Entender qué es la mordida cruzada es importante para tu salud oral. Básicamente, es una condición que afecta la alineación de tus dientes, es un tipo de maloclusión que puede causar complicaciones y molestias, pero que es posible corregir con un tratamiento profesional.
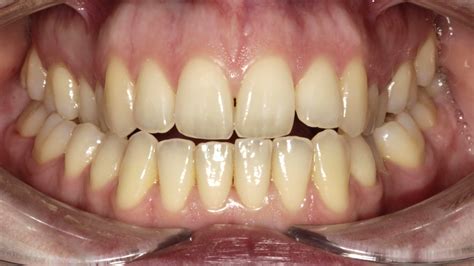
La mordida cruzada es una alteración que afecta al alineamiento de los dientes, ya que las piezas dentales superiores no encajan correctamente con las inferiores cuando la persona cierra la boca. En concreto, la mordida cruzada se produce cuando los dientes inferiores sobresalen respecto a los superiores y quedan por fuera.
En una mordida normal, los dientes superiores deben sobresalir ligeramente sobre los inferiores, pero en la mordida cruzada, esta relación se invierte parcial o totalmente. Este problema puede afectar a una sola pieza dental o involucrar varios dientes, y puede presentarse tanto en la parte frontal como en los laterales de la boca.
Normalmente, los dientes superiores deberían ir levemente por delante de los de abajo. Cuando tienes mordida cruzada, una parte de tus dientes inferiores se posicionan por delante de los superiores cuando cierras la boca. En general, es una condición bastante común que detectan los dentistas y que puede ser tratada por un ortodoncista.

Tipos de Mordida Cruzada
La mordida cruzada puede presentarse de diversas formas, tanto en la parte anterior o posterior de la boca como en los laterales. Puede clasificarse según la ubicación y el patrón de afectación. Los dos principales tipos de mordida cruzada son:
- Mordida cruzada anterior: Es cuando el grupo de dientes inferiores frontales se sitúa sobre los dientes superiores de tu mandíbula. Este tipo de mordida cruzada puede confundirse con una mordida tipo prognatismo mandibular. Esta condición involucra los dientes incisivos y caninos, generalmente se corrige con ortodoncia, aunque en casos severos podría necesitar cirugía.
- Mordida cruzada posterior: Se refiere a que el grupo de dientes inferiores posteriores encaja sobre los de la mandíbula superior. Se da cuando los dientes superiores de los laterales (premolares o molares) muerden por dentro de los dientes inferiores. Involucra los premolares y molares, puede suceder en uno o ambos lados de la boca y generalmente se soluciona con ortodoncia.
Además, se puede clasificar como:
- Unilateral: Afecta un solo lado de la boca, puede ser izquierdo o derecho y que puede causar asimetría facial. Localizada en la parte trasera. Se da solo en un lado de la boca, con lo que existe el riesgo de desarrollar asimetrías faciales.
- Bilateral: Que impacta ambos lados de la cara.
- Completa: Afecta tanto a los dientes anteriores como a los posteriores, siendo más complicada de corregir debido a su extensión.
- De origen dentario: Los dientes están inclinados de forma indebida, quedando los de la arcada superior por dentro de los de la arcada inferior.
- De origen esquelético: El problema no se encuentra en los dientes, sino en el maxilar superior, que es demasiado estrecho. Corregir esta malposición en adultos es bastante más complicado que hacerlo en niños.
- De origen mixto:
- De origen funcional:
Causas de la Mordida Cruzada
La mordida cruzada se desarrolla en los primeros años de vida, durante la etapa de formación de los dientes y los huesos maxilares (maxilar superior y mandíbula). Puede deberse a múltiples causas, que van desde factores genéticos hasta hábitos adquiridos durante la infancia. Puede ser causada por una combinación de factores genéticos, ambientales y de desarrollo.
Factores genéticos y hereditarios
La alineación de los dientes y la estructura de la mandíbula es un rasgo genético, por lo que los factores hereditarios juegan un papel importante en la aparición de problemas como la mordida cruzada. Esto significa que si tus padres o abuelos tienen mordida cruzada, es probable que tú o tus hijos desarrollen un problema similar. Lo importante es saber que existen tratamientos y que un ortodoncista especializado puede corregir este problema. La genética juega un papel importante en la aparición de la mordida cruzada, ya que la estructura ósea y la disposición de los dientes pueden heredarse de padres a hijos.
Si existe un historial familiar de mordida cruzada, es más probable que se presente en algún miembro de la familia.

Malos hábitos en la infancia
La mordida cruzada también puede aparecer por hábitos o acciones durante el desarrollo de los dientes, tales como:
- Chupar el dedo.
- Respirar por la boca. Inspirar por la boca, en lugar de hacerlo por la nariz.
- Presionar mucho la lengua contra los dientes. Hábito de lengua, es decir, colocar mal la lengua al tragar, ejerciendo esta presión sobre los dientes.
- Usar chupete o biberón por mucho tiempo. Uso prolongado del chupete: el uso prolongado del chupete, más allá de los dos o tres años, también puede causar mordida cruzada.
- Respiración oral, en lugar de nasal: respirar por la boca puede derivar en múltiples efectos, ya que ocasiona alteraciones en la posición de la lengua y falta de estímulo sobre el maxilar superior.
Algunos hábitos orales adquiridos durante la infancia, ya sean conscientes o inconscientes, pueden tener un impacto significativo en la formación de la mordida cruzada.
Por esto, todos los niños deberían visitar a un ortodoncista a los 7-8 años para monitorear el desarrollo de sus dientes permanentes. El especialista podrá detectar cualquier problema potencial a tiempo.
Factores ambientales y crecimiento anormal
La pérdida de los dientes de leche demasiado pronto, o un diente faltante, incluso un diente muy grande, puede causar mordida cruzada. Incluso si los dientes permanentes tardan mucho en salir, tu mandíbula y tus dientes pueden desarrollar sobremordida para compensar eso.
Hay determinadas ocasiones en las que el maxilar superior no se desarrolla lo suficiente (hipoplasia maxilar) por lo que resulta pequeño y estrecho.
Malformaciones de los huesos faciales.
Pérdida prematura de dientes de leche: Si los dientes temporales se pierden antes de tiempo, los dientes permanentes pueden erupcionar en posiciones incorrectas, favoreciendo la aparición de maloclusiones.
Respiración bucal: La respiración oral, especialmente durante el desarrollo infantil, puede alterar el crecimiento y desarrollo de las estructuras óseas de la cara y la mandíbula.
Exfoliación retrasada de los dientes temporales.
Fracturas o luxaciones.
Consecuencias de la Mordida Cruzada en la Salud Dental
Aparte de los problemas estéticos que puede causar, hay consecuencias para la salud dental del adulto. Ignorar este problema puede llevar a problemas tanto funcionales como estéticos.
- Dolor en la mandíbula o los dientes.
- Caries.
- Apnea del sueño.
- Problemas en la articulación temporomandibular (ATM). Complicaciones en la articulación temporomandibular (ATM): la ATM, que es la articulación que une la mandíbula con el cráneo, puede verse afectada por los desequilibrios en los huesos maxilares.
- Dolores de cabeza.
- Dificultades al masticar y hablar: Las alteraciones en la mordida pueden afectar la capacidad de masticar y pronunciar correctamente.
- Dolor en los músculos del cuello, mandíbula y hombros.
- Problemas relacionados con la alineación dental: una mordida cruzada puede hacer que los dientes se desalineen, lo que deriva en una mordida desigual y desgastes en el esmalte de los dientes.
- Desgaste dental excesivo: La posición anómala de los dientes puede aumentar el desgaste en ciertas áreas.
- Dolor mandibular: La mordida cruzada puede causar una distribución desigual de las fuerzas al masticar, lo que podría provocar dolor o trastornos temporomandibulares (ATM).
- Problemas estéticos: Puede influir en la forma del rostro, especialmente en casos graves que alteran el desarrollo óseo.
- Mayor riesgo de caries y enfermedades periodontales: Las áreas de difícil acceso debido a la malposición dental son más propensas a la acumulación de placa y sarro.
La mordida cruzada causa problemas en la salud bucal y general, pero cuando se trata a tiempo puedes evitar el desarrollo de la mayoría de estos.
¿Cómo se corrige la mordida cruzada?
Hay opciones no quirúrgicas y quirúrgicas para el tratamiento de la mordida cruzada, la elección varía entre niños y adultos y según la gravedad del problema. Puede tomar entre 18 meses y 3 años para corregir el problema.
Detectar la mordida cruzada a tiempo puede evitar complicaciones futuras y tratamientos complejos.
La buena noticia es que puede corregirse con los tratamientos adecuados. La elección del tratamiento dependerá de factores como la edad del paciente, la gravedad del problema y las causas subyacentes.
💊 Tratamiento para 𝗠𝗢𝗥𝗗𝗜𝗗𝗔 𝗜𝗡𝗩𝗘𝗥𝗧𝗜𝗗𝗔 clase 3 en NIÑOS y ADULTOS (MORDIDA CRUZADA ANTERIOR)
Tratamientos en niños
En los niños, lo ideal es empezar el tratamiento antes de los 10 años, cuando la mandíbula aún está en desarrollo. La mordida cruzada es más fácil de tratar durante la infancia, ya que los huesos aún están en desarrollo y son más receptivos a la ortopedia dentofacial.
- Expansores de paladar: Los expansores de paladar son una de las opciones para tratar la mordida cruzada en niños. Se utilizan para ensanchar el maxilar superior en casos de mordida cruzada posterior. Este aparato de ortodoncia se coloca en el cielo de la boca y los dientes superiores. Se activa periódicamente con unos tornillos, para que vaya ampliando el paladar y la mandíbula. Este tratamiento es la mejor opción para los niños en desarrollo, ya que la mandíbula y los dientes todavía son maleables y la estructura del hueso del paladar no está fusionado. Los tratamientos de ortodoncia interceptiva se utilizan, principalmente, para solucionar la mordida cruzada en niños de entre seis y nueve años. El aparato más usado es el disyuntor de paladar, que ayuda a guiar y estimular el crecimiento del maxilar superior. Con esta ortodoncia lo que hacemos es anclar un disyuntor a los molares de ambos lados de la arcada superior.
- Ortodoncia interceptiva: Los brackets y alineadores pueden ayudar a alinear los dientes en una etapa temprana.
- Aparatos extraorales: Por otro lado, los aparatos extraorales están recomendados para niños y jóvenes, son dispositivos de ortodoncia removibles que ayudan a mover la mandíbula superior hacia adelante.
- Cambios de hábitos: En los niños más pequeños, los cambios de hábitos pueden mejorar la mordida cruzada. Por ejemplo, evitando la succión del pulgar u otros dedos, quitando el chupete y otros, puede beneficiarlos. Eliminación de hábitos perjudiciales: Corregir hábitos como chuparse el dedo o respirar por la boca puede prevenir el empeoramiento de la mordida cruzada.

Tratamientos en adultos
Aunque corregir la mordida cruzada en adultos puede ser más complejo debido a que los huesos ya no están en desarrollo, sigue siendo posible mediante:
- Ortodoncia: La ortodoncia y los alineadores dentales pueden ser una opción para niños y adultos con una mordida cruzada de menor a moderada. Los tratamientos ortodónticos son la primera opción para corregir la mordida cruzada en adultos y adolescentes, ya que permiten realizar micromovimientos en los dientes y moverlos hasta su posición correcta. Los brackets y los alineadores transparentes como Invisalign son una solución eficaz para corregir malposiciones dentales en adultos.
- Brackets: pueden ser metálicos, estéticos (de cerámica o zafiro) o linguales.
- Alineadores transparentes: hoy en día, los alineadores son más demandados que los brackets. Estos sistemas solucionan las maloclusiones de manera efectiva y de forma muy discreta, para que no interfiera con la imagen del paciente. Ortodoncia lingual, la única que de verdad no se aprecia ni siquiera al sonreír.
- Cirugía: En casos severos, cuando los tratamientos ortodónticos no son suficientes, puede ser necesaria una intervención quirúrgica. La cirugía maxilofacial es una solución para los adultos que tienen mordida cruzada. En casos graves donde la mordida cruzada está relacionada con alteraciones óseas importantes, puede ser necesario recurrir a una intervención quirúrgica para reposicionar la mandíbula. Esto puede implicar el uso de aparatos expansores quirúrgicos u osteomía maxilar en la que se reposiciona la mandíbula superior mediante cortes quirúrgicos.
- Dispositivos de expansión palatina: Aunque menos comunes en adultos, pueden ser útiles en algunos casos específicos. En estos casos, se usa un extensor al que llamamos MARPE (Miniscrew-Assisted Rapid Palatal Expander). El MARPE es la única opción que tenemos los adultos de corregir una mordida invertida de origen esquelético sin tener que pasar por quirófano.
Además de los tratamientos principales, la fisioterapia puede ayudar a aliviar o revertir las consecuencias de la mordida cruzada.
El tiempo necesario para corregir la mordida cruzada varía según la gravedad del caso, el tratamiento elegido y la edad del paciente. En general, los tratamientos de ortodoncia suelen durar entre 18 meses y 24 meses. No obstante, te recordamos que cada caso es único y debe valorarse de manera individualizada.
Prevención de la mordida cruzada
Aunque no siempre es posible prevenir la mordida cruzada debido a factores genéticos, hay ciertas medidas que pueden ayudar a reducir el riesgo:
- Supervisar el desarrollo dental en la infancia: Las revisiones regulares con el dentista pueden detectar problemas tempranos y prevenir maloclusiones graves.
- Corregir hábitos orales: Limitar el uso de chupetes, evitar chuparse el dedo y fomentar una respiración nasal adecuada son medidas clave.
- Tratar la pérdida prematura de dientes de leche: Si se pierde un diente de leche antes de tiempo, el dentista puede colocar un mantenedor de espacio para prevenir malposiciones.
¿Cuándo consultar al dentista por una mordida cruzada? Síntomas de alerta
- Si notas que tus dientes no se alinean apropiadamente.
- Si los dientes superiores están hacia afuera o muy hacia adentro o no se tocan apropiadamente, podrías tener mordida cruzada.
- Los problemas en el habla son otro signo de alerta, ya que cuando los dientes no están en el lugar correcto, esto puede causar problemas al hablar.
- Dolores de cabeza. Si la mordida no está bien alineada, puede causar presión en la mordida y llevar a dolores de cabeza.
- Dolor en la mandíbula. Al igual que con el dolor de cabeza, el estrés y la presión en la mandíbula puede llevar a dolores en esta zona.
- Te muerdes la lengua y las mejillas. Por la mala alineación puedes terminar con molestias en esta área.
El diagnóstico precoz es clave para evitar problemas mayores en el desarrollo de la mandíbula. Así que ante cualquiera de estos síntomas de mordida cruzada, lo mejor es consultar con un dentista. También se recomienda que los niños asistan regularmente al odontopediatra para un diagnóstico temprano. Por eso, es importante acudir a una clínica dental en cuanto se detecte.
La mordida cruzada es una maloclusión que, si bien puede parecer un problema menor, tiene implicaciones importantes para la salud bucodental y general. Identificarla y tratarla a tiempo es esencial para evitar complicaciones como desgaste dental, dolor mandibular y problemas estéticos.
tags: #mordida #cerrada #ortodoncia