general, estas últimas suelen confeccionarse en la propia clínica dental con un material fotocurable, igual que el que se usa para hacer los empastes. Su ventaja principal es que se colocan en una sola sesión y permiten mejorar pequeñas imperfecciones sin modificar en exceso el diente original. Son particularmente útiles en casos donde se busca una transformación notable pero asequible.
- Carillas de porcelana: ideales para quienes desean un acabado más natural y de larga duración. En nuestra clínica colaboramos con laboratorios de prestigio para diseñar piezas totalmente individualizadas. Su resistencia y similitud con el diente natural las convierten en la opción ideal para quienes desean una sonrisa armónica y de larga duración. Su proceso de fabricación incluye la selección de tonalidades, simulaciones digitales y un tallado preciso, garantizando un resultado estético superior.
- Carillas Emax: están hechas de disilicato de litio, un material altamente estético y duradero.
- Carillas Lumineers: se trata de carillas dentales finas que ofrecen grandes resultados estéticos y duraderos.
Ambas opciones se utilizan en función de las condiciones clínicas de cada paciente, siempre tras la evaluación individualizada de nuestros expertos.
Tipos de Carillas Dentales | Lo que nadie te cuenta | Composite, Porcelana y Zirconio 🦷✨"
Duración de las Carillas Dentales
A la hora de responder a esta pregunta es importante hacerse una idea de los años que van a durar las carillas dentales. La duración de las carillas dentales está determinada por diversos factores, como los cuidados que siga el paciente en cuanto a higiene oral, alimentación, tabaco, hábitos, revisiones con el dentista, etc. Adicionalmente, la durabilidad del tratamiento también depende del material con el que están fabricadas las carillas y de la técnica de colocación (directa o indirecta). Por ello, no resulta posible determinar de antemano cuánto tiempo duran las carillas dentales.
Dicho esto, las carillas dentales de porcelana tienen una duración mayor que las de composite, pudiendo resistir en perfectas condiciones hasta 15 años, y además no pierden su color ni se tiñen. Esta duración depende en gran medida de que el paciente siga las instrucciones de su odontólogo relativas a mantenimiento y cuidados.
En contraposición, la duración de las carillas dentales de composite es de un máximo de cinco años aproximadamente. Para llegar a este plazo, es necesario acudir a revisiones de mantenimiento y que el dentista realice el pulido de las carillas dentales. Además, será más fácil que las carillas dentales duren cinco años en buen estado si el paciente sigue unos buenos hábitos en cuanto a higiene y dieta. Lo que sí podemos decirte es que, con unos cuidados y unos mantenimientos adecuados, son un tratamiento pensado para durar a largo plazo.

Dichas indicaciones se centran en cepillarse los dientes después de cada comida, usar la seda dental, evitar el tabaco, utilizar una férula protectora por las noches y acudir al dentista con la regularidad establecida por este (normalmente, entre una y dos veces al año). Adicionalmente, es aconsejable tener ciertas precauciones al comer alimentos muy duros, disminuir el consumo de comidas o bebidas con mucha coloración y tener cuidado con ciertos movimientos al masticar.
Precios de las Carillas Dentales
¿Cuánto cuestan las carillas dentales? Esta es una de las preguntas que más nos hacen nuestros pacientes. Sin embargo, no siempre podemos ofrecer la misma respuesta, ya que el precio del tratamiento depende del caso de cada paciente.
En España, el precio de un tratamiento con carillas dentales parte de unos 1.120 euros. Sin embargo, hay que tener en cuenta que el precio del tratamiento varía en función del número de carillas que se necesiten. En este punto, tenemos buenas noticias para tu bolsillo, ya que las carillas no se colocan en todos los dientes de la boca, sino únicamente en el frente estético. Normalmente, se ponen en los seis dientes delanteros superiores, que son los más visibles al sonreír: dos incisivos centrales, dos incisivos laterales y dos colmillos. No obstante, en algunos casos se pueden llegar a colocar carillas en los premolares, por lo que habría que poner diez carillas en total en la arcada superior.
El coste de las carillas dentales en Madrid puede variar significativamente dependiendo del material, la cantidad de piezas y la técnica empleada. En nuestra clínica, ofrecemos una relación calidad-precio clara que asegura resultados sobresalientes. En Ferrus & Bratos, cada tratamiento se personaliza para adaptarse a tu sonrisa y expectativas.
Existen diferentes tipos y precios de carillas de porcelana. El coste de las carillas de porcelana depende del tipo de cerámica, la técnica empleada y la cantidad de dientes a tratar. En Clínica Bernabéu, seleccionamos cada material en función de cada caso y en función a la demanda estética del paciente. El precio de las carillas de porcelana varía en función del material y la técnica de fabricación. En Clínica Bernabéu, los precios van desde 470€ para las carillas cerámicas monocromáticas hasta 690€ en el caso de las feldespáticas. Sin embargo, su fabricación es más compleja y requiere un proceso artesanal minucioso.
Oscila entre 250 € y 1200 € por unidad.
El precio carilla dental de composite es barato en comparación con otro tipo de carillas dentales. Su proceso de colocación es rápido y sencillo.
Factores que influyen en el precio de las carillas dentales
- Tipo de material utilizado: El precio varía según el material, ya sea composite o porcelana (disilicato de litio, feldespáticas).
- Número de carillas: El precio del tratamiento varía en función del número de carillas que se necesiten.
- Experiencia del odontólogo: La experiencia y la formación del odontólogo que realiza el tratamiento también desempeña un papel relevante en el precio de las carillas dentales.
- Laboratorio protésico: Los resultados más naturales y duraderos son realizados en laboratorios donde los técnicos son artistas que consiguen imitar con mucha exactitud el aspecto de los dientes naturales, estos laboratorios siempre tienen costos más elevados.
Es importante destacar que algunos tipos de carillas, como las de composite estratificado, pueden requerir un trabajo muy manual durante su diseño y colocación. Dicho esto, sea cual sea la carilla elegida, la visión global y el gusto estético del dentista también determinarán, en gran medida, el éxito del tratamiento.
A continuación, se presenta una tabla con los precios aproximados de los diferentes tipos de carillas dentales:
| Tipo de Carilla | Precio Aproximado por Unidad |
|---|---|
| Composite | 250€ - 500€ |
| Porcelana | 470€ - 1200€ |
| Carillas cerámicas monocromáticas | Desde 470€ |
| Carillas feldespáticas | Hasta 690€ |
Consideraciones Adicionales
Tradicionalmente, las carillas dentales de composite siempre han exigido tallar menos el diente que las de porcelana. Dicho esto, la necesidad de realizar el tallado depende de dos factores: la posición y el color. Si ambos aspectos son adecuados, no será necesario hacerlo. En cambio, si el diente se encuentra excesivamente adelantado o tiene un color muy amarillo sí que es necesario “tocar” la pieza dental. En estos casos, se llevará a cabo un tallado dental bajo anestesia local.
No, las carillas dentales no se pueden blanquear. Por ello, antes de colocarse una carilla es necesario asegurarse de que el color es el adecuado. Esto se consigue mediante las pruebas que realiza el odontólogo al paciente, en las que se determina cuáles son el color, la forma, el tamaño o la posición más adecuados. Además, a la hora de pensar en el color también es importante tener en cuenta el grosor de la carilla.
La mayoría de las carillas estéticas que colocamos en nuestra clínica dental de Madrid son E-max o Lumineers. Esto quiere decir que tienen un grosor mínimo y que, además, son translúcidas para aportar naturalidad. Por tanto, si el color de nuestros dientes es amarillo y colocamos la carilla encima, este tono se transparentará y la sonrisa tendrá un aspecto amarillento.
Contraindicaciones de las Carillas Dentales
Hay personas que están interesados en llevar carillas dentales para mejorar su sonrisa pero tienen malposiciones muy severas. Esto hace que los profesionales recomienden al paciente la posibilidad de llevar ortodoncia. Cuando el paciente no tiene una buena mordida (clase II, clase III, mordida cruzada…) las carillas dentales también pueden estar contraindicadas porque hay riesgo de rotura.
Aunque en muchas ocasiones el hecho de padecer bruxismo se presente como una contraindicación, lo cierto es que en Ferrus&Bratos tratamos a pacientes que tienen este hábito y llevan carillas estéticas.
No contar con una adecuada higiene bucodental no solamente es perjudicial para la salud dental, sino también para usar carillas dentales. La acumulación de sarro conlleva la aparición de inflamaciones en las encías o filtraciones.