Las prótesis dentales son una solución eficaz, estética y funcional para reemplazar dientes perdidos o muy dañados. Si has perdido una o varias piezas dentales y te preguntas cómo puedes recuperar tu sonrisa y masticar con normalidad, sigue leyendo. Una prótesis dental es un aparato diseñado para reemplazar uno o más dientes perdidos o muy deteriorados. Las prótesis pueden ser fijas o removibles, para adaptarse a las necesidades de cada paciente. Las prótesis dentales ofrecen múltiples beneficios.
En la elaboración de estos sustitutos dentales se utilizan diversos materiales que cumplen con requisitos específicos de durabilidad, resistencia y compatibilidad con los tejidos bucales. A la hora de elegir el material para tu prótesis dental, es esencial tener en cuenta factores como la durabilidad, estética, comodidad y adaptabilidad a tus necesidades específicas. En el análisis de materiales para prótesis dentales, es crucial considerar las necesidades específicas de cada paciente, el tipo de restauración requerida y el presupuesto disponible.
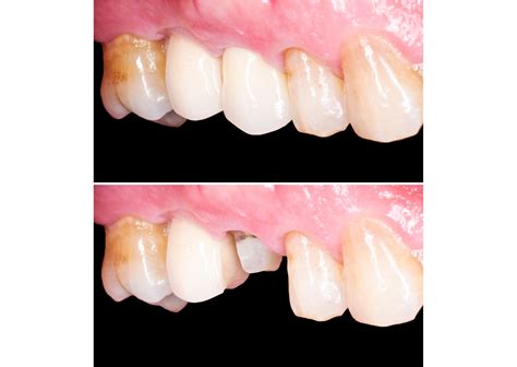
La elección del material adecuado para tu prótesis dental es clave para garantizar su durabilidad y estética.
✅ Tipos 𝗱𝗲 𝗣𝗥𝗢𝗧𝗘𝗦𝗜𝗦 𝗗𝗘𝗡𝗧𝗔𝗟𝗘𝗦 𝗥𝗘𝗠𝗢𝗩𝗜𝗕𝗟𝗘𝗦 : Ventajas e Inconvenientes ¿Que Dentadura Postiza es MEJOR?
Materiales Utilizados en Prótesis Dentales
La capacidad de estos materiales para imitar la apariencia natural de los dientes los convierte en opciones ideales para restauraciones dentales en las que prime la buena imagen ya que simulan de manera impresionante la luminosidad y el aspecto característico del esmalte dental. Estos materiales han evolucionado para ofrecer resistencia suficiente para resistir las demandas diarias del entorno oral.
Porcelana

Utilizada para la fabricación de coronas y carillas dentales, es apreciada por su apariencia natural y su capacidad para imitar la translucidez de los dientes naturales. Proporciona una apariencia realista que se integra perfectamente con las piezas existentes, mejorando la confianza del paciente. Además, tienen resistencia al desgaste y capacidad para soportar manchas. Coronas, carillas y puentes dentales fabricados con cerámica y porcelana son capaces de soportar fuerzas masticatorias, garantizando una durabilidad sostenida a lo largo del tiempo.
Óxido de Zirconio

El óxido de zirconio, apreciado por su durabilidad y cualidades estéticas, se ha convertido en un material destacado en la fabricación de coronas y puentes dentales. Entre sus ventajas más notables destacan su resistencia y durabilidad excepcionales. Esta característica la hace especialmente adecuada para coronas y puentes dentales, ya que puede soportar las fuerzas masticatorias diarias sin comprometer su integridad estructural. La durabilidad prolongada de la zirconia garantiza una solución dental confiable a largo plazo. Destaca también por su capacidad para imitar la apariencia natural de los dientes. Su translucidez y capacidad para reflejar la luz se asemejan de cerca al esmalte dental, lo que resulta en una estética excepcionalmente natural. Esta característica es esencial en la fabricación de coronas y puentes, ya que asegura resultados estéticamente agradables que se integran armoniosamente con la sonrisa del paciente. Es un material biocompatible, lo que significa que es bien tolerado por los tejidos bucales y presenta menos riesgos de provocar alergias o irritaciones.
Polimetilmetacrilato (PMMA)

Estas resinas son comúnmente utilizadas en la fabricación de prótesis removibles, como dentaduras completas o parciales, debido a su versatilidad y costo accesible. Además, este material se caracteriza por su ligereza, porque su fabricación es relativamente sencilla, permiten ajustes y reparaciones con facilidad y ofrecen un buen aislamiento térmico, lo que significa que son menos sensibles a los cambios de temperatura.
Fibra de Vidrio o Carbono
Estos materiales se incorporan a las resinas para mejorar la resistencia y la durabilidad de las prótesis, especialmente en aplicaciones parciales. Además de esta resistencia mejorada, la presencia de fibras en los polímeros mejora la durabilidad de estas piezas dentales, aportando una mayor capacidad para resistir el desgaste diario. Su aptitud para ser moldeados con detalle contribuye a la creación de prótesis más personalizadas y cómodas.
Aleaciones de Cromo-Cobalto y Titanio
Aleaciones de cromo-cobalto y titanio.
Resinas y Plásticos
La cerámica y la porcelana ofrecen estética y durabilidad, mientras que las resinas y plásticos brindan versatilidad y comodidad.Estos se moldean fácilmente, lo que favorece la creación de prótesis dentales, carillas y aparatos ortodónticos de manera precisa y adaptativa. Además, su ligereza inherente contribuye significativamente a la comodidad del paciente. En prótesis removibles, como dentaduras y aparatos de ortodoncia, esta característica se traduce en una experiencia más llevadera para quienes las utilizan.
Consideraciones Adicionales
En este contexto, el análisis meticuloso de las ventajas y consideraciones de cada material es esencial. Los profesionales deben evaluar no solo la funcionalidad y durabilidad, sino también la capacidad del material para integrarse armoniosamente en la estética bucal del paciente. Para los pacientes, participar activamente en el proceso de elección del material dental es fundamental para lograr resultados satisfactorios y duraderos. Si llevas un estilo de vida activo, es posible que desees optar por materiales más resistentes y duraderos. La variedad de materiales disponibles también se adapta a diferentes presupuestos. La elección del material correcto no solo influye en la estética, sino también en la funcionalidad. En este sentido es importante tener en cuenta cómo el material seleccionado afectará la estética general de tu sonrisa.
Consulta con tu odontólogo y toma decisiones informadas para garantizar una solución que se adapte perfectamente a tus necesidades individuales.