Las microcarillas dentales son una solución estética cada vez más popular para mejorar la apariencia de los dientes. Si te has preguntado cuál es el precio de las microcarillas dentales, es probable que también quieras conocer los beneficios que pueden ofrecer a tu sonrisa. Uno de los aspectos que más preocupa a los pacientes al considerar las microcarillas dentales es el costo. ¿Cuánto cuestan realmente y valen la pena?

¿Qué Son las Microcarillas Dentales?
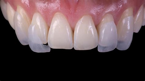
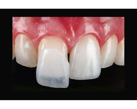
Las microcarillas son unas finas láminas hechas a medida que se ajustan a las superficies frontales de los dientes. Los materiales que se utilizan para fabricar las microcarillas son cerámicas y composites.
¿Para qué sirven las microcarillas? ¿Cuándo se indican?
Son una solución estética ideal para corrección de pequeños defectos del esmalte, fracturas del esmalte, alteraciones menores de forma, ocultación de diastemas (separaciones entre dientes) y coloración de los dientes, tinciones.
Ventajas de las Microcarillas Dentales
En primer lugar, las microcarillas dentales pueden transformar radicalmente la apariencia de la sonrisa. Permiten corregir y disimular defectos como dientes descoloridos, manchas, fracturas, desgastes y espacios entre los dientes.
¿Qué ventajas ofrecen las microcarillas?
La microcarillas tienen unos grosores de 0,2 mm hasta 0,7 mm y esta condición, añadida a los nuevos materiales de adhesión y cementación, hacen que no sea necesario dañar el diente en su preparación. Es una técnica indolora, no se utiliza anestesia. El tratamiento, por tanto, también es más rápido. Al no dañar prácticamente el esmalte, el tratamiento es reversible.
¿Qué las diferencia de las carillas tradicionales?
Las carillas tradicionales están elaboradas con materiales similares a las microcarillas. Las carillas tienen un grosor mayor, que comporta ventajas, ampliando las prestaciones estéticas en los tratamientos de tinciones, decoloraciones y alteraciones morfológicas más severas.
Sin embargo, este mayor grosor necesita una preparación del diente eliminando gran parte del esmalte que puede dañar la estructura, y se necesitará anestesia durante el tallado y evidentemente este proceso no es reversible. Las carillas tendrán una mayor resistencia por su grosor. Además, la adhesión y cementado es mejor y, por tanto, se presupone que tendrán una vida más larga.

Precio de las Microcarillas Dentales
Uno de los aspectos que más preocupa a los pacientes al considerar las microcarillas dentales es el costo. Antes de adentrarnos en los precios, es importante destacar que la colocación de microcarillas dentales es un procedimiento altamente personalizado y requiere de habilidades y experiencia por parte del dentista. Además, es importante tener en cuenta que cada caso es único y que la evaluación individual es necesaria para determinar el costo exacto.
En promedio, el costo de una microcarilla dental puede oscilar entre los 500 y los 1.500 euros por diente. Esta amplia variación en el precio se justifica por diferentes razones. Para empezar, el tipo de material utilizado puede marcar una gran diferencia en el precio. Las carillas de porcelana tienden a ser más costosas, pero ofrecen una mayor durabilidad y una apariencia más natural.
El número de carillas necesarias también afecta el costo total. Algunas personas pueden requerir únicamente una carilla para corregir un diente descolorido, mientras que otros pueden necesitar varias carillas para lograr una sonrisa completa. Otro factor importante a tener en cuenta es la ubicación geográfica. Los precios de los tratamientos dentales pueden variar significativamente entre diferentes ciudades o países. En Madrid, los precios suelen ser más altos debido al costo de vida y la demanda.
Sus precios son variables, pero pueden oscilar entre los 650 a 1.500€ por diente. Las microcarillas de porcelana son menos económicas, pero ofrecen una duración entre unos 15-20 años con unos resultados estéticos brillantes (reflejan de la luz, simulan mejor el aspecto esmalte). Las microcarillas de composite son más económicas, sin embargo, ofrecen una menor resistencia con una longevidad de unos 6 años y resultados estéticos menores también, pero superiores a las carillas y fundas (coronas).
¿Valen la Pena los Precios de las Microcarillas Dentales?
Ahora bien, volviendo a la pregunta principal, ¿valen la pena los precios de las microcarillas dentales? La respuesta es sí, siempre y cuando se realicen por un dentista experimentado y calificado. En segundo lugar, las microcarillas dentales son una solución duradera. Si se cuidan adecuadamente, pueden durar entre 10 y 15 años. Además, las microcarillas dentales son una opción conservadora en comparación con otros procedimientos dentales.
Si bien pueden ser costosas, las microcarillas dentales valen la pena debido a los beneficios estéticos y funcionales que ofrecen. Son una inversión a largo plazo que pueden durar entre 10 y 15 años si se cuidan adecuadamente. Las microcarillas son una buena opción para personas que tienen problemas estéticos menores ya que no requieren limar el esmalte.
Cuidados y Mantenimiento de las Microcarillas
Es importante mantener una buena higiene oral:
- Cepillado dental dos veces al día con un cepillo suave con pasta dental no abrasiva.
- Uso de hilo dental diario para eliminar la placa bacteriana y los restos de comida entre los dientes.
- Enjuague bucal para ayudar a reducir la cantidad de bacterias en boca.
Evitar hábitos perjudiciales:
- Evitar morder alimentos u objetos duros.
- Limitar el consumo de bebidas que tiñen los dientes como el vino tinto, té o café. Si bien las microcarillas resisten mejor la tinción que el esmalte dental.
- Evitar el consumo de tabaco, que perjudica la encía y tiñe los dientes.
Otras recomendaciones:
- Utilizar férulas de descarga en caso de sufrir bruxismo.
- Visita rutinaria al dentista para vigilar la correcta colocación de las microcarillas y salud de la encía. Acudir sobre todo en caso de daño o movimiento de las microcarillas.

Contraindicaciones del Tratamiento con Microcarillas
Las microcarillas, por su grosor y translucidez, no están indicadas en casos de severa tinción, severa alteración de la coloración de los dientes, severo apiñamiento dental, severos defectos dentales, maloclusiones y hábitos como el bruxismo.
Factores Importantes al Decidirse por las Microcarillas
Este tratamiento es muy sensible a las técnicas de preparación: adaptación de la microcarilla a la encía, técnica de adhesión y técnica de cementación que se aplican al diente y microcarilla. Por tanto, la elección del profesional es una parte muy importante de cara a los resultados que ofrecerán las microcarillas.
Tipos de Carillas Dentales y sus Características
Para ayudarte a tomar una decisión informada, aquí tienes una tabla comparativa de los tipos de carillas dentales:
| Tipo de Carilla | Material | Durabilidad | Estética | Procedimiento | Desventajas |
|---|---|---|---|---|---|
| Composite | Resina compuesta | Larga, pero más corta que porcelana | Estéticamente agradables, pero menos translúcidas | Aplicación en una sola visita | Mayor cuidado ante las manchas, menos resistentes |
| Porcelana | Cerámica dental | Las más duraderas | Apariencia muy natural por su translucidez | Al menos dos visitas: tallado e impresión, y colocación | Requieren tallado del diente (puede ser mínimo) |
tags: #microcarillas #dentales #sin #tallado