La salud bucal es esencial para tener una vida plena y saludable. Una sonrisa radiante no solo mejora nuestra autoestima y confianza, sino que también es una señal de buena salud. Las carillas dentales son una solución estética que permite mejorar la apariencia de los dientes en poco tiempo.
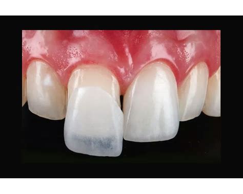
Las carillas dentales son unas finas láminas que se adhieren a la superficie frontal (visible) de los dientes con el objetivo de mejorar su apariencia. Estas láminas pueden estar hechas de diferentes materiales, como la porcelana, el composite o el disilicato de litio, y se diseñan a medida de cada paciente.

¿Qué son las carillas dentales?
Las carillas dentales son láminas ultrafinas de porcelana o resina que se colocan en la parte visible del diente natural para mejorar su apariencia. Se adaptan perfectamente a la pieza dental y se fijan con una resina especial, logrando un resultado muy natural y duradero. Sin duda, son una opción ideal para aquellos que buscan mejorar la estética de la sonrisa de forma rápida y efectiva.
Su principal objetivo es mejorar el aspecto de los dientes, ya sea para modificar su tamaño, color, forma o posición. Por tanto, tienen una finalidad puramente estética.
¿Para qué sirven las carillas dentales?
Las carillas dentales sirven para corregir pequeños defectos que afectan al color, el tamaño, la forma o la posición de los dientes. Entre las imperfecciones que pueden solucionar podemos destacar las siguientes:
- Dientes amarillos o con manchas
- Desgastes en el esmalte
- Diastemas (espacios entre los dientes)
- Leves malposiciones dentales
- Fisuras o fracturas
En cualquiera de los casos anteriores es necesario que el odontólogo realice una valoración del paciente para determinar si las alteraciones de sus dientes pueden ser corregidas con carillas.
¿Cuándo es recomendable ponerse carillas en los dientes?
A continuación, te detallamos los casos concretos en los que puede resultar recomendable ponerse carillas para mejorar la apariencia de la sonrisa:
- Dientes amarillos o con manchas: las carillas se pueden utilizar en pacientes que presentan dientes amarillos, decolorados o con manchas. Esto puede deberse a distintas circunstancias (alimentación, tabaco, envejecimiento, fluorosis, consumo de tetraciclinas…).
- Resistencia al blanqueamiento dental: las carillas son un excelente complemento al blanqueamiento. Cuando las tinciones son muy severas, el blanqueamiento puede no ser capaz de eliminarlas por completo. Por tanto, en muchos casos resulta recomendable ponerse carillas en los dientes después del blanqueamiento.
- Dientes desalineados: las carillas también pueden ofrecer un buen resultado estético a los pacientes que tienen ligeras malposiciones dentales, ya que en ocasiones permiten disimularlas. Eso sí, hay que tener en cuenta que para corregir la mayoría de las maloclusiones dentales es necesario recurrir a la ortodoncia.
- Dientes con formas o tamaños irregulares: las carillas se utilizan para corregir pequeños defectos que afectan a la forma de los dientes. Por ejemplo: unos caninos (colmillos) demasiado puntiagudos, un diente más pequeño de lo normal, etc.
- Diastemas: las carillas también están recomendadas para disimular los diastemas o espacios entre los dientes.
- Dientes desgastados: las carillas se pueden colocar en dientes que presentan desgastes en el esmalte. Esto puede tener su origen en una mordida inadecuada o en el bruxismo. Sin embargo, en estos casos suele ser necesario utilizar ortodoncia o colocar una férula de descarga previamente, dependiendo del caso. De no hacerlo, los desgastes volverán a aparecer.
- Dientes fisurados o fracturados: las carillas también pueden estar indicadas en determinados casos de fisuras o fracturas leves en los dientes.
Tipos de carillas dentales
Existen varios tipos de tratamiento con carillas dentales disponibles para satisfacer las necesidades de cada paciente. Cada una de ellas tiene sus ventajas, y la elección dependerá del caso concreto y las necesidades del paciente.
En las clínicas Smysecret contamos con dos tipos de carillas dentales:
- Carillas mínimamente invasivas
- Carillas de composite
Además, podemos clasificarlas según el material con el que están fabricadas:
- Carillas dentales de composite
- Carillas dentales de porcelana o cerámica
- Carillas dentales de zirconio
Carillas dentales de composite: Están hechas de una resina sintética que se adhiere a la superficie de la pieza dental del paciente con un adhesivo especial. Son ideales para corregir pequeñas imperfecciones y para aquellos que buscan una solución más temporal o menos invasiva.
Carillas dentales de porcelana o cerámica: Son las más populares y de mayor calidad. Están hechas de una cerámica extremadamente resistente y duradera y se adhieren a la superficie del diente utilizando un cemento especial. Las carillas de porcelana son muy resistentes a las manchas y al desgaste, y proporcionan un resultado muy natural y armonioso.
Carillas de zirconio: Son una alternativa más reciente y se están convirtiendo en una opción popular entre los pacientes. Están hechas de una cerámica de alta resistencia, el zirconio, y proporcionan un resultado muy natural y duradero.
Carillas mínimamente invasivas
Estas carillas están fabricadas con disilicato de litio, un material que se caracteriza por su alta calidad, resistencia y naturalidad. El principal beneficio de las carillas de mínima invasión es que su proceso de planificación, diseño y fabricación es guiado y 100% digital.
Este protocolo disminuye el tiempo total de tratamiento, reduce el margen de error humano y permite que el tallado del esmalte sea mínimo (similar al grosor de un cabello). Por tanto, las carillas mínimamente invasivas requieren muy poca o ninguna preparación del diente antes de su colocación. Esto significa que el esmalte dental no se altera significativamente, lo que las convierte en una opción menos agresiva para el diente. Esto contrasta con el protocolo seguido en las tradicionales carillas de porcelana, que requieren un tallado mayor del diente.
Carillas de composite
Estas carillas están confeccionadas con composite, un tipo de resina que cuenta con tres cualidades: se adhiere al diente, es moldeable y permite imitar una infinidad de tonos.
Las principales ventajas de las carillas de composite son su proceso de colocación sencillo, que no requieren tallar los dientes y su precio. El composite se aplica directamente sobre el diente, normalmente en una única sesión. Son más económicas que las carillas de porcelana o disilicato de litio, pero también suelen durar menos tiempo.
¿Qué tipo de carillas dentales es mejor para ti: porcelana o composite? - Clínica Ruiz de Gopegui
Procedimiento para colocar las carillas dentales
Dado que existen distintos tipos de carillas dentales, cada una de ellas sigue un protocolo de colocación específico. Sin embargo, todas comparten los principales pasos del proceso.
- Estudio bucodental completo: consta de una exploración oral y la realización de radiografías (panorámicas y periapicales) y fotografías (intraorales y extraorales).
- Preparación de los dientes: con algunas carillas hay que realizar una mínima reducción del esmalte dental. Este paso suele ser necesario en las carillas de porcelana, pero no en las de composite.
- Toma de impresiones: tras preparar los dientes, en el caso de que haya que hacerlo, se toman medidas de los mismos para confeccionar las carillas de manera personalizada.
- Fabricación de las carillas: la confección puede realizarse directamente en la clínica dental (en el caso de las de composite) o encargarse al laboratorio (en el caso de las de disilicato de litio).
- Colocación de las carillas: en función del proceso de confección, la técnica de colocación también varía. Las carillas de composite se crean directamente sobre el diente, en una sesión en la clínica dental. En cambio, las carillas mínimamente invasivas (disilicato de litio) se fabrican en el laboratorio y posteriormente se colocan en la clínica dental.

Precios de las carillas dentales
El precio de las carillas puede variar en función del material, la cantidad de dientes tratados y la complejidad del caso.
No obstante, para tener una idea aproximada del presupuesto, el precio medio de las carillas de composite es de 295 euros por diente. Es importante destacar que estos precios son aproximados y que el coste final dependerá de cada caso particular y del número de dientes a tratar.
A continuación, puedes ver los precios de las carillas dentales:
| Número de carillas | Precio | Notas |
|---|---|---|
| 6 carillas | 1.107€ | Pago único, 1ª cita gratis, estudio de sonrisa sin compromiso, férula de descarga no incluida |
| 8 carillas | 1.396€ | Pago único, 1ª cita gratis, estudio de sonrisa sin compromiso, férula de descarga no incluida |
| 10 carillas | 1.671€ | Pago único, 1ª cita gratis, estudio de sonrisa sin compromiso, férula de descarga no incluida |
Ventajas de las carillas dentales
Las principales ventajas de las carillas dentales son las siguientes:
- Versatilidad: Las carillas son muy versátiles ya que permiten corregir múltiples problemas que afectan al aspecto estético de los dientes.
- Mejora de la estética: Al corregir los pequeños defectos de los dientes, las carillas dentales aportan a la sonrisa un aspecto más saludable, juvenil, cuidado y armónico.
- Mínimamente invasivas: Este es uno de los grandes beneficios que ofrecen algunas carillas actuales. Por ejemplo, las de composite no necesitan tallado.
- Mantenimiento sencillo: En términos generales, podemos decir que las carillas dentales no requieren cuidados difíciles o especiales. Es necesario mantener una buena higiene oral, tener precauciones al comer alimentos duros y acudir al dentista entre una y dos veces al año.
Además, en la mayoría de los casos será necesario usar una férula de descarga para dormir. Esto ayudará a proteger las carillas de los desgastes y contribuirá a que duren más tiempo.
¿En qué casos no están recomendadas las carillas dentales?
A pesar de que las carillas están recomendadas en una gran cantidad de situaciones, lo cierto es que también presentan alguna contraindicación. Las más relevantes son las siguientes:
- Mordida borde a borde: en este tipo de mordida, los dientes superiores chocan directamente contra los inferiores cuando la persona cierra la boca. Es decir, los dientes superiores no quedan por delante de los inferiores, como ocurre en una oclusión correcta. La mordida borde a borde, por tanto, provoca que las carillas se rompan y se caigan. En estas situaciones, al igual que en otros casos de maloclusión, será necesario recurrir a la ortodoncia antes de colocar las carillas.
- Bruxismo que no recibe tratamiento: algo parecido sucede con el hábito de apretar y/o rechinar los dientes. Los pacientes con bruxismo tienden a presentar grandes desgastes en sus piezas dentales, lo que las debilita y hace más propensas a fracturas.
- No contar con una adecuada higiene bucodental: No contar con una adecuada higiene bucodental no solamente es perjudicial para la salud dental, sino también para usar carillas dentales. La acumulación de sarro conlleva la aparición de inflamaciones en las encías o filtraciones.