Las pequeñas imperfecciones de tamaño y forma, así como el color de los dientes, son los rasgos principales que influyen en la estética de la sonrisa. Las carillas dentales son un tratamiento de odontología estética para mejorar el aspecto de tu sonrisa. Son uno de los tratamientos dentales estéticos más demandados actualmente, tanto por su sencillez como por su precio. Tanto si deseas iniciar un tratamiento como si deseas solicitar información, estás en el lugar adecuado.
En Clínica Dental Castañer, somos especialistas en estética dental con más de 50 años de experiencia, ofreciendo tratamientos personalizados para cada paciente. En Clínica Pronova mejoramos tu sonrisa ayudándote a sentirte a gusto contigo mismo y con los que te rodean. Para unas carillas dentales en Palma de Mallorca, Clínica Joana Rosselló es una referencia en estética dental avanzada. En pleno centro de la ciudad, cuentan con un equipo multidisciplinar que diseña cada caso de forma personalizada.
Si deseas más información sobre este tema, o que valoremos tu caso, no dudes en solicitar una primera cita gratuita.
¿Qué son las Carillas Dentales?
Las carillas dentales son un tratamiento mínimamente invasivo y totalmente indoloro que permite mejorar la estética dental y recuperar la sonrisa. Las carillas dentales son unas láminas muy finas -generalmente inferiores a un milímetro de espesor- que se fijan sobre la parte visible de uno o varios dientes. Las carillas dentales son unas delgadísimas láminas que se colocan sobre la superficie del diente mediante adhesivos altamente estables, y que permiten cambiar el color, la forma y la posición de los dientes.
Su objetivo es corregir problemas estéticos (fracturas leves, cambios de color…) o patológicos (originados por caries). Su principal objetivo es mejorar el aspecto de los dientes, ya sea para modificar su tamaño, color, forma o posición. Por tanto, tienen una finalidad puramente estética. Están teniendo una gran aceptación puesto que solucionan de una forma sencilla, a la par que eficiente, problemas estéticos en sus dientes como manchas, decoloración, desgaste, fracturas o espacios entre dientes.
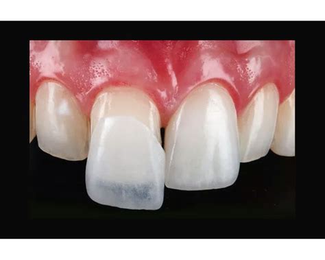
Estas carillas se colocan en la cara vestibular del diente, es decir, en la parte más externa para lo que se tienen que confeccionar de forma personalizada gracias a la toma de unas impresiones en 3D. Es uno de los tratamientos más delicados de la odontología, puesto que el odontólogo debe conseguir que la carilla mejore su aspecto de una forma natural.
¿Quién puede llevar carillas dentales y cuándo se recomiendan?
Está indicado para cuando existe alguna pequeña anomalía en los dientes. Las carillas dentales son un tratamiento eficaz a la hora de corregir y/o disimular pequeños defectos que afectan negativamente al aspecto de los dientes. En nuestra clínica dental en Palma de Mallorca, recomendamos las carillas dentales para solucionar diversos problemas estéticos:
- Fracturas dentales y dientes astillados
- Dientes con manchas resistentes al blanqueamiento
- Alteraciones de forma y tamaño dental
- Mejorar el color de los dientes de forma permanente
- Corregir pequeñas malposiciones y cerrar espacios
- Reducir la visibilidad de encías al sonreír
- Tapar espacios negros entre dientes por retracción gingival
¿Conoces los TIPOS de CARILLAS DENTALES? ✨ El mejor tratamiento ESTÉTICO para tu sonrisa👄
Tipos de Carillas Dentales
Pueden estar hechas de diferentes materiales, pero suelen ser de porcelana o composite. En función del material con el que se confeccionan y de las características de las láminas, hoy contamos con tres tipos de carillas dentales.

Carillas de Composite
Las carillas de composite son una solución menos invasiva que no requiere desgaste dental previo. Carillas de composite: este tipo de carillas se coloca directamente sobre el diente. Es decir, cuando acuda a la consulta del odontólogo extenderá de manera directa la resina sintética y comenzará a darle la forma adecuada, tallará sobre el diente a tratar para que parezca natural. Las carillas dentales hechas de composite permiten mejorar el aspecto de los dientes. Solucionan pequeños defectos como el tamaño, la forma o el color las piezas dentales.
Son las láminas confeccionadas con una resina sintética moldeable. Generalmente, estas últimas suelen confeccionarse en la propia clínica dental con un material fotocurable, igual que el que se usa para hacer los empastes. Son hechas con una resina sintética que se adhiere al diente y es moldeado y trabajado en el propio diente. Son las más conocidas en estética dental gracias la seguridad de su resultado. Es una solución económica, cuando la zona a restaurar es pequeña o no muy amplia, y rápida, en una sesión se puede colocar las carillas.
Ventajas de las Carillas de Composite:
- Tratamiento reversible y menos invasivo
- Se realizan en una sola visita
- Más económicas
- Fáciles de reparar si se dañan
Carillas de Porcelana
Las carillas de porcelana son las láminas confeccionadas con material cerámico. Son realizadas con un material cerámico llamado disilicato de litio fuerte y resistente. Las carillas estéticas hechas de cerámica sirven para modificar malformaciones en los dientes, cerrar diastemas o corregir la alineación de los dientes. Con ellas es posible conseguir mejor brillo y color sin perder la naturalidad, ya que el material se puede mimetizar a la perfección con el resto de dientes naturales.
Este tipo de restauración está indicado para aquellas personas que tienen afecciones más graves como fracturas de los dientes, una zona amplia a restaurar o separación entre dientes. Carillas de porcelana: para colocar unas carillas de porcelana es necesario realizar varias visitas al odontólogo. En la primera visita, el médico valorará y examinará la zona a tratar, expondrá las opciones de tratamiento y tomará el molde de los dientes, así como fotos para determinar el color y que la sonrisa parezca natural. Toda la información se envía al laboratorio para preparar las carillas. En la segunda visita, el médico mostrará las carillas al paciente y las colocará.
Ventajas de las Carillas de Porcelana:
- Aspecto natural y duradero
- Resistentes a manchas y decoloración
- Mantienen el brillo permanentemente
- Resultados estéticamente superiores
- Conservan la estética durante mucho tiempo sin mancharse ni perder brillo
Carillas Lumineers
Las carillas dentales Lumineers son carillas de porcelana de última generación y ultra-delgadas, tanto como una lente de contacto. Estas carillas se adhieren al diente prácticamente sin tocarlo o modificarlo. Las carillas Lumineers se adhieren a la pieza dental prácticamente sin necesidad de realizar fresado, corte o limado en la mayoría de casos, por lo que tan siquiera es necesario recurri a la anestesia para colocarlas.
Cerinate®, la compañía que fabrica Lumineers, ofrece una garantía de cinco años de fabricación en sus carillas, siempre y cuando se realice el mantenimiento en clínicas Udemax, certificadas para llevar a cabo el tratamiento.
Proceso de Colocación de Carillas Dentales en Clínica Castañer
El procedimiento de colocación depende del tipo de carillas que vaya a llevar el paciente (porcelana, composite, disilicato de litio…). El proceso de colocación de las carillas es poco invasivo, aunque no por ello se debe confiar esta intervención a cualquiera.
- Lo primero es realizar una evaluación minuciosa de tu boca, no sólo a nivel estético, si no también en cuestión de salud.
- Aquí es donde ponemos el plan en marcha. En este caso normalmente, aplicamos una anestesia local, para garantizar tu máximo confort durante la colocación de las carillas.
- Una vez preparada la superficie de los dientes, una a una, las carillas son cementadas a la parte frontal mediante un adhesivo.
- La primera es transcurridos unos 15 días.
Realizamos un estudio personalizado mediante fotografías faciales y dentales, además de impresiones para crear modelos de escayola. Diseñamos su sonrisa ideal considerando sus características faciales y expectativas. Creamos una simulación del resultado final con material acrílico para que pueda visualizar cómo quedará su sonrisa antes del tratamiento definitivo.
Generalmente sí es necesario realizar un ligero contorneado para colocar las carillas, aunque esto depende también de la posición del diente y de si es necesario modificar su volumen. Este procedimiento consiste en un leve limado de las piezas dentales a tratar con carillas. Procedemos al tallado mínimo (entre 0.2 y 0.6 mm según el caso) y colocación de provisionales mientras nuestro laboratorio dental de vanguardia fabrica sus carillas definitivas.
La adhesión final es el paso más importante del tratamiento. Utilizamos técnicas avanzadas que garantizan la durabilidad y estética del resultado.
Materiales y su Durabilidad
El material utilizado: las carillas pueden realizarse en composite o disilicato de litio. A la hora de elegir un tipo de carillas u otro es necesario acudir a la clínica dental y que sea el odontólogo quien aconseje el tipo de carilla más conveniente, en función de las necesidades de cada paciente. La resina sintética es un material económico, por lo tanto, es un tratamiento más económico que otras carillas. Es un tratamiento altamente recomendable para pacientes con imperfecciones o anomalías más complejas en sus dientes que no se pueden cubrir con carillas de composite. La porcelana es un material muy resistente por lo que tienen una gran durabilidad.
El primero es una resina más económica y tiene mayor probabilidad de fracturarse que la disilicato de litio, pero aun así puede durar entre 5 y 7 años. Las carillas de porcelana pueden durar entre 10 y 15 años con el cuidado adecuado, mientras que las carillas de composite requieren mantenimiento cada 5-7 años. La duración de las carillas dentales está determinada por diversos factores, como los cuidados que siga el paciente en cuanto a higiene oral, alimentación, tabaco, hábitos, revisiones con el dentista, etc. Adicionalmente, la durabilidad del tratamiento también depende del material con el que están fabricadas las carillas y de la técnica de colocación (directa o indirecta). Por ello, no resulta posible determinar de antemano cuánto tiempo duran las carillas dentales. Lo que sí podemos decirte es que, con unos cuidados y unos mantenimientos adecuados, son un tratamiento pensado para durar a largo plazo.
Una vez realizado este tratamiento estético, el especialista determinará cada cuánto tiempo es necesario realizar una revisión. En esta es posible que sea necesario pulir las carillas dentales para conservar sus propiedades estéticas y que, de este modo, duren sus efectos más tiempo. Si las carillas, especialmente las de composite, cambian de color y quedan muy envejecidas una vez pasado el tiempo óptimo de uso, así como si sufren alguna rotura, será necesario reemplazarlas por otras.

Precios de Carillas Dentales en Palma de Mallorca
El precio de las carillas varía según el material elegido. Realizar un tratamiento de carillas dentales en Mallorca puede oscilar entre 295€ y 695€ por carilla. El precio de las carillas varía dependiendo del material, del prestigio de la clínica y de las técnicas utilizadas. El precio de las carillas de composite es más bajo porque se realizan en una sola sesión, pero suelen tener más riesgo de fractura o de cambio de color. Nuestra recomendación es que no te dejes llevar solo por el precio. También es recomendable que acudas al menos a dos centros para poder comparar la atención, la puntualidad, la organización, el tiempo y el contenido de la exploración de tu boca y, sobre todo, la información recibida por parte de los profesionales que te atienden. En Clínica Castañer ofrecemos precios competitivos para carillas dentales en Palma:
| Tipo de Carilla | Precio Orientativo | Características |
|---|---|---|
| Carillas de Composite | 380€ - 450€ | Tratamiento en 1 sesión, reversible |
| Carillas de Porcelana | 600€ - 910€ | Máxima estética, durabilidad superior |
El precio de las carillas dentales en Palma de Mallorca depende del tratamiento llevado a cabo.¿Se pueden financiar las carillas dentales? Generalmente sí.
*Incluye carilla sobre diente de disilicato de litio. Revisión y seguimiento. **Importe mínimo: 144€. Ejemplo de financiación para un importe de 604,00€ en 12 meses. Comisión de formalización del 2,00%: 12,08€ a pagar en la primera cuota. Importe financiado: 604,00€. Primera cuota de 64,47€. 10 cuotas de 52,39€ y una última cuota de 52,35€. TIN 7,45% TAE 11,82%. Total intereses: 24,64€. Coste total del crédito: 36,72€. Importe total adeudado y precio total a plazos: 640,72€. Precio de adquisición al contado: 604,00€. Sistema de amortización francés. Financiación ofrecida por Banco Cetelem S.A.U.
Ventajas de las Carillas Dentales
- Tratamiento rápido: Resuelto en 3 visitas aproximadamente
- Comodidad total: Son tan finas que no notará que las lleva
- Tratamiento personalizado: Adaptado a la fisonomía de cada paciente
- Mantenimiento sencillo: El mismo cuidado que sus dientes naturales
- Resultados duraderos: Las carillas de porcelana mantienen color y brillo permanentemente
Preguntas Frecuentes sobre Carillas Dentales
- ¿Cuánto duran las carillas dentales? Las carillas de porcelana pueden durar entre 10 y 15 años con el cuidado adecuado, mientras que las carillas de composite requieren mantenimiento cada 5-7 años.
- ¿Las carillas dentales duelen? El procedimiento es prácticamente indoloro. Las carillas de composite no requieren anestesia, mientras que para las de porcelana se utiliza anestesia local mínima durante la preparación.
- ¿Puedo comer normalmente con carillas? Sí, las carillas permiten comer con normalidad.
- ¿Qué pasa si me arrepiento tras el tratamiento? Las carillas de composite pueden ser retiradas o reparadas con más facilidad de que las de porcelana.
- ¿De qué material están hechas las carillas dentales? Composite: se trata de una resina sintética que se coloca directamente sobre el diente que haya que corregir. El odontólogo va dándole forma sobre el propio diente hasta conseguir el resultado deseado. Porcelana: a diferencia del composite, la porcelana es un material mucho más resistente y estético.
- ¿Se puede llevar ortodoncia con carillas dentales? Sí, las carillas y la ortodoncia son tratamientos compatibles. Ambos intentan corregir y mejorar la sonrisa. Por lo que, si llevas carillas y necesitas realizarte un tratamiento de ortodoncia, no existe ningún impedimento para ello. De hecho, se puede llevar a cabo el tratamiento con total normalidad.
- ¿Qué hago si se me cae una carilla? Esta situación es muy poco probable que suceda. Sin embargo, lo que sí que puede ocurrir, si no se llevan a cabo los cuidados adecuados, es que la carilla se fracture o se rompa.