Las carillas dentales son láminas delgadas que se adhieren a la superficie frontal de los dientes para mejorar su apariencia. Cubren imperfecciones como manchas, desgaste, malformaciones y mejoran el tamaño, la forma y el color de los dientes. Requieren un proceso de colocación y, con el cuidado adecuado, duran años.

Grosor de las Carillas Dentales
Las carillas dentales de porcelana y composite suelen tener un grosor que oscila entre 0,3 y 0,7 mm, pero este puede variar según el caso y dependerá principalmente del color de los dientes y del tono deseado. Es fundamental buscar la orientación de un especialista para definir el grosor adecuado.
Tipos de Carillas Dentales
Las carillas dentales pueden ser de dos materiales principales:
- Composite: Se aplican directamente en la clínica dental y pueden transformar tu sonrisa en solo una o dos visitas, dependiendo de la complejidad del caso.
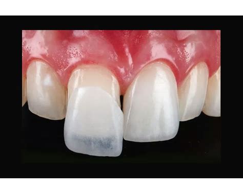
- Porcelana (Cerámica): Son pequeñas láminas de porcelana, que se hacen a medida, y que se pegan sobre las piezas dentales.
«Carillas de porcelana» y «carillas de cerámica» a menudo se usan indistintamente para referirse a carillas que están hechas de cerámica dental, o sea son lo mismo.

Ventajas de las Carillas de Cerámica
Las carillas de cerámica tienen varias ventajas y beneficios en comparación con otros tratamientos de estética dental:
- Aspecto natural: Se asemejan a los dientes naturales, imitando la textura y el brillo de los dientes reales.
- Durabilidad: Pueden durar de 15 a 20 años o más, siempre y cuando reciban un cuidado adecuado.
- Resistencia a las manchas: La cerámica utilizada es resistente a las manchas y no se decolora fácilmente con el tiempo.
- Mínima eliminación del esmalte dental: Requieren una eliminación mínima del esmalte dental, conservando la mayor cantidad posible de su estructura dental natural.
- Proceso rápido y sencillo: El proceso de colocación es relativamente rápido y sencillo, generalmente necesitando solo dos visitas al dentista.
¿Cuándo son Ideales las Carillas Dentales?
La decisión de si es un buen candidato para las carillas dentales dependerá de varios factores, como el estado actual de sus dientes y sus necesidades estéticas. En general, las carillas dentales pueden ser una buena opción si tiene:
- Dientes manchados o descoloridos.
- Dientes desalineados o ligeramente torcidos.
- Dientes astillados, rotos o desgastados.
- Espacios entre los dientes.
No obstante, si tiene problemas dentales graves, como caries, enfermedad periodontal o dientes débiles, primero se deben tratar estos problemas antes de considerar las carillas dentales. Además, si usted tiene hábitos como apretamiento o rechinamiento de los dientes, su odontólogo puede recomendar otros tratamientos antes de considerar las carillas dentales.
Provenza Clínica Dental - Todo lo que necesitas saber sobre las carillas dentales
Carillas vs. Otros Tratamientos
Es importante diferenciar las carillas de otros tratamientos:
- Carilla vs. Corona: La carilla cubre solamente la cara visible del diente, mientras que la corona cubre todo el diente (360º). Las carillas son más conservadoras y se usan para mejorar la apariencia o pequeños defectos, mientras que las coronas se usan cuando los dientes están más debilitados o destruidos.
- Invisalign vs. Carillas: Invisalign y carillas dentales tienen distintos objetivos de tratamiento. Mientras que las carillas mejoran la forma y color de los dientes, Invisalign busca corregir la mordida y alinear los dientes.
Existen opciones alternativas como el blanqueamiento y la ortodoncia. Una permite mejorar el color, la otra el alineamiento de las piezas dentales. Sin embargo, no cambian su forma o tamaño.
Colocación de Carillas Dentales
La colocación de las carillas es un procedimiento odontológico minucioso que se realiza en varias etapas para garantizar un ajuste perfecto y una adhesión duradera.
- El proceso de preparación comienza con la eliminación de una pequeña cantidad de esmalte para crear espacio para la carilla.
- Luego, se toma una impresión dental para crear una carilla personalizada.
- Antes de la adhesión, el diente debe estar limpio y preparado para recibir la carilla.
- Antes de la colocación definitiva, se prueban las carillas temporales o definitivas para comprobar el color, la forma y la alineación.
- Una vez que la carilla está adherida al diente, el odontólogo elimina cualquier exceso de cemento y realiza los ajustes necesarios en la mordida.
Costos de las Carillas Dentales en España
El costo de las carillas dentales depende del material utilizado y del tipo de caso.
| Tipo de Carilla | Precio (por diente) |
|---|---|
| Composite | 300 - 1000 euros |
| Porcelana | 500 - 1500 euros |
El precio del Hollywood Smile en España varía según el material y si se hace solo los dientes superiores o también los inferiores. El precio puede oscilar entre 2.000 y 30.000 euros.
La fabricación de carillas de porcelana requiere más tiempo y habilidad, lo que puede afectar el precio. Es importante consultar con un dentista para obtener un presupuesto personalizado.
El precio de las carillas dentales no incluye el mantenimiento posterior, por lo que es fundamental mantener una buena higiene oral y visitar al dentista regularmente para garantizar su durabilidad.
Financiamiento y Seguros
En España, las clínicas dentales ofrecen planes de financiamiento para carillas dentales que permiten dividir el costo en pagos mensuales. Estos planes varían según la clínica y la cantidad de carillas necesarias.
La mayoría de los seguros dentales no cubren el costo total de las carillas dentales. Sin embargo si se hacen por motivos de salud algunos seguros pueden cubrir el tratamiento.
Mantenimiento de las Carillas Dentales
El cuidado adecuado es esencial para prolongar la vida útil de las carillas dentales.
- Mantén una higiene bucal adecuada - Recuerda cepillarte los dientes después de cada comida para evitar la formación de placa bacteriana.
- Si las carillas de cerámica se colocan correctamente y se siguen los cuidados necesarios, pueden durar entre 10 y 15 años.
- Para prolongar su duración, es importante seguir las recomendaciones del especialista.
Después de colocar carillas dentales, es posible experimentar una sensibilidad temporal que normalmente dura unos días o semanas. La duración de la sensibilidad varía y depende de la cantidad de preparación dental necesaria. Es importante seguir las recomendaciones y evitar alimentos y bebidas frías o calientes durante este tiempo.
Posibles Complicaciones
Las complicaciones más frecuentes de las carillas de composite son la tinción y fractura. Las carillas de porcelana la sensibilidad dentaria puede ocurrir durante los primeros días. Estas carillas son más resistentes a fracturas o astillamiento y no se decoloran con el tiempo.
¿Cómo Elegir un Buen Dentista para Carillas?
Para elegir un buen dentista para carillas, busque un profesional con experiencia y formación. Verifique su trabajo por intermedio de fotografía y las opiniones de los pacientes anteriores. Programe una consulta para discutir sus expectativas y asegurarse de sentirse cómodo con el dentista y su equipo.