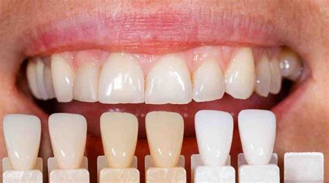
Las carillas dentales son finas láminas personalizadas que se adhieren a la parte frontal de los dientes con el objetivo de mejorar su aspecto. Imagina una “cubierta” delgada, hecha a medida, que cubre la cara visible de tu diente. Están fabricadas con materiales como porcelana o resina compuesta (composite), que imitan el color y el brillo del diente natural.

Carillas de porcelana ofrecen una apariencia natural y duradera.
¿Para qué sirven las carillas dentales?
Principalmente, para corregir imperfecciones estéticas de la sonrisa. Las carillas dentales sirven para transformar sonrisas de forma rápida y eficaz. Ofrecen un cambio notable de estética sin procedimientos muy invasivos.
Eso sí, las carillas tradicionales (porcelana o composite) requieren ser colocadas por un odontólogo en la clínica. El dentista realiza un estudio de tu sonrisa, prepara el diente (a veces limando una mínima parte del esmalte), toma moldes o impresiones y encarga la fabricación de la carilla a medida en un laboratorio (en el caso de las de porcelana) o las construye directamente sobre tu diente (en el caso de las de composite). Luego las adhiere con un cemento especial muy resistente.
Tipos de Carillas Dentales Profesionales
- Carillas de porcelana: extremadamente estéticas y duraderas. Son finísimas, parecen la capa de una lenteja en grosor, pero muy resistentes. Mantienen su color con el tiempo y pueden durar entre 10 y 15 años con buenos cuidados.
- Carillas de composite (resina): se construyen directamente sobre el diente aplicando capas de resina del color adecuado. Son más económicas que las de porcelana y se pueden realizar en una sola visita.
Ambas opciones transforman la sonrisa de forma significativa. Pero implican visitar al dentista, cierta inversión económica y un procedimiento clínico.
Carillas Dentales de Farmacia: ¿Una Opción Viable?
Ahora bien, ¿qué pasa con esas supuestas “carillas milagrosas” que podrías adquirir en una farmacia o por internet sin pisar la consulta? Llegamos al meollo del asunto: ¿Es posible comprar carillas dentales en una farmacia? La respuesta corta es sí, en algunas farmacias y tiendas online se comercializan carillas dentales de uso doméstico.
Tipos de Carillas Vendidas en Farmacias
Básicamente, son carillas dentales temporales, removibles y prefabricadas. No tienen nada que ver con las carillas profesionales de porcelana o composite que describí antes, sino que son más bien prótesis estéticas de quita y pon. Su finalidad es meramente cosmética y temporal, algo así como “ponte un smile postizo para una ocasión especial”.
- Férula completa tipo “snap-on”: Es una placa delgada de resina o plástico que viene con la forma de una hilera de dientes (generalmente para la arcada superior, que es la más visible al sonreír). Esta férula se encaja sobre tus dientes cubriendolos por delante. Un ejemplo muy conocido es el producto comercial Perfect Smile, que se hizo popular en anuncios de TV e internet. Estas carillas instantáneas prometen darte una sonrisa perfecta al instante: cubren dientes manchados, torcidos o con huecos, dando la apariencia de dientes alineados y blancos al sonreír. Suelen estar hechas de un material plástico flexible que puedes ajustar (algunos se ablandan en agua caliente para adaptarlos un poco a tu mordida). Después, simplemente te los colocas a presión (“snap on”, que en inglés significa encajar a presión) y en teoría quedan sujetos sobre tus propios dientes.
- Carillas adhesivas individuales: Menos frecuentes, pero también existen kits con láminas adhesivas que se pegan sobre cada diente frontal. Imagina algo parecido a una uña postiza pero para el diente. Vienen en un color blanco/porcelana estándar y traen un pegamento dental o se auto-adheren con la humedad. Estas se anuncian para cubrir, por ejemplo, solo un diente estropeado. Personalmente, tengo serias reservas con estos adhesivos: suelen ser productos de baja calidad y el pegamento puede ser muy agresivo. De hecho, el uso de estas láminas está contraindicado por el riesgo de dañar el esmalte dental.
En cualquier caso, sí, se venden carillas dentales en farmacias, pero son siempre temporales y puramente estéticas. Las podrás encontrar en grandes farmacias, parafarmacias o tiendas en línea. Por ejemplo, cadenas de farmacias en algunos países ofrecen un producto tipo “férula estética instantánea”, y sitios como Amazon, Mercado Libre o incluso Walmart online tienen estas carillas removibles a la venta.
Precios de las Carillas de Farmacia
Su precio suele ser bastante asequible comparado con las carillas de dentista: rondan desde unos 20 a 50 euros/dólares (dependiendo de la marca y la calidad) e incluso menos si son muy sencillas.
Limitaciones y Riesgos de las Carillas de Farmacia
Ahora bien, que algo exista y se pueda comprar fácilmente no significa que sea recomendable colocárselo en la boca. Quiero ser muy clara al respecto: las carillas dentales que se venden en farmacias tienen importantes limitaciones y no están exentas de riesgos para tu salud bucodental. Es mi deber, como profesional, ponerte al tanto de los posibles problemas antes de que consideres usarlas.
- No corrigen problemas dentales reales: Estas carillas temporales solo camuflan visualmente defectos estéticos leves, pero no solucionan la causa de fondo. Si tus dientes están mal alineados, seguirán estándolo debajo de la férula; si tienes caries, seguirá avanzando bajo la carilla; si hay manchas internas, allí permanecerán. Es un efecto cosmético superficial. Al retirar la carilla removible, tu diente original sigue igual.
- Ajuste deficiente y comodidad cuestionable: Al ser productos prefabricados de talla única o limitada, es muy difícil que calcen perfectamente en la dentadura de todas las personas. Cada boca es un mundo. Es común que queden algo flojas, o al contrario, muy ajustadas en zonas equivocadas. Un ajuste deficiente puede ocasionar molestias, llagas o rozaduras en las encías. Muchos usuarios reportan que al principio les cuesta hablar bien con ellas puestas (puede haber un ligero ceceo o dificultad para pronunciar, debido al grosor añadido sobre los dientes). La publicidad dice que son cómodas y que uno “ni nota que las lleva puestas”, pero en la realidad esto varía mucho de persona a persona.
- Estética poco natural: Paradójicamente, algo diseñado para embellecer la sonrisa puede terminar viéndose falso. ¿Por qué? Porque no están personalizadas para ti. El color quizás no coincida con el de tus dientes naturales (a veces vienen de un blanco brillante poco realista, que canta a la vista). La forma de los dientes de la férula puede no asemejarse a la tuya. Incluso he visto que algunas férulas dan un aspecto algo voluminoso o abultado a la sonrisa, porque se colocan encima de tus dientes y añaden grosor. Un dentista, en cambio, escoge el tono exacto de porcelana para que combine con tu dentadura y talla cada carilla con la forma adecuada. Con las carillas de farmacia, existe el riesgo de ese “efecto Chiclet” (dientes cuadrados y demasiado blancos que parecen postizos).
- Fragilidad y poca duración: Estas carillas temporales no están hechas de materiales de alta resistencia. Son plásticos o resinas sencillas. Por tanto, se pueden romper o deformar fácilmente. Un descuido (por ejemplo, limpiarlas con agua muy caliente, o morder algo duro accidentalmente con ellas puestas) y adiós carilla. Su vida útil es limitada; algunos usuarios las usan varias semanas o meses con cuidado, pero no están pensadas para un uso prolongado en años ni mucho menos. Al ser baratas, también su calidad suele ser acorde al precio.
- No puedes comer con total normalidad: Este punto es importante. ¿Se puede comer con las carillas de quita y pon? En teoría, algunos fabricantes dicen que sí puedes beber y comer cosas suaves. Pero la realidad: no es recomendable masticar alimentos con ellas, especialmente comidas duras o pegajosas. Por un lado, podrías desencajarlas o que se suelten (imaginemos el momento incómodo de que se te caiga la “dentadura postiza” en plena comida…). Y por otro lado, la fuerza de la mordida podría partir o doblar el material. Lo más sensato es quitárselas para comer, lo cual limita su uso a situaciones sociales donde no estés comiendo mucho, o a sonreír en fotos, etc.
- Riesgo de caries y problemas gingivales: Este es quizás mi mayor temor profesional respecto a que la gente use estos dispositivos sin supervisión. Una carilla mal ajustada puede crear espacios donde se acumula placa bacteriana entre la carilla y el diente. Si la persona no tiene un higiene exquisita, esas bacterias pueden causar caries en el diente real oculto o inflamar las encías (gingivitis). Además, si alguien se confía y usa estas carillas todos los días para “tapar” un diente picado en lugar de ir al dentista, la caries avanzará silenciosamente debajo hasta posiblemente afectar el nervio. He atendido casos en que lo estético retrasó lo médico: pacientes que enmascararon un problema con soluciones de farmacia y acudieron cuando ya era demasiado tarde y había infección o dolor. ¡Cuidado con eso!
- Adhesivos peligrosos: Si el kit que compras implica usar un pegamento dental para fijar la carilla, hay que extremar precauciones. Un pegamento inadecuado puede dañar el esmalte o los tejidos blandos. Algunos pegamentos fuertes podrían requerir luego que el dentista retire restos del producto con fresas (tallando el diente). Recuerda: los adhesivos dentales profesionales los maneja el odontólogo bajo condiciones controladas; los de venta libre pueden ser seguros para pequeñas cosas, pero su mal uso es un riesgo real.
- Falsa seguridad y retraso de tratamientos adecuados: Si alguien usa diariamente estas carillas removibles, puede caer en la tentación de postergar visitas al dentista porque “total, mis dientes feos no se ven”. Esto es un riesgo indirecto: problemas que deberían atenderse (caries, malposiciones que afectan la mordida, enfermedad periodontal, etc.) quedan en segundo plano, empeorando con el tiempo.
Como puedes ver, las limitaciones son considerables. No es que esté “satanizando” el producto -puede tener su utilidad puntual- pero es fundamental conocer sus riesgos. De hecho, asociaciones profesionales advierten que procedimientos dentales realizados sin supervisión pueden causar daños irreversibles. Y las autoridades sanitarias recuerdan que las carillas, al igual que otros trabajos dentales, deben realizarse por profesionales acreditados para ser seguras.
Carillas Profesionales vs. Carillas de Farmacia: Una Comparación Detallada
Es comprensible que muchas personas comparen mentalmente: “¿Por qué pagar un dineral al dentista si puedo obtener algo similar por unos cuantos euros en la farmacia?”. La respuesta está en el famoso “lo barato sale caro”.

Las carillas profesionales ofrecen resultados superiores en estética y durabilidad.
Tabla Comparativa
| Característica | Carillas Profesionales | Carillas de Farmacia |
|---|---|---|
| Material y Calidad | Porcelana de alta calidad o resina compuesta | Plásticos blandos o resinas acrílicas baratas |
| Personalización | 100% personalizadas | Estándar: uno o pocos tamaños y tonos genéricos |
| Procedimiento de Colocación | Procedimiento clínico por un experto | Colocación por el propio usuario |
| Permanencia | Permanentes (o a muy largo plazo) | Removibles y de uso temporal |
| Durabilidad | 10-15 años (porcelana), 5-7 años (composite) | Pocos meses de uso frecuente |
| Resultados Estéticos | Prácticamente indistinguibles de un diente natural | Mejora estética evidente, pero con cierto “filtro Instagram” |
| Seguridad y Salud Oral | Seguro bajo supervisión profesional | Riesgos: dañar esmalte, favorecer caries, reacciones alérgicas |
| Coste Económico | 300€ - 600€ por carilla (porcelana) | 20€ - 50€ |
Consideraciones Adicionales sobre Carillas Profesionales
Las carillas dentales se colocan en la superficie frontal de los dientes con la finalidad de mejorar su aspecto. Son uno de los tratamientos dentales estéticos más demandados actualmente, tanto por su sencillez como por su precio.
Las carillas dentales son unas láminas muy finas -generalmente inferiores a un milímetro de espesor- que se fijan sobre la parte visible de uno o varios dientes. Su objetivo es corregir problemas estéticos (fracturas leves, cambios de color…) o patológicos (originados por caries). Pueden estar hechas de diferentes materiales, pero suelen ser de porcelana o composite. Por lo general, estas últimas suelen confeccionarse en la propia clínica dental con un material fotocurable, igual que el que se usa para hacer los empastes. Su principal objetivo es mejorar el aspecto de los dientes, ya sea para modificar su tamaño, color, forma o posición. Por tanto, tienen una finalidad puramente estética.

Los tipos de carillas varían en material y precio.
El procedimiento de colocación depende del tipo de carillas que vaya a llevar el paciente (porcelana, composite, disilicato de litio…). A la hora de elegir un tipo de carillas u otro es necesario acudir a la clínica dental y que sea el odontólogo quien aconseje el tipo de carilla más conveniente, en función de las necesidades de cada paciente.
Precios de las Carillas Dentales Profesionales
El precio de las carillas dentales varía según la estética y resistencia de las piezas que cubren los dientes. Las láminas de porcelana, por ejemplo, son más caras que las de composite. Esto nos da a entender, que el material y la técnica empleada son los factores que determinan el coste final del tratamiento.
Si quieres mejorar la estética de tu sonrisa, las carillas estéticas pueden ser una solución. ¿Tienes una disposición dental incorrecta o los dientes manchados? Las carillas son unas láminas odontológicas diseñadas para mejorar la estética dental. Con ellas cubrimos la cara visible de los dientes que precisamos corregir. Cada pieza se fabrica a medida, se trata de una técnica personalizada. Cubrir los dientes tiene una única funcionalidad, la estética. Las personas que no estén conformes con la apariencia de su dentadura pueden lograr ocultar ciertos defectos con las carillas.
Como ves, los problemas estéticos son varios. Las técnicas más recurridas para darles solución forman parte de la odontología estética avanzada. Según el tipo de material con el que se hagan las carillas, podemos encontrar varios tipos de láminas. Se trata de láminas fabricadas a medida y cementadas sobre el esmalte tallado de las piezas dentales originales. Son piezas moldeadas y cementadas directamente sobre los dientes originales sin tallar.
Como en casi todos los tratamientos odontológicos, es preciso que sigas unas pautas de cuidados específicos para mantener por más tiempo tu sonrisa en buen estado. Aunque te parezca obvio, las medidas más simples son las más efectivas para mantener un buen estado bucodental.
Si vas a someterte a un tratamiento de odontología estética, es necesario que te pongas en las manos de los mejores profesionales. Recuerda que el precio de las carillas dentales puede variar. Si ponen láminas de composite no será lo mismo que si recurres a la porcelana.
La duración de las carillas dentales está determinada por diversos factores, como los cuidados que siga el paciente en cuanto a higiene oral, alimentación, tabaco, hábitos, revisiones con el dentista, etc. Adicionalmente, la durabilidad del tratamiento también depende del material con el que están fabricadas las carillas y de la técnica de colocación (directa o indirecta). Por ello, no resulta posible determinar de antemano cuánto tiempo duran las carillas dentales. Lo que sí podemos decirte es que, con unos cuidados y unos mantenimientos adecuados, son un tratamiento pensado para durar a largo plazo.
Las carillas de porcelana, en particular, ofrecen un aspecto natural y duradero. Al preguntarte «¿Qué son las carillas dentales?», considera que son finas láminas que se adhieren a la superficie del diente, transformando su aspecto. Las carillas de porcelana, conocidas por su durabilidad y apariencia natural, se fabrican a medida para cada paciente y se adhieren a la superficie frontal de los dientes. Por otro lado, las carillas de composite están hechas de una resina compuesta que se moldea directamente sobre los dientes, ofreciendo un proceso más rápido y económico.
Precios Estimados de Carillas Profesionales
- Carillas de Porcelana: Los precios pueden variar entre 400 y 1.200 euros por carilla.
- Carillas de Composite: Son una opción más económica en comparación con las de porcelana.
Es importante tener en cuenta que estos precios son aproximados y pueden variar.
Tipos de Carillas de Porcelana
Con la porcelana se logra una apariencia similar al esmalte de los dientes, no se mancha y puede durar hasta 20 años si se le da el cuidado adecuado. Para fabricar las carillas se utilizan diferentes tipos de porcelana que describimos a continuación.
- Carillas tradicionales de porcelana: Las primeras carillas se fabricaron con porcelana feldespática tradicional que tenían feldespato, cuarzo y caolín. Se caracteriza por ser un material translúcido y resistente. Para colocar las carillas de feldespato se requiere preparar los dientes, aunque es un tratamiento sencillo que se realiza en dos visitas al dentista.
- Carillas de porcelana sin preparación: Las alternativas más modernas son las carillas ultrafinas y las microcarillas. Ambas presentan ventajas estéticas frente a las de porcelana tradicional y las técnicas para colocarlas también son más prácticas, puesto que no siempre requieren la preparación del diente. Las carillas ultrafinas se fabrican con porcelana inyectada y tienen un grosor de entre 0,3 y 1 milímetro. Son muy translúcidas, lo que les da un aspecto natural, y pueden durar hasta 20 años. Por otro lado, las microcarillas tienen un grosor de entre 0,2 y 0,4 milímetros y requieren tallar un poco el diente antes de colocarlo. Su aspecto también es muy natural y son resistentes.
Aunque es posible colocar carillas de porcelana sin preparación, es el dentista quien decidirá si se debe limar o tallar el diente antes.
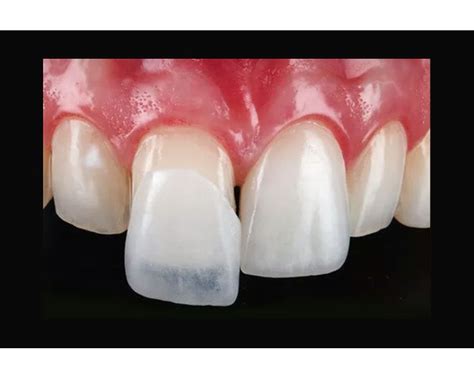
Proceso de Aplicación de Carillas de Porcelana
Colocar las carillas de porcelana es un proceso rápido y que se puede hacer en dos sesiones. La primera para el diagnóstico y toma del molde de los dientes y, la segunda, para pegar las carillas en su lugar.
- Consulta inicial y planificación: Para comenzar el tratamiento, el dentista hace un estudio de la boca del paciente para determinar si es un buen candidato para las carillas. Y, si lo es, analiza la mejor técnica para colocarlas y prueba las carillas provisionales para que el paciente tenga una idea del resultado final. Durante esta sesión se toman los moldes que se enviarán al laboratorio para fabricar las carillas.
- Preparación del diente: En la primera consulta también se preparan los dientes sobre los cuales se colocarán las carillas. Para ello, el dentista limará los dientes o hará un ligero tallado, dependiendo del diagnóstico inicial. La intención es que la superficie quede un poco áspera para mejorar la adherencia. Una vez que termina de preparar el diente, se colocan las carillas provisionales para protegerlo. Es posible que el paciente tenga un poco de sensibilidad tras este procedimiento.
- Colocación y ajuste final: Cuando el laboratorio termina de fabricar las carillas se realiza la segunda sesión con el dentista para colocarlas. Lo primero que hará es retirar las provisionales y probar las definitivas. De este modo se asegura de que las prótesis sean las adecuadas y le permite al paciente ver cuál será el resultado definitivo. A continuación, se coloca el adhesivo y luego se fija la carilla. Por último, el dentista limpia la boca para eliminar cualquier residuo.
Factores que Afectan el Costo de las Carillas de Porcelana
- Material: las carillas de porcelana son más costosas que las de composite debido a que son de mayor calidad.
- Número de carillas: esto depende de la cantidad de dientes sobre las que se vayan a colocar las prótesis.
- Experiencia del dentista: es importante comparar precios entre diferentes dentistas antes de tomar una decisión.
- Estado de los dientes: si los dientes necesitan mucha preparación antes de colocar las carillas, el costo será mayor.
- Tamaño y ubicación de los dientes: las carillas que se colocan en dientes más grandes o que requieren más preparación suelen ser más caras.
Ventajas y Desventajas de las Carillas de Porcelana
Beneficios Estéticos y Funcionales
- Es un tratamiento rápido e indoloro, aunque la preparación del diente puede generar cierta molestia.
- Pueden corregir una variedad de problemas dentales, como los dientes manchados, fracturados o desalineados.
- Son duraderas y atractivas.
- Mejoran la confianza y la autoestima.
- Se consigue un aspecto natural debido a que la capa de material es muy fina y translúcida.
Consideraciones y Riesgos Potenciales
- Son más costosas que las carillas de composite.
- En caso de que se agrieten o se rompan no es posible arreglarlas y se tiene que colocar una nueva.
Carillas Dentales Vs Diseño de Sonrisa | Lo que tienes que saber antes de decidir
Mantenimiento y Cuidado de las Carillas
Vida Útil y Durabilidad
Las carillas de porcelana pueden durar hasta 20 años si se cuidan de manera adecuada. Por tanto, si cuidas tu salud bucal, también proteges tu inversión. Lo principal será mantener una buena higiene dental diaria y buenos hábitos. Algunos factores que pueden acortar la vida útil de las carillas son el bruxismo, que es el hábito de rechinar o apretar los dientes; morder alimentos duros, como hielo o nueces, puede agrietar o romper las carillas. Por último, la falta de higiene dental provoca la acumulación de placa y sarro.
Consejos para el Cuidado Diario
- Cepíllate los dientes dos veces al día durante dos minutos con un cepillo de dientes de cerdas suaves y una pasta dental con flúor.
- Usa hilo dental una vez al día para eliminar la placa y los restos de alimentos de entre los dientes.
- Completa la limpieza con un enjuague bucal con flúor para ayudar a proteger tus dientes de las caries.
Visitas al Dentista y Revisiones
Es importante programar visitas al dentista para revisiones regulares. Durante estas, el especialista examinará tus carillas para detectar cualquier problema temprano, además de hacer limpiezas profesionales. Se recomienda programar una revisión al dentista cada seis meses.