¿Quieres una sonrisa perfecta? Descubre tus opciones en carillas aquí. Esta guía te proporcionará toda la información necesaria sobre los tipos de carillas dentales y precios, para que tomes decisiones informadas y ajustadas a tu presupuesto y expectativas estéticas.
En Clínica Ferrus & Bratos, entendemos que elegir un procedimiento de estética dental es una elección relevante. Por ello, hemos preparado esta guía detallada sobre los tipos de carillas dentales y sus precios, con el fin de ayudarte a decidir según tus necesidades estéticas y capacidad presupuestaria.

Tipos de Carillas Dentales
Cuando se trata de transformar una sonrisa, es fundamental identificar qué clase de carillas dentales están disponibles:
- Carillas de composite: recomendadas para quienes buscan una alternativa rápida, económica y con buenos resultados visuales.
- Carillas de porcelana: ideales para quienes desean un acabado más natural y de larga duración.
Ambas opciones se utilizan en función de las condiciones clínicas de cada paciente, siempre tras la evaluación individualizada de nuestros expertos.
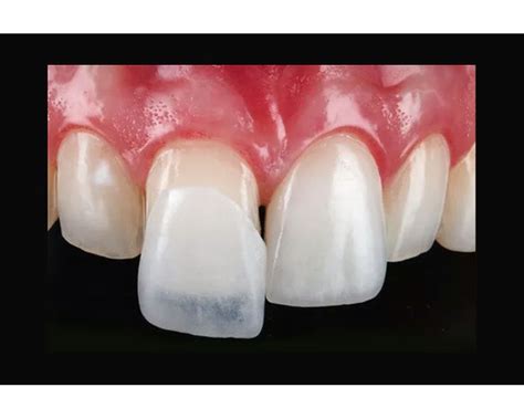
Materiales de las Carillas Dentales
Las carillas dentales son unas láminas muy finas -generalmente inferiores a un milímetro de espesor- que se fijan sobre la parte visible de uno o varios dientes. Su objetivo es corregir problemas estéticos (fracturas leves, cambios de color…) o patológicos (originados por caries). Pueden estar hechas de diferentes materiales, pero suelen ser de porcelana o composite.
Las carillas de composite son unas láminas cosméticas de resina estética, que permiten corregir alteraciones en la forma, tamaño y color de los dientes. Permiten agrandar, remodelar y redefinir las dimensiones de los dientes, corrigiendo los espacios interdentales, las fracturas y los cambios de coloración sobre la superficie dentaria.
Las carillas de porcelana son láminas ultra finas muy resistentes y duraderas.
Dado que las carillas dentales más utilizadas -y las que colocamos con mayor frecuencia en nuestra clínica dental de Madrid- son las de porcelana (e.max y Lumineers) y las de composite, vamos a detallar los beneficios e inconvenientes que presentan cada una de ellas.
Duración de las Carillas
Las carillas dentales de porcelana tienen una duración mayor que las de composite, pudiendo resistir en perfectas condiciones hasta 15 años, y además no pierden su color ni se tiñen. Esta duración depende en gran medida de que el paciente siga las instrucciones de su odontólogo relativas a mantenimiento y cuidados.
En contraposición, la duración de las carillas dentales de composite es de un máximo de cinco años aproximadamente. Para llegar a este plazo, es necesario acudir a revisiones de mantenimiento y que el dentista realice el pulido de las carillas dentales. Además, será más fácil que las carillas dentales duren cinco años en buen estado si el paciente sigue unos buenos hábitos en cuanto a higiene y dieta.

Precios de las Carillas Dentales en Madrid
El coste de las carillas dentales en Madrid puede variar significativamente dependiendo del material, la cantidad de piezas y la técnica empleada. En nuestra clínica, ofrecemos una relación calidad-precio clara que asegura resultados sobresalientes.
Responder a cuánto cuestan las carillas dentales implica analizar una serie de variables. No existe un precio cerrado ni estándar para todos los casos. Cada sonrisa es única y, por tanto, cada tratamiento debe personalizarse.
En Ferrus & Bratos, cada tratamiento se personaliza para adaptarse a tu sonrisa y expectativas.
El precio de las carillas varía según el material elegido:
- Oscila entre 250 € y 1200 € por unidad.
El presupuesto total dependerá del número de carillas requeridas (normalmente entre 8 y 10 por arcada) y del material elegido.
A continuación, se presenta una tabla comparativa de precios (los precios son примерные y pueden variar):
| Tipo de Carilla | Precio por Unidad (aproximado) | Duración Estimada |
|---|---|---|
| Composite | 250 € - 500 € | Hasta 5 años |
| Porcelana (E-max, Lumineers) | 600 € - 1200 € | Hasta 15 años |
¿Qué tipo de carillas dentales es mejor para ti: porcelana o composite? - Clínica Ruiz de Gopegui
Factores que influyen en el precio final:
- Material: Porcelana o composite.
- Número de carillas: Cuántos dientes se van a cubrir.
- Clínica y tecnología: Clínicas con tecnología avanzada pueden tener precios diferentes.
Consideraciones Adicionales
Antes de colocar carillas, es esencial que el paciente tenga una salud oral óptima. La acumulación de sarro conlleva la aparición de inflamaciones en las encías o filtraciones.
No contar con una adecuada higiene bucodental no solamente es perjudicial para la salud dental, sino también para usar carillas dentales.
La forma más sencilla de saber si este es el tratamiento indicado para ti es conociendo la opinión de nuestros pacientes con carillas dentales.
La estética dental ha evolucionado notablemente en los últimos años, ofreciendo soluciones innovadoras para quienes desean mejorar su sonrisa. Una de las más demandadas actualmente son las carillas dentales, por su capacidad de transformar la estética de forma rápida y duradera.
Más allá del precio, es importante entender que las carillas dentales no son un gasto, sino una inversión a largo plazo en tu salud, autoestima y proyección personal.
¿Las Carillas Dentales Dañan los Dientes?
Hoy en día, podemos decir que, gracias a los avances y a las últimas tecnologías en Odontología Estética, las carillas dentales no dañan los dientes.
Tradicionalmente, las carillas dentales de composite siempre han exigido tallar menos el diente que las de porcelana.
Dicho esto, la necesidad de realizar el tallado depende de dos factores: la posición y el color. Si ambos aspectos son adecuados, no será necesario hacerlo. En cambio, si el diente se encuentra excesivamente adelantado o tiene un color muy amarillo sí que es necesario “tocar” la pieza dental. En estos casos, se llevará a cabo un tallado dental bajo anestesia local.
Blanqueamiento y Color de las Carillas
No, las carillas dentales no se pueden blanquear. Por ello, antes de colocarse una carilla es necesario asegurarse de que el color es el adecuado. Esto se consigue mediante las pruebas que realiza el odontólogo al paciente, en las que se determina cuáles son el color, la forma, el tamaño o la posición más adecuados.
Además, a la hora de pensar en el color también es importante tener en cuenta el grosor de la carilla.
La mayoría de las carillas estéticas que colocamos en nuestra clínica dental de Madrid son E-max o Lumineers. Esto quiere decir que tienen un grosor mínimo y que, además, son translúcidas para aportar naturalidad. Por tanto, si el color de nuestros dientes es amarillo y colocamos la carilla encima, este tono se transparentará y la sonrisa tendrá un aspecto amarillento.
Contraindicaciones de las Carillas Dentales
Hay personas que están interesados en llevar carillas dentales para mejorar su sonrisa pero tienen malposiciones muy severas. Esto hace que los profesionales recomienden al paciente la posibilidad de llevar ortodoncia.
Cuando el paciente no tiene una buena mordida (clase II, clase III, mordida cruzada…) las carillas dentales también pueden estar contraindicadas porque hay riesgo de rotura.
Aunque en muchas ocasiones el hecho de padecer bruxismo se presente como una contraindicación, lo cierto es que en Ferrus&Bratos tratamos a pacientes que tienen este hábito y llevan carillas estéticas.
Si aun crees que las carillas están contraindicadas o pueden resultar un problema para ti, lo más adecuado es que acudas a un dentista especializado en Estética Dental avanzada. De esta manera, podrás saber con certeza cuál es el tratamiento que más se adapta a tus necesidades.
tags: #carillas #universales #dentales