En la búsqueda de una sonrisa radiante y perfecta, las carillas dentales se han convertido en una solución estética muy popular. En Victoria Center, clínica dental en Irún, te ofrecemos una guía completa sobre los tipos de carillas disponibles, sus precios y los beneficios que pueden aportar a tu salud bucodental.

¿Qué son las Carillas Dentales?
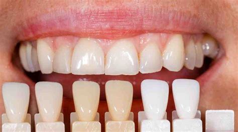
Las carillas dentales son finas láminas que se adhieren a la superficie frontal de los dientes para mejorar su apariencia estética. Estas láminas pueden estar hechas de diferentes materiales, como porcelana o composite, y se utilizan para corregir problemas como dientes manchados, desgastados, astillados o con pequeñas malformaciones.
Tipos de Carillas Dentales
Existen varios tipos de carillas dentales, cada uno con sus propias características y precios. A continuación, te presentamos los más comunes:
Carillas de Composite
Las carillas de composite están hechas de una resina compuesta que se aplica directamente sobre el diente. Son una opción más económica y rápida de colocar, pero pueden ser menos duraderas y más propensas a mancharse con el tiempo.
Carillas de Porcelana
Las carillas de porcelana son más duraderas y resistentes a las manchas que las de composite. Ofrecen un aspecto más natural y estético, ya que la porcelana imita muy bien el color y la translucidez del esmalte dental. Son una inversión a largo plazo para una sonrisa impecable.
Carillas de Zirconio
Las carillas de zirconio son una opción aún más avanzada. El zirconio es un material cerámico de alta resistencia y biocompatibilidad, lo que garantiza una mayor durabilidad y un aspecto muy natural. Son ideales para casos que requieren una mayor resistencia y estética.
Precios de las Carillas Dentales en Irún
El precio de las carillas dentales puede variar dependiendo del material, la clínica dental y el número de carillas que necesites. A continuación, te ofrecemos una tabla con precios aproximados:
| Tipo de Carilla | Precio Aproximado por Diente |
|---|---|
| Composite | 90€ - 200€ |
| Porcelana | 300€ - 600€ |
| Zirconio | 500€ - 800€ |
Es importante tener en cuenta que estos precios son orientativos y pueden variar. Te recomendamos solicitar una consulta en Victoria Center para obtener un presupuesto personalizado y adaptado a tus necesidades.
👉 Blanqueamiento dental: tipos, duración, seguridad y resultados
Beneficios de las Carillas Dentales
Además de mejorar la estética de tu sonrisa, las carillas dentales ofrecen otros beneficios importantes:
- Corrección de imperfecciones: Permiten corregir dientes manchados, desgastados, astillados o con pequeñas malformaciones.
- Mejora de la autoestima: Una sonrisa más blanca y alineada puede aumentar tu confianza y mejorar tu calidad de vida.
- Durabilidad: Las carillas de porcelana y zirconio son muy duraderas y resistentes a las manchas, lo que garantiza una sonrisa impecable por muchos años.
- Mínimamente invasivo: La colocación de carillas dentales es un procedimiento mínimamente invasivo que no daña los dientes naturales.

Otros Tratamientos Estéticos en Victoria Center
En Victoria Center, además de las carillas dentales, ofrecemos una amplia gama de tratamientos estéticos para que puedas lucir tu mejor sonrisa:
Blanqueamiento Dental
Uno de los tratamientos más demandados es, sin duda, el blanqueamiento dental, la técnica estrella para lucir tu mejor sonrisa. El blanqueamiento dental es un tratamiento que puede realizarse en cualquier época del año pero que es habitual en verano, porque es uno de los métodos más rápidos y eficaces para mejorar la estética de la sonrisa y recuperar el blanco de los dientes. A todos nos gusta lucir moreno a juego con una sonrisa blanca y espectacular.
Existen diferentes tipos de blanqueamiento dental:
- En la clínica dental
- En el domicilio del paciente
- Combinado de ambos (sesión en clínica y uso de férulas y un gel especial en casa)
Ortodoncia
La ortodoncia es una magnífica solución para corregir tus problemas dentales. Gracias a los aparatos dentales, es posible modificar la posición de los dientes, mejorando el funcionamiento de la estructura dental y, al mismo tiempo, su estética. En la actualidad, hay muchos tipos de ortodoncia, lo que hace que puedan surgir dudas respecto a cuál es el tratamiento ideal. En nuestra clínica dental, expertos en ortodoncia en Irun, pretendemos ayudarte a escoger el aparado dental adecuado para ti.
Tipos de ortodoncia:
- Brackets metálicos: Es el tratamiento más tradicional, pero hoy en día sigue siendo uno de los más utilizados.
- Brackets estéticos: Son aparatos fijos, elaborados con materiales que reducen su visibilidad, lo que permite que los pacientes puedan sonreír sin complejos.
- Brackets de autoligado y brackets de autoligado estéticos: No utiliza ligaduras (gomas elásticas) para unir los brackets con el arco, lo que disminuye la presión sobre los dientes, aportando comodidad al paciente.
- Ortodoncia invisible: Ha revolucionado por completo el sector dental, haciendo que los aparatos dentales sean prácticamente imperceptibles.
- Ortodoncia Invisalign: Utiliza unas férulas transparentes removibles (se pueden quitar y poner), muy cómodas y eficaces.
- Ortodoncia lingual: Se trata del tipo de ortodoncia más estético, ya que utiliza brackets que se colocan en la cara interna de los dientes, lo que hace que sea totalmente invisible.
Aspectos que influyen en la elección del aparato dental:
- Condiciones dentales.
- Importancia que le des a la estética.
- Precio que estés dispuesto a pagar.
Implantes Dentales
Si bien es cierto que el principal motivo por que el que una persona decide colocarse un implante dental suele ser recuperar la estética de su sonrisa, lo cierto es que, además de ayudar a recuperar la confianza y la funcionalidad de la boca, los implantes reúnen varios beneficios para la salud. No solo son la opción más cómoda que existe en la actualidad a la hora de sustituir un diente perdido, sino que también ayudan a conservar la cavidad oral en buen estado.

Beneficios de los implantes dentales:
- Los implantes dentales evitan la pérdida ósea.
- Impiden que el resto de piezas dentales se desplacen.
- Disminuyen el riesgo de padecer una enfermedad periodontal.
Ventajas de los implantes dentales:
- Tienen mayor duración que otros tipos de tratamientos.
- Evitan la pérdida ósea, ya que el hueso del maxilar no pierde su función.
- En casos en los que el paciente ha perdido todos sus dientes, los implantes dentales son la mejor opción para recuperar su calidad de vida.
- Ausencia de dolor.
- El mantenimiento es muy sencillo.
- Permiten mantener una mejor higiene bucodental.
Ortodoncia Invisible
Los avances en Ortodoncia han permitido desarrollar cada vez métodos más sofisticados para conseguir alinear las sonrisas de los pacientes. La última gran revolución en este campo es la aparición de la ortodoncia invisible, que permite corregir los defectos en la posición de los dientes sin tener que recurrir a los antiestéticos brackets. Este sistema funciona mediante unos alineadores removibles y transparentes hechos a medida que el paciente debe cambiar cada dos semanas y van desplazando los dientes poco a poco, hasta alcanzar la posición ideal.
Ventajas de la ortodoncia invisible:
- El tratamiento más cómodo para el paciente.
- Mantiene tu higiene bucodental intacta.
- Permite llevar a cabo un seguimiento detallado del tratamiento.
- Es un tratamiento muy eficaz.
Implantes Dentales: Procedimiento
Cada vez son más las personas que recurren a un tratamiento de implantes dentales para ocultar o subsanar la pérdida de un diente y, de hecho, se ha convertido en uno de los tratamientos dentales más populares en todo el mundo. Un implante dental es una fijación de titanio con forma de tornillo que se une al hueso mandibular y sustituye a la raíz de un diente ausente para fijar coronas, puentes u otras prótesis dentales y sustituir, así, al diente ausente. La pérdida de dientes puede estar causada por infecciones, enfermedades como la periodontitis o las caries… o por golpes, caídas o traumatismos y, a la larga, la ausencia de algunas piezas dentales puede provocar graves problemas bucodentales y estéticos. Por ello, desde Clínica Dental Victoria Center, nuestra clínica de odontología avanzada de Irun, recomendamos la realización de implantes cuanto antes y con materiales que no resulten perjudiciales para la salud bucodental y general del paciente, es decir, materiales que no provoquen ningún tipo de alergia y que no resulten intrusivos.
Fases del procedimiento de implantes dentales:
- Diagnóstico.
- Tratamientos previos.
- Cirugía.
Otros tratamientos ofrecidos en la clínica:
- Endodoncia.
- Ortodoncia.
- Odontopediatría.
- Higienes bucales.
- Blanqueamiento dental.
Ofrecemos facilidades de financiación para nuestros tratamientos:
Ejemplo de financiación para carilla sobre diente de disilicato de litio:Importe mínimo:90€. Ejemplo de financiación para un importe de 237,00 € en 6 meses. Comisión de formalización del 2,00%: 4,74€ a pagar en la primera cuota. Importe financiado: 237,00€. Primera cuota de 45,10€. 04 cuotas de 40,36€ y una última cuota de 40,38€. TIN 7,45% TAE 15,40%. Total intereses: 5,18€. Coste total del crédito: 9,92€. Importe total adeudado y precio total a plazos: 246,92€. Precio de adquisición al contado: 237,00€. Sistema de amortización francés. Financiación ofrecida por Banco Cetelem S.A.U. *Incluye carilla sobre diente de disilicato de litio. Revisión y seguimiento.
Ejemplo de financiación para un importe de 604,00€ en 12 meses:Importe mínimo: 144€. Ejemplo de financiación para un importe de 604,00€ en 12 meses. Comisión de formalización del 2,00%: 12,08€ a pagar en la primera cuota. Importe financiado: 604,00€. Primera cuota de 64,47€. 10 cuotas de 52,39€ y una última cuota de 52,35€. TIN 7,45% TAE 11,82%. Total intereses: 24,64€. Coste total del crédito: 36,72€. Importe total adeudado y precio total a plazos: 640,72€. Precio de adquisición al contado: 604,00€. Sistema de amortización francés. Financiación ofrecida por Banco Cetelem S.A.U.