La extracción de una muela es un procedimiento común en odontología, pero la recuperación puede variar de un paciente a otro. Desde nuestra clínica odontológica en Valencia te vamos a hablar sobre algo que seguro que te has preguntado en más de una ocasión: cuánto tiempo dura el dolor después de una extracción de muela.
En este artículo, analizaremos las posibles razones por las que el dolor persiste más allá del tiempo esperado, qué señales de alarma indican que es necesario acudir al dentista, cómo tratar el dolor de manera efectiva y qué medidas pueden ayudar a prevenir infecciones o retrasos en la cicatrización.

Duración Normal del Dolor Después de una Extracción Dental
La extracción normal (o “simple” para los profesionales) de una muela, es decir, la que no requiere cirugía, no suele doler sino sólo causa molestias que duran 2-3 días. En la mayoría de los casos, el dolor y la inflamación disminuyen a partir del tercer o cuarto día desde la intervención. Sin embargo, algunos pacientes pueden llegar a experimentar dolor después de 10 días de una extracción de muela.
Durante los primeros días después de la extracción de una muela, es común experimentar dolor, hinchazón y sangrado leve. Estos síntomas suelen disminuir progresivamente, y la mayoría de las personas comienzan a sentirse mejor después de 3 a 5 días. El proceso de cicatrización estará en marcha, y el área donde se extrajo la muela debería comenzar a sentirse más normal.
En resumen, el dolor después de una extracción de muela suele ser ligero-moderado y durar 3-4 días, aunque todo dependerá de los cuidados posteriores.
¿Por Qué Todavía Tengo Dolor Después de 10 Días?
Si después de diez días sigues experimentando dolor en la zona de la extracción, es fundamental identificar la causa subyacente. Te contamos cuáles son estos casos:
- Infección Postoperatoria: También puede deberse a una infección postoperatoria causada por bacterias que afectan la zona, lo que puede generar inflamación, dolor persistente e incluso fiebre.
- Afectación de los Nervios: En algunos casos, la afectación de los nervios sensitivos que rodean el área de extracción puede traducirse en hormigueo y disminución de la sensibilidad del labio inferior o de mitad de la lengua.
- Inflamación Prolongada: La inflamación prolongada también es un factor a considerar, especialmente si la extracción fue compleja o si hubo puntos de sutura involucrados.
Si después de diez días sigues sintiendo dolor, es importante tomar medidas para aliviar las molestias y evitar complicaciones.
Causas Comunes del Dolor Persistente
- Cuando hay infección: Una de las causas más comunes de dolor persistente después de una extracción de muela es la infección. Los signos de infección pueden incluir:
- Dolor severo o creciente.
- Hinchazón que no disminuye o aumenta.
- Fiebre.
- Mal sabor en la boca o secreción de pus.
Si experimentas alguno de estos síntomas, es crucial contactar con tu dentista de inmediato para recibir tratamiento adecuado.
- En caso de alveolitis seca: Otra posible causa de dolor intenso después de 10 días es la alveolitis seca, una condición en la que el coágulo de sangre que debería formarse en el sitio de la extracción se disuelve o se desplaza, dejando el hueso y los nervios expuestos. Los síntomas de la alveolitis seca incluyen:
- Dolor intenso que se irradia hacia el oído, el ojo o el cuello.
- Sangrado continuo.
- Mal aliento y sabor metálico.
- Notar el hueco de la extracción vacío.
La alveolitis seca requiere tratamiento inmediato por parte de un profesional dental para promover una nueva cicatrización.
- Si habías sufrido un golpe o traumatismo: El área de la extracción puede irritarse o traumatizarse por diversos factores, como la ingestión de alimentos duros, hacer buches con el enjuague bucal (el coágulo podría romperse), o el cepillado vigoroso. Estos factores pueden retrasar la cicatrización y causar dolor.

¿Qué Hacer Si Tienes Dolor Después de 10 Días?
Si experimentas dolor después de 10 días de una extracción de muela, sigue estos pasos:
- Evalúa la intensidad del dolor: Si el dolor es leve y no viene acompañado de otros síntomas preocupantes, podrías intentar aliviarlo con analgésicos de venta libre y manteniendo una buena higiene oral.
- Analiza si hay signos de infección o alveolitis seca: Si notas hinchazón, fiebre, secreción de pus o dolor severo, contacta a tu dentista de inmediato.
- Evita factores irritantes: Asegúrate de no traumatizar la zona de la extracción para que cicatrice adecuadamente.
- Consulta a tu dentista: Si el dolor persiste o empeora, es esencial que acudas a tu dentista para una evaluación y tratamiento adecuado.
LA MEJOR FORMA DE ALIVIAR el DOLOR de la EXTRACCIÓN DENTAL
Cómo Aliviar el Dolor de Muela del Juicio
En general, es normal sentir algo de dolor después de la extracción de la muela del juicio. Sin embargo, si el dolor es muy intenso o persiste durante más de unos pocos días, debes consultar a tu dentista para que pueda determinar la causa del dolor y recomendarte el tratamiento adecuado.
Si el dolor persiste, hay diversas estrategias que pueden proporcionar alivio de manera segura.
- Toma analgésicos de venta libre: Los medicamentos como el paracetamol o el ibuprofeno pueden ayudar a aliviar el dolor y la inflamación.
- Utiliza hielo: El hielo puede ayudar a reducir la inflamación y el dolor. Coloca una bolsa de hielo en un paño y aplícala sobre la mandíbula cerca de la muela del juicio durante unos 15 minutos.
- Evita los alimentos calientes: Pueden aumentar la inflamación y el dolor.
- Haz enjuagues de clorhexidina: La clorhexidina es un antimicrobiano que puede ayudar a reducir la inflamación y el dolor.
- Aplicar compresas frías o tibias: Dependiendo del momento de la recuperación, puede ayudar a controlar la inflamación y mejorar la circulación en la zona afectada. Aplicar frío local de forma alterna cada 5-10 minutos sobre la mejilla, durante las primeras 24h tras la exodoncia suele ser beneficioso.
- Evitar alimentos y bebidas: Se recomienda evitar alimentos y bebidas muy fríos, calientes o azucarados, ya que pueden aumentar la sensibilidad en la zona de la extracción.
Recuerda que estos consejos son solo para aliviar temporalmente el dolor.
Medidas Preventivas y Cuidados Post-Extracción
Una de las claves para evitar las complicaciones posteriores a una extracción de muela está en la preparación previa. Así, durante las semanas que preceden a la intervención, el paciente deberá incorporar una serie de hábitos que el odontólogo determinará.
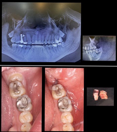
- Radiografía Previa: Lo primero que se debe hacer es una radiografía de la zona, para así captar todos los dientes y obtener los detalles de esta.
- Antibióticos: En muchas ocasiones, el dentista procede a prescribir antibióticos que empezarán a tomarse antes de la cirugía o inmediatamente después.
- Higiene Bucal: Por supuesto, será fundamental tener una higiene mucho más cuidada, ya que esta zona va a exponerse a muchas bacterias tanto antes como durante y después de la intervención.
- Evitar Hábitos Perjudiciales: Evitar hábitos perjudiciales como fumar o consumir alcohol es crucial, ya que pueden retrasar la cicatrización y aumentar el riesgo de infección.
- No Usar Pajitas: También es importante no utilizar pajillas para beber, ya que la succión puede provocar el desprendimiento del coágulo y aumentar el riesgo de alveolitis seca.
- Alimentación Blanda: Seguir una alimentación blanda ayuda a reducir la presión sobre la zona afectada y evita molestias innecesarias.
Cuidados Posteriores a la Extracción
Una vez realizada la extracción de una muela, el dentista será quien prescriba el tratamiento al paciente. Para rebajar la hinchazón se puede aplicar hielo en la zona. Asimismo, ayudará a rebajarla el hecho de tomar antiinflamatorios, tales como paracetamol o ibuprofeno.
Una vez hayan pasado las primeras 24 horas, ten cuidado al cepillarte los dientes. Hay que hacerlo con cuidado para no causarte dolor, pero también es importante que la zona permanezca limpia para prevenir la infección.

Duración de la Recuperación de la Extracción de las Muelas del Juicio
La recuperación de la extracción de las muelas del juicio suele tomar unos pocos días. Durante este tiempo, es normal tener dolor, hinchazón y molestias en la mandíbula.
Recomendaciones para una Recuperación Rápida
- Come alimentos suaves y tibios durante los primeros días después de la cirugía.
- Utiliza hielo después de la cirugía para ayudar a reducir la hinchazón.
- Usa un cepillo de dientes suave y enjuágate con agua tibia después de cepillarte los dientes durante los primeros días después de la cirugía.
Recuerda que la recuperación es diferente para cada persona y que es importante seguir las instrucciones del dentista para acelerar el proceso de recuperación.
Posibles Complicaciones y Cuándo Buscar Ayuda
Una de las complicaciones más dolorosas es la alveolitis seca, que ocurre cuando el coágulo que protege la herida se desprende antes de tiempo. Esto deja el hueso expuesto y genera un dolor intenso que se irradia hacia el oído, la mandíbula o incluso la cabeza.
Las infecciones también son posibles, especialmente si no se siguen las medidas de higiene adecuadas.
La hinchazón es un síntoma habitual que suele desaparecer en menos de una semana.
En extracciones complejas o cercanas al nervio dentario inferior, puede aparecer adormecimiento temporal en la lengua, el labio inferior o la barbilla.
En muchos casos, el profesional indicará una revisión a los 7-10 días para evaluar la evolución y retirar los puntos, si es que se han colocado.
¿Qué Hacer Si Tienes un Dolor de Muela del Juicio Insoportable?
Si tienes un dolor de muela del juicio insoportable, es importante que consultes a un dentista lo antes posible. Es probable que necesites medicamentos más fuertes para aliviar el dolor, como un analgésico narcótico o un antiinflamatorio esteroideo.
Recuerda que es importante no dejar el dolor de muela del juicio sin tratar, ya que puede empeorar y convertirse en una infección grave.
¿Cuándo se Extrae la Muela del Juicio?
La muela del juicio se extrae cuando es necesario para aliviar el dolor o para prevenir problemas de salud futuros. En general, la decisión de extraer la muela del juicio depende de la gravedad de los síntomas y de la causa del problema.