Elegir entre un cepillo eléctrico o manual es una de las dudas más frecuentes cuando se trata del cuidado dental. Seguramente te has preguntado si deberías cambiarte al cepillo eléctrico, ya sea por recomendación de tu dentista o porque familiares y amigos ya lo utilizan.

No hay una única respuesta sobre cuál es mejor, ya que la efectividad del cepillado depende más de la técnica que del tipo de cepillo. En este artículo, exploraremos las ventajas y desventajas de cada uno, basándonos en estudios y recomendaciones de expertos en salud dental.
Ventajas de los Cepillos Eléctricos
El cepillo eléctrico ha ganado popularidad en los últimos años debido a su tecnología avanzada y su facilidad de uso. Diversos estudios demuestran que los cepillos eléctricos pueden ser más eficaces en la eliminación de la placa bacteriana, especialmente en personas con dificultades para realizar un cepillado manual adecuado.
La principal ventaja que presentan los cepillos eléctricos es que eliminan la placa bacteriana de una forma más eficaz, evitando caries y enfermedades gingivales. Los cepillos eléctricos utilizan movimientos oscilatorios, rotatorios o sónicos que facilitan la eliminación de la placa bacteriana y los restos de alimentos. Además, propician un cepillado dental más fuerte y efectivo y permiten llegar a zonas más difíciles de nuestra boca.

Sin duda, es la herramienta más adecuada para realizar una limpieza en profundidad de las encías. El cepillo eléctrico favorece un mayor blanqueamiento de los dientes, lo que no garantiza el cepillo manual, y evita un desgaste del esmalte porque la presión que se ejerce sobre los dientes está controlada. Además, la mayoría de los cepillos eléctricos incluyen un temporizador incorporado que indica cuándo se ha cumplido el tiempo recomendado de cepillado (2 minutos).
Además, estudios elaborados por el Consejo General de Dentistas afirman que las personas que utilizan el cepillado eléctrico emplean entre un 20% y un 40% más de tiempo en su higiene dental.
Beneficios Adicionales
- Para personas con ortodoncia: Los aparatos de ortodoncia, como los brackets, pueden dificultar la eliminación de la placa bacteriana y los restos de alimentos. El cepillo eléctrico es una excelente opción para personas con ortodoncia.
- Para personas con movilidad reducida: El cepillo eléctrico es una excelente opción para personas con artritis, enfermedades neuromusculares o discapacidades que limitan el movimiento de las manos.
Desventajas de los Cepillos Eléctricos
Uno de los principales inconvenientes del cepillo eléctrico es su costo inicial más alto en comparación con un cepillo manual. Además, el cepillo eléctrico necesita baterías recargables o pilas para su funcionamiento.
Otra de las contraindicaciones del cepillo eléctrico es su uso por parte de personas con encías muy sensibles. Los primeros funcionaban a pilas.
Ventajas de los Cepillos Manuales
El cepillo manual ha sido la herramienta de higiene bucal más utilizada durante décadas. A pesar de la creciente popularidad de los cepillos eléctricos, muchas personas siguen prefiriendo este método tradicional por su accesibilidad y facilidad de uso. Una de las principales razones por las que el cepillo manual sigue siendo una opción popular es su bajo costo. Los cepillos manuales son más ligeros y fáciles de transportar, mientras que los eléctricos ofrecen mayor comodidad en el agarre.
Si una persona domina correctamente la técnica de cepillado manual, puede obtener resultados similares a los de un cepillo eléctrico. El cepillo manual permite a los usuarios controlar la presión y la dirección del cepillado. Además, el cepillo manual es una alternativa más económica y práctica, ya que no requiere batería ni electricidad, y puede usarse en cualquier momento y lugar.

Desventajas de los Cepillos Manuales
A diferencia del cepillo eléctrico, que automatiza el movimiento de limpieza, el cepillo manual depende completamente de la técnica del usuario. Muchas personas tienden a aplicar demasiada presión al cepillarse con un cepillo manual, lo que puede provocar desgaste del esmalte dental y retracción de encías. Sin embargo, para que sea realmente efectivo, es fundamental emplear una técnica adecuada.
Técnica de Cepillado Manual
Si tienes una buena técnica manual, un cepillo tradicional puede ser suficiente. El cepillo manual sigue siendo una opción válida y efectiva para la higiene bucal, siempre que se use con una técnica adecuada y sin aplicar demasiada fuerza.
Estudios Comparativos
La elección entre un cepillo eléctrico o manual no solo se basa en preferencias personales, también en la evidencia científica sobre su efectividad en la higiene bucodental. Diversos estudios han comparado ambos tipos de cepillos para determinar cuál es mejor eliminando la placa bacteriana y en la prevención de enfermedades bucales. La placa bacteriana es la principal causa de caries y enfermedades en las encías. La gingivitis es la inflamación de las encías causada por la acumulación de placa bacteriana.
Conclusión general: La ciencia respalda que los cepillos eléctricos pueden ofrecer una mejor eliminación de placa y prevención de la gingivitis en comparación con los manuales.
Cepillos dentales eléctricos, valen la pena? 🤔
Consideraciones Adicionales
Los dentistas coinciden en que el factor más importante no es el tipo de cepillo, sino la técnica y la constancia en la higiene bucodental. Elegir entre un cepillo eléctrico o manual depende de las necesidades individuales de cada persona. Mientras que algunos se benefician de la tecnología y facilidad de uso del cepillo eléctrico, otros prefieren el control que ofrece un cepillo manual.
¿Qué tener en cuenta?
Para quienes ya tengan esa conciencia, es importante elegir qué sistema se ajusta más a las necesidades de cada paciente. En ausencia de un cepillado efectivo, es indiferente si se usa un cepillo manual o uno eléctrico.
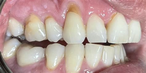
El Desgaste en Forma de Media Luna
Un problema notable observado en algunos usuarios de cabezales de cepillos eléctricos es el desgaste en forma de media luna en los cuellos dentales. Esta observación fue reportada por los doctores Gérard Rey y Patrick Missika en su obra de referencia, "Tratamientos periodontales y láser en la práctica dental general. La simplicidad eficaz".

La figura 13 muestra que el desgaste en media luna de estos cuellos dentales es consecuencia de un uso agresivo de un cepillo de oscilación rotativa.
Recomendaciones Finales
Ambos tipos de cepillos pueden proporcionar una excelente higiene bucal si se usan correctamente. El cepillo eléctrico es la mejor opción para personas con ortodoncia, encías sensibles o movilidad reducida.
En definitiva, el Colegio de Odontólogos y Estomatólogos de Alicante (COEA) recomienda siempre consultar a nuestro dentista de confianza si tenemos cualquier duda sobre qué cepillo es el mejor para nuestros dientes.
Tabla Comparativa
| Característica | Cepillo Eléctrico | Cepillo Manual |
|---|---|---|
| Eficacia en la eliminación de placa | Generalmente más eficaz | Eficaz con buena técnica |
| Costo | Más caro | Más económico |
| Facilidad de uso | Más fácil, especialmente para personas con limitaciones | Requiere buena técnica |
| Control de presión | Sensores de presión en modelos avanzados | Depende del usuario |
| Portabilidad | Menos portátil (requiere carga) | Más portátil |
| Beneficios adicionales | Temporizador, modos de limpieza, conectividad | Ninguno |