Si al mirarte al espejo notas que tus dientes se ven más de lo habitual o si experimentas sensibilidad al frío y al calor, puede que estés ante un problema muy común: las encías retraídas. Aunque muchas personas creen que solo es una cuestión estética, la retracción gingival es un signo de que algo no va bien con tu salud bucodental. En este artículo vamos a conocer qué son las encías retraídas, sus causas principales, las soluciones que existen y qué podemos hacer para evitar la recesión gingival.

¿Qué son las Encías Retraídas?
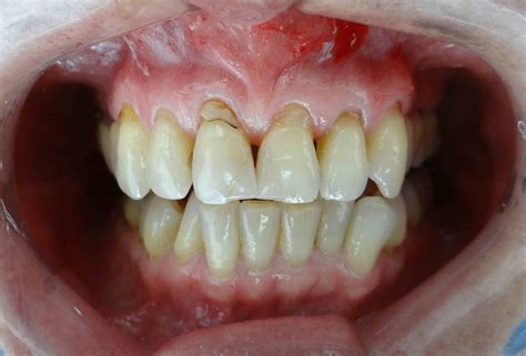
Cuando hablamos de encías retraídas nos referimos a un desplazamiento del tejido gingival que provoca una sobreexposición del diente. Las encías se desplazan hacia arriba en los dientes superiores y hacia abajo en los dientes inferiores dejando al descubierto parte de la raíz dental. Esto no solo afecta a la estética, sino que también compromete la protección natural de los dientes, aumentando la sensibilidad y el riesgo de enfermedades.
Hablamos de encías retraídas cuando el tejido gingival que rodea tu diente se desplaza en sentido apical, dejando al descubierto parte de la raíz dentaria. La superficie radicular está recubierta por un tejido llamado cemento, que no está preparado para estar en contacto con el exterior. Asimismo, si tienes pérdida de tu encía, el cepillado dental puede volverse dificultoso por la sensibilidad. Esto favorece el acúmulo de placa bacteriana y la formación de sarro, situaciones que irritan tu tejido gingival e incrementan la retracción.
Retracción gingival, recesión de encías y pérdida de encía son otros nombres con los que se conoce esta afección. Aunque se trata de una condición bastante común, muchas personas no se dan cuenta de que su tejido gingival está retrocediendo.
Causas de las Encías Retraídas
Son varios los motivos que pueden llevar a que tus encías se retraigan, incluso, en algunos casos, es la combinación de varias situaciones lo que provoca la pérdida de tejido gingival.
- Enfermedades Periodontales: Entre las principales causas de encías retraídas destacan las enfermedades periodontales, como la periodontitis crónica. También conocida como piorrea, la periodontitis empieza como una gingivitis no tratada. Con el paso del tiempo, esta bolsa destruye el hueso y todo el tejido conjuntivo que rodea al diente.
- Higiene Inadecuada: Es fundamental, pues una correcta limpieza oral nos ayuda a deshacernos de la placa que se acumula entre los dientes. La gingivitis es la inflamación de las encías. La mayoría de las veces está asociada a una inadecuada higiene oral, lo que provoca la acumulación de placa bacteriana y la formación de sarro.
- Cepillado Agresivo: Si eres de los que se cepilla los dientes con mucha fuerza o con cepillos muy duros, debes saber que esta práctica puede dañar tus encías y provocar su retracción. Es frecuente que, si la técnica de cepillado es inadecuada, solo observemos la encía retraída sobre uno o dos elementos dentarios.
- Tratamientos de Ortodoncia: Los tratamientos de ortodoncia nos permiten movilizar las piezas dentarias para conseguir una adecuada relación entre las piezas superiores con las inferiores. Estos movimientos dentales deben realizarse de manera precisa, progresiva y controlada. El movimiento de los dientes con ortodoncia, por sí solo, no provoca la pérdida de encía. De todos modos, muchas veces las piezas dentarias se reubican por fuera de la tabla ósea.
- Tabaco: El tabaco es un hábito nocivo que altera la salud oral de muchas maneras. El calor y las sustancias tóxicas del cigarrillo afectan la irrigación y las defensas del tejido gingival. Por este motivo, si fumas, tus encías pueden verse pálidas, gruesas y retraídas.
- Traumatismos: Sufrir un golpe en la boca es otra de las causas que puede provocar la pérdida de encías. Los traumatismos no solo ocasionan dientes rotos, sino que también dañan los tejidos que los sostienen.
- Bruxismo: En odontología llamamos bruxismo al apretamiento y rechinamiento inconsciente de los dientes. La presión excesiva que provocan las fuerzas del apretamiento repetitivo y frecuente, dañan la salud de tus tejidos periodontales.
- Piercings Bucales: Otra causa de la recesión de encías es la presencia de piercings en la boca. La continua fricción del objeto contra tu tejido gingival hará que tus encías se alejen de la zona donde reciben el trauma.
- Enfermedades Sistémicas: Enfermedades como la diabetes, el SIDA o cualquier otra que afecte al sistema inmunitario, crean un mayor riesgo de desarrollar infecciones.
- Genética: Algunas personas están genéticamente predispuestas a tener encías sensibles y a sufrir retracción gingival.
- Cambios Hormonales: Los cambios hormonales, como los que se producen durante la pubertad, el embarazo y la menopausia, pueden hacer que las encías se vuelvan más sensibles y propensas a la recesión.
Así se solucionan las encías retraídas (recesión gingival)
Síntomas de la Retracción de Encías
Estos son los principales síntomas de la recesión gingival que te permitirán comprobar si existe algún problema con tus encías que pueda complicarse con el tiempo.
- Dientes más largos: Presencia de uno o más dientes largos respecto a los demás. Se notan los dientes más largos, aunque parece difícil de detectar sí que es posible notar una longitud mayor de las piezas respecto a hace algún tiempo.
- Color diferente en la línea de encías: Si eres un poco observador puedes detectar tonos distintos entre la raíz expuesta y la corona del diente.
- Inflamación de las encías: Si compruebas que tus encías se hinchan y enrojecen, sobre todo en los márgenes, podría estar comenzando la retracción.
- Sangre en las encías: Su principal síntoma es el sangrado de la encía durante el cepillado. Suele aparecer durante el cepillado o cuando se muerden alimentos un poco más duros, como manzanas, por ejemplo.
- Sensibilidad a los alimentos: Se produce un dolor intenso cuando ingieres algún alimento o bebida muy fría o caliente, ácida o dulce. ¿Has notado una mayor sensibilidad en tus dientes cuando comes helado o tomas bebidas con mucho hielo?
- Movilidad dental: Podrías notar cómo algún diente se mueve ligeramente, en este caso no deberías dejarlo más tiempo.

Tratamientos para las Encías Retraídas
Pero no te alarmes, la retracción de encías tiene solución. Según la severidad del problema existen distintos tratamientos. El tejido gingival no se regenera por sí mismo ni existen remedios caseros para tratar las encías retraídas. Si bien puedes modificar tus hábitos y cuidar tu salud oral, no hay una solución natural o casera para curar tus encías retraídas.
Entonces, lo primero que debemos hacer para curar tus encías retraídas es encontrar la causa que provocó el problema. Te enseñaremos cómo higienizar tu boca y cepillar tus dientes de manera correcta y con cuidado. Te asesoraremos sobre tu dieta.
Podemos dividir los tratamientos en técnicas quirúrgicas y no quirúrgicas:
Tratamientos No Quirúrgicos
Si tu problema de encías retraídas es leve, podremos mejorar la situación sin cirugías.
- Agentes desensibilizantes y barnices: Utilizaremos estos productos sobre las raíces expuestas.
- Raspado y alisado radicular: Es un procedimiento de limpieza profunda que elimina la placa y el sarro de los dientes y las raíces.
- Antibióticos y colutorios: Se pueden utilizar antibióticos y colutorios para tratar la enfermedad de las encías y prevenir daños mayores en las encías.
Tratamientos Quirúrgicos
Si tus encías no logran reposicionarse por sí solas, recurrimos a algunos procedimientos quirúrgicos que nos ayudan a solucionar el problema.
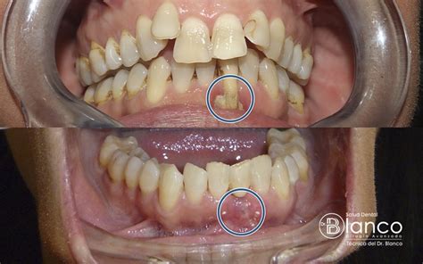
- Cirugía plástica mucogingival o injerto de encía: Con esta técnica tomamos un fragmento de mucosa de tu paladar y lo colocamos sobre el sitio donde has perdido encía, recubriendo las raíces dentarias expuestas. Con esto buscamos regenerar el tejido faltante.
- Estiramiento de encía: Esta técnica, también llamada «colgajo movilizado coronalmente» lo podemos realizar si tienes conservadas tus papilas interdentarias, que son la porción triangular de encía que hay entre diente y diente.
- Cirugías periodontales: Las aplicamos en casos de periodontitis graves y avanzadas.
- Cirugía de reducción de bolsas: Consiste en replegar el tejido gingival y eliminar las bacterias y la placa de la raíz del diente.
- Regeneración: Consiste en utilizar materiales especiales para regenerar el hueso y los tejidos que soportan los dientes.
Después del tratamiento, es importante seguir las instrucciones de los profesionales para la correcta recuperación. Esto puede incluir evitar ciertos alimentos o actividades durante un período de tiempo.
Remedios Caseros para Encías Retraídas
Contra las encías retraídas existen remedios caseros, que pueden ayudarte a evitar este problema. Aunque los remedios caseros no sustituyen al tratamiento profesional, pueden ayudar a prevenir o detener la retracción de las encías.
- Agua salada: El agua salada es una excelente herramienta natural para usar como enjuague bucal. Tiene beneficios potenciales como agente antibacteriano y puede ayudar a calmar las encías inflamadas y doloridas.
- Té verde: El té verde tiene importantes propiedades anti-inflamatorias y antioxidantes que ayudan a rebajar la inflamación de las encías y mejorar la fijación dental.
- Salvia: Para tratar la recesión de encías existe otro tratamiento casero muy útil y fácil de realizar: masticar hojas de salvia.
- Aloe Vera: Un gel de aloe vera te ayudará a rebajar la inflamación de encías y a prevenir la retracción de encías.
- Aceite de coco: El aceite de coco posee ácido láurico y un tipo de triglicéridos con propiedades anti-inflamatorias y antimicrobianas que te ayudará a tratar y evitar las encías retraídas.
- Aceite de limón: Se obtiene de la cáscara de limón y tiene propiedades antisépticas y antimicrobianas. Puedes masajear tus encías con el aceite o añadir varias gotas a un vaso con agua tibia para hacer gárgaras.
- Suplemento de vitamina C: Las frutas y verduras frescas son ricas en vitamina C, sobre todo los kiwis, los tomates, los cítricos, brócoli, pimientos, etc.
- Milenrama: Sus hojas tienen efectos anti-inflamatorios, analgésicos y anti-coagulantes, por lo que puede ayudar a reducir la retracción de encías en cualquiera de sus fases. Lo mejor es masticar las hojas o también machacarlas hasta obtener una pasta con la que masajear las encías.
- Extracción de aceite: Es una práctica a que ayuda a reducir la acumulación de placa, controlar las bacterias y reducir los síntomas de la enfermedad de las encías.
- Peróxido de hidrógeno: Un cuarto de taza de solución de peróxido de hidrógeno al 3 % en un cuarto de taza de agua puede servir como tratamiento natural para las encías inflamadas o hinchadas.
Para evitar una mayor recesión de las encías, es importante practicar una buena higiene bucal, que incluye cepillarse los dientes dos veces al día, usar hilo dental a diario y utilizar un enjuague bucal antiséptico.
