La mordida profunda, también conocida como sobremordida, es un problema de maloclusión en el que los dientes superiores cubren excesivamente a los inferiores. En este artículo, exploraremos las causas, consecuencias y los diversos tratamientos disponibles para corregir esta condición, así como su relación con el bruxismo.

¿Qué es la Mordida Profunda?
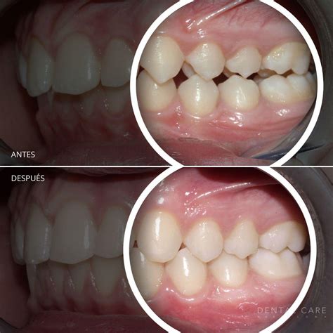
La mordida profunda es una clase de sobremordida donde el maxilar superior está más adelantado que los dientes de abajo. Esto hace que los dientes superiores cubran por completo o casi en su totalidad a los inferiores cuando sonríes o tienes la boca cerrada. Se considera así si los dientes de arriba sobrepasan por 4 mm los de abajo cuando cierras la boca. Es una maloclusión, es decir, una mala alineación entre los dientes superiores e inferiores.
¿Cuánto es el Overbite Normal?
El overbite o sobremordida es la distancia entre el borde del incisivo central superior e inferior en sentido vertical. El overbite considerado normal tiene el incisivo superior sobrepasando aproximadamente 1/3 al incisivo inferior.
También, debemos destacar que los términos “sobremordida inferior” y “overbite negativo” no son los más académicos, pero coloquialmente se utilizan mucho. La manera correcta de nombrar a este tipo de maloclusión dental es el de mordida cruzada anterior.
Causas de la Mordida Profunda
La mordida profunda puede ser causada por una variedad de factores, que incluyen:
- Causas Genéticas: En ocasiones, una de las causas de la sobremordida son los factores hereditarios familiares. La causa más común se debe a que la mandíbula inferior (o maxilar) es pequeña.
- Hábitos Infantiles: Usar chupete por un tiempo prolongado, chuparse el dedo durante la etapa de desarrollo de la mandíbula.
- Problemas de Desarrollo: Complicaciones en la formación de los maxilares.
- Factores Adicionales: Dientes faltantes, lesiones en la mandíbula, mandíbula pequeña. Incluso la mordida profunda puede surgir por una mordida muy fuerte desarrollada por rechinar o apretar la mandíbula. Otra de las razones puede ser que la boca no tenga suficiente espacio para los dientes permanentes.
Patrones Faciales y Mordida Profunda
El patrón braquifacial de crecimiento de la estructura facial (patrón de cara más ancha y corta que no alargada) es el que más se relaciona con la mordida profunda. Normalmente, estos patrones son maloclusiones de clase II, tanto dental como esquelética.
Consecuencias de la Mordida Profunda
Tal como hemos mencionado anteriormente, dejar de tratar esta maloclusión puede provocar problemas de salud en la edad adulta, dependiendo de su gravedad.
- Trastornos en la Masticación: Que podrían dañar dientes y encías.
- Problemas en la Respiración: Que podrían causar problemas como insuficiente respiración nasal y excesiva respiración oral.
- Alteraciones en la Oclusión: Que podrían afectar a la buena relación entre los huesos maxilar superior e inferior.
- Problemas en la Articulación Temporomandibular o ATM: Entre ellos, dolor al masticar o morder.
- Alteraciones Estéticas: Es decir, en la apariencia de la cara y/o en la sonrisa.
- Aumento de caries debido al apiñamiento dental.
- Enfermedades periodontales por la dificultad de higiene.
- Desgaste dental y bruxismo debido a la presión excesiva.
- Dificultades en la pronunciación.

Tratamientos para Corregir la Mordida Profunda
Existen diferentes tratamientos para corregir o mejorar la mordida profunda. Dependiendo de factores como las causas que la originan, el nivel de la maloclusión y la edad del paciente se aplican unos u otros correctivos.
Ortodoncia
En casos de adultos y adolescentes con mordida adelantada, la ortodoncia es una alternativa para corregirlo o, por lo menos, disminuir las consecuencias de este problema. El ortodoncista puede recomendar el uso de brackets o Invisalign dependiendo de la complejidad del caso y las necesidades del paciente.
Los Brackets tradicionales son la opción más común para tratar la sobremordida. Bien sean de metal o cerámica, los brackets con alambres finos ayudan a mover los dientes a la posición ideal. Una vez que se alinean los dientes, se empieza a corregir la sobremordida. Se usan las ligas y otros elementos para ayudar a mejorar la posición de la mandíbula.
Ortodoncia Interceptiva en Niños
Si detectan mordida profunda en un niño y quieren corregirla a temprana edad, el tratamiento que se aplica con frecuencia es la ortodoncia interceptiva. Este tipo de ortodoncia abarca todos los aparatos dentales que se colocan en niños de 6 a 11 años aproximadamente. Pero, a diferencia de la ortodoncia común, la interceptiva no corrige la posición de los dientes, sino que ayuda a que el hueso del maxilar se desarrolle de la mejor forma.
Por lo tanto, ya sea con ortodoncia interceptiva o con ortodoncia fija, dependerá del grado y tipo de mordida profunda y de la edad del paciente.
Alineadores (Invisalign)
Los alineadores de Invisalign son un tipo de ortodoncia invisible. Son una excelente alternativa para corregir la mordida profunda. Se cambian los alineadores a medida que los dientes se van moviendo a la posición deseada. Los alineadores tienden a corregir el problema más rápido que los brackets, porque van moviendo todos los dientes juntos, en lugar de uno por uno.
Pero Invisalign no es tan efectivo cuando se trata se sobremordidas severas. Si usas alineadores para corregir la sobremordida es importante que sigas las indicaciones del ortodoncista sobre su utilización y que los limpies con regularidad.
MORDIDA PROFUNDA / NO SE VEN MIS DIENTES ABAJO / TRATAMIENTO DE LA SOBREMORDIDA VERTICAL
Cirugía Ortognática
La cirugía ortognática o cirugía de corrección de la mandíbula permite corregir la mordida profunda cuando esta es producida por una maloclusión de origen esquelético. Este tratamiento solo aplica en adultos que no pudieron corregir sus problemas en la mandíbula a temprana edad. Con la cirugía de mandíbula se corrigen la proyección y forma de esta. En algunos casos se retrasa el maxilar superior y en otros se adelante el inferior.
Extracción Dental
En algunos casos en donde los niños, además de mordida profunda, presentan apiñamientos tempranos es necesario extraer una o varias piezas para generar más espacio en la boca y que los dientes se acomoden mejor y la mandíbula se desarrolle con normalidad.
Técnica de Vailati
Esta técnica, también denominada la “Técnica de los Tres Pasos”, ha sido diseñada por la Dra. Vailati desde la Universidad de Ginebra. La técnica Vailati es una alternativa al tratamiento tradicional para tratar los casos de bruxismo o de erosión por ácidos. Hasta ahora, en estos casos se utilizaba siempre un tratamiento mediante coronas.
La primera fase consiste en recuperar la dimensión vertical perdida mediante incrustaciones de composite (resina compuesta), o alguna corona ceramo-metálica si algún diente está endodonciado o muy destruido. Es un tratamiento complejo, que necesita recibir las fuerzas de la masticación de forma equilibrada para que no se produzcan problemas.
Bruxismo y Mordida Profunda
El bruxismo, según Karolyi 1902 indicó “todos los seres humanos en algún periodo de su vida ejercían fuerzas anormales en su sistema masticatorio”. Los movimientos anormales y repetitivos del bruxismo se pueden presentar durante el sueño o durante el día.
Una de las teorías que sustenta las causas del bruxismo es la maloclusión, estado que resulta en reducción del tono de los músculos masticatorios detonando los receptores periodontales.
Tratamiento del Bruxismo
Para reducir los efectos nocivos del bruxismo, se ha planteado el uso de diferentes aparatos interoclusales como protectores bucales blandos o férulas de estabilización oclusal duras.
Levantamiento de Mordida
El levantamiento de mordida es una técnica que se utiliza para desbloquear la oclusión, evitar que los dientes superiores choquen con los inferiores o conseguir un mayor beneficio transversal de las arcadas. Su objetivo es abrir la mordida, provocando la desoclusión en la región anterior.
Una forma muy común de realizar levantes posteriores, probada por mucho ortodoncistas, es utilizando resina fotopolimerizable monocomponente con liberación de flúor. La resina fotopolimerizable puede permanecer en boca aproximadamente 8 meses.
El levante de mordida anterior se realiza en las caras palatinas de los incisivos centrales superiores, provocando una abertura de mordida posterior. Esto permite la extrusión de los molares y premolares, nivelando la curva de Spee inferior.
Caso Clínico: Rehabilitación Oral en Paciente con Bruxismo
Paciente hombre diagnosticado con bruxismo, edad 53 años edéntulo parcial superior con pérdida de piezas dentarias 25, 26 ausencia de guías caninas, facetamiento generalizado en dientes posteriores superiores e inferiores, cúspides céntricas y excéntricas, alteración de dimensión vertical. Disminución del espacio inter articular, cambio morfológico de superficie en cóndilos.
Se elaboraron encerados funcionales y diagnósticos en relación céntrica, trabajo por sectores: uno canino a canino mandibular, dos canino a canino maxilar, tres de premolar a molar mandibular, cuatro de premolar a molar maxilar. Tallado de dientes, provicionalización sector 1 y 2 por 21 días.
Estabilizada oclusión se procede a toma de impresiones de mandíbula para elaboración de onlays, overlays y coronas de disilicato de litio en mandíbula, colocación de implantes trabecular con guía quirúrgica digital (Zimmers 3.70 × 11,5 oseointegración 21 días).
Se consiguió como resultados determinación de contactos oclusales óptimos simultáneos bilaterales, oclusión en relación céntrica, dimensión vertical y guías caninas adecuadas.

Conclusión
La mordida profunda es una condición tratable que puede tener un impacto significativo en la salud y la estética dental. Con un diagnóstico temprano y un plan de tratamiento adecuado, es posible corregir la mordida profunda y mejorar la calidad de vida del paciente.
tags: #levantamiento #de #mordida #por #bruxismo