Tener una sonrisa estética y armónica es un elemento importante para la autoestima y confianza de una persona. No obstante, se pueden presentar problemas estéticos dentales como manchas o irregularidades que puedan hacer de esa sonrisa perfecta todo un desafío. Por suerte, la odontología estética ha avanzado significativamente.
Las carillas dentales permiten modificar el color, brillo y forma de los dientes para corregir una variedad de problemas estéticos en la superficie de los dientes. En González y Casado sabemos lo importante que es una sonrisa sana y bonita, con las proporciones y color adecuados.

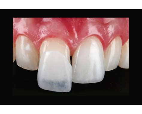
¿Qué son las Carillas Dentales?
Una carilla dental es un tipo de lámina fina que se coloca en la superficie del diente con el fin de mejorar su estética. Las carillas son finas láminas hechas con materiales como son la porcelana o composite. A día de hoy las carillas dentales se componen básicamente por dos materiales: porcelana y composite.
Existen carillas dentales de composite y carillas dentales de porcelana/cerámica. En Clínica Dental Curull realizamos tratamientos de carillas con los más altos estándares de calidad ¿quieres conseguir tu sonrisa perfecta?
Tipos de Carillas Dentales
- Carillas de composite: La resina o composite se usa para reconstruir dientes desgastados, gracias además a su variedad de colores que imitan el color natural de los dientes.
- Microcarillas y carillas de porcelana o cerámica: En este caso las carillas consisten en unas finas láminas de porcelana cerámica que se fabrican, previo escaneo de la dentadura y diseño del resultado final, para luego ser colocadas sobre los dientes. Estas ofrecen unos resultados altamente estéticos, muy naturales, resistentes gracias a la naturaleza del material y muy duraderos.
- Carillas ultrafinas: Las carillas ultrafinas están fabricadas con porcelana feldespática, de gran calidad y resistencia. De hecho, cuidando correctamente las carillas, pueden llegar a durar 20 años. Como son algo translúcidas, dejan pasar la luz y por ello dan un resultado tan natural.
Procedimiento para la Colocación de Carillas Dentales
La colocación de carillas dentales es un proceso meticuloso que transforma sonrisas, combinando arte y ciencia para resultados espectaculares. En Torres y González, la ruta hacia una sonrisa perfecta inicia con un diagnóstico detallado y personalizado. Nuestro procedo de diagnóstico de carillas dentales en Granada es muy personalizado y evaluamos todos los factores de cada paciente.

Todo comienza con una evaluación detallada de tu salud bucal y estética dental. En esta etapa, discutimos tus objetivos estéticos y evaluamos la viabilidad para tu caso específico. Una vez confirmado el plan de tratamiento, procedemos con la preparación de los dientes. Este proceso implica un ligero desgaste de la superficie del diente para asegurar que se adhieran correctamente y se integren de manera natural con el resto de tu sonrisa.
Tras la preparación, tomamos impresiones precisas de tus dientes. Estas impresiones son esenciales para crear carillas que se ajusten perfectamente a la forma y tamaño de tus dientes, asegurando un resultado natural y confortable. Mientras esperamos las carillas definitivas, te colocaremos unas temporales. Una vez que las carillas definitivas están listas, las probamos en tus dientes. Este paso es crucial para asegurar el ajuste perfecto y la completa satisfacción con el resultado estético. Con todo listo y confirmado, procedemos a la adhesión final de las carillas.
Finalizamos con una revisión exhaustiva para asegurarnos de que están perfectamente colocadas y que estás satisfecho con el resultado. La atención continua es clave para el éxito a largo plazo de cualquier tratamiento estético dental. Tu satisfacción es nuestra prioridad.
Preparación de los Dientes
Durante la preparación de las carillas dentales, los dentistas suelen desgastar o limar la capa superficial de los dientes. El tallado dental la preparación de los dientes para la colocación de carillas está indicado ante la necesidad de lograr un cambio morfológico, mal posicionamiento, malformación o rotación de alguna pieza dental.
Se toman los registros digitales de alta precisión de tus dientes preparados, que se enviarán al laboratorio dental para la fabricación de las carillas. El dentista ejecuta las modificaciones necesarias de las carillas para garantizar un ajuste perfecto. Puede ser necesario administrar anestesia local para garantizar tu comodidad durante este proceso.
Las carillas sin limar el diente (no invasivas) son cada vez más demandadas por muchos pacientes. Las carillas dentales sin tallado, cumplen con las mismas funciones que las carillas dentales normales, pero en estos casos la pieza dental del paciente deberá contar con unas características para poder colocarlas. Al no tener que limar los dientes no es necesario usar anestesia, ya que no genera ningún dolor en el paciente.
¿Cuándo son Recomendables las Carillas Dentales?
Para poder optar a este procedimiento, se deben de cumplir una serie de requisitos:
- Salud dental óptima: Antes de considerar las carillas dentales, es crucial que tus dientes y encías estén en buen estado de salud.
- Ausencia de bruxismo: Si padeces bruxismo o cualquier otro trastorno que afecta la forma en que cierras la boca, las carillas pueden no ser la mejor opción. El material de las carillas, aunque de alta calidad, no es tan resistente como los dientes naturales y puede dañarse fácilmente.
- Problemas de forma y color dental: Las carillas son especialmente útiles para pacientes que tienen dientes con formas irregulares o problemas de coloración.
- Dientes ligeramente desalineados: Si tus dientes tienen desviaciones menores, las carillas pueden corregir este problema estético.
- Esmalte dental intacto: Las carillas de porcelana se adhieren al esmalte dental existente.
¿Cuánto tiempo duran las carillas dentales?
Causas del Desgaste Dental
Los dientes pueden llegar a desgastarse por muchos motivos y lo cierto es que puede afectar a nuestra salud bucodental, tanto a nivel estético como funcional. Y si te estás preguntando si se pueden reparar los dientes desgastados la respuesta es que sí. Arreglar dientes desgastados es, por suerte, totalmente factible gracias a los avances en odontología y estética dental.
Pero, antes de reparar los dientes desgastados es importante conocer cuál fue la causa del desgaste ya que, dependiendo de la causa, será necesario abordar también la causa para evitar que siga habiendo desgaste.
Causas más habituales de desgaste dental:
- Bruxismo: Se trata de una de las causas más habituales de desgaste dental en la que el paciente involuntariamente aprieta los dientes al dormir, lo que puede llegar a provocar desgaste en los mismos debido al rozamiento constante entre ellos y las fuerzas ejercidas por la boca.
- Problemas de mordida: En estos pacientes la oclusión no es correcta y pueden darse rozamientos y presiones sobre los dientes que acaben provocando desgastes.
- Erosión dental: Algunas sustancias, sobre todo de naturaleza abrasiva o ácida, pueden provocar debilitamiento del esmalte y dentina. Por ejemplo: morderse las uñas o usar los dientes para morder objetos muy duros como los bolígrafos.

Soluciones Efectivas para Dientes Desgastados
Una vez realizado el diagnóstico del paciente somos conocedores de la causa que provoca el desgaste dental para poder ajustar al máximo el tratamiento, obtener los mejores resultados y garantizar que sean duraderos. Pero, ¿cómo se pueden reparar los dientes desgastados?
- Férula de descarga para prevenir más desgaste: En pacientes con dientes desgastados por bruxismo el tratamiento inicial debe ser prevenir que se sigan desgastando prescribiendo el uso de una férula de descarga. Esta férula, fabricada a medida, se coloca sobre la arcada superior dental para dormir y se encarga de relajar la musculatura facial y proteger los dientes.
- Carillas dentales para dientes desgastados: Si necesitamos alargar los dientes uno de los mejores métodos para hacerlo es colocando encima carillas dentales.
- Otros tratamientos: Además de los mencionados anteriormente, usar fundas o coronas para los dientes desgastados puede que sea necesario, sobre todo en pacientes que presentan patologías adicionales al desgaste dental. Por otro lado, si el paciente presenta problemas de oclusión dental, será necesario realizar antes del tratamiento estético para dientes desgastados una ortodoncia.
Ventajas y Desventajas de las Carillas de Porcelana
Las carillas de porcelana ofrecen una serie de beneficios para aquellos que tienen dientes desgastados.
Ventajas
- Técnica de dificultad media.
- Preparación dentaria muy conservadora.
- Estética muy elevada.
- Resistencia elevada a las fuerzas.
- Biocompatibilidad local y general.
- Resistencia al desgaste.
- Resistencia a la tinción.
- Resistencia al ataque químico.
- Radiopacidad.
- Costo aceptable.
Inconvenientes
- Técnica clínica más compleja que para las carillas de composite y mucho más que para una corona. Requiere varias sesiones clínicas.
- Técnica de laboratorio compleja.
- Fragilidad relativa.
- Dificultad para la reparación.
- Técnica adhesiva compleja.
- Tratamiento irreversible: una vez tallado el diente no lo podemos recuperar, aunque su invasión sea mínima.
- Imposibilidad de cambiar el color una vez cementada la carilla.
Duración y Mantenimiento
No, las carillas dentales no son permanentes y generalmente requieren reemplazo después de varios años, dependiendo del material, los hábitos del paciente y el cuidado dental. Aunque es verdad que las carillas de porcelanas duran más tiempo que las de composite.
Recuerda que las carillas de porcelana pueden tener una vida útil prolongada, pero su duración depende en gran medida del cuidado y mantenimiento adecuados.
Cuidados Posteriores
- Mantén una buena higiene oral: cepilla tus dientes al menos dos veces al día con un cepillo de cerdas suaves y utiliza hilo dental diariamente.
- Evita alimentos y bebidas que puedan manchar: algunos alimentos y bebidas, como el café, el vino tinto, los alimentos ácidos y los alimentos con colorantes intensos, pueden manchar las carillas de porcelana con el tiempo.
- Evita hábitos perjudiciales: evita morder objetos duros, como uñas o lápices, ya que pueden dañar tus carillas de porcelana.
Candidatos Ideales para Carillas Dentales
Las carillas dentales son una solución estética revolucionaria en el campo de la odontología, pero no todos son candidatos ideales para este tratamiento. El mejor candidato para las carillas dentales es alguien cuyos dientes están en buen estado general, sin caries significativas o enfermedades periodontales avanzadas. Los candidatos perfectos para las carillas son personas que mantienen una excelente higiene bucal y están comprometidas a seguir un régimen de cuidado dental adecuado después del tratamiento.
Es fundamental tener expectativas realistas sobre los resultados que se pueden lograr con las carillas. Aquellos que no tienen hábitos perjudiciales para los dientes, como rechinar o apretar los dientes (bruxismo), morderse las uñas, o usar los dientes como herramientas, son mejores candidatos. Tener una mordida correctamente alineada es importante antes de considerarlas.