Quién iba a decirnos hace unos años que ponernos un aparato en los dientes para dormir se iba a convertir en una rutina popular en España. Cada vez son más las personas que tienen una de estas férulas, ¿atienden a un problema de salud real de la población o, al contrario, se trata de un negocio redondo? Al contrario que los temidos aparatos de la adolescencia para recolocar la dentadura, muchas personas admiten que no pueden estar sin su férula de descarga.
Todas estas personas han ido al dentista a hacerse una revisión y una limpieza y han acabado pagando una media de 300 euros por una de estas férulas. Con un vistazo en el interior de la boca, los dentistas pueden encontrar indicios de que estas personas aprietan la mandíbula en sueños.
Desde hace un tiempo podemos ver cómo el comercio de férulas de descarga para el bruxismo, se ha extendido a las farmacias, venta por internet… Seguro que sois muchos y muchas los/as que os preguntáis si su uso es recomendable, así que para responder a esa pregunta hemos preparado este artículo.
¿Cuándo usar unas férulas dentales?
¿Qué es una Férula de Descarga?
Las férulas, como se ha comentado anteriormente, se utilizan para aminorar los efectos del bruxismo. Más concretamente, estas férulas se pueden considerar como placas de plástico transparentes de unos 2 o 3 milímetros de grosor que se coloca en una de las arcadas para evitar que se dañen los dientes si los apretamos o rechinamos inconscientemente.
Este es una pieza creada para impedir el desgaste de los dientes ocasionado por la actividad de rechinar o apretar constantemente los dientes. Las férulas blanqueadoras son como unas fundas o moldes flexibles que encajan perfectamente en tu dentadura, fabricadas a partir de impresiones de tus dientes. Al ser a medida, aseguran que el gel blanqueador cubra bien la superficie dental y no se escape hacia las encías.
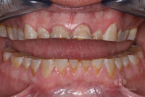
El bruxismo consiste en el hábito de apretar o rechinar los dientes mientras estamos dormidos, pero también puede darse durante el día. De hecho, algunas voces expertas aseguran que el porcentaje actual ronda el 70%, según Quirónsalud. "Antes no se sabía qué era el bruxismo, pero ahora sí. De esta manera, es un problema más propenso a ser diagnosticado".
El maxilofacial también cuenta que, además, el uso de la mascarilla durante estos últimos años ha incrementado este hábito de apretar la mandíbula. De todas formas, el causante principal del bruxismo es el estrés y el hecho de que se encuentre en aumento no hace otra cosa que evidenciar el problema de salud mental en nuestro país que denuncian los expertos.
"Es frecuente que las personas que tienen problemas de sueño, emocionales o sobrecarga de trabajo tengan bruxismo. Se da en personas con mucha angustia e, incluso, depresión. Por esta razón, cuenta que la presencia del psicólogo dentro de las unidades de bruxismo de los centros médicos está a la orden del día.
Monje explica que contar con este perfil profesional mejora los resultados obtenidos, también aporta información interesante sobre el nivel de estrés de los pacientes y ayuda conductual. "Se ha establecido una fuerte relación entre el bruxismo y la calidad del sueño. Por tanto, evitar el bruxismo es clave para mejorar la salud global del organismo y, para ello, hay varios tratamientos. El más popular de ellos es la férula de descarga.
La mandíbula es una de las articulaciones más móviles del cuerpo y el bruxismo puede originar el síndrome de disfunción temporomandibular, que produce dolores en esta zona por la inflamación de los músculos. En este sentido, el uso habitual de la férula de descarga puede prevenir este problema: "Acostumbrarse a dormir todos los días con la férula, que no nos resulte molesta, es un signo muy positivo.
Eso sí, el médico señala que existe una amplia variedad de férulas de descarga en el mercado, pero no todas son buenas. Las más baratas suelen encontrarse en las farmacias, en los centros comerciales o, incluso, en Amazon. Eso sí, no deberíamos usar estas, si no las que hacen a medida los odontólogos que ahora, incluso, se hacen por escáner oral. Las peores férulas podrían variar la forma de nuestra mordida.
Además de las férulas de alivio, ahora existe una alternativa eficaz y científicamente probada para tratar el bruxismo. Consiste en tratarlo con Botox en los músculos maestros. La neurotoxina botulínica tipo A puede ser una herramienta importante en el tratamiento del bruxismo.
"Inyectamos el botox en el músculo masticatorio guiándonos por control ecográfico para situarlo en el lugar preciso. Como mucha gente sabe, el botox tiene un tiempo de caducidad, pero sus resultados en bruxismo son muy buenos. La inmensa mayoría de las personas que se pinchan sólo una vez, bruxan mucho menos de lo que lo hacían antes. E, incluso, cierto porcentaje de ellos no necesitan más pinchazos nunca más", resume Monje.
Si está interesado o necesita un tratamiento con férula de descarga o busca un un tratamiento de ortodoncia invisible en Palencia, póngase en contacto con Clínica Dental Miguel Ángel García.

¿Cómo Actúa la Férula Dental?
Rechinar o apretar los dientes sin darse cuenta se llama bruxismo, es más común durante las horas de sueño y puede causar dolor de mandíbula, de cabeza e incluso en la parte posterior del cuello. En este caso, es importante encontrar un método que reduzca este dolor, por lo que se emplean férulas dentales.
Actúan como amortiguador entre la fuerza que actúa sobre los dientes, evitando que rocen entre sí y al mismo tiempo protegiéndolos del desgaste. Las férulas también ayudan a reducir las fuerzas oclusales y previenen la sobrecarga muscular que conduce a la relajación de la articulación temporomandibular.
Los principales síntomas, según la Clínica Universidad de Navarra, son el desgaste del esmalte dental, el dolor en la mandíbula o en los dientes, las alteraciones de la articulación temporomandibular e, incluso, las cefaleas.
Tipos de Férulas de Descarga
- Tipo parcial
- Tipo completo
- De tipo rígida
- De tipo semirrígida
- De tipo blanda o resiliente
- De tipo permisiva
- De tipo directriz
Se utiliza para tratar a personas que poseen algún tipo de trastornó en el disco de articulación.
Inconvenientes de la Férula Dental
Aunque sin duda las férulas son de gran ayuda, lo cierto es que tienen algunas desventajas, como que los resultados conseguidos no son a largo plazo. Con la férula conseguimos que se reduzca el rechinar de los dientes, pero esto puede volver a ocurrir cuando dejemos de usarla.
Otra desventaja es que, si utiliza una férula durante mucho tiempo, puede contraer infecciones y caries. Esto se debe a que los restos de comida o las bacterias quedan atrapados entre los dientes, cuando se lleva puesta la férula, la saliva no puede eliminarlos, lo que aumenta las probabilidades de desarrollar caries o infección.
También puede ocurrir que la férula se desgaste en algún momento por el uso frecuente. Cuando esto sucede, debe reemplazarse por una nueva, de lo contrario, el problema puede empeorar.
Además, también destacamos que el uso de férulas puede producir dolor y sensibilidad de los dientes, aunque esto se produce únicamente en los primeros días de uso, así como irritación de los tejidos de las encías y la boca.
Sin embargo, dado que la férula ahora está muy extendida y sus efectos beneficiosos se pueden notar en poco tiempo, es recomendable su utilización siempre que se realice correctamente y de acuerdo con las indicaciones de los especialistas.
Además de ajustarse a los dientes, las férulas también deben estar perfectamente adaptadas para efectuar correctamente su función y también hay que tener en cuenta que no todos los problemas relacionados con el síndrome de la ATM, el desgaste dental o el dolor orofacial pueden tratarse con estas férulas, por lo que llevarla puede agravar la situación.
Por otro lado, algunas están fabricadas con materiales inadecuados que contribuyen a la compresión del diente, lo que se pretende evitar.
Si sufres de bruxismo, puedes deformar las férulas, lo que afecta a su forma y, por tanto, al éxito del tratamiento.
Algunos tipos de maloclusión en los la ortodoncia invisible está contraindicada y únicamente se puede usar ortodoncia solo con brackets. Sin embargo, existen tratamientos más sutiles que los tradicionales, como es el caso de los brackets de zafiro. Consulte con su dentista acerca de cuál es la mejor opción para usted.
Cabe señalar que las “férulas para el bruxismo” que se venden en algunas farmacias no solo son ineficaces, sino que incluso pueden ser contraproducentes.
La Sociedad Española de Ortodoncia ha expresado anteriormente su preocupación por la venta de férulas para el bruxismo en farmacias, que aseguraban que no era necesario visitar un especialista, ya que sus modelos se podían ajustar a la dentadura desde casa con agua caliente.
Por eso, queremos recordar que una férula de descarga siempre ha de estar recomendada y diseñada siguiendo las indicaciones de un ortodoncista u odontólogo, ajustada después del diseño, y posteriormente revisada.
No se trata únicamente de que se adapte a la dentadura, sino que un ortodoncista hará los ajustes enfocados a que el cóndilo de la mandíbula esté bien posicionado (debe estar lo más atrás y arriba posible dentro de la articulación) y que exista un contacto equilibrado al morder con la férula para que esta realice su función correctamente.
Estos ajustes graduales permiten que el cóndilo acabe en su lugar, evitando las molestias que se generan por el desplazamiento mandibular en los bruxistas y mantienen relajados los músculos faciales y del cuello.

¿Es Efectiva la Férula Dental?
Asegúrate de que tu férula esté correctamente adaptada y realiza revisiones periódicas con tu dentista. Según usuarios y expertos, utilizar férulas de descarga trae consigo un gran número de ventajas y desventajas a corto y largo plazo. Son totalmente eficaces.
Ventajas de Usar Férula Dental
- Ayuda a tratar a personas que sufren de ronquidos y apneas de sueño.
- Disminuye los dolores.
- Erradica el desgaste de los dientes.
- Es una forma de tratar afecciones de forma no invasiva.
- Ocasiona buenos resultados de tipo estético.
- Son bastante cómodas.
Desventajas de Usar Férula Dental
- Los resultados que otorga, no suelen a ser a largo plazo.
- Ocasiona mucha salivación.
- Puede causar un tipo de tensión en los músculos de la cara y la boca.
- Es un atrayente para posibles infecciones orales y aparición de caries.
Precios de las Férulas de Descarga
El precio de una férula de descarga para tratar el bruxismo en España varía según diversos factores, como el tipo de férula y el lugar de adquisición.
- Férulas personalizadas en clínicas dentales: Estas férulas se confeccionan a medida para ajustarse perfectamente a la boca del paciente, ofreciendo mayor comodidad y eficacia.
- Férulas estándar en farmacias o tiendas en línea: Son dispositivos genéricos que no se adaptan específicamente a la dentadura del usuario. Su costo es menor, generalmente entre 20 y 80 euros.
Aunque las férulas estándar son más económicas, se aconseja optar por una férula personalizada elaborada por un profesional dental. Ahora bien, para conocer las férulas de descarga precios, debemos decir que tienden a varias según las unidades odontológicas donde se procedan a realizar o adquirir.
Es importante resaltar que los precios pueden a variar también por el tipo de férula que se vaya a adquirir. La férula de descarga Michigan es el nombre con el que se conoce a la férula de descarga convencional.
Podemos clasificar dos tipos de férulas de descarga según la rigidez de la misma:
- De tipo rígida
- De tipo semirrígida
- De tipo blanda o resiliente
Queremos verte sonreír.
Blanqueamiento Dental Casero con Férulas
Si estás pensando en blanquear tus dientes en casa con férulas, seguramente te preguntas si realmente funciona, si es seguro, cuánto más blancos verás tus dientes y qué opinan quienes ya lo han probado.
El blanqueamiento dental con férulas (también llamado blanqueamiento dental ambulatorio, blanqueamiento con cubetas o kit blanqueador dental profesional) es un tratamiento para aclarar el tono de los dientes que se realiza principalmente en tu hogar, pero preferiblemente bajo la indicación y supervisión de un dentista.
Consiste en usar unas férulas transparentes hechas a medida de tus dientes, dentro de las cuales se aplica un gel blanqueador especial. El gel utilizado contiene peróxido de hidrógeno o peróxido de carbamida en concentraciones seguras y efectivas (mucho más altas que las permitidas en productos blanqueadores de supermercado, pero disponibles legalmente solo a través de clínicas dentales).
Estos agentes blanqueadores penetran en el esmalte y la dentina del diente, oxidando los pigmentos que causan el tono amarillo o manchado. Muchos dentistas ofrecemos el blanqueamiento ambulatorio con férula porque permite un aclarado gradual y completo en unas pocas semanas, manteniendo un mejor control de la sensibilidad.
A diferencia de una sesión única con lámpara en clínica, el método con férulas en casa expone tus dientes al agente blanqueador por más tiempo pero con menor concentración por sesión, logrando resultados similares o superiores de forma más cómoda para ti.

Opiniones sobre el Blanqueamiento Dental con Férulas
Quiero ser muy sincero contigo: sí, el blanqueamiento dental en casa con férulas vale la pena en la mayoría de los casos, siempre que se haga correctamente. En mi práctica profesional he visto decenas de pacientes conseguir sonrisas notablemente más blancas tras el tratamiento ambulatorio con férulas.
La gran mayoría de personas que siguen un blanqueamiento con férulas bajo supervisión dental terminan contentas. Incluso un año después, sus dientes seguían más blancos que al inicio (aunque no tan brillantes como justo al terminar, algo normal).
Un tema frecuente en opiniones es la sensibilidad. Algunas personas reportan que durante el tratamiento sintieron pequeñas punzadas de sensibilidad al tomar bebidas frías, especialmente si se dejaban las férulas puestas más tiempo del indicado. La mayoría describe la sensibilidad como “leve y temporal”.
También vi comentarios de personas que obtuvieron el gel blanqueador por su cuenta tras que un dentista les hiciera las férulas, para abaratar costos, y lograron mantener su sonrisa blanca con retoques ocasionales.
También aparecen opiniones negativas, casi siempre ligadas a tratamientos sin control profesional. Estas experiencias resaltan la importancia de acudir a un dentista de confianza: un buen profesional te dirá honestamente si eres candidato ideal o no, ajustará el tratamiento a tus necesidades y te acompañará para que todo salga bien. Si una clínica te presiona o no responde tus dudas, busca una segunda opinión.
Las opiniones de personas reales (incluyéndome a mí) respaldan que el blanqueamiento con férulas en casa sí merece la pena por su eficacia y comodidad, siempre que se realice con responsabilidad. Lo importante es que conozcas pros y contras reales, para decidir con confianza.
¿Cómo Utilizar las Férulas Blanqueadoras?
Una de las ventajas de este método es que es sencillo de realizar, pero es fundamental seguir las instrucciones al pie de la letra. Antes de empezar, visita a tu dentista. Este paso es obligatorio si buscas un blanqueamiento dental casero seguro y efectivo.
En esa cita inicial, el odontólogo examinará tu boca para confirmar que no haya caries, problemas de encías (gingivitis, periodontitis) u otras condiciones que deban tratarse primero. Luego viene la toma de impresiones de tus dientes (moldes). Con esas impresiones, en el laboratorio dental fabricarán tus férulas transparentes a medida - normalmente se hacen una para la arcada superior y otra para la inferior.
Toma una jeringa de gel blanqueador y dispensa una gotita de gel dentro de cada compartimento de la férula correspondiente a cada diente frontal. ¡Ojo! Aquí menos es más: no por poner más gel tus dientes blanquearán más rápido, al contrario, el exceso suele salirse al colocar la férula y puede irritar encías o garganta.
Coloca la férula con cuidado sobre tus dientes, presionando ligeramente para que se ajuste bien y el gel se esparza por la superficie. Si notas que sobresale gel por los bordes, limpia ese exceso inmediatamente con una gasa o tu dedo envuelto en papel, para que no quede gel sobre la encía.
Por lo general, se recomienda llevar puestas las férulas con el gel entre 4 y 6 horas al día. Muchos pacientes optan por usarlas durante la noche al dormir, ya que así cumplen el tiempo sin interrumpir sus actividades diarias. La duración total del tratamiento varía: habitualmente de 2 a 4 semanas de uso diario.
Una vez completado el periodo indicado (ej. 4 semanas), se hace una revisión final en la clínica. Allí comparamos el color inicial y final de tus dientes (¡te sorprenderá la diferencia!), verificamos que todo esté en orden y te damos recomendaciones para mantener tu nueva sonrisa.
Tras cada uso (por ejemplo, al levantarte si las usaste de noche), retira las férulas y enjuaga tu boca con agua tibia. No ingieras restos de gel; escupe el agua de enjuague. Luego lava las férulas suavemente solo con agua fría o tibia (no uses agua caliente, podría deformarlas) y un cepillo de dientes suave, sin pasta dentífrica, para eliminar residuos de gel. Enjuágalas bien y guárdalas en su estuche.

Resultados del Blanqueamiento Dental con Férulas
Esta es la gran pregunta que todos tenemos: “¿Lograré la sonrisa blanca que deseo?”. Por lo común, se consigue aclarar de 2 a 4 tonos en la escala de color dental. Hay casos en que el cambio ha sido de hasta 5-6 tonos en dientes muy amarillos, pero no todos alcanzaremos ese nivel.
Si tus dientes ya están relativamente blancos, el cambio será más sutil (por ejemplo, de un blanco amarillento a un blanco más luminoso). En dientes con manchas de café/tabaco, suele notarse muchísimo la diferencia al remover esas pigmentaciones.
Aproximadamente a la primera semana ya empiezas a notarlo. Al mirarte cada día quizás el cambio es gradual y no te sorprende, pero si comparas con la foto inicial o alguien que no te veía hace días te dice “¡qué dientes más blancos!”, te darás cuenta. El pico del blanqueamiento suele lograrse tras 3-4 semanas de uso continuo.
Aquí debemos ser claros: ningún blanqueamiento es permanente de por vida. Con el tiempo, los dientes pueden oscurecerse ligeramente de nuevo, sobre todo si vuelves a exponerlos a agentes que manchan (como café, vino tinto, tabaco) o simplemente por el envejecimiento natural del diente.
Muchos pacientes mantienen un tono mucho más claro que el original durante 1 a 3 años antes de notar que necesitan un repaso. La buena noticia es que este retroceso se puede combatir fácilmente con sesiones de mantenimiento: muchas clínicas ofrecen una o dos aplicaciones de refuerzo al año, o el uso de una jeringa de gel durante algunos días cuando notes la necesidad.
Absolutamente sí, si el tratamiento está bien planificado. El dentista te ayudará a escoger un tono objetivo que armonice con tu sonrisa y tez. El objetivo es una mejora estética notable pero creíble.
Debo mencionar que hay tipos de pigmentación difíciles de eliminar por completo con blanqueamiento. Por ejemplo, los dientes manchados por tetraciclinas (un antibiótico) o con coloraciones grises por trauma pueden resistirse al cambio; pueden mejorar, sí, pero tal vez no lleguen al tono deseado y requieran tratamientos alternativos (como carillas).
Seguridad del Blanqueamiento Dental Casero
Esta es otra preocupación muy entendible: “¿Me puede hacer daño en los dientes?”. La respuesta breve es sí es seguro, siempre y cuando se realice bajo las condiciones adecuadas. Como ya mencioné, el efecto adverso más común es la sensibilidad en dientes o encías durante el tratamiento. Puede ocurrirle a aproximadamente la mitad de las personas en algún grado.
Para minimizarla, los dentistas recomendamos: usar pasta dental para ...
Experiencias de Usuarios
La adaptación, siguiendo las instrucciones fue rápida y sencilla y la primera noche, he dormido perfectamente sin que me haya molestado. Está claro que la opción de comprarles la férula a ustedes en contraposición a que me la provea el dentista, no tiene color. Al final es un dispositivo que debe impedir el entrechocado de dientes de tal forma que no sea muy molesto.
Su férula cumple satisfactoriamente esta función, y la diferencia económica entre una u otra opción, en mi caso supera ampliamente los 200 €, así que la cosa está clara. Yo he usado otras férulas blandas pero que no se adaptaban a mi boca y las típicas de los dentistas que no las soportaba. Me roza en la encía superior.