Nuestra sonrisa es nuestra carta de presentación ante los demás. En la Clínica Dental Seoane Romero, ofrecen una amplia gama de tratamientos para asegurar que tu sonrisa sea siempre la mejor versión de sí misma. Desde blanqueamientos dentales hasta la atención especializada para niños y adultos mayores, la clínica se dedica a cuidar la salud bucal de toda la familia.

Blanqueamiento Dental: Una Sonrisa Deslumbrante
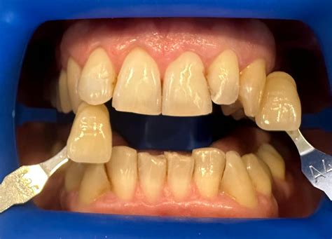
El blanqueamiento dental es una solución segura y efectiva para realzar tu sonrisa. Realizar un tratamiento de blanqueamiento dental te asegura que tu sonrisa destacará. En la Clínica Seoane Romero, te informarán sobre todas las opciones de blanqueamiento disponibles y te asesorarán para elegir la mejor opción según tus necesidades.
El proceso puede incluir:
- Toma de registros 3D: Se utilizan tecnologías 3D para obtener registros precisos de tu boca.
- Férulas personalizadas: Se construyen férulas que se rellenan con gel blanqueador para su uso en casa.
- Blanqueamiento en clínica: Se aplica un gel de mayor concentración y se utiliza luz para potenciar el efecto blanqueador.
Algunos dientes con tratamientos endodónticos pueden volverse oscuros, pero existen soluciones para restaurar su color natural.

Tecnología Avanzada y Tratamientos Personalizados
La Clínica Seoane Romero se distingue por su compromiso con la innovación y la tecnología de vanguardia. Cuentan con equipos de última generación para el diagnóstico y tratamiento de diversas patologías bucodentales.
Entre los servicios más diferenciadores se encuentra el empleo de:
- Láseres de diodos: Para tratamientos precisos y mínimamente invasivos.
- Láseres hidropulsados de Er,CR:YSGG: Una tecnología avanzada para procedimientos dentales.
- Escáner intraoral: Mediante un receptor de un tamaño poco superior a un bolígrafo podemos medir con precisión micrométrica toda la topografía oral. Esto nos permite evitar técnicas mucho más invasivas como es el uso de alginatos que fácilmente producen arcadas. Igualmente se facilita la transmisión de información a los laboratorios mediante archivos digitales.
La medicina y la cirugía regenerativa han experimentado un potente desarrollo en los últimos tiempos en el ámbito odontológico, particularmente en el ámbito de la regeneración periodontal guiada y de la regeneración ósea guiada. En nuestra clínica hemos incorporado esas innovaciones y utilizamos proteínas del esmalte que han demostrado actividad en la regeneración periodontal.

Atención Integral para Todas las Edades
La clínica ofrece un plan de tratamiento desde los más pequeños, con un dentista infantil especializado, hasta los más mayores de la casa.
Sala Recovery
Nuestra sala recovery es una de las mejores expresiones físicas de nuestra visión de los pacientes. Para nosotros no es suficiente con realizar un tratamiento y despedir a los pacientes, queremos que se sientan bien, y queremos estar presentes para controlarlos ante cualquier eventualidad.
Reconocimiento a la Excelencia Profesional
Juan Manuel Seoane Lestón, catedrático de Cirugía Oral y asesor de la clínica Seoane Romero, ha sido galardonado con el premio Santa Apolonia, la máxima distinción individual otorgada por el Consejo General de Dentistas de España (CGDE). El premio reconoce la trayectoria del especialista por sus trabajos y contribución al desarrollo profesional. En el caso de Seoane Lestón, su labor como coordinador a nivel nacional de las campañas de prevención y diagnóstico precoz de cáncer oral del CGDE desde el año 2007 jugaron un papel fundamental a la hora de otorgarle este importante reconocimiento.
Según el Dr. Seoane Lestón, este premio representa un gran honor y conlleva una gran responsabilidad y compromiso con la profesión odontológica en España.
¡LO QUE NADIE TE DICE 🚫 DEL BLANQUEAMIENTO DENTAL 💔! Deberías ver este vídeo 👀.

Opiniones de los Pacientes
Los pacientes de la Clínica Seoane Romero destacan la profesionalidad del equipo y la tecnología de vanguardia utilizada en los tratamientos.
Algunos comentarios incluyen:
- "Buenos profesionales y última tecnología. Clínica recién reformada, a la última."
- "Implantes excelentes; clínica dental profesional."
¿Son Dolorosos los Tratamientos Dentales?
Muchos pacientes asocian los tratamientos dentales con dolor, lo que ha llevado al desarrollo de "fobias" dentales. Sin embargo, en la Clínica Seoane Romero, se prioriza el confort del paciente y se utilizan técnicas para minimizar cualquier molestia.
Los tratamientos actuales suelen ser poco dolorosos y bien aceptados por los pacientes.
Ahora que ya nos conoces más, ¿Quieres venir a vernos?