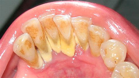
El sarro es una de las afecciones bucales más comunes y una de las causas principales de patologías bucodentales. A pesar de ser tan común, muchos pacientes desconocen qué es realmente el sarro y por qué debemos prevenir su aparición.
El sarro, también conocido como piedra dental, es la calcificación de la placa dental. La placa se origina a través del contacto entre la saliva y las bacterias derivadas de los alimentos. El sarro se identifica fácilmente como una pasta amarillenta o marrón que se adhiere a nuestros dientes.

¿Qué es y cómo se forma el sarro?
La placa dental es una película blanquecina que se va depositando en la superficie dental, pero también en las encías. En un inicio, cuando la placa está blanda y no se ha solidificado formando el sarro dental o cálculo, el biofilm no es visible a simple vista. Si no eliminamos regularmente la placa inicialmente blanda cepillándonos los dientes, minerales como el calcio y el fosfato de la saliva se depositan en la biopelícula que se forma en los dientes. Esto provoca la calcificación de la placa y la formación de sarro duro.
Existen dos tipos principales de sarro:
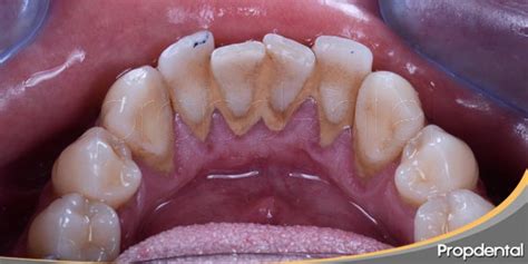
- Sarro supragingival: Se produce por encima de la línea de las encías, preferentemente en la cara interna de los dientes frontales inferiores y en la cara externa de los molares superiores.
- Sarro subgingival: Aparece bajo la línea de las encías.
Consecuencias de la acumulación de sarro
La acumulación de sarro causa una gran variedad de problemas dentales. La acumulación de sarro también provoca la aparición de caries, que pueden afectar al nervio dental si no tratamos a tiempo.
La periodontitis, o periodontosis, es una enfermedad infecciosa del periodonto completo desencadenada por la acumulación de sarro. El sarro duro crea superficies dentales rugosas, proporcionando un entorno ideal para que las bacterias prosperen y se propaguen. Posteriormente, el metabolismo de las bacterias genera toxinas que se liberan allí. Estas toxinas pueden penetrar en las encías, induciendo una inflamación de las mismas conocida como gingivitis.
¿Cómo prevenir la formación de sarro?
La mejor defensa contra el sarro es evitar que se forme. Si te limpias los dientes y la lengua de forma regular y suficiente, podrás eliminar la mayor parte de las capas blandas. Esta es la forma más eficaz de prevenir el sarro, puesto que: sin placa no hay sarro.
Además, es importante considerar:
- Una técnica de cepillado incorrecta puede ser otra de las causas de la acumulación de sarro en la boca.
- La composición única de su saliva también influye en su propensión a la formación de sarro; si sufre de exceso de sarro, puede estar relacionado con un alto contenido de minerales en su saliva.
- Los fumadores tienen más placa en los dientes y, por tanto, también desarrollan sarro con más facilidad.
- Absténgase de consumir alimentos ricos en azúcar o cómalos con moderación, ya que favorecen el crecimiento bacteriano y, por tanto, la formación de placa.

Rutina Anti Caries ¿Cómo se lava los dientes un dentista en casa?
Limpieza dental profesional: La clave para eliminar el sarro
El sarro puede eliminarse durante una sesión de limpieza dental profesional. Una higiene dental o profilaxis dental realizada con las técnicas y aparatología adecuadas consigue eliminar todo el sarro de la parte visible del diente en una sesión de aproximadamente una hora. Consiste en una limpieza profunda mediante ultrasonidos y curetas profesionales que permite eliminar el sarro que hay entre el diente y la encía.
La limpieza dental profesional ayuda tanto a prevenir como a tratar las durezas existentes. Este procedimiento se refiere a la limpieza intensiva realizada por personal cualificado en clínicas dentales. Sin embargo, los dentistas consideran que el tratamiento es una medida preventiva vital para garantizar una salud dental duradera.
Someterse a una limpieza dental profesional puede causar molestias, sobre todo si los cuellos de los dientes quedan expuestos. Tampoco tiene por qué avergonzarse si le preocupa hacerse una limpieza dental. Lo mejor es expresar abiertamente sus temores y preocupaciones. Normalmente, su dentista o higienista dental tendrá especial cuidado en estas situaciones. También puedes optar por aplicarte un agente desensibilizante en los dientes. Incluso la anestesia local puede ser una opción.
¿Qué esperar después de una limpieza dental profesional?
Una limpieza dental profesional puede ser estresante para los dientes y toda la cavidad bucal. Por ejemplo, el cuello de los dientes puede quedar especialmente sensible después. Por suerte, este dolor suele desaparecer al cabo de unas horas. Naturalmente, muchos pacientes esperan este resultado y, de hecho, sus dientes deberían parecer más blancos y brillantes después de dicho tratamiento. Sin embargo, es importante tener en cuenta que si fuma o consume café o té negro, sus dientes pueden volver a decolorarse, posiblemente en unas pocas semanas.
Reveladores de placa: Una herramienta para mejorar la higiene
¿Cómo podemos saber si hemos eliminado la placa dental de los dientes después del cepillado y del uso del hilo dental? En realidad, podemos observar algunos restos de alimentos, pero no la placa, puesto que aunque es pegajosa es incolora.
Si tienes alto riesgo de acumular placa debido a la retracción de tus encías, el uso de ortodoncia, una afección médica crónica u otros factores de riesgo, el uso de un producto revelador de placa te puede ayudar a identificar las áreas de los dientes que no lograste limpiar eficientemente después de culminar tu rutina de cuidado bucal.
Los productos que revelan la presencia de placa contienen un colorante inocuo que reacciona con la placa que pudiera permanecer sobre los dientes después de la limpieza. Cuando vemos las áreas teñidas, podemos identificar los puntos problemáticos, y así enfocarnos en ellos cuando nos cepillemos y usemos el hilo dental correctamente.
Antes de utilizar un producto revelador de placa, cepilla y usa la seda dental como acostumbras. Existen diferentes marcas de reveladores dentales, pero Plac Control es la más conocida, por lo que se emplea como nombre genérico del producto.
Para revelar las acumulaciones de bacterias en los dientes y encías, Plac Control cuenta con agentes específicos capaces de teñir -generalmente de un rosa intenso-, la placa bacteriana o biofilm. En este sentido, el uso del revelador de placa es muy útil, pues permite el perfeccionamiento y control de la limpieza oral.
Plac Control se comercializa en diferentes formatos, siendo el paciente el que puede optar por uno u otro en función de su gusto. Lo más eficaz es que el control de la placa se realice después de las rutinas habituales de higiene. Plac Control es una forma muy útil y sencilla de mejorar nuestras rutinas de higiene. Al final, el objetivo es conseguir la mejor limpieza posible para evitar futuros problemas bucales, como la aparición de caries o de sarro dental.
¿Cómo usar Plac Control?
Comentábamos anteriormente que Plac Control tiñe la placa bacteriana pero, ¿cómo se logra este proceso?
- Solución líquida: En caso de tener una solución líquida, basta con echar 2 o 3 gotas del producto en la lengua. Tan solo hay que pasar la lengua por toda las superficies dentales y gingivales para que se mezcle bien con la saliva y se impregne toda la boca. Este formato es más recomendable en pacientes que tengan algún grado de discapacidad y para su aplicación pueden requerir de ayuda.
- Pastillas: El control de placa mediante reveladores en forma de pastilla es el formato más frecuente.

Mira 2 Ton Detector de Sarro Pastillas Masticables
Mira 2 Ton de Hager Werken es un detector de sarro dental en formato pastilla libre de eritrosina y gluten y fabricada con color comestible puro y aprobado. Estas pastillas masticables están indicadas para la visualización del sarro dental mediante coloración y ayuda a motivar el cuidado en el paciente.
El detector de placa dental Mira 2 Ton diferencia con seguridad el sarro dental nuevo del viejo gracias a que cambia de color: sarro viejo se coloreada de color azul y el más nuevo se pone de color rojo-lila. Es fácil de dividir por la mitad: una pastilla es suficiente para 2 aplicaciones y es de fácil eliminación mediante cepillado dental normal.
Care+ Tabletas Limpiadoras
La limpieza diaria de las prótesis dentales es necesaria para evitar la acumulación de placa bacteriana, sarro y manchas antiestéticas. Las tabletas limpian sin rayar la prótesis y ayudan a evitar la proliferación de bacterias y otros microorganismo. Las tabletas limpiadoras para dentaduras postizas proporcionan una limpieza rápida y perfecta de las prótesis dentales y las prótesis parciales eliminando el 99,99% de las bacterias causantes del mal olor. Las tabletas ayudan a eliminar la placa bacteriana, el sarro y las manchas aportando una agradable sensación de limpieza y frescura en las prótesis. El uso diario de las tabletas permite mantener su prótesis limpia, fresca y sin manchas como al primer día.
Remedios caseros: ¿Son efectivos?
Internet está lleno de consejos sobre cómo eliminar el sarro de forma natural, como utilizar bicarbonato de sodio o levadura en polvo. No recomendamos ninguno de estos remedios caseros, ya que pueden dañar el esmalte de los dientes. Además: El remedio más eficaz contra el sarro es eliminar regularmente las capas blandas de los dientes, simplemente cepillándolos a fondo.