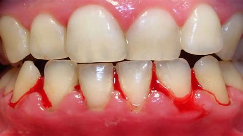
El sangrado de encías es una señal de alerta que no debe ser ignorada. En su estado normal, las encías aparecen rosas y firmes al tacto. Si sus encías presentan un color rojo brillante, inflamación, hinchazón o sensibilidad, es un claro caso de enfermedad periodontal. Afortunadamente, esta condición es comúnmente reversible con una buena higiene bucal y atención adecuada.

¿Qué causa el sangrado de encías?
Las encías enrojecidas y sangrantes suelen ser uno de los primeros signos de gingivitis, una inflamación leve de las encías causada principalmente por la acumulación de placa bacteriana en los dientes y caracterizada por tener un color rojo brillante y sensibilidad. Esta condición es común y, por suerte, fácilmente reversible con una buena higiene bucal.
La primera etapa de la enfermedad periodontal es la gingivitis, que es la causa más común de los problemas de encías en adultos. Es una de las causas más comunes, ya que la placa es una película a la que se adhieren las bacterias y, si no se elimina con un correcto cepillado y el uso de hilo dental, puede irritar las encías y provocar gingivitis.
Además de la gingivitis, existen otros factores que pueden contribuir al sangrado de las encías:
- Cepillado incorrecto: Un cepillado demasiado fuerte, el uso de un cepillo con filamentos duros o realizar movimientos bruscos al lavarse los dientes pueden dañar las encías y provocar sangrado, incluso si están sanas.
- Uso incorrecto del hilo dental: Un uso incorrecto del hilo dental también puede causar lesiones en las encías.
- Cambios hormonales: Las hormonas provocan una mayor sensibilidad a la placa al aumentar la respuesta inflamatoria del cuerpo. El aumento del flujo sanguíneo hace que las encías reciban más sangre y, consecuentemente, más propensas a hincharse, enrojecerse y sangrar.
- Dentaduras postizas mal ajustadas: Las dentaduras postizas con un mal ajuste pueden provocar el sangrado de las encías como consecuencia de la fricción constante, una presión inadecuada y la acumulación de bacterias en zonas mal selladas.
- Enfermedades y medicamentos: Si sufre una enfermedad o está tomando medicamentos y sufre hemorragias en las encías, consúltelo con su médico o dentista para evaluar si es un efecto del medicamento o una señal de alguna condición.
¿Cómo prevenir el sangrado de encías?
La prevención es clave para evitar el sangrado de encías y mantener una buena salud bucal. Aquí hay algunas recomendaciones:
- Higiene bucal adecuada: Cepillar los dientes durante unos dos minutos al menos dos veces al día y usar el hilo dental al menos una vez al día es esencial.
- Técnica de cepillado correcta: Para cepillar de manera correcta los dientes realice movimientos cortos y suaves, y preste atención a las encías, los dientes posteriores, así como a cualquier empaste, corona o restauración que tenga.
- Cepillo adecuado: Considere el uso de un cepillo de cerdas suaves que cuente con un cabezal flexible y esté especialmente diseñado para prevenir el exceso de presión en las encías.
- Uso del hilo dental: Incorpore a su rutina el uso de hilo dental antes de ir a dormir. Un uso adecuado del hilo dental para la limpieza interdental, curvar el hilo dental alrededor del diente en forma de "C" y mover arriba y abajo, así como bajo las encías es muy importante. Asegúrese de utilizar una nueva sección de hilo dental en cada diente, o si no estará moviendo la placa de un diente a otro.
- Visitas regulares al dentista: Llevar a cabo un cuidado preventivo de manera regular es fundamental para tratar y revertir esta afección. Asimismo, acudir asiduamente al odontólogo y concertar al menos dos limpiezas profesionales al año mantendrá sus dientes limpios y sanos.
Además, es importante considerar los siguientes consejos para mantener una buena salud bucal:
- Coma mejor: Los alimentos saludables mejoran la salud bucodental al proporcionar a las encías los nutrientes adecuados. Es decir, coma más frutas y verduras y reduzca el consumo de alimentos azucarados, incluido el pan refinado.
- Controle el estrés: La ansiedad puede afectar a su salud bucodental. El estrés puede incrementar las inflamaciones en el organismo, lo que puede provocar que sus encías sangren con facilidad. Asimismo, el estrés reduce la funcionalidad del sistema inmunitario, de tal modo que al organismo le resulta más difícil combatir las infecciones. Por otro lado, el estrés hace que le dedique menos tiempo a su autocuidado, lo que deriva inevitablemente en un menor cepillado.
- No fume: Existen numerosas razones por las que fumar es perjudicial para la salud, incluida la de los dientes y las encías.
¿El hilo dental se usa antes o después del cepillado? | ¡EL ORDEN SÍ IMPORTA!
¿Cómo tratar el sangrado de encías?
Si ya experimenta sangrado de encías, existen varias medidas que puede tomar para tratar y revertir la situación:
- Mejore su higiene bucal: Cepíllese los dientes y realice una limpieza interdental más a menudo y de mejor calidad. Siga las indicaciones de su higienista dental. Una rutina de cuidado bucodental adecuada marca la diferencia a la hora de eliminar las bacterias presentes en su boca que pueden inflamar las encías.
- Utilice un enjuague bucal antiséptico: Su profesional de la salud dental le recomendará que incorpore un enjuague bucal antiséptico a su rutina de cuidado bucodental. Este tipo de enjuagues antimicrobianos no solo ayudan a revertir la gingivitis, sino que reducen y eliminan las bacterias de la boca, contribuyendo así a prevenir la inflamación y el sangrado de encías. Asegúrese de comprobar y confirmar cuál es el enjuague bucal adecuado para usted con su dentista o higienista.
- Limpieza dental profesional: El tratamiento más efectivo para la gingivitis es una limpieza dental profesional, que elimina el sarro y la placa acumulada. Este proceso puede requerir un raspado, que consiste en rascar la placa endurecida (sarro) de la superficie del diente, o un alisado radicular, que se lleva a cabo para limar la raíz y promover la curación una vez que la placa y el sarro se han retirado. Para muchas personas, una limpieza preventiva dos veces al año es suficiente, pero su dentista o higienista podrá ayudarle a decidir cómo programarlas del modo que más le convenga.
Productos recomendados
Existen varios productos en el mercado diseñados para ayudar a mantener una buena salud bucal y prevenir el sangrado de encías. Algunos de ellos son:
- Colgate Triple Acción Pasta Dental: Un dentífrico especialmente formulado con flúor que ayuda a mantener tus dientes fuertes y sanos. Ofrece el triple de beneficios en un solo producto, ayudándote a proteger tus dientes contra las caries, manteniéndolos blancos de manera natural y refrescando tu aliento.
- Colgate Enjuague Bucal Total Advanced Encías Sanas 500ml: Este enjuague no solo combate la placa y las bacterias, sino que también fortalece las encías, previniendo problemas como la gingivitis y el sangrado.
- Sensodyne Rapid Action Fresh Mint: Alivia el dolor provocado por la sensibilidad en tan solo 60 segundos.
- Gel dentífrico Vegetal de Weleda: Cuida y limpia el esmalte evitando además la placa bacteriana.
- Farline Pasta de dientes Bio: Con extracto de menta, con un 99% de ingredientes de origen natural para la higiene y protección dental diaria. Contiene 1450 ppm de flúor.

Colgate Encías Revitalizante: La solución ideal para una sonrisa sana y radiante
¿Sufres de encías sensibles o sangrantes? Colgate Encías Revitalizante es la solución que estabas buscando.
- Fortalece las encías: En primer lugar, gracias a su fórmula única, Colgate Encías Revitalizante ayuda a fortalecer tus encías, haciéndolas más resistentes y menos propensas a sangrar. Además, reduce la inflamación y la sensibilidad gingival.
- Protección diaria: Con un uso regular, notarás una mejora significativa en la salud de tus encías. Asimismo, contribuye a mantener tus dientes fuertes y saludables.
- Sabor refrescante: Su sabor a menta te proporciona una sensación de limpieza y frescor que perdura. En consecuencia, disfrutarás de una experiencia de cepillado agradable y revitalizante.
- Previene la gingivitis: De hecho, la gingivitis es una de las principales causas de pérdida de dientes.
- Protege contra la periodontitis: A su vez, esta pasta dental ayuda a prevenir la periodontitis, una enfermedad periodontal más grave.
En conclusión, Colgate Encías Revitalizante es la elección perfecta para aquellos que buscan fortalecer sus encías y mejorar su salud bucal.
Consecuencias de la enfermedad periodontal
Las enfermedades periodontales tienen consecuencias individuales y generales para la salud humana. Muchos de los síntomas individuales como el sangrado, el mal aliento, la retracción de las encías, la movilidad de las piezas dentales, el dolor y la caída eventual del diente, pueden afectar enormemente la calidad de vida de los pacientes y causar incomodidad y ansiedad.
El sangrado de las encías es habitual en todas las fases, y es posible que los pacientes también experimenten dolor y sensibilidad debido a la inflamación gingival. Esto podría afectar al disfrute de determinados alimentos y dificultar una higiene oral adecuada.
A medida que la enfermedad periodontal avanza, las encías se retraen y dejan expuesta la dentina de la raíz. En consecuencia, junto con la periodontitis aparece la hipersensibilidad dentinaria y las caries radiculares, que empeoran aún más la calidad de vida y exigen un tratamiento más invasivo.
La periodontitis crea bolsas entre las piezas dentales y las encías que pueden resultar difíciles de limpiar. Los alimentos y las bacterias pueden quedarse atrapados ahí, lo que genera mayor acumulación de placa y halitosis o mal aliento. Esto puede ocasionar al paciente unos niveles considerables de vergüenza y ansiedad.
La enfermedad periodontal avanzada puede ocasionar la caída de piezas dentales, lo que también puede resultar perturbador para los pacientes. Si la pieza dental es visible, su ausencia podría menoscabar la confianza y la autoestima del paciente.
Desde el punto de vista de la salud sistémica, la inflamación persistente de los tejidos periodontales podría contribuir al aumento del riesgo de enfermedad cardiovascular, nefropatía crónica y artritis reumatoide, y afectar negativamente al control de la diabetes y el desenlace del embarazo.
Gingivitis: La primera fase de la enfermedad periodontal
La gingivitis, conocida como la primera fase de la enfermedad periodontal, se produce cuando la placa o el sarro se acumula a lo largo de la línea gingival y provoca la inflamación de las encías. Dicha inflamación puede hacer que las encías se enrojezcan, se hinchen, estén sensibles o incluso sangren tras el cepillado o el uso del hilo dental. No obstante, no todo el mundo experimenta estos síntomas y muchas personas padecen esta afección durante mucho tiempo sin saberlo.
¿Se puede curar la gingivitis? Por supuesto.
En su próxima consulta, el dentista o higienista dental podrá identificar la gingivitis con tan solo observar sus encías. Una limpieza exhaustiva eliminará cualquier placa que se haya acumulado sobre la superficie de los dientes o bajo la línea gingival y que esté causando la inflamación. Si la placa se calcifica, posiblemente sea necesario poner en práctica técnicas más avanzadas, como el raspado y el alisado radicular, para retirar por completo el sarro y limar las superficies de la raíz en las que se adhieren las bacterias.
Su dentista examinará cualquier anomalía en el alineamiento o los trabajos dentales de su boca -como las coronas, puentes o las restauraciones-, y le recomendará las reparaciones que podrían facilitarle la limpieza de sus dientes y encías desde casa.
Realizarse el examen dental y el tratamiento de limpieza es el primer paso para empezar a curar la gingivitis.
- Cepillarse los dientes dos veces al día. Si el cepillado regular ya forma parte de su rutina, compruebe que sigue la técnica correcta. Dado que sus encías estarán en un proceso de curación, será necesario que utilice un cepillo de dientes de filamentos suaves y que ejerza la presión apropiada para limpiarlas con cuidado.
- Realizar una limpieza interdental una vez al día. El uso diario del hilo dental para limpiar los espacios interdentales y bajo el margen gingival retirará los agentes irritantes como las bacterias y los residuos de alimentos, ayudando así a reducir la inflamación. Asimismo, puede probar otros instrumentos de limpieza interdental, como los cepillos o los irrigadores.
- Utilizar un enjuague bucal para conseguir una mayor protección. Otro método para tratar la infección y controlar la proliferación de bacterias en la boca es el uso de un enjuague bucal que no requiera prescripción médica, especialmente después de haber recibido un tratamiento de higiene dental profesional.
La cura para la gingivitis comienza por responsabilizarse de su propia salud bucodental. Si nota sensibilidad, inflamación o sangrado en las encías, concierte una cita con su dentista o higienista cuanto antes.
¿Cuándo buscar atención profesional?
Si el sangrado de las encías se vuelve frecuente o continuo, especialmente al cepillarse o usar hilo dental, puede indicar una infección más profunda. Si se da cuenta de que le sangran las encías, es muy importante que lo comente con su profesional de la salud bucodental. Si no se trata, el sangrado de encías puede llevar a la gingivitis y a estados avanzados de la enfermedad periodontal. Cuanto antes se diagnostique el problema, mejor.
La finalidad de este artículo es fomentar la comprensión y el conocimiento de temas generales de salud oral. Su propósito no es sustituir la opinión, el diagnóstico o el tratamiento profesionales.
tags: #colgate #para #la #gingivitis