Las prótesis dentales fijas están diseñadas para reproducir la anatomía de los dientes que se han perdido o dañado. A diferencia de las prótesis removibles, estas no pueden ser retiradas por el paciente, sino únicamente por el dentista en la consulta.
Están especialmente recomendadas para adultos que han sufrido la pérdida o el deterioro de alguna pieza dental. Para asegurar que la prótesis funcione como un tratamiento a largo plazo, es fundamental mantener una buena higiene dental diaria.
La elección del material adecuado es crucial para garantizar la durabilidad y la estética de la prótesis dental. En la fabricación de estos sustitutos dentales se emplean diversos materiales que cumplen con requisitos específicos de durabilidad, resistencia y compatibilidad con los tejidos bucales.

Tipos de Prótesis Dentales Fijas
Dentro de las prótesis dentales fijas, se encuentra la siguiente clasificación:
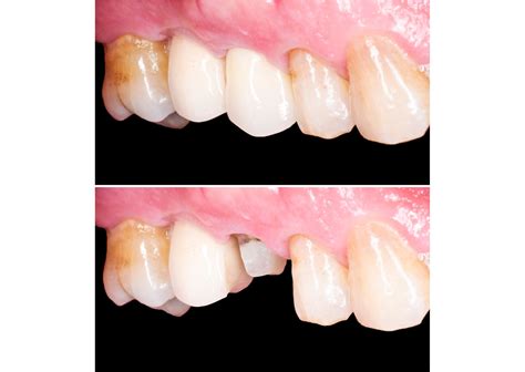
- Coronas o puentes fijos dentosoportados: Sirven para restaurar uno o varios dientes. Se colocan sobre los dientes previamente tallados, siendo ellos su único apoyo. Se fabrican tomando las impresiones del resto de los dientes para lograr que mimeticen en tamaño y color. Las coronas pueden ser de metal-cerámica o de zirconio.
- Prótesis fija sobre implantes: Constan de una estructura protética fijada mediante tornillos o cementadas en los implantes que se han colocado previamente dentro de los huesos maxilares. Se emplean para recuperar la funcionalidad y estética de toda la arcada.
- Prótesis híbridas sobre implantes: Combinan la fijación de los implantes con la superficie de la mucosa de la encía para ajustar la prótesis. Se aconsejan en pacientes con una reabsorción ósea considerable. Las prótesis híbridas se fabrican empleando materiales acrílicos.
Materiales Comúnmente Utilizados
Porcelana
La porcelana es apreciada por su apariencia natural y su capacidad para imitar la translucidez de los dientes naturales. Proporciona una apariencia realista que se integra perfectamente con las piezas existentes, mejorando la confianza del paciente. Además, tienen resistencia al desgaste y capacidad para soportar manchas. Coronas, carillas y puentes dentales fabricados con cerámica y porcelana son capaces de soportar fuerzas masticatorias, garantizando una durabilidad sostenida a lo largo del tiempo.

Prótesis de porcelana
Óxido de Zirconio
El óxido de zirconio se ha convertido en un material destacado en la fabricación de coronas y puentes dentales. Entre sus ventajas más notables destacan su resistencia y durabilidad excepcionales, lo que la hace especialmente adecuada para coronas y puentes dentales. La durabilidad prolongada de la zirconia garantiza una solución dental confiable a largo plazo.
Destaca también por su capacidad para imitar la apariencia natural de los dientes. Su translucidez y capacidad para reflejar la luz se asemejan de cerca al esmalte dental, lo que resulta en una estética excepcionalmente natural. Además, es un material biocompatible, lo que significa que es bien tolerado por los tejidos bucales y presenta menos riesgos de provocar alergias o irritaciones.

Coronas de Zirconio
Resinas Acrílicas (Polimetilmetacrilato - PMMA)
Estas resinas son comúnmente utilizadas en la fabricación de prótesis removibles, como dentaduras completas o parciales, debido a su versatilidad y costo accesible. Además, este material se caracteriza por su ligereza y porque su fabricación es relativamente sencilla. Permiten ajustes y reparaciones con facilidad y ofrecen un buen aislamiento térmico, lo que significa que son menos sensibles a los cambios de temperatura.
Aleaciones de Cromo-Cobalto y Titanio
Los metales como el cromo-cobalto o el titanio se utilizan en la estructura interna de algunas prótesis, como las parciales removibles o las prótesis dentales fijas.
Fibra de Vidrio o Carbono
Estos materiales se incorporan a las resinas para mejorar la resistencia y la durabilidad de las prótesis, especialmente en aplicaciones parciales. Además de esta resistencia mejorada, la presencia de fibras en los polímeros mejora la durabilidad de estas piezas dentales, aportando una mayor capacidad para resistir el desgaste diario.
Consideraciones Adicionales
A la hora de elegir el material para tu prótesis dental, es esencial tener en cuenta factores como la durabilidad, estética, comodidad y adaptabilidad a tus necesidades específicas. En el análisis de materiales para prótesis dentales, es crucial considerar las necesidades específicas de cada paciente, el tipo de restauración requerida y el presupuesto disponible.
La capacidad de estos materiales para imitar la apariencia natural de los dientes los convierte en opciones ideales para restauraciones dentales en las que prime la buena imagen, ya que simulan de manera impresionante la luminosidad y el aspecto característico del esmalte dental.
✅ Tipos 𝗱𝗲 𝗣𝗥𝗢𝗧𝗘𝗦𝗜𝗦 𝗗𝗘𝗡𝗧𝗔𝗟𝗘𝗦 𝗥𝗘𝗠𝗢𝗩𝗜𝗕𝗟𝗘𝗦 : Ventajas e Inconvenientes ¿Que Dentadura Postiza es MEJOR?
Estos materiales han evolucionado para ofrecer resistencia suficiente para resistir las demandas diarias del entorno oral. Esta excepcional flexibilidad permite a los odontólogos personalizar soluciones para las necesidades específicas de cada paciente. Estos se moldean fácilmente, lo que favorece la creación de prótesis dentales, carillas y aparatos ortodónticos de manera precisa y adaptativa. Además, su ligereza inherente contribuye significativamente a la comodidad del paciente.
En este contexto, el análisis meticuloso de las ventajas y consideraciones de cada material es esencial. Los profesionales deben evaluar no solo la funcionalidad y durabilidad, sino también la capacidad del material para integrarse armoniosamente en la estética bucal del paciente.
Para los pacientes, participar activamente en el proceso de elección del material dental es fundamental para lograr resultados satisfactorios y duraderos. Si llevas un estilo de vida activo, es posible que desees optar por materiales más resistentes y duraderos. La variedad de materiales disponibles también se adapta a diferentes presupuestos.
La elección del material correcto no solo influye en la estética, sino también en la funcionalidad. En este sentido es importante tener en cuenta cómo el material seleccionado afectará la estética general de tu sonrisa.
Tabla Comparativa de Materiales
| Material | Ventajas | Desventajas | Usos Comunes |
|---|---|---|---|
| Porcelana | Excelente estética, resistencia al desgaste, biocompatibilidad | Puede ser frágil, más costosa | Coronas, carillas, puentes |
| Zirconio | Alta resistencia y durabilidad, biocompatibilidad, estética natural | Más rígido, puede fracturarse en tramos largos | Coronas, puentes, implantes |
| Resina Acrílica (PMMA) | Versátil, costo accesible, fácil de reparar y ajustar, buen aislamiento térmico | Menor durabilidad, puede decolorarse, acumula placa bacteriana | Prótesis removibles (dentaduras completas y parciales) |
| Aleaciones de Cromo-Cobalto y Titanio | Alta resistencia y durabilidad, biocompatibilidad | Menor estética en comparación con la porcelana y el zirconio | Estructuras internas de prótesis, prótesis parciales removibles, prótesis fijas |
| Fibra de Vidrio o Carbono | Mejora la resistencia y durabilidad de las resinas, buena capacidad de moldeo | Limitaciones estéticas | Refuerzo de resinas en prótesis parciales |
tags: #materiales #para #protesis #dentales #fijas