El maxilar superior pequeño, también conocido como hipoplasia maxilar o pseudoprognatismo, es una condición que afecta la estructura ósea del maxilar superior. Esta anomalía del desarrollo puede tener un impacto significativo en la salud bucal y la apariencia facial de una persona.

¿Qué es la Hipoplasia Maxilar?
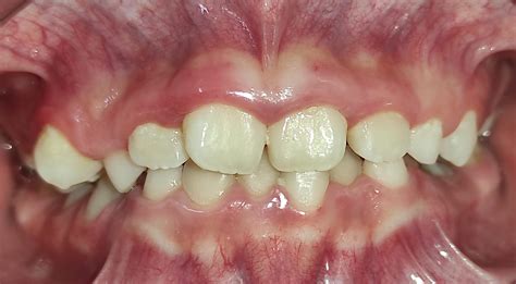
La hipoplasia maxilar es una anomalía del desarrollo caracterizada por un crecimiento insuficiente o deficiente del maxilar superior. Esto resulta en una mandíbula superior que es más pequeña de lo normal en comparación con la mandíbula inferior.
Causas de la Hipoplasia Maxilar
Las causas de la hipoplasia maxilar pueden ser variadas y a menudo son multifactoriales:
- Factores genéticos: La predisposición genética juega un papel importante.
- Anomalías del desarrollo: En la mayoría de los casos, se trata de una anomalía del desarrollo.
- Factores externos: Puede ser causada por factores externos, como extracciones dentales mal planificadas o falta de dientes.
- Afecciones congénitas: En pacientes con paladar hendido, se trata de una afección congénita.
Hipoplasia Maxilar vs. Pseudoprognatismo
El pseudoprognatismo, o falso prognatismo, es una malformación ósea en la que el maxilar superior está subdesarrollado. Esta malformación crea la ilusión de una mandíbula y una nariz prominentes, incluso si ambas partes tienen un tamaño normal y en correcta proporción con el rostro.
En muchos casos de pseudoprognatismo, el maxilar no solo está subdesarrollado en el plano anteroposterior, sino que también presenta deficiencias en el plano vertical o transversal. Esto da una apariencia hundida al tercio medio del rostro del paciente, haciendo que la nariz y la mandíbula parezcan muy prominentes.
Diagnóstico
Es importante distinguir si se trata de un prognatismo de base esquelética, donde los huesos maxilares causan el problema, o si es un prognatismo dental, en el que los huesos maxilares están bien proporcionados y el problema es la posición de los dientes.
La forma más precisa de determinar cualquier tipo de prognatismo es mediante un análisis cefalométrico, que incluye evaluaciones de la base esquelética, ángulos del plano oclusal, altura facial, evaluación de tejidos blandos y angulación dental anterior.
Además de lo anterior, el cirujano maxilofacial debe realizar un análisis de tejidos blandos, evaluando el ángulo nasolabial, la relación de la porción de tejido blando del mentón con la nariz y la relación entre los labios superior e inferior.
Tratamientos para el Maxilar Superior Pequeño
El tratamiento del maxilar superior pequeño y el pseudoprognatismo depende de la gravedad de la condición, la edad del paciente y las necesidades individuales. Las opciones de tratamiento pueden variar desde tratamientos ortodóncicos hasta procedimientos quirúrgicos, o una combinación de ambos.
Tratamientos Ortodóncicos
Los tratamientos ortodóncicos son la opción más común y menos invasiva, especialmente en pacientes jóvenes cuyo desarrollo óseo aún está en curso. Estos tratamientos ayudan a alinear los dientes y corregir la posición de la mandíbula.
- Brackets tradicionales o alineadores invisibles (Invisalign): Los brackets tradicionales aplican presión constante sobre los dientes para moverlos gradualmente. Los alineadores invisibles son una alternativa estética y cómoda para corregir la alineación de los dientes.
- Expansión maxilar: Se utiliza para ensanchar el maxilar superior, mejorando la alineación de ambas mandíbulas.
- Aparatos funcionales: Los aparatos ortopédicos funcionales pueden ser utilizados para modificar el crecimiento y desarrollo de la mandíbula en pacientes jóvenes.
Cirugía Ortognática
En casos más graves, la cirugía ortognática puede ser necesaria. Este procedimiento implica la corrección quirúrgica de los huesos de la mandíbula.
Cirugía Monomaxilar: El tratamiento indicado para el pseudoprognatismo es una cirugía ortognática monomaxilar, normalmente de avance maxilar combinado con otros movimientos (descenso, rotación, etc).
Cirugía Bimaxilar: En casos donde el paciente presenta tanto prognatismo mandibular como hipoplasia maxilar, el tratamiento pasa por una cirugía ortognática bimaxilar, que corregirá la posición de ambas estructuras óseas a la vez.

Mentoplastia: Para un mentón sobredesarollado (un prognatismo aparente pero no real), el tratamiento consiste en una mentoplastia o cirugía de reducción del mentón.
Tratamiento Combinado: Ortodoncia y Cirugía
En muchos casos, la solución más efectiva implica una combinación de tratamientos ortodóncicos y quirúrgicos. Antes de la cirugía, el paciente suele necesitar un tratamiento ortodóncico para alinear los dientes y asegurarse de que encajen adecuadamente después de la cirugía.
Tratamiento en Niños y Adultos
- En niños y adolescentes: Es ideal tratar el prognatismo mandibular durante el crecimiento, ya que los huesos aún están en desarrollo.
- En adultos: Los tratamientos también son efectivos en adultos, aunque la corrección completa puede requerir cirugía ortognática en casos severos.
Duración y Recuperación de los Tratamientos
Los tratamientos ortodóncicos suelen durar entre 12 y 24 meses. La expansión maxilar puede durar entre 6 y 12 meses. La cirugía ortognática implica un periodo de planificación ortodóntica previo, que puede durar entre 12 y 18 meses. La recuperación tras la cirugía es un proceso gradual y puede tomar varias semanas.
| Tratamiento | Duración | Recuperación |
|---|---|---|
| Ortodoncia | 12-24 meses | Adaptación a los aparatos |
| Expansión Maxilar | 6-12 meses | Presión y malestar inicial |
| Cirugía Ortognática | Planificación: 12-18 meses | Varias semanas |
Riesgos y Consideraciones
Es importante tener en cuenta que existen factores de riesgo asociados a un retroceso mandibular, ya que este movimiento óseo conlleva un estrechamiento de las vías aéreas, pudiendo llegar a causar trastornos del sueño y apnea del sueño.
Asimismo, el paciente debe estar plenamente informado por los dos especialistas (ortodoncista y cirujano maxilofacial) antes de empezar el tratamiento.
La característica común que define tanto un maxilar inferior prominente, como un maxilar superior retruído, es que en ambos casos el paciente presenta una maloclusión dental de Clase III, es decir, los dientes inferiores están delante de los dientes superiores, una condición que trasmite cierta dureza y agresividad a los rasgos faciales de los pacientes con este tipo de problema.
La solución del prognatismo mandibular o clase III resuelve problemas funcionales, como la dificultad para masticar o morder, dolor en la articulación temporomandibular (ATM), e incluso mejora la dicción del paciente (que en muchos casos presentan ceceo).
Además, tras la intervención también se consigue una gran mejoría estética: los rasgos faciales se vuelven más suaves, finos y armónicos entre sí, eliminando las trabas psicológicas que supone tener una deformidad facial.
Si quieres que revisemos tu caso y que hagamos una valoración sin coste ni compromiso, puedes contactar con nosotros para agendar una primera visita sin compromiso.