En el mundo de la odontología moderna, los avances tecnológicos y los procedimientos innovadores están transformando la forma en que cuidamos nuestra salud bucal. La estética dental juega un papel crucial en nuestra confianza y bienestar general. Además de garantizar una boca sana, muchos tratamientos dentales pueden mejorar la apariencia de nuestra sonrisa.

Salud Bucal Integral: Más Allá de los Dientes Libres de Caries
La salud bucal va más allá de tener dientes libres de caries; implica considerar todos los aspectos de la cavidad oral para lograr una sonrisa saludable y funcional a largo plazo. Incluye tratamientos que van desde blanqueamientos hasta carillas dentales y ortodoncia estética.
Endodoncia: Salvando Dientes y Aliviando Dolor
La endodoncia, comúnmente conocida como tratamiento de conducto, es uno de los procedimientos más efectivos en la odontología moderna para salvar dientes dañados y aliviar el dolor asociado con infecciones o problemas profundos en la estructura dental.
Además, investigando sobre tratamientos de endodoncia, **León-López, María**, junto con otros colegas, han publicado varios estudios relevantes:
- León-López, María, Cabanillas Balsera, Daniel, Martín González, Jenifer, Montero Miralles, Paloma, Sauco Márquez, Juan José, et. al.:Prevalence of root canal treatment worldwide: a systematic review and meta-analysis. En: International Endodontic Journal. 2022.
- León-López, María, Cabanillas Balsera, Daniel, Areal, Victoria, Martín González, Jenifer, Jiménez, Mari Carmen, et. al.:Influence of coronal preflaring on the accuracy of electronic working length determination: systematic review and metaanalysis. En: Journal of Clinical Medicine. 2021.
Estos estudios demuestran la importancia de la investigación continua en el campo de la endodoncia para mejorar las técnicas y los resultados de los tratamientos.

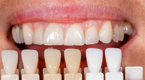
Carillas Dentales: Transformando Sonrisas
La sonrisa es una de las primeras cosas que las personas notan, y una sonrisa brillante y alineada puede aumentar significativamente tu confianza y autoestima. Las carillas dentales se han convertido en una opción popular y efectiva para aquellos que desean mejorar la apariencia de su sonrisa.
El Proceso de Obtener Carillas Dentales: Paso a Paso
Las carillas dentales son una solución estética popular para transformar sonrisas, corrigiendo problemas como dientes descoloridos, astillados, desalineados o con espacios. Si estás considerando mejorar tu sonrisa con carillas dentales, es importante entender el proceso completo y el tiempo que lleva lograr el resultado deseado.
Beneficios de las carillas dentales:
- Corrección de imperfecciones
- Mejora de la estética dental
- Aumento de la confianza

Ortodoncia Infantil: Tratamiento Temprano para un Futuro Saludable
El tratamiento temprano en ortodoncia infantil ha ganado relevancia en los últimos años, especialmente en niños con dentición mixta o primaria. Esta técnica puede evitar largos tratamientos futuros y mejorar el desarrollo dental en edades tempranas.
El Dr. FAS Kids es una férula funcional diseñada específicamente para niños de entre 5 y 12 años con dentición mixta o primaria. Desarrollado por Forestadent, este sistema se aleja de los alineadores tradicionales, pues está orientado a mantener o restaurar el equilibrio funcional en la boca del niño, en lugar de centrarse solo en el alineamiento de los dientes.
El tratamiento temprano en ortodoncia permite a los especialistas abordar problemas como la mala oclusión y el desarrollo mandibular antes de que se vuelvan más difíciles de corregir.
Tratamientos de ortopedia dental para niños | Conoce por qué son importantes.
Blanqueamiento Dental: Aclarando tu Sonrisa
Si estás considerando someterte a un blanqueamiento dental para lucir una sonrisa más brillante y radiante, es posible que te preguntes qué alimentos puedes consumir después del procedimiento sin comprometer los resultados.
¿Qué alimentos puedo comer con un blanqueamiento dental?
- Alimentos recomendados: pollo, pescado blanco, arroz blanco, pasta sin salsas, leche, queso blanco, yogur natural.
- Alimentos a evitar: café, té, vino tinto, salsas oscuras, frutas rojas, remolacha, zanahoria.

Coinsol Clinic: Innovación y Compromiso Social
Hace unas semanas, María León estuvo en Sevilla en la inauguración de la nueva clínica de sus dentistas, Solano y Mendoza, de Coinsol Clinic. Esta clínica ha evolucionado para ofrecer un nuevo concepto de hospital dental, dedicado al tratamiento de todas las patologías orales tanto en niños como en adultos.
Coinsol Clinic ha abierto el Instituto para el Desarrollo de la Odontología (IDEO), dedicado a la enseñanza e investigación de nuevos materiales, técnicas y procedimientos. Además, han firmado un convenio con la Fundación Padre Leonardo para ofrecer tratamientos gratuitos a familias y niños desfavorecidos, con una ayuda de 60.000 Euros.
Claves de Coinsol Clinic:
- Atención integral y especializada del niño y del adulto.
- Dedicación a la enseñanza e investigación.
- Compromiso social con familias desfavorecidas.
La primera toma de contacto o experiencias de un niño en el dentista toman un papel decisivo en su comportamiento y afecta el resto de su vida. Muchos piensan que basta con un cepillado al día y realmente el alimento fermenta en nuestra boca cada 8 horas produciendo un acido que se lleva el acido del diente.
La tendencia mayor sin olvidar la funcionalidad es la estética tanto dental como facial formando un todo. Todo aquel que la busca y la encuentra en manos de profesionales altamente cualificados.