En este artículo, exploraremos a fondo la adhesión dental con composite, también conocida como composite bonding dental. Este tratamiento dental estético es utilizado para mejorar la apariencia de diversos problemas dentales. Aquí te explicaremos qué es, para qué sirve, cómo es la técnica, sus beneficios, desventajas y precio.

¿Qué es el Bonding Dental o Adhesión Dental?
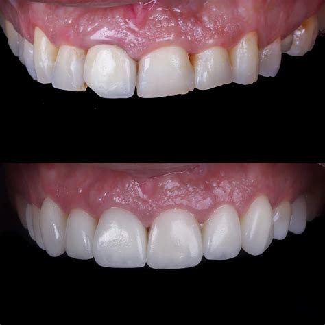
La adhesión dental es un tratamiento dental estético que utiliza una resina de composite para corregir o cubrir imperfecciones dentales. La resina se adhiere a los dientes y está disponible en una gama de tonos que permiten ajustarla al color natural de los dientes del paciente.
¿Para qué Sirve el Bonding Dental?
El bonding dental es un tratamiento versátil que puede mejorar tanto el aspecto como la función de los dientes en diversos casos. A continuación, se detallan los usos del bonding dental según el problema a solucionar:
- Cementación dental para pérdida de esmalte: Se añade una capa de resina de composite para mayor resistencia y protección, restaurando el esmalte.
- Remodelación dental para dientes apiñados: En casos de apiñamiento leve, se utiliza para mejorar la forma de algunos dientes y ocultar torceduras. No obstante, esta no es la mejor solución para el apiñamiento, ya que enmascara el problema sin corregirlo.
- Bonding dental con composite para corregir diastemas: Rellena o minimiza los espacios interdentales, ofreciendo resultados inmediatos y siendo menos invasivo que otros tratamientos.
- Restauración dental con composite para dientes torcidos: Puede mejorar la apariencia de dientes ligeramente torcidos, aunque se recomienda la consulta con un experto.
- Restaurar dientes desgastados con bonding de composite: Repara dientes que han sufrido roturas leves, astilladuras o desgaste. Es importante un examen dental previo para descartar daños subyacentes.
- Adhesión dental para encías retraídas: Puede corregir la recesión de encías, protegiendo las raíces expuestas y mejorando el aspecto.
- Remodelación dental para dientes descoloridos o con manchas: Cubre zonas superficiales de dientes con manchas leves, utilizándose solo cuando otros tratamientos no son efectivos.

La Técnica de Colocación de la Adhesión Dental
El proceso de adhesión dental sigue estos pasos:
- Consulta y evaluación inicial con un especialista dental.
- Grabado ligero de los dientes para asegurar la adhesión de la resina.
- Aplicación de la resina de composite.
- Curado de la resina con luz ultravioleta para endurecerla.
- Pulido y modelado de los composites.
Ventajas y Desventajas del Bonding para los Dientes
Para evaluar si la adhesión dental es el tratamiento adecuado, es importante considerar sus pros y contras.
Ventajas de la Reconstrucción Dental con Resina
- Mínimamente invasiva: Requiere un ligero grabado de los dientes, a diferencia de tratamientos más invasivos como implantes o carillas.
- Procedimiento rápido: Se realiza en 1 o 2 citas sin tiempo de recuperación.
- Económico: Uno de los beneficios más importantes es su precio accesible.
- Versátil: Se adapta a diversos problemas estéticos dentales.
- Tratamiento reversible.
Desventajas del Bonding Dental con Composite
- Susceptible a las manchas: Ciertos alimentos y bebidas pueden manchar la resina, requiriendo cuidado y mantenimiento.
- Duración limitada: Generalmente dura entre 5 y 10 años.
- Adecuado solo para problemas estéticos leves.
"ACTUALIZACIÓN EN ADHESIÓN"
Cuidados para la Adhesión Dental
Para mantener la adhesión dental en óptimas condiciones, se recomienda:
- Cepillarse los dientes al menos dos veces al día con un cepillo de cerdas suaves y pasta dental con flúor.
- Someterse a revisiones y limpiezas dentales periódicas.
- Evitar alimentos y bebidas que puedan manchar el composite.
- Tener cuidado al comer alimentos duros o pegajosos.
- Utilizar un protector bucal si se practica algún deporte.
Adhesión Dental vs. Carillas: ¿Cuál es Mejor?
La elección entre adhesión dental y carillas depende de varios factores:
| Característica | Adhesión Dental | Carillas |
|---|---|---|
| Objetivo | Mejorar problemas menores | Solucionar problemas más importantes |
| Materiales | Resina de composite | Composite o porcelana |
| Duración | 5 a 10 años | 10 a 15 años |
| Coste | Más económico | Más costoso |
El composite puede mancharse con el tiempo, mientras que la porcelana es más duradera y resistente a las manchas. Las carillas de porcelana requieren más tiempo y la eliminación de una fina capa de esmalte.

Precio de la Adhesión Dental o Dental Bonding
El precio de la adhesión dental en España varía según la extensión del tratamiento y la técnica utilizada. En Impress, el precio es de aproximadamente 70 euros por diente (precios de febrero de 2024).
En conclusión, la adhesión dental con composite es una excelente opción para mejorar la estética dental de manera rápida, económica y mínimamente invasiva. Sin embargo, es crucial considerar sus limitaciones y seguir los cuidados recomendados para asegurar su durabilidad y apariencia.